Stwardniające zapalenie otrzewnej
| Peritonitis chronica fibrosa incapsulata | |
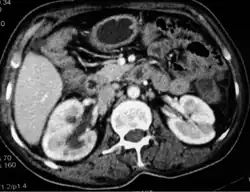
![]() Obraz zgrubiałej otrzewnej w tomografii komputerowej[1] | |
| Klasyfikacje | |
| ICD-10 |
K66.8 |
|---|---|
Stwardniające zapalenie otrzewnej (in. otorbiające zapalenie otrzewnej; ang. sclerosing encapsulating peritonitis, SEP, abdominal cocoon syndrome) – rzadkie przewlekłe schorzenie otrzewnej, w którym poprzez odkładanie się tkanki łącznej w otrzewnej, dochodzi do tworzenia się „kokonu” otaczającego jelito.
Historia
Stwardniające zapalenie otrzewnej zostało po raz pierwszy opisane pod nazwą peritonitis chronica fibrosa incapsulata przez Piotra Owczinnikowa w 1907 roku[2][3]. Pierwsze przypadki wtórnego stwardniającego zapalenia otrzewnej w przebiegu dializy otrzewnowej zostały opisane w 1980 roku[4].
Etiologia
Etiologia stwardniającego zapalenia otrzewnej etiologia jest nieznana. Proces charakteryzuje się nadmiernym rozrostem tkanki łącznej właściwej, którego następstwem jest tworzenie zlepów oraz zrostów, a w kolejnym etapie sztywnego kokonu zaciskającego pętle jelitowe[5]. W patogenezie tworzenia się włóknienia otrzewnowego oraz neowaskularyzacji istotną rolę odgrywają cytokiny oraz fibroblasty[3]. Postulowany jest kluczowy udział czynnika wzrostu tkanki łącznej za pośrednictwem transformującego czynnika wzrostu beta 1 (TGF-β1)[6].
Czynnikami wywołującymi pierwotne stwardniające zapalenie otrzewnej mogą być[7]:
- menstruacja wsteczna ze współistniejącą infekcją wirusową,
- zapalenie otrzewnej wywołane zapaleniem narządów miednicy mniejszej,
- zapalenie pochwy indukujące immunologiczne uszkodzenie tkanek w mechanizmie odpowiedzi komórkowej.
Czynnikami wywołującymi wtórne stwardniające zapalenie otrzewnej mogą być[7]:
- leki (praktolol, tymolol, propranolol),
- procedury medyczne (dializa otrzewnowa, połączenie otrzewnowo-żylne, układ zastawkowy komorowo-otrzewnowy, chemioterapia dootrzewnowa, przeszczepienie wątroby),
- uraz,
- zakażenie wewnątrzbrzuszne (gruźlica, cytomegalia, ziarniniakowe zapalenie otrzewnej, nawracające zapalenie otrzewnej),
- procesy autoimmunologiczne (sarkoidoza, toczeń rumieniowaty układowy, rodzinna gorączka śródziemnomorska, ciało obce),
- choroby układu pokarmowego (marskość wątroby, nowotwory złośliwe przewodu pokarmowego, endometrioza, pęknięta torbiel skórzasta, otoczkowiak),
- choroby ogólnoustrojowe (niedobór białka S).
Epidemiologia
Postać pierwotna stwardniającego zapalenia otrzewnej występuje przede wszystkim u kobiet w okresie dojrzewania zamieszkujących strefę międzyzwrotnikową lub podzwrotnikową (subkontynent indyjski, Chiny, Malezja, Singapur, Nigeria, Kenia i Republika Południowej Afryki)[7]. Sporadycznie może również występować u osób dorosłych w innych strefach klimatycznych[3].
Postać wtórna występuje najczęściej[6] w przebiegu dializy otrzewnej i występuje u 1% procenta dializowanych[8]. Częstość występowania stopniowo wzrasta w miarę długości prowadzenia dializ otrzewnowych i w ósmym roku osiąga 20%[8].
Obraz kliniczny
Choroba jest często bezobjawowa zwłaszcza w początkowym okresie. Objawy są niecharakterystyczne: nudności, wymioty, ból brzucha, zmniejszenie ultrafiltracji podczas dializy otrzewnowej[5], w późniejszym okresie pojawiają się objawy przewlekłej niedrożności jelit zarówno częściowej, jak i całkowitej[3].
Rozpoznanie
Rozpoznanie stawiane jest na podstawie obrazu klinicznego oraz badań obrazowych:
- przeglądowe zdjęcie jamy brzusznej (zwapnienia w otrzewnej[8] i w ścianie jelit[7], w przypadku wystąpienia niedrożności jelit typowy obraz radiologiczny[7]),
- badanie dwukontrastowe przewodu pokarmowego (wydłużony pasaż jelitowy, przesunięcie pętli jelitowych do nadbrzusza, zatarcie fizjologicznych haustracji, obecność płynu w świetle jelit[4], charakterystyczny obraz zbitych jelit określany jako objaw kalafiora lub wzór akordeonu[7]),
- ultrasonografia (przemieszczone pętle jelitowe otoczone pogrubiałą otrzewną połączone w jedną całość na obraz kokonu[4]),
- tomografia komputerowa (zlokalizowane wodobrzusze, zrosty jelitowe, zwężenie jelit, zwapnienia w błonie otrzewnowej, pogrubienie błony otrzewnowej).
W przypadkach wątpliwych diagnostycznie konieczne może być wykonanie laparoskopii z pobraniem wycinków do badania histopatologicznego[7][5]. U pacjentów poddawanych dializie otrzewnowej obserwuje się krwisty płyn dializacyjny z podwyższonymi poziomami mediatorów przeciwzapalnych oraz markerów aktywacji krzepnięcia krwi oraz fibrynolizy[7].
Diagnostyka różnicowa
- gruźlica otrzewnej[8]
- międzybłoniak[8]
Leczenie
U pacjentów ze średnio nasilonymi objawami stosowane jest postępowanie zachowawcze: odbarczenie żołądka za pomocą sondy oraz żywienie dojelitowe lub pozajelitowe[3]. Pacjenci z objawami niedrożności jelit zwykle wymagają leczenia operacyjnego (uwolnienie jelit z kokonu włóknikowego – enteroliza)[7][9] z uwalnianiem zrostów (adhezjoliza chirurgiczna)[7]. Leczenie farmakologiczne zalecane jest u pacjentów z nawrotem choroby po leczeniu operacyjnym oraz u tych u których leczenie operacyjne jest niemożliwe i zaleca się tamoksyfen, kortykosteroidy, kolchicynę, azatioprynę oraz kwas mykofenolowy[3].
Rokowanie
W grupie pacjentów z przewlekłą chorobą nerek w fazie schyłkowej niewydolności nerek rokowanie jest poważne i całkowita śmiertelność wynosi do 70%[7]. Śmiertelność pooperacyjna w przypadku konieczności wykonania enterolizy wynosi 10%, natomiast w przypadku konieczności usunięcia jelit z wykonaniem zespoleń chirurgicznych wynosi 40–80%[9].
Objawy nawracają u 25% pacjentów poddawanych dializie otrzewnowej w okresie 12–24 miesięcy[10].
Przypisy
- ↑
A.H. Sarmast, H.I. Showkat, A. Sherwani, M.Y. Kachroo i inni. Abdominal tuberculosis with a cocoon. „Iranian Red Crescent Medical Journal”. 14 (8), s. 503–504, sierpień 2012. PMID: 23105991. PMCID: PMC3470849. - ↑
P. Owtschinnikow. Peritonitis chronica fibrosa incapsulata. „Archiv für Klinische Chirurgie”, s. 623–624, 1907. ISSN 1435-2443. - 1 2 3 4 5 6 S. Akbulut. Accurate definition and management of idiopathic sclerosing encapsulating peritonitis.. „World Journal of Gastroenterology”. 21 (2), s. 675–687, styczeń 2015. DOI: 10.3748/wjg.v21.i2.675. PMID: 25593498. PMCID: PMC4292304.
- 1 2 3
Maria Wanic-Kossowska. Stwardniające zapalenie otrzewnej. „Nefrologia i Dializoterapia Polska”. 12 (4), s. 251–252, 2008. - 1 2 3 Jolanta Kowalewska i inni, Stwardniające zapalenie otrzewnej – ciężkie powikłanie dializy otrzewnowej o nietypowym przebiegu, „Przegląd Lekarski”, 59 (5–6), 2006, s. 419–421.
- 1 2
V. Minutolo, G. Gagliano, G. Angirillo, O. Minutolo i inni. Intestinal obstruction due to idiopathic sclerosing encapsulating peritonitis. Clinical report and review of literature. „Giornale di Chirurgia”. 29 (4), s. 173–176, kwiecień 2008. PMID: 18419984. - 1 2 3 4 5 6 7 8 9 10 11
N.O. Machado. Sclerosing Encapsulating Peritonitis: Review. „Sultan Qaboos University Journal for Science”. 16 (2), s. e142–e151, maj 2016. DOI: 10.18295/squmj.2016.16.02.003. PMID: 27226904. PMCID: PMC4868512. - 1 2 3 4 5
M. Goldstein, M. Carrillo, S. Ghai. Continuous ambulatory peritoneal dialysis-a guide to imaging appearances and complications. „Insights Imaging”. 4 (1), s. 85–92, luty 2013. DOI: 10.1007/s13244-012-0203-y. PMID: 23225216. PMCID: PMC3579998. - 1 2
Jolanta Małyszko. Otorbiające zapalenie otrzewnej. „Forum Nefrologiczne”. 1 (3), s. 134–137, 2008. - ↑
Pde C. Candido, Ade F. Werner, I.M. Pereira, B.A. Matos i inni. Sclerosing encapsulating peritonitis: a case report. „Radiologia Brasileira”. 48 (1). s. 56–58. DOI: 10.1590/0100-3984.2013.1909. PMID: 25798009. PMCID: PMC4366030.
Linki zewnętrzne
- Obraz tomografii komputerowej w stwardniającym zapaleniu otrzewnej: K. Shiraki, H. Sakurai. Images in clinical medicine. Sclerosing peritonitis. „New England Journal of Medicine”. 359 (3), s. 293, lipiec 2008. DOI: 10.1056/NEJMicm072475. PMID: 18635434.
Przeczytaj ostrzeżenie dotyczące informacji medycznych i pokrewnych zamieszczonych w Wikipedii.
