Blastomykoza
| Klasyfikacje | |
| ICD-10 | |
|---|---|
Blastomykoza, choroba Gilchrista, drożdżyca północnoamerykańska, drożdżyca amerykańska – przewlekła choroba ropna i ziarniniakowa wywoływana przez Blastomyces dermatitidis, występująca endemicznie w południowo-wschodniej i południowo-środkowej części Stanów Zjednoczonych (odnotowano jednak przypadki także w Europie, Azji i Afryce).
Etiologia
Blastomyces dermatitidis występuje prawdopodobnie w glebie. Zakażenie następuje poprzez aspirację konidiów grzyba, rzadziej spotyka się pierwotną infekcję skórną.
Objawy i przebieg

Blastomykoza rozpoczyna się zwykle bezobjawowo. Z czasem pojawia się kaszel, gorączka, spadek masy ciała. Wraz z postępem choroby dochodzi do wytworzenia ropni i jam w miąższu płucnym. Czasem występuje ostre zapalenie płuc (nierozróżnialne klinicznie od zapalenie bakteryjnego, z gorączką od 39 do 40 °C) rozwijające się w ciągu 30–45 dni od ekspozycji.
Blastomykoza skórna powstaje zwykle wskutek rozsiewu grzyba z płuc drogą krwiopochodną. Powstają niebolesne owrzodzenia lub nieregularnie odgraniczone brodawki. Typowo zajęta jest skóra twarzy, głowy i szyi a także kończyn górnych.
Możliwe są także osteolityczne zmiany kostne (kości długie, żebra, kręgi, miednica) i zapalenia stawów. Rzadziej spotyka się ogniska w sterczu, najądrzach i jądrach, w ośrodkowym układzie nerwowym (ropnie mózgowia i zapalenie opon mózgowo-rdzeniowych) lub o innej lokalizacji.
Diagnostyka i leczenie
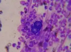
Grzyba wykrywa się w mikroskopowym badaniu mikologicznym materiału pobranego od chorego (zeskrobiny skórne, plwocina, krew, popłuczyny oskrzelowe, płyn mózgowo-rdzeniowy), badaniu histopatologicznym albo poprzez hodowlę. Radiologicznie zmiany płucne mogą sugerować raka oskrzeli lub gruźlicę (nacieki guzkowo-włókniste).
Samowyleczenie jest możliwe u immunokompetentnych pacjentów z ostrą blastomykozą płucną. Większość pacjentów wymaga leczenia. Lekiem z wyboru jest amfoterycyna B, ale wykazano także skuteczność ketokonazolu, itrakonazolu i flukonazolu.[1]
Klasyfikacja ICD10
| kod ICD10 | nazwa choroby |
|---|---|
| ICD-10: B40 | Blastomykoza |
| ICD-10: B40.0 | Ostra blastomykoza płucna |
| ICD-10: B40.1 | Przewlekła blastomykoza płucna |
| ICD-10: B40.2 | Blastomykoza płucna nieokreślona |
| ICD-10: B40.3 | Blastomykoza skórna |
| ICD-10: B40.7 | Blastomykoza rozsiana |
| ICD-10: B40.8 | Inne postacie blastomykozy |
| ICD-10: B40.9 | Blastomykoza nieokreślona |
Bibliografia
- Mycology Online: Blastomycosis. mycology.adelaide.edu.au. [zarchiwizowane z tego adresu (2007-08-29)].
- Doctor Fungus: Blastomycosis
Przypisy
Przeczytaj ostrzeżenie dotyczące informacji medycznych i pokrewnych zamieszczonych w Wikipedii.