Udar przysadki
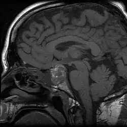
![]() Udar przysadki, w przebiegu którego wystąpiły bóle głowy i utrata wzroku u 43-letniego mężczyzny. W centrum obrazu RM w sekwencji T1 widoczna jest masa przemieszczająca skrzyżowanie wzrokowe | |
| Klasyfikacje | |
| ICD-10 |
E23.6 |
|---|---|
| MedlinePlus | |
| MeSH | |
Udar przysadki – choroba ośrodkowego układu nerwowego polegająca na zawale lub krwawieniu do przysadki mózgowej, często związanymi z obecnym gruczolakiem przysadki[1][2][3][4][5].
Epidemiologia
Udar przysadki jest zaliczany do chorób rzadkich[6][7]. Częstość występowania jest szacowana na około 6 przypadków na 100 tys. osób, a zapadalność na 0,17/100 000 osobolat[6]. Występuje najczęściej w piątej i szóstej dekadzie życia, częściej u mężczyzn, rzadko u dzieci i nastolatków[6][8][7].
Etiopatogeneza
Najczęściej choroba występuje pod postacią krwotoku do gruczolaka przysadki[9]. Gruczolaki z powodu obfitego unaczynienia są bardziej skłonne do krwawienia[10]. Największe ryzyko dotyczy guzów wydzielających ACTH, choć najczęściej udarowi ulegają gruczolaki nieczynne hormonalnie[4][11]. W przypadku udaru przysadki z obecnym guzem istnieją dwie teorie opisujące jego patogenezę[4][10]. Pierwsza zakłada, że gruczolak odcina dopływ krwi do niej, tym samym wywołując uszkodzenie[4][10]. Druga podaje, że przyczyną jest nowotwór rozrastający się w ciasnej przestrzeni między lejkiem a przeponą siodła, który uciska cienką sieć naczyniową[10]. Guz z powodu wypełnienia krwią może gwałtownie się powiększyć, co niekiedy prowadzi do uciśnięcia skrzyżowania wzrokowego, a czasami nawet uszkodzenia siodła tureckiego[12][13]. Patogeneza udaru przysadki bez gruczolaka nie jest znana – przypuszcza się, że biorą w niej udział czynniki zewnętrzne, na przykład choroby ogólnoustrojowe lub leki[4].
Czynniki ryzyka
Niektóre z opisanych czynników ryzyka udaru przysadki to[4][14][15][16]:
- choroby współistniejące (nadciśnienie tętnicze, cukrzyca, niedokrwistość sierpowatokrwinkowa)
- zabiegi operacyjne[17] (szczególnie operacje kardiochirurgiczne)
- ciąża – powiększenie przysadki w jej trakcie usposabia do udaru
- uraz głowy
- leki (agonisty receptorów dopaminowych[18], chemioterapia, leki przeciwzakrzepowe[11], insulina, testy z użyciem kortykoliberyny, gonadoliberyny i tyreoliberyny),
- inne (wstrząs, ukąszenie przez węża).
Objawy i przebieg
Objawy pojawiają się od kilku godzin do dwóch dni po udarze[6]. Najczęściej występują nagły, silny ból głowy w okolicy czoła lub za oczami[11] oraz ostre zaburzenia widzenia (a w skrajnych przypadkach nawet ślepota)[19][2][4][12]. Mogą wystąpić także nudności, wymioty i zaburzenia świadomości (wskutek wzrostu ciśnienia śródczaszkowego), podrażnienie opon mózgowo-rdzeniowych wywołujące objawy oponowe, oftalmoplegia oraz diplopia (wskutek krwotoku do zatoki jamistej), gorączka i ostra niedoczynność przysadki (prowadząca czasami do niedoczynności nadnerczy[20] z hipoglikemią i hipotensją)[2][4][12][21][16]. W przypadku udaru krwotocznego przysadki ciężkość objawów zależy od nasilenia krwotoku, przebieg może być bardzo ciężki, jeśli doprowadzi on do krwawienia podpajęczynówkowego lub dokomorowego[12]. Zdarza się, że zawał prowadzi do zniszczenia gruczolaka i jego samowyleczenia; w takim przypadku ustępują objawy nadczynności przysadki[15][12].
Rozpoznanie
Rozpoznanie udaru przysadki jest trudne, gdyż większość pacjentów nie ma wcześniejszego rozpoznania gruczolaka[6]. Główne choroby, z którymi należy go różnicować to bakteryjne zapalenie opon mózgowo-rdzeniowych, krwotok podpajęczynówkowy, udar śródmózgowia, migrena oraz zakrzepica zatoki jamistej[6][11].
Badania obrazowe
Zdjęcie rentgenowskie czaszki może ukazać powiększenie dołu przysadkowego oraz jego erozję[10]. Rzadko występuje złamanie grzbietu siodła, co uznawane jest za objaw charakterystyczny udaru[10]. Brak widocznych zmian nie wyklucza rozpoznania[10].
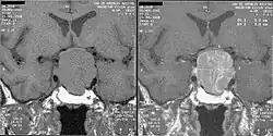
W ciągu pierwszych trzech dni udaru przysadka oraz okolice powyżej niej są hiperdensyjne na obrazach bez kontrastu, co utrudnia różnicowanie z tętniakiem okołoprzysadkowym (w rozróżnianiu czulsze jest MRI)[6]. Po pewnym czasie hiperdensyjność zanika, a TK zmniejsza swoją czułość w rozpoznawaniu udaru, wówczas udar może być trudny do odróżnienia od ropnia lub torbieli[6].
Przez pierwszy tydzień od wystąpienia udar daje izointensywny sygnał w sekwencji T1-zależnych oraz hipointensywny w T2-zależnych; wystąpienie pogrubienia błony śluzowej zatoki klinowej w ciągu kilku pierwszych godzin sugeruje rozpoznanie choroby[6]. Od 7 dnia dochodzi do zwiększania intensywności sygnału przysadki w obrazach T1-zależnych, a w czasie kolejnego tygodnia w obu sekwencjach[6].
Leczenie
Leczenie udaru przysadki polega na podawaniu glikokortykosteroidów oraz wyrównywaniu współistniejących zaburzeń gospodarki wodno-elektrolitowej[6][12]. Lekami z wyboru są kortyzol oraz deksametazon[12]. Jeśli mimo stosowania kortykosteroidów nie dochodzi do poprawy neurologicznej, wymagana jest pilna operacja[12]. Zaleca się ją szczególnie w przypadku utrzymujących się zaburzeń świadomości i widzenia oraz uszkodzeń nerwów czaszkowych[19][6][16]. Zabieg najczęściej przeprowadzany jest z dostępu przez kość klinową[22].
Powikłania
Do powikłań udaru przysadki należą[6][16][23]:
- krwotok śródczaszkowy,
- przetrwała niedoczynność przysadki,
- niedrożność tętnicy szyjnej wewnętrznej i następujące niedokrwienie mózgu[24],
- skurcz naczyń mózgowych[19],
- moczówka prosta[25].
Rokowanie
Rokowanie w udarze przysadki zazwyczaj jest bardzo dobre, zależy ono od zajęcia nerwów wzrokowych i okoruchowych, wystąpienia krwawienia podpajęczynówkowego oraz podjęcia leczenia[26][11]. Od czasu, jaki minął od wystąpienia udaru do operacji, zależy rokowanie co do szans na ustąpienie zaburzeń wzrokowych i układu nerwowego[12][16].
Zobacz też
Przypisy
- ↑ Byung Chan Jeon i inni, Pituitary Apoplexy Complicated by Chemical Meningitis and Cerebral Infarction, „Journal of Korean Medical Science”, 22 (6), 2007, s. 1085–1089, DOI: 10.3346/jkms.2007.22.6.1085, ISSN 1011-8934, PMID: 18162729, PMCID: PMC2694622 [dostęp 2018-05-17].
- 1 2 3 Hesam Ghadirian i inni, Pituitary Apoplexy during Treatment of Prolactinoma with Cabergoline, „Asian Journal of Neurosurgery”, 13 (1), 2018, s. 93–95, DOI: 10.4103/1793-5482.181130, ISSN 1793-5482, PMID: 29492132, PMCID: PMC5820907 [dostęp 2018-04-14].
- ↑ Justyna Jachman-Kapułka, Katarzyna Mariańska, Udar niedokrwienny w obszarze gruczolaka gonadotropowego przysadki, „Polski Przegląd Neurologiczny”, 10 (4), 2014, s. 161–168, ISSN 1734-9745 [dostęp 2018-04-14] (pol.).
- 1 2 3 4 5 6 7 8 Prakamya Gupta, Pinaki Dutta, Landscape of Molecular Events in Pituitary Apoplexy, „Frontiers in Endocrinology”, 9, 2018, s. 107, DOI: 10.3389/fendo.2018.00107, ISSN 1664-2392, PMID: 29615979, PMCID: PMC5869273 [dostęp 2018-04-14].
- ↑ Joaquim Cruz Teixeira i inni, Pituitary Apoplexy: Should Endoscopic Surgery Be the Gold Standard?, „World Neurosurgery”, 111, 2018, e495–e499, DOI: 10.1016/j.wneu.2017.12.103, ISSN 1878-8769, PMID: 29288106 [dostęp 2018-04-14].
- 1 2 3 4 5 6 7 8 9 10 11 12 13 Andrea Glezer, Marcello D. Bronstein, Pituitary apoplexy: pathophysiology, diagnosis and management, „Archives of Endocrinology and Metabolism”, 59 (3), 2015, s. 259–264, DOI: 10.1590/2359-3997000000047, ISSN 2359-4292, PMID: 26154095 [dostęp 2018-04-24].
- 1 2 Alessandro Boellis i inni, Pituitary apoplexy: an update on clinical and imaging features, „Insights into Imaging”, 5 (6), 2014, s. 753–762, DOI: 10.1007/s13244-014-0362-0, ISSN 1869-4101, PMID: 25315035, PMCID: PMC4263799 [dostęp 2018-05-17].
- ↑ Chen-Cheng Chao, Chun-Ju Lin, Pituitary apoplexy in a teenager--case report, „Pediatric Neurology”, 50 (6), 2014, s. 648–651, DOI: 10.1016/j.pediatrneurol.2014.02.004, ISSN 1873-5150, PMID: 24842258 [dostęp 2018-05-17].
- ↑ Luiz Eduardo Wildemberg i inni, Apoplexy in nonfunctioning pituitary adenomas, „Pituitary”, 21 (2), 2018, s. 138–144, DOI: 10.1007/s11102-018-0870-x, ISSN 1573-7403, PMID: 6 29383476 6 [dostęp 2018-04-14].
- 1 2 3 4 5 6 7 Salam Ranabir, Manash P. Baruah, Pituitary apoplexy, „Indian Journal of Endocrinology and Metabolism”, 15 (Suppl3), 2011, S188–S196, DOI: 10.4103/2230-8210.84862, ISSN 2230-8210, PMID: 22029023, PMCID: PMC3183518 [dostęp 2018-05-17].
- 1 2 3 4 5 Adriana Albani i inni, Multidisciplinary Management of Pituitary Apoplexy, „International Journal of Endocrinology”, 2016, 2016, DOI: 10.1155/2016/7951536, ISSN 1687-8337, PMID: 28074095, PMCID: PMC5198093 [dostęp 2018-05-17].
- 1 2 3 4 5 6 7 8 9 Szczeklik i Gajewski 2017 ↓, s. 1259.
- ↑ Pawel P. Jankowski i inni, Pituitary tumor apoplexy in adolescents, „World Neurosurgery”, 83 (4), 2015, s. 644–651, DOI: 10.1016/j.wneu.2014.12.026, ISSN 1878-8769, PMID: 25527883 [dostęp 2018-05-17].
- ↑ Je Hun Jang i inni, Extensive Pituitary Apoplexy after Chemotherapy in a Patient with Metastatic Breast Cancer, „Brain Tumor Research and Treatment”, 6 (1), 2018, s. 43–46, DOI: 10.14791/btrt.2018.6.e7, ISSN 2288-2405, PMID: 29717570 [dostęp 2018-05-04].
- 1 2 Edward H. Oldfield, Marsha J. Merrill, Apoplexy of pituitary adenomas: the perfect storm, „Journal of Neurosurgery”, 122 (6), 2015, s. 1444–1449, DOI: 10.3171/2014.10.JNS141720, ISSN 1933-0693, PMID: 25859802 [dostęp 2018-04-15].
- 1 2 3 4 5 Fauci i Braunwald 2009 ↓, s. 2434.
- ↑ Mitsuru Yoshino i inni, Pituitary apoplexy after surgical treatment of lung cancer, „The Annals of Thoracic Surgery”, 98 (5), 2014, s. 1830–1832, DOI: 10.1016/j.athoracsur.2013.12.056, ISSN 1552-6259, PMID: 25441798 [dostęp 2018-05-17].
- ↑ Edwin Chng, Rinkoo Dalan, Pituitary apoplexy associated with cabergoline therapy, „Journal of Clinical Neuroscience: Official Journal of the Neurosurgical Society of Australasia”, 20 (12), 2013, s. 1637–1643, DOI: 10.1016/j.jocn.2013.02.027, ISSN 1532-2653, PMID: 24113159 [dostęp 2018-05-17].
- 1 2 3 Diana G Douleh i inni, Angioplasty is an Effective Treatment for Vasospasm Following Pituitary Apoplexy and Tumor Resection, „Cureus”, 10 (1), DOI: 10.7759/cureus.2117, ISSN 2168-8184, PMID: 29593947, PMCID: PMC5871324 [dostęp 2018-04-14].
- ↑ Yosuke Sasaki i inni, Pituitary apoplexy presenting with anorexia and hyponatraemia, „BMJ Case Reports”, 2015, 2015, DOI: 10.1136/bcr-2014-209120, ISSN 1757-790X, PMID: 25858941, PMCID: PMC4401949 [dostęp 2018-05-17].
- ↑ Claire Briet i inni, Pituitary Apoplexy, „Endocrine Reviews”, 36 (6), 2015, s. 622–645, DOI: 10.1210/er.2015-1042, ISSN 1945-7189, PMID: 26414232 [dostęp 2018-04-24].
- ↑ Young-Hoon Kim i inni, Postoperative Neurologic Outcome in Patients with Pituitary Apoplexy After Transsphenoidal Surgery, „World Neurosurgery”, 111, 2018, e18–e23, DOI: 10.1016/j.wneu.2017.11.124, ISSN 1878-8769, PMID: 29191540 [dostęp 2018-05-04].
- ↑ Meghan Berkenstock, Alexander Szeles, Jessica Ackert, Encephalopathy, Chiasmal Compression, Ophthalmoplegia, and Diabetes Insipidus in Pituitary Apoplexy, „Neuro-Ophthalmology”, 38 (5), 2014, s. 286–289, DOI: 10.3109/01658107.2014.944315, ISSN 0165-8107, PMID: 27928316, PMCID: PMC5122910 [dostęp 2018-05-17].
- ↑ Shahzada K. Ahmed, Patrick L. Semple, Cerebral ischaemia in pituitary apoplexy, „Acta Neurochirurgica”, 150 (11), 2008, 1193–1196; discussion 1196, DOI: 10.1007/s00701-008-0130-3, ISSN 0942-0940, PMID: 18958393 [dostęp 2018-05-17].
- ↑ Rucai Zhan i inni, Acute Hemorrhagic Apoplectic Pituitary Adenoma: Endoscopic Management, Surgical Outcomes, and Complications, „The Journal of Craniofacial Surgery”, 26 (6), 2015, e510–e515, DOI: 10.1097/SCS.0000000000002026, ISSN 1049-2275, PMID: 26335327, PMCID: PMC4568893 [dostęp 2018-05-17].
- ↑ Tarun D. Singh i inni, Management and outcomes of pituitary apoplexy, „Journal of Neurosurgery”, 122 (6), 2015, s. 1450–1457, DOI: 10.3171/2014.10.JNS141204, ISSN 1933-0693, PMID: 25859804 [dostęp 2018-05-17].
Bibliografia
- Andrzej Szczeklik, Piotr Gajewski: Interna Szczeklika 2017. Kraków: Wydawnictwo Medycyna Praktyczna, 2017, s. 1259, 1261. ISBN 978-83-7430-517-4.
- Anthony Fauci, Eugene Braunwald: Interna Harrisona. T. III. Lublin: Wydawnictwo Czelej, 2009, s. 2434. ISBN 978-83-60608-97-5.
Przeczytaj ostrzeżenie dotyczące informacji medycznych i pokrewnych zamieszczonych w Wikipedii.
