Skąpodrzewiak anaplastyczny
Skąpodrzewiak anaplastyczny – nowotwór neuroepitelialny, który prawdopodobnie pochodzi z oligodendrocytów, rodzaju komórek glejowych. W klasyfikacji guzów mózgu Światowej Organizacji Zdrowia (WHO) ten wariant skąpodrzewiaka jest klasyfikowany w III stopniu złośliwości[1]. W przebiegu choroby może przerodzić się w wysoce złośliwą oligodendrogliomę stopnia IV[2]. Jak zdecydowana większość skąpodrzewiaków występuje sporadycznie, bez ustalonej przyczyny i bez dziedziczenia w rodzinie[3].
Objawy i symptom
- Napady padaczkowe[4].
Objawy skąpodrzewiaka mogą obejmować:[5]
- Atak
- Ból głowy
- Osłabienie po jednej stronie ciała
- Trudności językowe
- Zmiany w zachowaniu i osobowości
- Problemy z równowagą i ruchem
- Problemy z pamięcią
Patogeneza
Skąpodrzewiak anaplastyczny należy do grupy rozlanych glejaków i powstaje w ośrodkowym układzie nerwowym (mózgu i rdzeniu kręgowym) z prekursorowych komórek macierzystych oligodendrocytów. Guz ten występuje głównie u dorosłych, ze szczytem częstotliwości w 4 i 5 dekadzie życia[3].
Diagnoza
Najważniejszą procedurą diagnostyczną jest obrazowanie metodą rezonansu magnetycznego (MRI). Sporadycznie, poza rutynową diagnostyką, tempo metabolizmu w tkance można zobrazować za pomocą pozytonowej tomografii emisyjnej (PET). Rozpoznanie potwierdza pooperacyjne badanie histopatologiczne. W skąpodrzewiaku anaplastycznym często dochodzi do utraty materiału genetycznego. Około 50% do 70% skąpodrzewiaków anaplastycznych stopnia III wg WHO ma łączną utratę alleli na krótkim ramieniu chromosomu 1 i długim ramieniu chromosomu 19 (delecja 1p / 19q Co). Mutacje te związane są z większym odsetkiem odpowiedzi na radio- lub chemioterapię. Termin oligodendroglioma stopnia III (wysokiego stopnia) zwykle podsumowuje poprzednie diagnozy anaplastycznego lub złośliwego skąpodrzewiaka[3].
Rokowanie
Względny 5-letni wskaźnik przeżycia: Wiek 20-44 – 76%; 45–54 – 67%; 55-64 – 45%[6]. Prokarbazyna, lomustyna i winkrystyna są stosowane od 1975 roku. Obecnie trwają badania kliniczne nad zastosowaniem innych metod leczenia[7].
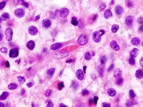
Obraz histopatologiczny skąpodrzewiaka anaplastycznego. Barwienie hematoksyliną i eozyną.
Widoczna nieregularność kształtów komórek i jąder.
Barwienie preparatu metodą IDH1 R132H.
Leczenie
Zabieg operacyjny może być wykonany w celu złagodzenia objawów spowodowanych przez guz. Zaleca się doszczętne usunięcie guza, pod warunkiem, że pozwala na to jego lokalizacja. Ponieważ komórki skąpodrzewiaka anaplastycznego zazwyczaj już w momencie diagnozy naciekają otaczające tkanki, doszczętne usunięcie wszystkich komórek nowotworowych zwykle nie jest możliwe. Marker „1p/19q Codeletion” odgrywa coraz większą rolę w doborze odpowiedniej terapii.
Ponieważ choroba rozwija się powoli i nie powoduje uciążliwych objawów bólowych, leczenie zaś jest bardzo obciążające dla pacjenta (konieczność zabiegu neurochirurgicznego oraz radio- lub chemioterapii), w wielu przypadkach lekarze podejmują decyzję o czujnej obserwacji i leczeniu objawowym. Leczenie to często obejmuje stosowanie leków przeciwdrgawkowych w przypadku napadów padaczkowych i steroidów w przypadku obrzęku mózgu. Wykazano, że radioterapia, chemioterapia temozolomidem lub prokarbazyną, lomustyną (CCNU) i winkrystyną (według schematu PCV) są skuteczne i są najczęściej stosowaną opcją terapeutyczną w leczeniu radykalnym tych nowotworów[3][8].
Badania
WHO leczenie radykalne
W przypadku skąpodrzewiaków anaplastycznych III stopnia wg WHO leczenie radykalne (całkowite usunięcie komórek nowotworowych) nie jest możliwe. Badanie retrospektywne z udziałem 1054 pacjentów ze skąpodrzewiakiem anaplastycznym, zaprezentowane podczas kongresu ASCO w 2009 roku, sugeruje, że terapia według schematu PCV może być skuteczna. Mediana czasu do progresji u pacjentów ze współdelecją 1p19q była dłuższa po samym PCV (7,6 roku) niż po samym temozolomidzie (3,3 roku); mediana przeżycia całkowitego była również dłuższa w przypadku leczenia PCV w porównaniu z leczeniem temozolomidem (nie osiągnięto w porównaniu z 7,1 roku)[9]. Inne długoterminowe badanie potwierdza, że radioterapia w połączeniu z chemioterapią adiuwantową jest znacznie bardziej skuteczna u pacjentów ze skąpodrzewiakiem anaplastycznym ze współdelecją 1p19q i stała się nowym standardem leczenia w tej grupie pacjentów[10]. Jeśli masa guza uciska sąsiednie struktury mózgu, w praktyce klinicznej można również wykorzystać niedoszczętnie chirurgiczne usunięcie guza w celu odbarczenia pozostałych tkanek. Podczas gdy część badań wskazuje na to, że radioterapia może wydłużyć całkowity czas do progresji u pacjentów nie poddawanych operacji, dostępne są również dane, że biorąc pod uwagę wiek, dane kliniczne, stopień histologiczny i rodzaj operacji, brak jest korzyści z napromieniania co do ogólnego czasu przeżycia[11][12].
Również komunikacja sieciowa
Odkryto, że nowotwory komunikują się ze sobą w dużej sieci, wymieniając substancje niezbędne do przeżycia, a tym samym unikając skutków promieniowania lub chemioterapii. Ważną rolę w rozprzestrzenianiu się choroby odgrywa również komunikacja sieciowa. Komórki nowotworowe są nawet połączone ze zdrowymi komórkami nerwowymi i otrzymują od nich bezpośrednie sygnały – w ten sposób guzy mogą rosnąć szybciej. Badane mechanizmy nie tylko oferują zupełnie nowe wyjaśnienia bardzo agresywnego wzrostu tego typu nowotworów. Oferują również podejścia do nowych terapii – w celu powstrzymania wzrostu guzów mózgu i zwiększenia skuteczności istniejących terapii. W ten sposób rozerwanie, a nawet zniszczenie sieci komórek nowotworowych staje się całkowicie nową zasadą terapeutyczną w onkologii, a pierwsze badania kliniczne opierają się na tych odkryciach.[13]
Przypisy
- ↑ The 2007 WHO classification of tumours of the central nervous system. s. 97–109. (ang.).
- ↑ highly malignant oligodendroglioma, grade IV. Radboud universitair medisch centrum. s. 46–48. (niderl.).
- 1 2 3 4 Anaplastisches Oligodendrogliom. Schweizerische Hirntumor Stiftung. (niem.).
- ↑ Treatment Recommendations for Anaplastic Oligodendrogliomas That Are Codeleted.
- ↑ Oligodendrogliom, hjärntumör: orsaker, symtom och behandlingar. 2022-03-06.
- ↑ Survival Rates for Selected Adult Brain and Spinal Cord Tumors. American Cancer Society. (ang.).
- ↑ Phase II study of procarbazine, CCNU, and vincristine combination chemotherapy in the treatment of malignant brain tumors. s. 1398–1404. (ang.).
- ↑ Oligodendroglioma and anaplastic oligodendroglioma: clinical features, treatment, and prognosis. s. 443–456.
- ↑ Retrospective analysis of outcomes among more than 1,000 patients with newly diagnosed anaplastic oligodendroglial tumors. Journal of Clinical Oncology. s. 2014. (ang.).
- ↑ New Standard of Care for Anaplastic Oligodendroglial Tumors with 1p/19q Codeletions – the ASCO Post.
- ↑ Role of exclusive chemotherapy as first line treatment in oligodendroglioma. Journal of Clinical Oncology (ascopubs.org).
- ↑ A phase II study of intensified chemotherapy alone as initial treatment for newly diagnosed anaplastic oligodendroglioma: an interim analysis. s. 187–193.
- ↑ Winkler F, Venkatesh HS, Amit M, Batchelor T, Demir IE, Deneen B, Gutmann DH, Hervey-Jumper S, Kuner T, Mabbott D, Platten M, Rolls A, Sloan EK, Wang TC, Wick W, Venkataramani V, Monje M: Cancer Neuroscience: State of the Field, Emerging Directions. April 2023. s. 1689–1707.
Bibliografia
- Weller M, van den Bent M, Preusser M, Le Rhun E, Tonn JC, Minniti G, Bendszus M, Balana C, Chinot O, Dirven L, francuski P, Hegi ME, AS Jakola, M. Platten, P. Roth, R. Rudà, S. Short, M. Smits, MJ Taphoorn, A. von Deimling, M. Westphal, R. Soffietti, G. Reifenberger, W. Wick: Wytyczne EANO dotyczące diagnozowania i leczenia rozlanych glejaków wieku dorosłego. W: Recenzje przyrody. Onkologia kliniczna. Tom 18, Numer 3, 03 2021, s. 170–186, doi, PMID 33293629, PMC 7904519 (przegląd).
Linki zewnętrzne
- Diagnostyka molekularna – Centrum Neuropatologii i Badań Prionowych. Uniwersytet Ludwika i Maksymiliana w Monachium – 23.10.2021
Przeczytaj ostrzeżenie dotyczące informacji medycznych i pokrewnych zamieszczonych w Wikipedii.