Niealkoholowe stłuszczeniowe zapalenie wątroby
| steatohepatitis nonalcoholica | |
| Klasyfikacje | |
| ICD-10 | |
|---|---|
| DiseasesDB | |
Niealkoholowe stłuszczeniowe zapalenie wątroby (ang. nonalcoholic steatohepatitis, NASH) – odmiana przewlekłego zapalenia wątroby, przypominająca zmiany, które występują u osób nadużywających alkohol, której przyczyną są inne czynniki niż spożywanie alkoholu. NASH traktowane jest jako progresja niealkoholowego stłuszczenia wątroby (NAFLD), stanowi czynnik ryzyka marskości wątroby oraz raka wątrobowokomórkowego.
Patogeneza

Największe znaczenie w rozwoju choroby ma insulinooporność. W jej wyniku w hepatocytach gromadzi się tłuszcz (rozwija się stłuszczenie). Następnie w wyniku stresu oksydacyjnego dochodzi do peroksydacji lipidów z wytwarzaniem cytokin prozapalnych i rozwoju zapalenia wątroby (NASH).
Czynniki ryzyka
- NAFLD
- zespół metaboliczny
- niski poziom cholesterolu HDL[1]
- wiek powyżej 50 lat
- płeć żeńska
- otyłość brzuszna[1]
- podwyższony poziom trójglicerydów
- gwałtowny spadek masy ciała[1]
Objawy
Zwykle przebiega bezobjawowo. W niektórych przypadkach występuje:[1]
- zmęczenie, osłabienie, złe samopoczucie
- niespecyficzne dolegliwości bólowe pod prawym łukiem żebrowym
- niewielka hepatomegalia
- stosunkowo rzadko splenomegalia
- bardzo rzadko cechy nadciśnienia wrotnego
Powikłania
- włóknienie wątroby
- marskość wątroby
- rak wątrobowokomórkowy
Czynniki ryzyka rozwoju powikłań
- otyłość brzuszna[1]
- cukrzyca typu 2
- nadciśnienie tętnicze
- aktywność AlAT powyżej 2-krotności górnej granicy normy
- wskaźnik de Ritisa < 1[1][2]
- trójglicerydy > 1,7 mmol/l
Rozpoznanie
Rozpoznanie stawia się po wykluczeniu alkoholowego zapalenia wątroby na podstawie stwierdzenia następujących kryteriów:
- zwiększenie aktywności AspAT i AlAT (wskaźnik de Ritisa < 1[2] )
- aktywność AlAT < 5-krotności górnej granicy normy[1]
- w USG cechy stłuszczenia wątroby
- brak innych schorzeń wątroby.
Badania pomocnicze
- badania laboratoryjne:
- dyslipidemia
- hiperglikemia
- hipoalbuminemia
- wydłużony czas protrombinowy
- zwiększenie aktywności GGTP
- hiperbilirubinemia
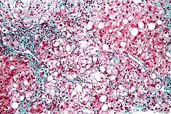
- badanie histopatologiczne materiału pobranego podczas biopsji wątroby:
- stłuszczenie wielkokropelkowe
- naciek zapalny
- zwyrodnienie balonowate
- martwica
- włóknienie
- ciałka Mallory’ego
Rozpoznanie różnicowe
Leczenie
Zwalczanie otyłości (zmiana trybu życia, zmiana diety, aktywność fizyczna, wspomagająco leczenie farmakologiczne). Leczenie zaburzeń wchodzących w skład zespołu metabolicznego (jak wyżej, ponadto metformina, statyny), witamina E.
Przypisy
- 1 2 3 4 5 6 7 Craig J. McClaina, Sri Prakash L. Mokshagundama, Shirish S. Barvea, Zhenyuan Songa, Daniell B. Hilla, Theresa Chenb, Ion Deaciuca. Mechanisms of non-alcoholic steatohepatitis. „Alcohol”. 34, s. 67–79, 2004. PMID: 15670668. (ang.).
- 1 2 Darius Sorbi, Jessica Boynton, Keith D. Lindor. The ratio of aspartate aminotransferase to alanine aminotransferase: potential value in differentiating nonalcoholic steatohepatitis from alcoholic liver disease. „The American Journal of Gastroenterology”. 94 (4), s. 1018–22, kwiecień 1999. DOI: 10.1111/j.1572-0241.1999.01006.x. ISSN 0002-9270. PMID: 10201476. (ang.).
Bibliografia
- Andrzej Szczeklik (red.): Choroby wewnętrzne. T. 1. s. 945-946. ISBN 83-7430-031-0.
Zobacz też
- Niealkoholowa stłuszczeniowa choroba wątroby
- Alkoholowe stłuszczenie wątroby
- Alkoholowe zapalenie wątroby
Przeczytaj ostrzeżenie dotyczące informacji medycznych i pokrewnych zamieszczonych w Wikipedii.