Choroba moyamoya
![]() | |
| Klasyfikacje | |
| ICD-10 | |
|---|---|


Choroba moyamoya, choroba moya-moya (jap. もやもや病, dosł. mglisty, mętny, rozmyty) – rzadki zespół chorobowy o nieznanej etiologii, występujący głównie u młodych (dzieci i młodzi dorośli) Azjatów, powodujący niedrożność dużych tętnic wewnątrzczaszkowych, szczególnie końcowego odcinka tętnicy szyjnej wewnętrznej i tętnic środkowej i przedniej mózgu, doprowadzając do niedokrwienia ośrodkowego układu nerwowego, przebiegającego najczęściej pod postacią przemijających napadów niedokrwiennych, choć może również przebiegać jako udar mózgu lub krwotok mózgowy.
Patofizjologia
U chorych stwierdza się pogrubienie błony wewnętrznej tętnic objętych procesem chorobowym, poza tym w błonie wewnętrznej można wykryć złogi lipidowe.
Stwierdza się także różnego stopnia zwężenia, aż do zamknięcia ich światła, w obrębie tętnic odchodzących od koła tętniczego Willisa. Wskutek zaburzeń krążenia, wtórnego względem tych zwężeń, dochodzi do rozwoju naczyń krążenia obocznego, które składają się na charakterystyczny obraz angiograficzny.
Etiologia
Przyczyny choroby są nieznane. Objawy mogą pojawić się nagle u osoby dotychczas zdrowej. Opisywane są przypadki występujące rodzinnie (około 10%), w których postuluje się podłoże genetyczne, o wieloczynnikowym autosomalnym typie dziedziczenia. Ostatnie badania wskazują na związek locus 17q25 z tą chorobą[1]. Opisano również wiele przypadków współistnienia choroby moyamoya z następującymi jednostkami chorobowymi:
- choroba Gravesa-Basedowa
- leptospiroza
- gruźlica
- anemia aplastyczna
- anemia Fanconiego
- zespół Aperta
- zespół Downa
- zespół Marfana
- stwardnienie guzowate
- choroba Hirschsprunga
- miażdżyca
- koarktacja aorty
- nadciśnienie tętnicze
- uszkodzenia po radioterapii
- obecność antykoagulantu toczniowego
- urazy czaszki
- guzy okolicy siodła tureckiego.
Objawy i przebieg
Objawy nieco różnią się w zależności od wieku wystąpienia objawów chorobowych. U dzieci występują porażenie połowicze, ból głowy, zawroty głowy, drgawki, ruchy mimowolne, upośledzenie umysłowe. U dorosłych oprócz powyższych objawów ogólnych częstsze są objawy TIA oraz występowanie udarów mózgu i krwotoków podpajęczynówkowych.
Rozpoznanie
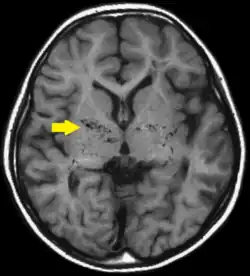
Podstawą rozpoznania jest obraz angiograficzny mózgu, gdyż widoczne są na nim licznie rozwijające się naczynia krążenia obocznego, tworzące charakterystyczne dla tej choroby „kłęby dymu”.
Leczenie
Nieznane jest leczenie przyczynowe, istnieją jednak ogólne zalecenia dotyczące terapii zachowawczej. W celu zapobiegania ryzyku udaru mózgu zalecane jest leczenie przeciwpłytkowe. Leczenie antykoagulacyjne nie zostało zaaprobowane przez amerykańską Agencję Żywności i Leków, z uwagi na poważne ryzyko krwawienia podpajęczynówkowego.
W leczeniu stosuje się postępowanie neurochirurgiczne oparte na następujących procedurach operacyjnych:
- STA-MCA (ang. superficial temporal artery–middle cerebral artery anastomosis) – wytworzenie anastomozy między tętnicą skroniową a tętnicą środkową mózgu
- EDAS – encefaloduroarteriosynangioza
- EDAMS – encefaloduroarteriomiosynangioza.
Przypisy
- ↑ Causes of Moyamoya Disease, Right Diagnosis
Bibliografia
- Anthony S Fauci, Monika Dudzisz-Śledź: Interna Harrisona. T. 3. Lublin: Czelej, 2002, s. 2064. ISBN 83-88063-42-1.
Linki zewnętrzne
- Moyamoya leczenie: https://www.moyamoya.eu
- MOYAMOYA DISEASE 1; MYMY1 w bazie Online Mendelian Inheritance in Man (ang.)
- MOYAMOYA DISEASE 2; MYMY2 w bazie Online Mendelian Inheritance in Man (ang.)
- MOYAMOYA DISEASE 3 w bazie Online Mendelian Inheritance in Man (ang.)
- Moyamoya Disease, Medscape.com
Przeczytaj ostrzeżenie dotyczące informacji medycznych i pokrewnych zamieszczonych w Wikipedii.
