Brodawczak splotu naczyniówkowego

Brodawczak splotu naczyniówkowego (ang. choroid plexus papilloma) – rzadki nowotwór ośrodkowego układu nerwowego, wywodzący się z splotu naczyniówkowego układu komorowego mózgowia[1]. W 50% przypadków rozwija się w komorze bocznej, w 40% w komorze IV i w 5% w komorze III.
Epidemiologia
Brodawczaki splotu naczyniówkowego występują przede wszystkim w wieku dziecięcym, z jednakową częstością u chłopców i dziewczynek[2].
Objawy i przebieg
Guz produkuje płyn mózgowo-rdzeniowy, co przyczynia się do wodogłowia i nadciśnienia śródczaszkowego[2].
Diagnostyka

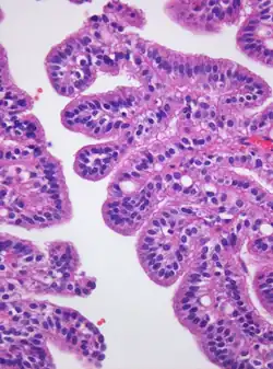
W badaniu tomografii komputerowej guz widoczny jest jako wyraźnie odgraniczona od otoczenia, wewnątrzkomorowa, hipo-, izo- lub hiperdensyjna zmiana zawierająca zwapnienia[2]. Po podaniu środka kontrastowego obserwowane jest jednolite wzmocnienie zmiany oraz niekiedy naczynie doprowadzające[2]. Makroskopowo w diagnostyce różnicowej brodawczaka należy uwzględnić wyściółczaka, rdzeniaka zarodkowego i potworniaka[2]. W materiale histopatologicznym można zaobserwować struktury brodawkowate, utworzone przez cylindrycznego kształtu komórki spoczywające na błonie podstawnej[1]. Mikroskopowo brodawczaki wymagają różnicowania z rakiem splotu naczyniówkowego[2].
Leczenie
Leczenie jest chirurgiczne[1].
Przypisy
- 1 2 3 Neurologia. Podręcznik dla studentów medycyny. Wojciech Kozubski, Paweł P. Liberski (red.). Warszawa: Wydawnictwo Lekarskie PZWL, 2006, s. 480. ISBN 83-200-3244-X.
- 1 2 3 4 5 6 Przemysław Nowacki: Nowotwory OUN u dzieci. W: Adam Stępień: Neurologia. Wyd. 1. Warszawa: Medical Tribune Polska, 2014, s. 410-411. ISBN 978-83-64153-00-6.
Przeczytaj ostrzeżenie dotyczące informacji medycznych i pokrewnych zamieszczonych w Wikipedii.