Skąpodrzewiak

.jpg)
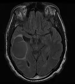
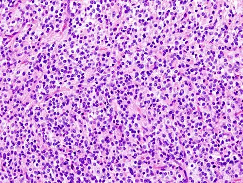
Skąpodrzewiak (łac. oligodendroglioma) – nowotwór złośliwy ośrodkowego układu nerwowego wywodzący się z komórek gleju skąpowypustkowego (oligodendrocytów). Jest nowotworem o pośredniej złośliwości (II stopnia według WHO); wariant anaplastyczny (skąpodrzewiak anaplastyczny) jest guzem o wysokiej złośliwości (III stopnia według WHO). Skąpodrzewiak rozwija się najczęściej w płacie czołowym.

Epidemiologia
Występuje przede wszystkim u dorosłych, między 3. a 5. dekadą życia, nieco częściej u mężczyzn.
Objawy i przebieg
Obraz kliniczny wynika z lokalizacji guza. Ponieważ nowotwór charakteryzuje się powolnym tempem wzrostu, objawy rozwijają się powoli i mogą na wiele lat wyprzedzać rozpoznanie choroby. Jednym z dominujących objawów guza zlokalizowanego w płacie czołowym (50–65%) jest padaczka. Drugą pod względem częstości lokalizacją jest płat skroniowy.
Leczenie
Leczenie skąpodrzewiaka jest takie jak przy gwiaździakach. Leczeniem z wyboru jest chirurgiczna resekcja guza, wyniki radioterapii są określane jako kontrowersyjne.
Skąpodrzewiak anaplastyczny jest natomiast wysoce chemiowrażliwy. Najczęściej stosuje się schemat PCV (prokarbazyna, lomustyna i winkrystyna). Inne chemioterapeutyki skuteczne w leczeniu skąpodrzewiaków anaplastycznych to tiotepa, temozolomid, paklitaksel, cisplatyna.
Bibliografia
- Nowotwory ośrodkowego układu nerwowego. W: Dariusz J. Jaskólski, Wielisław Papierz, Wojciech Biernat, Paweł P. Liberski: Choroby układu nerwowego. Wojciech Kozubski, Paweł P. Liberski (red.). Warszawa: Wydawnictwo Lekarskie PZWL, 2004, s. 157–159. ISBN 83-200-2636-9.
- Zarys neurochirurgii. Mirosław Ząbek (red.). Warszawa: Wydawnictwo Lekarskie PZWL, 1999, s. 43.
- Kelly K. Koeller, and Elisabeth J. Rushing. From the Archives of the AFIP: Oligodendroglioma and Its Variants: Radiologic-Pathologic Correlation. „RadioGraphics”. 25, s. 1669–1688, 2005. PMID: 16284142.
Przeczytaj ostrzeżenie dotyczące informacji medycznych i pokrewnych zamieszczonych w Wikipedii.