Zawał płuca
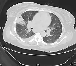
![]() Zawał prawego płuca widoczny na obrazie TK | |
| Klasyfikacje | |
| ICD-10 |
I26.9 |
|---|---|
Zawał płuca – martwica tkanki płucnej spowodowana przez zatrzymanie przepływu krwi przez naczynia płucne[1][2].
Jest on ciężkim powikłaniem zatorowości płucnej (w tym żylnej choroby zakrzepowo-zatorowej), nowotworów, zakażeń[3], niewydolności serca i zabiegów operacyjnych[4][5][6][7]. Najczęstszą przyczyną jest zatorowość płucna – zawał płuca występuje u około 10–30% pacjentów[5][8]. Rozwój zawału w przypadku niedokrwienia zależy w dużej mierze od współistniejących czynników, np. lokalizacji zatoru (zawał najczęściej występuje przy niedrożności małego naczynia obwodowego, lecz może się pojawić także przy zatorze dużej tętnicy[4]) oraz szybkości, z jaką naczynie ulega zablokowaniu[1].
Zawał płuca może być pojedynczy lub mnogi (najczęściej zajmujący jedno płuco), występuje głównie w dolnych płatach, zazwyczaj styka się z opłucną[5]. Objawia się on bólem w klatce piersiowej o pochodzeniu opłucnowym[4][9], gorączką, kaszlem, dusznością, krwiopluciem[10] oraz wstrząsem[2][11][12]. W zawałach obejmujących duży obszar może pojawić się jama[8]. Inne powikłania obejmują krwotok pęcherzykowy i wysięk opłucnowy. Chorobę należy różnicować głównie z zapaleniem płuc[13] oraz nowotworem[5]; wymaga ona szybkiego rozpoznania[14][15].
Leczenie polega głównie na podawaniu leków trombolitycznych (zazwyczaj urokinazy oraz streptokinazy) i przeciwzakrzepowych (najczęściej heparyny i warfaryny)[3]. W przypadku zastosowania poprawnego leczenia śmiertelność jest niska[3].
Zobacz też
Przypisy
- 1 2 T.J.P. Bray, K.H. Mortensen, D. Gopalan, Multimodality imaging of pulmonary infarction, „European Journal of Radiology”, 83 (12), 2014, s. 2240–2254, DOI: 10.1016/j.ejrad.2014.07.016, PMID: 25241050.
- 1 2 Tsutomu Shinohara i inni, Fan-shaped ground-glass opacity (GGO) as a premonitory sign of pulmonary infarction: a case report, „Journal of Thoracic Disease”, 10 (1), 2018, E55–E58, DOI: 10.21037/jtd.2017.12.64, PMID: 29600105, PMCID: PMC5863182.
- 1 2 3 Zhihong Zhuo i inni, Mycoplasma pneumonia combined with pulmonary infarction in a child, „International Journal of Clinical and Experimental Medicine”, 8 (1), 2015, s. 1482–1486, PMID: 25785159, PMCID: PMC4358614.
- 1 2 3 Fauci i Braunwald 2009 ↓, s. 1820.
- 1 2 3 4 Massimo Miniati i inni, Predictors of Pulmonary Infarction, „Medicine”, 94 (41), 2015, DOI: 10.1097/MD.0000000000001488, PMID: 26469892, PMCID: PMC4616802.
- ↑ J. Kirchner i inni, Lung Infarction Following Pulmonary Embolism: A Comparative Study on Clinical Conditions and CT Findings to Identify Predisposing Factors, „RoFo: Fortschritte Auf Dem Gebiete Der Rontgenstrahlen Und Der Nuklearmedizin”, 187 (6), 2015, s. 440–444, DOI: 10.1055/s-0034-1399006, PMID: 25750111.
- ↑ Jae Hwa Cho i inni, A Pulmonary Nodule due to Pulmonary Infarction Diagnosed by Video-Assisted Thoracoscopy, „Yonsei Medical Journal”, 50 (4), 2009, s. 591–593, DOI: 10.3349/ymj.2009.50.4.591, PMID: 19718413, PMCID: PMC2730627.
- 1 2 Matthew T. Koroscil, Timothy R. Hauser, Acute pulmonary embolism leading to cavitation and large pulmonary abscess: A rare complication of pulmonary infarction, „Respiratory Medicine Case Reports”, 20, 2016, s. 72–74, DOI: 10.1016/j.rmcr.2016.12.001, PMID: 28066704, PMCID: PMC5199190.
- ↑ Andrew Christian Stevens, Polymethylmethacrylate cement pulmonary embolism and infarct, „Emergency Medicine Journal”, 31 (3), 2014, s. 257, DOI: 10.1136/emermed-2013-202432, PMID: 23513234.
- ↑ M.C. Chan i inni, Intraoperative whole-lung torsion producing pulmonary venous infarction, „The Annals of Thoracic Surgery”, 57 (5), 1994, s. 1330–1331, PMID: 8179413.
- ↑ Jan Bĕlohlávek, Vladimír Dytrych, Aleš Linhart, Pulmonary embolism, part I: Epidemiology, risk factors and risk stratification, pathophysiology, clinical presentation, diagnosis and nonthrombotic pulmonary embolism, „Experimental & Clinical Cardiology”, 18 (2), 2013, s. 129–138, PMID: 23940438, PMCID: PMC3718593.
- ↑ I. Ulasi i inni, Chronic thromboembolic pulmonary hypertension with pulmonary infarction occuring in a hypertensive, „Nigerian Journal of Medicine”, 20 (2), 2011, s. 285–288, PMID: 21970246.
- ↑ Dilay Çimen i inni, Case of round pneumonia: pulmonary infarct and a rare situation that is similar with the lung cancer, „The Clinical Respiratory Journal”, 9 (4), 2015, s. 512–515, DOI: 10.1111/crj.12137, PMID: 24725533.
- ↑ Adrian Chrastina, Jan E. Schnitzer, Laser-targeted photosensitizer-induced lung injury: noninvasive rat model of pulmonary infarction, „Experimental Lung Research”, 38 (1), 2012, s. 1–8, DOI: 10.3109/01902148.2011.627085, PMID: 22122508.
- ↑ Imthiaz Manoly i inni, Pulmonary infarction after repair of type B aortic dissection, „The Annals of Thoracic Surgery”, 94 (1), 2012, e13–15, DOI: 10.1016/j.athoracsur.2012.01.018, PMID: 22579906.
Bibliografia
- Anthony Fauci, Eugene Braunwald: Interna Harrisona. T. II. Lublin: Wydawnictwo Czelej, 2009, s. 1820. ISBN 978-83-60608-97-5.
Przeczytaj ostrzeżenie dotyczące informacji medycznych i pokrewnych zamieszczonych w Wikipedii.
