Alkoholowe zapalenie wątroby
| hepatitis alcoholica | |
![]() | |
| Klasyfikacje | |
| ICD-10 | |
|---|---|
Alkoholowe zapalenie wątroby – przewlekła choroba wątroby, objawiająca się zmianami martwiczo-zapalnymi, wywołana przewlekłym nadużywaniem alkoholu etylowego.
Etiopatogeneza
Alkohol wpływa na czynność wątroby na drodze różnych mechanizmów:
- Bezpośredni wpływ toksyczny i metaboliczny alkoholu na komórki wątrobowe:
- zaburzenia układu redukcyjno-oksydacyjnego
- stres oksydacyjny – nasilona peroksydacja lipidów
- niedotlenienie zrazików
- wpływ aldehydu octowego na białka
- Aktywacja komórek Kupffera-Browicza związana z produkcją cytokin prozapalnych.
- Aktywacja komórek Kupffera-Browicza w przestrzeniach Dissego powodująca włóknienie.
Ponadto na rozwój schorzenia ma wpływ:
- predyspozycja genetyczna – płeć i polimorfizm:
- dehydrogenazy alkoholowej (ADH)
- CYP2E1
- dyhydrogenazy aldehydu octowego
- TNF
- dieta – otyłość, gorsze odżywianie, nadmiar pokarmu
- współistniejące choroby wątroby
Objawy
- uczucie zmęczenia
- nudności, wymioty
- brak apetytu
- ból pod prawym łukiem żebrowym
- hepatomegalia, czasem splenomegalia
- wodobrzusze
- żółtaczka
- gorączka
- encefalopatia wątrobowa
Rozpoznanie
Rozpoznanie stawia się na podstawie stwierdzenia następujących kryteriów:
- dodatni wywiad w kierunku przewlekłego nadużywania alkoholu
- zwiększenie aktywności AlAT i AspAT (wskaźnik de Ritisa >2) oraz GGTP
- obecność nacieku zapalnego z przewagą neutrofilów oraz martwicy ogniskowej w badaniu histopatologicznym materiału pobranego podczas biopsji wątroby
Badania dodatkowe
- badania laboratoryjne:
- leukocytoza z przewagą neutrofilów
- niedokrwistość makrocytarna
- czasami małopłytkowość
- zwiększenie aktywności fosfatazy zasadowej
- zwiększenie stężenia żelaza i ferrytyny w surowicy
- zwiększenie wskaźnika CDT (stężenie transferryny zależnej od niedoboru węglowodanów) – wskaźnik przewlekłego nadmiernego spożywania alkoholu
- hiperbilirubinemia
- wydłużenie czasu protrombinowego
- hiponatremia
- hipokaliemia
- hipomagnezemia
- hiperchloremia
- zasadowica oddechowa
- w USG – powiększenie wątroby (o wzmożonej echogeniczności)
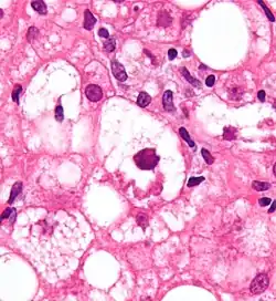
- badanie histopatologiczne:
- stłuszczenie wielkokropelkowe
- obraz plastra miodu
- mitochondria olbrzymie
- ciałka Mallory’ego
- włóknienie
- zmiany zapalno-martwicze
Rozpoznanie różnicowe
- wirusowe zapalenie wątroby
- autoimmunologiczne zapalenie wątroby
- polekowe uszkodzenie wątroby
- alkoholowe stłuszczenie wątroby
- niealkoholowe stłuszczeniowe zapalenie wątroby
- choroba Wilsona
- hemochromatoza
- marskość wątroby
- pierwotne zapalenie dróg żółciowych
- pierwotne stwardniające zapalenie dróg żółciowych
Powikłania
- zespół Zievego
- marskość wątroby
- piorunujące zapalenie wątroby
- hipoglikemia
- pozawątrobowe powikłania spożywania alkoholu
Leczenie
Abstynencja alkoholowa (!) i uzupełnianie niedoborów pokarmowych.
W przypadku ciężkiego przebiegu – kortykosteroidy (prednizon).
Dopóki nie dojdzie do zmian marskich w wątrobie, nie ma żadnych zmian w postępowaniu dietetycznym.
Gdy dojdzie do zmian marskich w wątrobie istnieją dwie drogi postępowania:
- Pacjent bez cech encefalopatii wątrobowej:
- dieta bogato energetyczna
- dieta bogato białkowa (!)
- dieta bogato tłuszczowa (!!!)
Pacjent powinien otrzymywać dietę bogato energetyczną – bogatotłuszczową. Utylizacja tłuszczu w przypadku pacjentów z marskością wątroby nie jest zaburzona. Przeciwnie tłuszcz w przypadku pacjenta z marskością wątroby staje się preferencyjnym źródłem energii.
Przykłady diet syntetycznych dla pacjentów z marskością wątroby bez cech encefalopatii: Ensure Plus HN, Ensure Powder, Prosure, Pulmocare, Osmolite, Jevity.
- Pacjent z cechami encefalopatii wątrobowej:
- ograniczenie podaży białka
Rokowanie
Najczęściej prowadzi do rozwoju marskości wątroby. We wczesnych stadiach całkowite zaniechanie spożywania alkoholu, zmiana stylu życia oraz dieta mogą powstrzymać rozwój powikłań i poprawić funkcję wątroby.
Wskaźnik rokowniczy Maddreya (DF):
- gdzie:
- DF – wskaźnik rokowniczy
- PT – czas protrombinowy wyrażony w sekundach
- bilirubina – stężenie bilirubiny wyrażone w mg/dl
DF > 32 – ciężki przebieg choroby i duże ryzyko zgonu
Zobacz też
Bibliografia
- Choroby wewnętrzne, Andrzej Szczeklik (red.), Jerzy Alkiewicz, t. 1, Kraków: Medycyna Praktyczna, 2005, s. 943–944, ISBN 83-7430-031-0, OCLC 830805120.
- Gerd Herold, Medycyna wewnętrzna, Jan Duława, Wyd. 4 zm. i unowocześnione, (dodr.), Warszawa: Wydawnictwo Lekarskie PZWL, [cop. 2005], s. 639–641, ISBN 83-200-3322-5, OCLC 749583832.
- Medycyna po dyplomie. Niewydolność wątroby puka do drzwi, t. 19, nr 7, lipiec 2010, str. 25
Przeczytaj ostrzeżenie dotyczące informacji medycznych i pokrewnych zamieszczonych w Wikipedii.
