Zatorowość płucna
| embolia arteriae pulmonalis | |
| Klasyfikacje | |
| ICD-10 | |
|---|---|

Zatorowość płucna (łac. embolia arteriae pulmonalis, ang. pulmonary embolism) – choroba polegająca na zwężeniu lub zamknięciu tętnicy płucnej lub części jej rozgałęzień przez materiał zatorowy. Najczęściej jest kliniczną manifestacją żylnej choroby zakrzepowo-zatorowej, która oprócz zatorowości płucnej obejmuje zakrzepicę żył głębokich. Około 95% zatorów spowodowane jest skrzeplinami powstałymi w żyłach głębokich kończyn dolnych i miednicy[1][2][3].
Zator tętnicy płucnej występuje u około 650 000 osób rocznie, jest przyczyną około 200 000 zgonów rocznie powodując 15% wszystkich zgonów wewnątrzszpitalnych[1].
Etiologia
Najczęstszą przyczyną zatoru płucnego jest skrzeplina, znacznie rzadziej dochodzi do zatorowości płucnej wywołanej innymi masami w świetle tętnic małego krążenia. Przyczyną zatorowości poza skrzeplinami mogą być mikroskopowe bądź makroskopowe masy nowotworowe, zatory septyczne, tłuszczowe, np. przy złamaniach wielu kości długich, czy po zabiegach ortopedycznych, cewniki naczyniowe, np. cewnik Swana-Ganza oraz inne ciała obce, takie jak: rtęć, talk, polimetylometakrylan, powietrze, np. podczas cewnikowania serca[1][4].
Podwójne ukrwienie tkanki płucnej powoduje, że zator płucny rzadko kończy się zawałem płuca. Aby do tego doszło, oprócz zatoru, musi również mieć miejsce niewydolność krążenia.
Jeśli materiał zatorowy nie ulegnie szybkiemu rozpuszczeniu pod wpływem endogennych lizyn, przerywa dopływ krwi do dalej położonych naczyń. Zaburzenie krążenia upośledza wytwarzanie substancji czynnej powierzchniowo i doprowadza do niedodmy płuca. Ta część płuca źle opróżnia się z wydzieliny i może być zalążkiem zapalenia płuc. Jeśli zator był dodatkowo zakażony, może być przyczyną ropnia płuc. Najczęstszym źródłem zatorów jest materiał zatorowy pochodzący z żył głębokich kończyn dolnych. Często mogą również powstawać zatory po przebytych operacjach i zabiegach chirurgicznych, po przebytym zawale serca, szczególnie, gdy zwleka się z uruchamianiem chorego[1].
Rozpoznawanie zatorowości płucnej
Autopsyjne badania wykazują, że około 20% przypadków zatorowości płucnej kończących się śmiercią jest rozpoznawanych klinicznie. Ocenia się, że w Polsce rocznie ma miejsce ok. 20 tys. przypadków zatorowości płucnej, a wiele z nich pozostaje nierozpoznanych lub rozpoznanych niewłaściwie.
Kliniczne objawy zatorowości płucnej
Najczęściej występują następujące objawy[1][2]:
- nagła duszność
- ból przy wdechu i wydechu
- ból w klatce piersiowej
- tachykardia i tachypnoe
- ostry kaszel z ewentualnym krwiopluciem
- strach
- omdlenie
Ważne jest uwzględnienie czynników ryzyka. Najczęściej ostateczne rozpoznanie zatorowości nie jest możliwe na podstawie samego badania podstawowego i wymaga badań dodatkowych.
Diagnostyka
Metody obrazowe
Każda diagnostyka obrazowa w kierunku zatorowości będzie się zaczynać od zdjęcia RTG. W przypadku zatorowości może to pokazać powiększenie sylwetki serca, płyn w opłucnej, uniesienie przepony, niedodmę, rzadziej zubożenie rysunku płuc, obrzęk płuc, zawał płuca. Takie wyniki mogą nasuwać podejrzenie zatoru i skłaniają do dalszej diagnostyki.
Jedną z podstawowych metod rozpoznawania zatorowości płucnej jest arteriografia płucna. Już w jednorazowej projekcji można stwierdzić ubytki w przepływie lub całkowite jego zamknięcie. Ujemny wynik jednoznacznie pozwala na odstąpienie od leczenia przeciwkrzepliwego. Metoda ta jest metodą inwazyjną, wystawiającą chorego na działanie kontrastu i promieniowania jonizującego i dlatego powinna być stosowana z rozwagą.
Scyntygrafia płuc jest najczęściej wykonywanym badaniem w diagnostyce zatorowości płucnej (oczywiście dotyczy to ośrodków, które mogą takie badanie przeprowadzić). Jest mniej inwazyjna niż arteriografia, a przy prawidłowym wyniku daje bardzo zbliżone wyniki diagnostyczne. Często wynik ten jest niediagnostyczny i trzeba się opierać na innych badaniach[1][2].
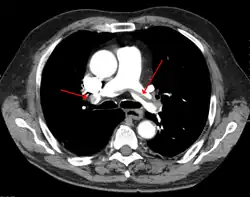
Spiralna tomografia komputerowa z podaniem kontrastu, tzw. agio-TK, jako metoda nieinwazyjna jest bardzo pomocna w ustaleniu rozpoznania. Wynik dodatni potwierdza rozpoznanie, natomiast wynik negatywny nie upoważnia do wykluczenia subsegmentalnych rozgałęzień tętnicy płucnej[1][2].
Ultrasonografia dopplerowska u pacjentów z podejrzeniem zatorowości jest bardzo przydatna ze względu na możliwość rozpoznania zakrzepicy żył kończyn dolnych. Potwierdzenie zakrzepicy żył kończyn dolnych nie zwalnia z diagnostyki w kierunku zatorowości płucnej, ale ukierunkowuje na sposób leczenia (który może być wspólny dla obu schorzeń) i sugeruje pochodzenie zatoru.
Badanie EKG w przypadku zatorowości płucnej wykaże wydłużenie odstępu P-Q i blok przedsionkowo-komorowy II°.
Badanie echokardiograficzne szczególnie często jest wykorzystywane u chorych z podejrzeniem zatorowości na oddziałach kardiologicznych. Czasem jest możliwe uwidocznienie skrzeplin w obrębie tętnic płucnych. Zaletą tego badania jest jego ogólna dostępność, nawet przy łóżku chorego.
Badania laboratoryjne
Najważniejszym badaniem laboratoryjnym w diagnostyce zatorowości jest oznaczenie stężenia D-dimerów. Jego prawidłowe stężenie całkowicie wyklucza możliwość świeżego procesu zakrzepowego. Choć nie zwalnia z diagnostyki, jeżeli obraz kliniczny wskazuje na możliwość zatoru[1].
Leczenie i zapobieganie
Wczesne uruchamianie po zabiegach, zawale serca pozwala na zmniejszenie ryzyka choroby zakrzepowo-zatorowej i zatoru płucnego. Po operacjach i podczas okresów konieczności długiego siedzenia noszenie pończoch kompresyjnych. Również leczenie zakrzepowego zapalenia żył, chirurgiczne leczenie żylaków, profilaktyka przeciwzakrzepowa po epizodach zakrzepowo-zatorowych, daje zmniejszenie ryzyka zatoru[1][2].
Leczenie można podzielić na[2]:
- zachowawcze:
- leczenie przeciwzakrzepowe z zastosowaniem heparyny może pomóc w rozpuszczeniu i zapobiec narastaniu skrzepu. Po ok. 7-10 dniach kontynuuje się podawanie leków z grupy antagonistów witaminy K zazwyczaj przez okres dalszych trzech miesięcy
- ukierunkowane na rozpuszczenie zatoru za pomocą leków trombolitycznych, lub pozwolić na samoistne rozpuszczenie się skrzepu przy obniżeniu krzepliwości krwi po użyciu leków przeciwzakrzepowych,
- inwazyjne:
- fragmentaryzacja skrzepliny przy pomocy cewnika. Przez żyłę do skrzepu wprowadza się cewnik, aby go mechanicznie rozdrobnić. Organizm może następnie zazwyczaj sam rozpuścić te pozostałości pod osłoną leków trombolitycznych.
- chirurgiczne (embolektomia), stosowane u chorych w cięższym stanie (tych którzy przeżyli ostrą fazę zatoru), z dużymi zatorami.
Klasyfikacja ICD10
| kod ICD10 | nazwa choroby |
|---|---|
| ICD-10: I26 | Zator płucny |
| ICD-10: I26.0 | Zator płucny ze wzmianką o ostrym sercu płucnym |
| ICD-10: I26.9 | Zator płucny bez wzmianki o ostrym sercu płucnym |
Przypisy
- 1 2 3 4 5 6 7 8 9 Mark H. Beers, Robert S. Porter, Thomas V. Jones, Justin L. Kaplan, Michael Berkwits(Redaktorzy): The Merck Manual-Podręcznik diagnostyki i terapii. Elsevier Urban&Partner, 2006, s. 527-541, język polski, ISBN 978-83-60290-99-6
- 1 2 3 4 5 6 Was ist eine Lungenembolie?.. www.tk.de. [dostęp 2024-01-22]. (niem.).
- ↑ Rafał Niżankowski i inni, Żylna choroba zakrzepowo-zatorowa, [w:] Piotr Gajewski (red.), Interna Szczeklika, Kraków: Medycyna Praktyczna, 2015, s. 521-534, ISBN 978-83-7430-459-7 (pol.).
- ↑ Alla Khashper i inni, Nonthrombotic Pulmonary Embolism, „American Journal of Roentgenology”, 2, 2012, W152–W159, DOI: 10.2214/AJR.11.6407, ISSN 0361-803X [dostęp 2016-03-14].
Bibliografia
- Stanisław Łopaciuk (red.): Zakrzepy i zatory Wydawnictwo Lekarskie PZWL, Warszawa 2001 ISBN 83-200-2571-0
- "Diagnostyka internistyczna" pod redakcją Jana Tatonia i Anny Czech Wydawnictwo Lekarskie PZWL, Warszawa 2003, wyd. 3 ISBN 83-200-2729-2
- Interna, Włodzimierz Januszewicz, Franciszek Kokot, Witold Bartnik, wyd. 1 (dodr.), Warszawa: Wydawnictwo Lekarskie PZWL, [cop. 2004], ISBN 83-200-2871-X, OCLC 749696682.
- Gerd Herold, Medycyna wewnętrzna, Warszawa, Wydawnictwo Lekarskie PZWL 2005, ISBN 83-200-3322-5
Przeczytaj ostrzeżenie dotyczące informacji medycznych i pokrewnych zamieszczonych w Wikipedii.