Udar mózgu
| insultus cerebri | |
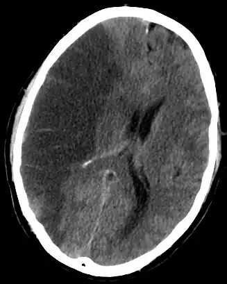
![]() Udar mózgu niedokrwienny – rozległy zawał mózgu w obszarze tętnicy środkowej mózgu z masywnym obrzękiem półkuli i towarzyszącym przemieszczeniem struktur środkowych (strzałka) |
Udar mózgu, zdarzenie mózgowonaczyniowe[a], dawniej także apopleksja (gr. stgr. ἀποπληξία – paraliż; łac. apoplexia cerebri, insultus cerebri) – zespół objawów klinicznych związanych z nagłym wystąpieniem ogniskowego lub uogólnionego zaburzenia czynności mózgu, powstały w wyniku zaburzenia krążenia mózgowego i utrzymujący się ponad 24 godziny.
Udar mózgu może być:
- krwotoczny – wywołany wylewem krwi do mózgu, wyróżnia się z nich krwotoki śródmózgowe i podpajęczynówkowe,
- niedokrwienny – wywołany zatrzymaniem dopływu krwi do mózgu, przy czym może być również wtórnie ukrwotoczniony.
Objawy udaru zależą od miejsca uszkodzenia. W wielu przypadkach udar mózgu jest stanem zagrażającym życiu, jako zaburzenie wymaga bezwzględnie hospitalizacji, najlepiej na wyspecjalizowanym oddziale udarowym.
Epidemiologia
Ryzyko udaru mózgu rośnie wraz z wiekiem. Udary mózgu występują głównie u osób starszych (średni wiek zachorowania około 70 lat[1]), ale zdarzają się także u dzieci.
W Polsce rejestruje się około 60 000 nowych zachorowań na udar rocznie, a zapadalność na tę chorobę określa na około 175/100 000 mężczyzn i 125/100 000 kobiet. Udar mózgu jest trzecią co do częstości przyczyną śmierci oraz główną przyczyną trwałego kalectwa i braku samodzielności u osób dorosłych[2].
Czynniki ryzyka udaru
Czynniki ryzyka udaru niedokrwiennego można podzielić na modyfikowalne i niemodyfikowalne[3][4].
- Niemodyfikowalne
- wiek – ryzyko zwiększa się dwukrotnie co 10 lat, od 55. roku życia,
- płeć męska,
- etniczne (rasa czarna i żółta[5]),
- predyspozycje rodzinne i genetyczne (udar w rodzinie w wywiadzie, genetycznie uwarunkowane zespoły predysponujące do stanów zakrzepowych, hiperhomocysteinemia),
- przebyty udar bądź przemijający atak niedokrwienny (TIA).
- Modyfikowalne
- nadciśnienie tętnicze,
- choroby serca (migotanie przedsionków),
- zaburzenia gospodarki lipidowej,
- cukrzyca,
- choroby naczyń, szczególnie zwężenie tętnicy szyjnej wewnętrznej,
- palenie papierosów,
- nadużywanie alkoholu,
- otyłość,
- dna moczanowa,
- zespół bezdechu sennego,
- zaburzenia krzepnięcia, w tym polekowe, hiperfibrynogenemia,
- stosowanie amfetamin, kokainy,
- przyjmowanie antykoncepcji hormonalnej,
- ciąża[6],
- mała aktywność fizyczna[7].
Udar krwotoczny
Polega na nagłym wylewie krwi z pękniętego naczynia krwionośnego, który niszczy utkanie mózgu.
Krwotok podpajęczynówkowy
Krwotok podpajęczynówkowy stanowi przyczynę około 5% wszystkich udarów. Powstaje najczęściej wskutek pęknięcia tętniaka lub innych wad naczyniowych.
Krwotok śródmózgowy
Krwotok śródmózgowy stanowi około 10–15% wszystkich udarów. Krwawienie występuje najczęściej w okolicy jąder podstawy i torebki wewnętrznej[8][9].
Najczęstszą przyczyną jest nadciśnienie tętnicze. Do innych przyczyn należą tętniaki i malformacje naczyniowe, skazy krwotoczne, angiopatia skrobiawicza. Ryzyko krwotoku śródmózgowego wzrasta także po zażyciu amfetaminy i kokainy.
Pogorszenie stanu ogólnego następuje nagle, często po dużym wysiłku lub stresie. Zwykle występuje bardzo silny ból głowy, nudności i wymioty. Typowo w ciągu kilku minut dochodzi do utraty przytomności. Rozwija się stan śpiączkowy. Zwykle występuje porażenie połowicze, opadanie kącika ust po stronie porażonej (objaw fajki), mogą występować objawy oponowe. Krwotok móżdżku zwiększa ryzyko wklinowania.
Małe udary krwotoczne, przebiegające z niewielkimi zaburzeniami świadomości, może cechować zależnie od umiejscowienia:
- płat czołowy – zespół czołowy (np. chory staje się obojętny) ze zmianą charakteru, ból okolicy czołowej, kontralateralny niedowład połowiczy lub rzadko monopareza
- płat ciemieniowy – ból okolicy ciemieniowo-skroniowej, zaburzenia czucia
- płat skroniowy – bóle okolicy skroniowej, niedowidzenie kwadrantowe
- płat potyliczny – niedowidzenie połowicze
Udar niedokrwienny
Udar niedokrwienny określany też jako zawał mózgu spowodowany jest gwałtownym zatrzymaniem dopływu krwi do mózgu jako wynik zwężenia lub całkowitego zamknięcia światła naczyń tętniczych. Stanowi 85–90% wszystkich udarów.
Przyczyny:
- zaburzenia rytmu serca (przede wszystkim migotanie przedsionków)
- zmiany miażdżycowe
- zwężenie lub niedrożność tętnic zaopatrujących mózg (zakrzep)
- wady zastawek
- ostry zawał serca
- zaburzenia krzepnięcia
- zmiany zapalne naczyń
Głównymi objawami są przede wszystkim niedowład (lub porażenie) kończyn i twarzy po jednej stronie ciała (niedowład prawo- lub lewostronny) oraz zaburzona mowa – przede wszystkim afazja jeśli towarzyszy niedowładowi prawostronnemu.
Symptomatologia udaru jest uzależniona od lokalizacji ogniska udarowego w mózgu. W starannym badaniu neurologicznym można czasem również spostrzec:
- osłabienie lub zniesienie czucia po jednej stronie ciała
- zaburzenia w zakresie zdolności wykonywania precyzyjnych ruchów, nie wynikające z niedowładu – apraksja
- zaburzenia w zakresie zdolności mówienia – afazja ruchowa (dyzartria jeśli dotyczy niedowładu mięśni aparatu mowy) lub rozumienia mowy (afazja czuciowa)
- zaburzenia w zakresie zdolności do pisania (agrafia) i czytania (aleksja)
- zaburzenia w zakresie zdolności do zapamiętywania nowych informacji – amnezja
- zaburzenia w zakresie zdolności do rozpoznawania i identyfikowania obiektów – agnozja
- zaburzenia w zakresie zdolności do liczenia – akalkulia
- zaburzenia w zakresie zdolności do przełykania – dysfagia
- zaburzenia w zakresie zdolności do widzenia w danym zakresie pola widzenia – niedowidzenie
- może wystąpić również napad padaczkowy
- może wystąpić majaczenie, mogą towarzyszyć urojenia i omamy
- mogą wystąpić zaburzenia świadomości
Diagnostyka

W przypadku udaru mózgu podstawowe znaczenie ma zróżnicowanie pomiędzy udarem niedokrwiennym i krwotocznym. Należy wykonać w tym celu jak najszybciej tomografię komputerową głowy pamiętając, że diagnostyka musi być wykonana niezwłocznie po to, by można było podjąć odpowiednie leczenie („czas to mózg”). Badanie neuroobrazowe wykonuje się nie w celu uwidocznienia strefy niedokrwienia mózgu, gdyż w pierwszych godzinach i tak jest ona niewidoczna, lecz w celu wykluczenia (lub ewentualnie potwierdzenia) krwotoku mózgowego, w którym leczenie różni się zasadniczo od leczenia udaru niedokrwiennego. Tak więc jak najwcześniejsza tomografia komputerowa głowy ma znaczenie decydujące dla rodzaju leczenia, jakiemu chory zostanie poddany.
W razie wątpliwości czasem badaniem rozstrzygającym jest rezonans magnetyczny. Oba badania neuroobrazowe pozwalają z wysoką czułością wykluczyć inne niż udar niedokrwienny przyczyny chorób mózgu – np. guz śródczaszkowy. W krwotoku śródmózgowym czułość CT wynosi blisko 100%, w podpajęczynówkowym około 96% do 12 godzin, około 80% po 12–48 godzinach. W udarze niedokrwiennym czułość badań CT i MR jest podobna i wynosi (dla CT) do 60% w pierwszej dobie i do 100% w pierwszym tygodniu[2][10].
Angiografia tętnic domózgowych (szyjnych i kręgowych wraz z ich odgałęzieniami mózgowymi) umożliwia dokładne określenie, która z tętnic jest niedrożna w przypadku udaru niedokrwiennego, co pozwala na ewentualne podjęcie inwazyjnego leczenia wewnątrznaczyniowego (angioplastyka, stentowanie lub usunięcie skrzepu –- mechaniczna trombektomia).
W celu ustalenia ewentualnego źródła materiału zatorowego, stosuje się ultrasonografię (np. tętnic szyjnych), arteriografię i echokardiografię.
Leczenie
Pierwsza pomoc
Udar mózgu jest stanem bezpośredniego zagrożenia życia. Bardzo istotny w leczeniu jest czas upływający od wystąpienia objawów i postawienia rozpoznania do wdrożenia leczenia, dlatego osobę, u której podejrzewa się wystąpienie udaru mózgu, należy jak najszybciej przetransportować do szpitala z oddziałem udarowym. Powinno się unikać leczenia i transportu pacjenta z udarem do małych lokalnych ośrodków, które nie są w stanie zapewnić właściwego wczesnego postępowania terapeutycznego. Dyskwalifikujące dla ośrodka są: brak urządzenia diagnostyki obrazowej (tomograf, rezonans), brak zespołu będącego w stanie zastosować leczenie trombolityczne. Optymalną sytuacją jest, gdy pacjent trafi na specjalistyczny oddział udarowy.
W przypadku podejrzenia udaru mózgu należy zabezpieczyć czynności życiowe i ułożyć chorego w pozycji bezpiecznej, w celu zapobieżenia zapadaniu tkanek miękkich lub zachłyśnięcia wymiocinami. Należy niezwłocznie wezwać zespół pogotowia ratunkowego i monitorować oddech i krążenie.
Leczenie fazy ostrej
Postępowanie ogólne[1]:
- monitorowanie czynności życiowych
- uzupełnianie niedoborów wodno-elektrolitowych
- monitorowanie ciśnienia tętniczego – u chorych z udarem mózgu należy unikać gwałtownego obniżania ciśnienia, ze względu na ryzyko zmniejszenia przepływu mózgowego krwi; leczenie hipotensyjne wdraża się przy wartościach ciśnienia:
- >220/120 przy udarze niedokrwiennym (180/105 przy planowanym leczeniu trombolitycznym)
- >180/105 przy udarze krwotocznym
- oraz w każdym przypadku z towarzyszącym ostrym zespołem wieńcowym, ostrą niewydolnością nerek czy niewydolnością serca
- kontrola glikemii (w przypadku hiperglikemii ≥ 10 mmol/l insulinoterapia, w przypadku hipoglikemii wlew 10–20% roztworu glukozy)
- przy współistniejącej gorączce obniżanie temperatury ciała (ibuprofen, paracetamol)
- kontrola diurezy
- profilaktyka przeciwzakrzepowa
- leczenie przeciwdrgawkowe przy występowaniu drgawek (benzodiazepiny dożylnie)
- leczenie przeciwobrzękowe w przypadku stwierdzenia objawów obrzęku mózgu (uniesienie głowy, mannitol, krótko działające barbiturany, hiperwentylacja, ewentualnie postępowanie operacyjne)
Postępowanie swoiste:
Postępowanie lecznicze jest uzależnione od tego, czy mamy do czynienia z udarem krwotocznym, czy niedokrwiennym. Zależy także od czasu jaki upłynął od pierwszych objawów (a częściowo także od stanu pacjenta i innych dolegliwości).
| Rodzaj udaru | Leczenie |
|---|---|
| Udar krwotoczny
(10–15% przypadków) |
Obecnie nie forsuje się rutynowego leczenia chirurgicznego (z trepanacją czaszki, opracowaniem chirurgicznym miejsca krwawienia i uszkodzonego naczynia, i oczyszczeniem tkanek z zalegającej krwi) w ciągu 4 dób od wystąpienia nadnamiotowego udaru krwotocznego[11]. W metaanalizie badań porównujących zachowawcze i chirurgiczne leczenie śródmózgowych krwotoków nadnamiotowych nie wykazano przewagi żadnej z metod[12].
Zabiegowi chirurgicznemu powinni być poddani pacjenci z wylewem do móżdżku, jeśli ognisko krwotoczne jest większe od 3 cm oraz występują ubytki neurologiczne, lub ucisk pnia mózgu lub wodogłowie z powodu utrudnienia odpływu z komór mózgu[11]. Do rozważenia poddaje się ewakuację nadnamiotowych ognisk, jeśli znajdują się do 1 cm od powierzchni[11]. Wobec następstw jakie niesie za sobą udar krwotoczny wydaje się, że podjęcie działań zmierzających do ograniczenia niepełnosprawności chorego, jest kluczowe. Prowadzone są próby z leczeniem neurochirurgicznym poprzedzonym podaniem do krwiaka leku trombolitycznego- rt-PA. |
| Udar niedokrwienny
(85–90% przypadków) |
Od końca lat 90., na wzór leczenia ostrego zawału serca, wprowadzono do leczenia udaru niedokrwiennego mózgu leki trombolityczne. Są to leki aktywujące trombolizę, czyli „rozpuszczanie” skrzepu będącego przyczyną niedokrwienia mózgu. Leczenie należy wykonać w trybie nagłym, doraźnym, najszybciej jak to jest możliwe, w trakcie tzw. okna terapeutycznego, które dla obecnie stosowanego leku rt-PA (rekombinowany tkankowy aktywator plazminogenu) podawanego dożylnie wynosi do 4 i pół godzin od pierwszych objawów. W Polsce, od roku 2003, na podstawie wytycznych Narodowego Programu Profilaktyki i Leczenia Chorób Sercowo-Naczyniowych POLKARD 2003–2005, prowadzone jest leczenie trombolityczne w udarze niedokrwiennym w specjalnie przygotowanych do tego Oddziałach Udarowych. Leczenie trombolityczne może być przeprowadzone tylko w przypadku braku przeciwwskazań, których lista obejmuje między innymi: wysokie ciśnienie tętnicze (ponad 185 mm Hg skurczowe), stosowane w okresie przed zachorowaniem leczenie doustnymi lekami przeciwzakrzepowymi lub heparyną, wysoki poziom glikemii, małopłytkowość, także ciężki udar z głębokim niedowładem i zaburzeniami świadomości (stosowana jest specjalna skala punktowa) i wiele innych. Niewłaściwe stosowanie leczenia trombolitycznego – poza czasowym oknem terapeutycznym lub przy współistnieniu przeciwwskazań do leczenia może prowadzić do poważnych powikłań (wtórne ukrwotocznienie zawału). Odpowiednio wcześnie podjęte leczenie daje szansę na odwrócenie lub zminimalizowanie skutków udaru, zaś chory może nawet powrócić do pełnej aktywności bez żadnych deficytów neurologicznych.
W ostatnim okresie w leczeniu udaru niedokrwiennego stosuje się także mechaniczną trombektomię [dotyczy udaru z niedrożności tętnicy szyjnej i dużych naczyń mózgowych – okno czasowe do 6 godzin, w niektórych przypadkach nawet dłużej] oraz angioplastykę i implantację stentów naczyniowych (patrz leczenie zawału mózgu). |
W każdym etapie leczenia konieczne jest kompleksowa opieka nad chorym, jego obserwacja leczenie wszystkich dysfunkcji. Często pojawia się hipotermia lub hipertermia, występuje spłycenie oddechu i zniesienie odruchów kaszlu, spotyka się zaburzenia elektrolityczne i metaboliczne. Może pojawić się także obrzęk mózgu. Wyrównywanie stanu chorego jest zatem kluczowe dla utrzymania go przy życiu.
Rehabilitacja
Po przebytym udarze mózgu niezbędna jest następowa rehabilitacja mająca na celu przywrócenie utraconych funkcji. Rehabilitację należy podjąć najszybciej jak to jest możliwe, po ustabilizowaniu stanu pacjenta. Rehabilitacja jest długotrwała i nie zawsze prowadzi do pełnego przywrócenia utraconych funkcji.
Proces rehabilitacji po udarze mózgu można podzielić na 3 etapy:
- Rehabilitacja szpitalna. W jej skład wchodzi rehabilitacja psychologiczna, logopedyczna oraz sesje z fizjoterapeutą. Fizjoterapeuta w zależności od stanu pacjenta wykonuje odpowiednie ćwiczenia z kinezyterapii, wdrażana jest pionizacja oraz nauka chodzenia
- Rehabilitacja poszpitalna. - Optymalną sytuacją jest prowadzenie jej w specjalistycznych ośrodkach rehabilitacyjnych, na oddziałach rehabilitacji neurologicznej, jednak w polskich warunkach czas oczekiwania na przyjęcie do takiego ośrodka (kilka miesięcy) niweczy często wysiłki pacjenta i rehabilitantów.
- Rehabilitacja ambulatoryjna i domowa. Usprawnianie chorego powinno być kontynuowane w warunkach domowych lub ambulatoryjnych. Celem tego etapu jest między innymi podtrzymanie wcześniej osiągniętych postępów[13].
Klasyfikacja ICD10
| kod ICD10 | nazwa choroby |
|---|---|
| ICD-10: I60 | Krwotok podpajęczynówkowy |
| ICD-10: I61 | Krwotok śródmózgowy |
| ICD-10: I62 | Inny nieurazowy krwotok śródczaszkowy |
| ICD-10: I63 | Zawał mózgu |
| ICD-10: I64 | Udar mózgu, niesklasyfikowany jako krwotok lub zawał |
Uwagi
- ↑ Także incydent mózgowonaczyniowy lub epizod mózgowonaczyniowy.
Przypisy
- 1 2 Andrzej Szczeklik (red.) Choroby wewnętrzne. tom I, II Wydawnictwo Medycyna Praktyczna, 2005. ISBN 83-7430-031-0.
- 1 2 Postępowanie w ostrym udarze niedokrwiennym mózgu. Raport zespołu ekspertów Narodowego Programu Profilaktyki i Leczenia Udaru Mózgu (2000).
- ↑ Przewodnik Lekarza 5/2001. ISSN 1505-8409: Członkowska A. Pierwotna profilaktyka udaru mózgu.
- ↑ Pamiętaj o sercu: Śpiewak M. Czynniki ryzyka udaru mózgu.
- ↑ Źródło: Lewis P. Rowland, Timothy A. Pedley „Neurologia Merritta” – wyd. III polskie pod red. Huberta Kwiecińskiego i Anny M. Kamińskiej, 2012 – tom I, s. 285.
- ↑ Ewa Łuksza i inni, Zakrzepica naczyń żylnych mózgu – opis dwóch przypadków, „Polski Przegląd Neurologiczny”, 12 (4), 1 kwietnia 2016, s. 217–223, ISSN 1734-9745 (pol.).
- ↑ Program profilaktyki udarów | Pacjent [online], pacjent.gov.pl [dostęp 2021-09-14].
- ↑ Antoni Prusiński, Neurologia praktyczna, Warszawa: Wydawnictwo Lekarskie PZWL, 2001, ISBN 83-200-2590-7, OCLC 749763942.
- ↑ eMedicine: Stroke, Hemorrhagic.
- ↑ Choroby Serca i Naczyń – czasopismo lekarzy praktyków tom 2 nr 4–2005. ISSN 1733-2346: Lasek W., Serafin W., Neuroobrazowanie wczesnego okresu udaru mózgu.
- 1 2 3 Guidelines for the Management of Spontaneous Intracerebral Hemorrhage in Adults – AHA 2007.
- ↑ The Cochrane Collaboration: Surgery for primary supratentorial intracerebral haemorrhage (Review).
- ↑ Fizjoplaner.pl, Udar mózgu – leczenie i rehabilitacja [online], fizjoplaner.pl [dostęp 2019-01-06] (pol.).
Linki zewnętrzne
- Aktualne wytyczne w zakresie postępowania z chorymi z podejrzeniem udaru mózgu
- Udar Mózgu. Problemy Interdyscyplinarne ISSN 1505-6740.
- Rola rodziny w rehabilitacji po udarze mózgu (praca magisterska) PDF
Przeczytaj ostrzeżenie dotyczące informacji medycznych i pokrewnych zamieszczonych w Wikipedii.
