Czerwienica prawdziwa
| polycythemia vera | |
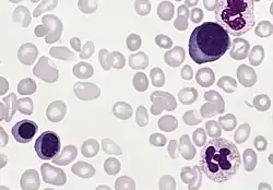
![]() Rozmaz krwi u chorego na czerwienicę prawdziwą, widoczne komórki prekursorowe oraz zaburzenia wielkości i kształtu erytrocytów | |
| Klasyfikacje | |
| ICD-10 | |
|---|---|
| ICDO |
M9950/3 |
Czerwienica prawdziwa, choroba Vaqueza (łac. polycythemia vera) – pierwotna choroba mieloproliferacyjna, przebiegająca ze zwiększeniem liczby erytrocytów, granulocytów i płytek krwi, z przewagą erytropoezy.
Epidemiologia
Występuje z częstością 2:100 000, częściej u mężczyzn po 50. roku życia.
Etiopatogeneza
Nie do końca poznana. Czasem może przechodzić w przewlekłą białaczkę szpikową.
Objawy
- drętwienie rąk i nóg
- krwioplucie
- żylaki odbytu[1]
- bóle i zawroty głowy
- szum w uszach
- zmęczenie
- duszność wysiłkowa
- krwawienie z nosa
- zaburzenia widzenia
- erytromelalgia
- nadciśnienie tętnicze
- sinoczerwonawe zabarwienie nosa, uszu, warg i spojówek (łac. plethora polycythaemica)
- świąd skóry – charakterystycznym objawem dla czerwienicy prawdziwej jest jego nasilenie po gorącej kąpieli; ma to najprawdopodobniej związek z degranulacją mastocytów
- powiększenie śledziony i/lub wątroby
- zastoinowe naczynia żylne w badaniu dna oka
- objawy dny moczanowej
Powikłania
- zakrzepy żylne lub tętnicze (udar mózgu, zawał mięśnia sercowego, zakrzepica żył powierzchniowych, zakrzepica żył głębokich, zatorowość płucna)
- skaza krwotoczna
- zwłóknienie szpiku i w konsekwencji jego niewydolność
- rozwój ostrej białaczki
- choroba wrzodowa żołądka i dwunastnicy
Rozpoznanie
Kryteria rozpoznania czerwienicy prawdziwej według WHO 2016:
Kryteria większe
- Hb > 16,5 g/dl (M) Hb > 16,0 g/dl (K) lub Ht > 49% (M) Ht > 48% (K) lub zwiększona masa krążących erytrocytów <25%
- Szpik bogatokomórkowy z cechami trójukładowej proliferacji (linia erytro-, granulo- i megakariocytowa)
- Mutacja V617F JAK2 lub mutacja JAK2 w eksonie 12
Kryteria mniejsze
- Stężenie erytropetyny w surowicy poniżej normy
Do rozpoznania czerwienicy prawdziwej niezbędne jest stwierdzenie wszystkich trzech kryteriów większych lub pierwszych dwóch kryteriów większych i kryterium mniejszego.
Leczenie
- hydroksykarbamid
- interferon α w razie potrzeby
- anagrelid – w przypadku zagrażającej życiu nadpłytkowości
- busulfan lub radioaktywny fosfor
- pirymetamina i pipobroman – w razie nieskuteczności hydroksykarbamidu
- leki przeciwzakrzepowe
- allopurynol – w razie hiperurykemii
- leki przeciwhistaminowe lub naświetlenia – w przypadku świądu
- puszczanie krwi[1]
- agonisty hepcydyny[2]
Rokowanie
Średni czas przeżycia chorego nieleczonego wynosi 2 lata. U chorego leczonego wydłuża się do 15 lat.
Zobacz też
Bibliografia
- Interna pod red. prof. dr hab. Franciszka Kokota, tom 2, s. 756 ISBN 83-200-2872-8.
- Medycyna wewnętrzna Gerd Herold i współautorzy, s. 98–100 ISBN 83-200-3322-5.
Przypisy
- 1 2 Witold S. Gumułka., Wojciech Rewerski, Encyklopedia zdrowia, wyd. 6, t. I, Wydawnictwo Naukowe PWN, 1998, s. 853-854, ISBN 83-01-11680-3.
- ↑ Carla Casu, Elizabeta Nemeth, Stefano Rivella, Hepcidin agonists as therapeutic tools, „Blood”, 2018, DOI: 10.1182/blood-2017-11-737411.
Przeczytaj ostrzeżenie dotyczące informacji medycznych i pokrewnych zamieszczonych w Wikipedii.
