Hemosyderoza
Hemosyderoza (ang. hemosiderosis) – patologiczny stan polegający na odkładaniu się hemosyderyny[1][2] (żelaza zawartego w białkach) w komórkach różnych narządów; zwykle bez uszkodzenia tkanki[2][3].
Żelazo trafiające do komórki magazynowane jest normalnie w formie nietoksycznej ferrytyny, a hemosyderyna powstaje w wyniku degradacji jej nadmiaru. Początkowo gromadzi się w komórkach układu fagocytarnego (głównie w śledzionie, szpiku kostnym i komórkach Kupffera w wątrobie), a kiedy są już one nasycone, to odkładanie następuje w innych typach komórek (np. w hepatocytach, miocytach serca, komórkach trzustki), co może doprowadzić niekiedy do poważnych powikłań (marskość wątroby, kardiomiopatia przerostowa, zaburzenia funkcji trzustki)[4].
Hemosyderoza ma wiele przyczyn, obserwuje się ją m.in. u osób:
- z niedokrwistościami hemolitycznymi[1][4]:
- wrodzonymi (talasemiami[1][4], sferocytozami, niedokrwistościami sierpowatokrwinkowymi, niedokrwistością hemolityczną w przebiegu choroby Wilsona, fawizmem);
- nabytymi (autoimmunologiczną, polekową, mechaniczną, w przebiegu malarii);
- z niektórymi przewlekłymi stanami zapalnymi: przewlekłym wirusowym zapaleniem wątroby typu C, przewlekłym stanem zapalnym wywołanym zespołem metabolicznym;
- z zaburzeniami magazynowania żelaza[1];
- po wielokrotnych przetoczeniach krwi[1][4];
- z ciężką zastoinową niewydolnością serca z krwawieniami do płuc[3].
- Hemosyderoza obserwowana w różnych narządach ciała.
Hemosyderyna (zaznaczona na niebiesko) odłożona w hepatocytach.
Hemosyderyna wewnątrz pęcherzyków płucnych po krwotoku płucnym (w wyniku choroby zarostowej żył płucnych).
Złogi hemosyderyny w nerkach.
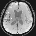
Złogi hemosyderyny wzdłuż wypukłości mózgu, powstałe w wyniku pourazowego krwotoku podpajęczynówkowego.
Hemosyderoza Bantu
Jest to typ hemosyderozy niezwiązanej z genem HFE (tj. posiadaniem zmutowanego allelu). Członkowie ludów Bantu z Afryki Południowej wytwarzali alkohol w żelaznych naczyniach (fermentacja w blaszanych beczkach). Wysoka i długotrwała konsumpcja tak wyprodukowanego napoju powodowała u członków tego plemienia zwiększoną akumulację żelaza w organizmie[5].
Zobacz też
Przypisy
- 1 2 3 4 5 Donald Venes (red.), Taber’s cyclopedic medical dictionary, wyd. 23, Philadelphia: F.A. Davis Company, 2017, s. 1111, ISBN 978-0-8036-5940-7, OCLC 973541122.
- 1 2 Marie T. O'Toole (red.), Mosby's medical dictionary, wyd. 10, St. Louis, Missouri: Elsevier, 2017, s. 828, ISBN 978-0-323-41425-8, OCLC 922562702.
- 1 2 W.A. Newman Dorland, Dorland's illustrated medical dictionary., wyd. 32, Philadelphia, PA: Saunders/Elsevier, 2012, s. 843, ISBN 978-1-4160-6257-8, OCLC 706780870.
- 1 2 3 4 Jarrah Ali Al-Tubaikh, Hemosiderosis and hemochromatosis, [w:] Jarrah Ali Al-Tubaikh (red.), Internal Medicine, Berlin, Heidelberg: Springer Berlin Heidelberg, 2010, s. 290–292, DOI: 10.1007/978-3-642-03709-2_55, ISBN 978-3-642-03708-5.
- ↑ Robbins Patologia - Kumar, Cotran, Robbins, wyd I polskie pod redakcją Włodzimierza T. Olszewskiego, Wydawnictwo Medyczne Urban&Partner Wrocław 2005 ISBN 978-83-89581-92-1 str. 707
Przeczytaj ostrzeżenie dotyczące informacji medycznych i pokrewnych zamieszczonych w Wikipedii.