Glejak
| Glioma, Gliomata | |
![]() | |
| Klasyfikacje | |
| ICD-10 | |
|---|---|
Glejaki – grupa nowotworów ośrodkowego układu nerwowego wywodzących się z komórek glejowych (stanowiących zrąb tkanki nerwowej i pełniącej wobec neuronów funkcje podporowe, odżywcze oraz naprawcze).
Etymologia
Glejak - łac. glioma, l.mn. gliomata, z nowołac. glia – „glej” z gr. γλία (glía) – 1. „klej”, 2. „coś lepkiego / śliskiego / tłustego” + -oma – przyrostek oznaczający zmianę guzowatą.
Podział glejaków
według typów komórek
Do najważniejszych i najczęściej występujących glejaków należą:
Glejaki zarodkowe
Nowotwory gleju gwiaździstego (ok. 75% glejaków)
- gwiaździak włosianokomórkowy, czyli gąbczak (łac. astrocytoma pilocyticum seu spongioblastoma) najłagodniejsza pod względem histopatologicznym postać glejaka, występująca w okolicy nerwów wzrokowych, podwzgórza i pnia mózgu. Guz jest wyraźnie odgraniczony od otoczenia. Wzrost dość szybki.
- gwiaździak włókienkowy (łac. astrocytoma fibrillare) – występuje u dorosłych, wzrost stosunkowo powolny, zwykle umiejscowiony w półkulach mózgu i pniu mózgu, czasem w rdzeniu kręgowym. Często w części centralnej guza widoczna jama. Niepromienioczuły.
- gwiaździak tucznokomórkowy (łac. astrocytoma gemistocyticum) – występuje u dorosłych w półkulach mózgu, przebieg szybszy niż gwiaździaka włókienkowego.
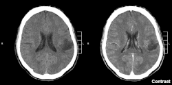
- glejak wielopostaciowy (łac. glioblastoma) – jest najczęstszym (ok. 50%) złośliwym nowotworem wywodzącym się z tkanki glejowej, rosnącym w półkulach mózgu, najczęściej w płacie czołowym i skroniowym. Obraz histopatologiczny urozmaicony, charakterystyczne są duża atypia (złośliwość histologiczna), obszary martwicy i liczne patologiczne naczynia krwionośne, które mogą stać się źródłem wylewu krwi do mózgu. Guz rośnie szybko, często szerzy się poprzez spoidło wielkie na przeciwległą półkulę mózgu (tzw. obraz "motyla" w badaniach obrazowych), może dawać przerzuty w obrębie centralnego układu nerwowego drogą płynu mózgowo-rdzeniowego lub krwionośną. Nowotwór o umiarkowanej promienioczułości. Szczyt zachorowalności to V i VI dekada życia, z niewielką przewagą mężczyzn.
Nowotwory gleju skąpowypustkowego (ok. 10% glejaków)
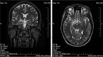
- skąpodrzewiak (łac. oligodendroglioma) – rośnie najczęściej w okolicy płatów czołowych mózgu w istocie białej. Mimo powolnego wzrostu, może we wczesnej fazie rozwoju szerzyć się przez spoidło wielkie na przeciwległą półkulę mózgu (obraz "motyla" w tomografii komputerowej). W późniejszych okresach rozwoju nacieka korę mózgu i oponę pajęczą. Pod względem histologicznym opisywany jest jako przypominający wyglądem "żabi skrzek", z charakterystycznymi mikrozwapnieniami (widocznymi także na radiogramach) i licznymi naczyniami krwionośnymi. Występuje u dorosłych, dwukrotnie częściej u mężczyzn.
Nowotwory gleju wyściółkowego (ok. 7% glejaków)
Guzy te wywodzą się z komórek wyściółki komór mózgu i wyściółki kanału środkowego rdzenia kręgowego.
- wyściółczak (łac. ependymoma) – pojawia się u dzieci i młodych dorosłych. Charakterystyczną strukturą histologiczną jest rozetkowaty układ komórek guza wokół naczyń (pseudorozetki) lub wokół przestrzeni wypełnionej rzęskami. Guz rośnie dosyć wolno.
- wyściółczak śluzowo-brodaweczkowaty (łac. ependymoma myxopapillare) – guz lokalizuje się najczęściej w okolicy stożka końcowego rdzenia kręgowego, nici końcowej (łac. filum terminale). Guz przebiega łagodnie, po usunięciu chirurgicznym zwykle nie pojawiają się wznowy.
według złośliwości (grading)
Glejaki zostały sklasyfikowane przez Światową Organizację Zdrowia (WHO) według ich złośliwości, która determinuje patologiczny rozwój guza:
- niski stopień złośliwości to komórki wysoko dojrzałe, zróżnicowane, o małym stopniu proliferacji, dobrze rokujące
- wysoki stopień złośliwości to komórki niezróżnicowane lub anaplastyczne, szybko rosnące, mogące naciekać sąsiadujące tkanki, występują liczne ogniska martwicy, nadmierna proliferacja naczyń krwionośnych. Ich rokowanie jest gorsze.
Klasyfikacja złośliwości glejaków według WHO składa się z 4 stopni, od łagodnych (I) do najbardziej złośliwych (IV):
- I — np. gwiaździak włosianokomórkowy czy wyściółczak śluzowo-brodaweczkowaty
- II — np. gwiaździak włókienkowaty, skąpodrzewiak, wyściółczak
- III — np. gwiaździak anaplastyczny
- IV — np. glejak wielopostaciowy (najczęstszy glejak u dorosłych), rdzeniak
Rokowanie w stopniu IV jest najgorsze, ze średnim przeżyciem ok. 14 miesięcy, przy podjętym leczeniu operacyjnym oraz następczej radioterapii i chemioterapii.
Według lokalizacji
Przebieg, objawy, lokalizacja i rodzaje glejaków występujących u dzieci różnią się od glejaków, na które chorują dorośli. Ok. 3/4 guzów u dzieci rośnie podnamiotowo (poniżej namiotu móżdżku), natomiast u dorosłych ok. 70% przypadków stanowią guzy nadnamiotowe.
Epidemiologia
W Polsce guzy mózgu stanowią 9. przyczynę zgonów nowotworowych u mężczyzn i 13. u kobiet. Glejaki stanowią ok. 70% wszystkich nowotworów wewnątrzczaszkowych i główną przyczynę zgonów w tej grupie guzów. U dzieci guzy mózgu stanowią po białaczkach jedną z częstszych chorób nowotworowych (ok. 20% wszystkich nowotworów wieku dziecięcego). Glejaki o różnym stopniu złośliwości stanowią aż 60-70% wszystkich nowotworów OUN w tej grupie wiekowej[1].
Historia
Pierwsze opisy obrazu mikroskopowego tych guzów z 1869 roku wiążą się z nazwiskiem niemieckiego patologa Rudolfa Virchowa. Współczesne klasyfikacje histogenetyczne tych guzów są rozwinięciem prac amerykańskich badaczy Percivala Baileya i Harveya Williama Cushinga z 1926 roku, wiążące wygląd komórek nowotworowych z wyglądem komórek powstających podczas rozwoju układu nerwowego. Kolejne klasyfikacje, m.in. Wildera Gravesa Penfielda z 1931 roku różniły się jedynie nazewnictwem guzów. Szerzej stosowanym systemem podziałów guzów centralnego układu nerwowego była klasyfikacja z 1952 roku sporządzona przez irlandzko-amerykańskiego patologa Jamesa Watsona Kernohana i George'a Pomeroya Sayre'a, którzy wprowadzili uproszczenia do poprzednich klasyfikacji i określanie złośliwości każdej grupy guzów w czterostopniowej skali rangowej. Od 1979 używana jest klasyfikacja histologiczna guzów mózgu Światowej Organizacji Zdrowia, która w pierwszym wydaniu została opracowana głównie przez niemieckiego patologa Klausa-Joachima Zülcha i amerykańskiego patologa Luciena J. Rubinsteina.
Objawy kliniczne
Objawy kliniczne zależą w pierwszej kolejności od umiejscowienia guza i obejmują:
- objawy ogólne (objawy wzmożonego ciśnienia wewnątrzczaszkowego – bóle głowy, nudności i wymioty najbardziej nasilone rano, zespół psychoorganiczny – osłabienie sprawności umysłowej, zaburzenia pamięci, uogólnione napady padaczkowe; obrzęk mózgu)
- objawy ogniskowe, specyficzne dla lokalizacji guza (niedowład, zaburzenia czucia, zaburzenia mowy, wzroku, słuchu, objawy móżdżkowe – np. zaburzenia równowagi, uszkodzenie nerwów czaszkowych, ogniskowe napady padaczkowe).
Leczenie
Im guz jest bardziej odgraniczony od sąsiadujących tkanek, a tym samym mniej rozlany (naciekający), tym łatwiejszy jest chirurgiczny zabieg usunięcia (resekcja).
Stosuje się również chemioterapię, radioterapię (brachyterapia i teleradioterapia, w tym nóż gamma) oraz terapie eksperymentalne – m.in. terapie genowe, immunoterapie czy wirusoterapie.
Terapie eksperymentalne
Badano skuteczność Δ9-THC w leczeniu glejaka. W badaniach in vitro i na modelach zwierzęcych obserwowano zahamowanie wzrostu glejaka wielopostaciowego, przypisywane różnym mechanizmom: indukcji apoptozy, podwyższeniu poziomu ceramidów w komórce guza, zahamowaniu cyklu komórkowego, aktywacji odpowiedzi stresowej komórki[2].
Pewne nadzieje budzi terapia wykorzystująca zmienne pole elektryczne (ang. Tumor Treating Fields)[3][4], w szczególności jako uzupełnienie chemioterapii.
Prowadzone są próby kliniczne nad skutecznością wykorzystania niepatogennych rekombinantów wirusa polio w leczeniu zaawansowanych (stopień IV wg WHO) postaci glejaka[5].
Klasyfikacja ICD10
| kod ICD10 | nazwa choroby |
|---|---|
| ICD-10: C71 | Nowotwór złośliwy mózgu |
| ICD-10: C71.0 | Mózg z wyjątkiem płatów i komór |
| ICD-10: C71.1 | Płat czołowy |
| ICD-10: C71.2 | Płat skroniowy |
| ICD-10: C71.3 | Płat ciemieniowy |
| ICD-10: C71.4 | Płat potyliczny |
| ICD-10: C71.5 | Komory mózgowe |
| ICD-10: C71.6 | Móżdżek |
| ICD-10: C71.7 | Pień mózgu |
| ICD-10: C71.8 | Zmiana przekraczająca granice mózgu |
| ICD-10: C71.9 | Mózg, nieokreślony |
Bibliografia
- Nowotwory OUN. W: Radzisław Kordek (red.): Onkologia. Podręcznik dla studentów i lekarzy. Gdańsk: Medical Press, 2004, s. 213-220. ISBN 83-87404-71-3.
Przypisy
- ↑ I. Qaddoumi, I. Sultan, A. Gajjar. Outcome and prognostic features in pediatric gliomas: a review of 6212 cases from the Surveillance, Epidemiology, and End Results database. „Cancer”. 115 (24), s. 5761-70, Dec 2009. DOI: 10.1002/cncr.24663. PMID: 19813274.
- ↑ D Parolaro, P Massi. Cannabinoids as potential new therapy for the treatment of gliomas. „Expert Rev Neurother”. 8 (1), s. 37-49, 2008. DOI: 10.1586/14737175.8.1.37. PMID: 18088200.
- ↑ Aaron Michael Rulseh i inni, Long-term survival of patients suffering from glioblastoma multiforme treated with tumor-treating fields., „World Journal of Surgical Oncology”, PMID: 23095807.
- ↑ Gutin P. H. i inni, A prospective, randomized, open-label, phase III clinical trial of NovoTTF-100A versus best standard of care chemotherapy in patients with recurrent glioblastoma. [online]
- ↑ Annick Desjardins i inni, Recurrent Glioblastoma Treated with Recombinant Poliovirus, „The New England Journal of Medicine”, 2018, DOI: 10.1056/NEJMoa1716435.
Przeczytaj ostrzeżenie dotyczące informacji medycznych i pokrewnych zamieszczonych w Wikipedii.
