Jądro (anatomia)
Jądro (łac. testis, l.mn. testes, dosłownie – świadek, orchis, testimonium virile, grec. didymis) – gonada występująca u samców większości zwierząt (z wyjątkiem gąbek)[1].
Samce ssaków mają dwa jądra, które najczęściej znajdują się w mosznie – worku skórno-powięziowym, wywodzącym się ze ściany brzucha. U większości ssaków jądra są położone poza obrębem ciała, zawieszone przez powrózek nasienny w worku mosznowym. Jest to spowodowane tym, że spermatogeneza zachodzi wydajniej w temperaturach niższych niż ok. 37 stopni Celsjusza, panująca wewnątrz ciała.
Zwykle jedno jądro wisi niżej od drugiego (zazwyczaj lewe). Jest to głównie spowodowane różnicami w strukturach naczyniowych po prawej i lewej stronie.
Rozwój
Zawiązki gonad przekształcają się w jądra pod wpływem czynnika determinującego rozwój jądra (TDF), który jest produktem genu SRY. Pod wpływem tego czynnika komórki podporowe przekształcają się w komórki Sertolego, które produkują niesteroidowy hormon (oznaczany AMH lub MIS) indukujący zanik przewodów Müllera. Komórki Sertolego powodują przekształcenie gonocytów w prespermatogonia. Komórki steroidogeniczne rozwijają się w komórki Leydiga. Testosteron wytwarzany przez komórki Leydiga powoduje rozwój przewodów Wolffa, 5α-dihydrotestosteron powoduje rozwój prącia i moszny[2].
Funkcje
Podobnie jak jajniki (których są odpowiednikami), jądra są składnikiem dwóch układów: rozrodczego (jako gonady) oraz endokrynnego (jako gruczoły dokrewne). Funkcje jąder to:
- produkcja plemników
- produkcja męskich hormonów płciowych (m.in. testosteronu).
Obie funkcje jąder, spermotwórcza i endokrynna znajdują się pod kontrolą hormonów produkowanych przez przedni płat przysadki:
- lutropiny (LH)
- folikulotropiny (FSH).
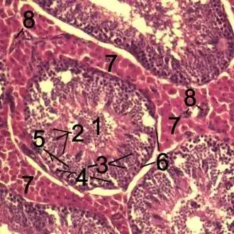
Struktura i fizjologia

2 spermatydy,
3 spermatocyty,
4 spermatogonia,
5 komórki Sertolego,
6 miofibroblasty,
7 komórki Leydiga,
8 naczynia włosowate
Pod wytrzymałą, włóknistą osłonką – błoną białawą (tunica albuginea), jądra zawierają bardzo delikatne kanaliki nasienne (tubuli seminiferi) kręte (contorti) i proste (recti). Kanaliki są wyłożone warstwą komórek (m.in. komórkami podporowymi-Sertolego), które od okresu dojrzewania do późnego wieku produkują plemniki. Kanaliki nasienne kręte przechodzą w kanaliki proste, tworzące sieć jądra (rete testis), z których następnie wychodzą przewody wyprowadzające, prowadzące do najądrza (gdzie nowo utworzone komórki dojrzewają), następnie do nasieniowodu (vas deferens) i dalej do przewodu wytryskowego (ductus ejaculatorius), który łączy się z ostatnim odcinkiem – cewką moczową. Pod wpływem pobudzenia seksualnego, plemniki zaczynają przemieszczać się przez przewód wytryskowy do części sterczowej cewki moczowej, skąd w czasie orgazmu są wypychane przez prostatę (dzięki skurczom mięśni) na zewnątrz prącia.

2. śródjądrze (mediastinum testis),
3. osłonka biaława (tunica albuginea),
4. ogon najądrza (cauda epididymidis),
5. głowa najądrza (caput epididymidis),
6. powrózek nasienny (funiculus spermaticus) z tętnicą jądrowa (arteria testicularis)

Pomiędzy kanalikami nasiennymi znajdują się komórki śródmiąższowe Leydiga, które wytwarzają testosteron i inne androgeny.
Mięsień dźwigacz jądra (musculus cremaster) wchodzi w skład powrózka nasiennego. Dzięki skurczom powrózka nasiennego, wywołanym zbyt niska temperaturą, jądra są przywodzone do ciała. Rozkurcz umożliwia ich odwiedzenie. Jest to swoisty mechanizm termoregulacyjny. To zjawisko jest znane jako odruch mięśnia dźwigacza jądra. Zachodzi ono także w odpowiedzi na stres (jądra zostają podciągnięte ku ciału w celu ich ochrony podczas walki; zjawisko to wykształciło się w toku ewolucji) oraz podczas orgazmu.
Rozmiary jąder
Rozmiar jąder w stosunku do całego ciała waha się znacznie w zależności od gatunku. U ssaków poligamicznych istnieje tendencja do występowania większych jąder niż u gatunków monogamicznych. Także produkcja spermy w jądrach zwierząt poligamicznych jest większa, co tłumaczy się dostosowaniem do zwiększonej konkurencji.
U zdrowych, dorosłych Europejczyków objętość jąder waha się od około 12 cm³ do 30 cm³, a średnia objętość wynosi 18 cm³[3]. Pomiaru u dorosłych dokonuje się następującymi metodami: (1) porównując jądra z elipsoidami o znanych rozmiarach (orchidometr Pradera) lub (2) mierząc długość, szerokość i głębokość przy pomocy linijki, suwmiarki lub metody USG. Objętość jest wtedy obliczana, przykładowo ze wzoru dla elipsoid: π/6 × długość × szerokość². Zazwyczaj prawe i lewe jądra mają podobne rozmiary. Jądra są w pewnym stopniu elastyczne. Krótkotrwałe, bezpośrednie działanie czynnika uszkadzającego lub poddanie ich niekorzystnym warunkom, na przykład wyższej temperatury niż do której są przystosowane, może spowodować ich obkurczenie. Taki sam efekt wywołuje podanie hormonów steroidowych. Natomiast stymulacja funkcji jąder poprzez hormony gonadotropowe może spowodować zwiększenie ich rozmiarów.
Kwestie zdrowotne
Jądra są bardzo czułe na wszelkie urazy. Najważniejsze choroby jąder to:
- zapalenie jąder (orchitis)
- rak jąder i inne nowotwory
- zgromadzenie przejrzystego płynu wokół jąder (wodojądrze, hydrocele testis)
- zapalenie najądrza (epididymitis)
- skręt powrózka nasiennego
- varicocele – obrzmiały splot żylny jądrowy, występujący zazwyczaj po stronie lewego jądra.
Usunięcie jednego lub obu jąder to kastracja (orchidectomia).
Dodatkowe obrazy
Jądro kota: 1 Extremitas capitata, 2 Extremitas caudata, 3 Margo epididymalis, 4 Brzeg wolny, 5 Krezka jądra, 6 Najądrze, 7 tętnica i żyły jądrowe, 8 Ductus deferens
Powierzchnia jądra
Przekrój poprzeczny przez jądro
Prawe jądro po odsłonięciu tunica vaginalis.
Zobacz też
Przypisy
- ↑ Marzena Popielarska-Konieczna: Słownik szkolny: biologia. Kraków: Wydawnictwo Zielona Sowa, 2003, s. 222–223. ISBN 83-7389-096-3.
- ↑ Tadeusz Krzymowski, Jadwiga Przała: Fizjologia zwierząt: podręcznik dla studentów wydziałów medycyny weterynaryjnej, wydziałów biologii i hodowli zwierząt akademii rolniczych i uniwersytetów: praca zbiorowa. Warszawa: Państwowe Wydawnictwo Rolnicze i Leśne, 2005, s. 607–608. ISBN 83-09-01792-8.
- ↑ Eberhard Nieschlag, Hermann Behre: Andrology: Male Reproductive Health and Dysfunction. Springer, s. 92. ISBN 978-3-540-67224-1.
Bibliografia
- Wojciech Sawicki: Histologia dla studentów medycyny. Warszawa: Wydawnictwo Lekarskie PZWL, 1997, s. 453–470. ISBN 83-200-2088-3.
Przeczytaj ostrzeżenie dotyczące informacji medycznych i pokrewnych zamieszczonych w Wikipedii.