Nerwiak komórkowy ośrodkowy


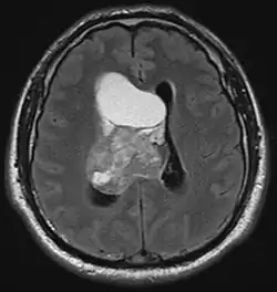
Nerwiak komórkowy ośrodkowy (ang. central neurocytoma) – rzadki, nowotworowy guz mózgu. Jest guzem o pośredniej złośliwości (II° według WHO). Został opisany w 1982 roku przez Hassouna i wsp[1]. Występuje równie często u kobiet i mężczyzn, zwykle około 30. roku życia. Objawia się klinicznie wodogłowiem, często niesymetrycznym. Uszkodzenie miąższu mózgu wywołuje później objawy ogniskowe. Leczeniem z wyboru jest resekcja guza, o ile zmiana zostanie usunięta całkowicie, rokowanie jest bardzo dobre.
Objawy i przebieg
Obraz histologiczny
Profil immunohistochemiczny
Komórki guza wykazują zróżnicowanie neuronalne. Immunohistochemicznie stwierdza się ekspresję neuronospecyficznej enolazy (NSE), β-tubuliny klasy III, białek MAP2, białek S-100 oraz synaptofizyny.
Ultrastruktura
Rozpoznanie i różnicowanie
Rozpoznanie opiera się na stwierdzeniu charakterystycznych cech histologicznych: polimorfizmu utkania guza, niewielkiej ilości mitoz, braku atypii, ekspresji markerów neuronalnych potwierdzonej badaniem immunohistochemicznym i (lub) stwierdzeniem wykładników zróżnicowania neuronalnego na poziomie ultrastrukturalnym. Wysoki indeks mitotyczny i atypia sugerują raczej rozpoznanie nerwiaka zarodkowego, PNET lub nowotworu przerzutowego.
Leczenie i rokowanie
Całkowita resekcja daje nadzieje na pełne wyleczenie. Jeżeli guz zostanie usunięty w całości w zasadzie nie jest potrzebna radioterapia uzupełniająca. Resekcje subtotalne można uzupełnić o radiochirurgię sterotaktyczną. Chemioterapia lekami alkilującymi (karmustyna, cyklofosfamid), cisplatyną, etopozydem, winkrystyną jest stosowana w sytuacji nieoperacyjnych lub nawracających guzów. Nawet po całkowitej resekcji pacjent powinien pozostawać pod okresowym nadzorem by szybko wykryć ewentualną wznowę. Ryzyko wznowy rośnie wraz z potencjałem guza do wzrostu wyrażonym indeksem Ki67 – przy >4% po resekcji subtotalnej, nawrót guza obserwowano u 50% chorych po 2 latach obserwacji i u 75% chorych po 4 latach obserwacji[2].
Przypisy
- ↑ Hassoun J, Gambarelli D, Grisoli F, Pellet W, Salamon G, Pellissier JF, Toga M. Central neurocytoma. An electron-microscopic study of two cases. „Acta Neuropathol”. 56. 2, s. 151-6, 1982. PMID: 7064664.
- ↑ Ependymal, Choroid Plexus, & Neuronal Tumors and Other Gliomas. Central Neurocytoma., [w:] Mark S., M.D. Greenberg, Handbook of neurosurgery, Ninth edition, New York, NY 2020, s. 664-665, ISBN 978-1-68420-137-2, OCLC 1080554354 [dostęp 2022-08-25].
Bibliografia
- Nowotwory ośrodkowego układu nerwowego. W: Dariusz J. Jaskólski, Wielisław Papierz, Wojciech Biernat, Paweł P. Liberski: Choroby układu nerwowego. Wojciech Kozubski, Paweł P. Liberski (red.). Warszawa: Wydawnictwo Lekarskie PZWL, 2004, s. 163-164. ISBN 83-200-2636-9.
- Nerwiak ośrodkowy (central neurocytoma). W: Wojciech Biernat: Nowotwory mózgu u dzieci. Suplement do Pol J Pathol 53, 4. Paweł P. Liberski (red.). 2001, s. 87-94. ISSN 1233-9687.
Przeczytaj ostrzeżenie dotyczące informacji medycznych i pokrewnych zamieszczonych w Wikipedii.