Żylaki żołądka
| Varices ventriculi | |
![]() Żylaki żołądka | |
| Klasyfikacje | |
| ICD-10 |
I86 |
|---|---|
Żylaki żołądka – nieprawidłowe poszerzenia żył w warstwie podśluzowej żołądka mogące być przyczyną krwawienia z przewodu pokarmowego. Żylaki żołądka klasyfikuje się według podziału Sarina, w którym wyróżnia się żylaki żołądkowo-przełykowe i izolowane żylaki żołądka. Do głównych czynników etiologicznych należy nadciśnienie wrotne powodujące żylaki żołądkowo-przełykowe oraz zakrzepica żyły śledzionowej powodująca izolowane żylaki żołądka. Klinicznie mogą przebiegać bezobjawowo i zostać przypadkowo rozpoznane podczas kontrolnej gastroskopii, ale mogą być przyczyną trudnych do opanowania potencjalnie śmiertelnych krwotoków z przewodu pokarmowego. Szacuje się, że stanowią przyczynę około 10–20% krwawień z żylaków u chorych z marskością wątroby. Podstawową metodą rozpoznawania jest gastroskopia, jednak czasem konieczne jest zastosowanie innych metod diagnostycznych. W leczeniu profilaktycznym znajdują zastosowanie nieselektywne beta blokery, takie jak propranolol i nadolol oraz azotany, szczególnie diazotan izosorbidu. Leczenie ostrego krwawienia z przewodu pokarmowego jest podobne do leczenia krwawienia z żylaków przełyku.
Klasyfikacja
Żylaki żołądka w klasyfikacji Sarina są dzielone na[1][2][3]:
- żylaki żołądkowo-przełykowe (ang. gastroesophageal varices, GOV),
- żylaki żołądka rozciągające się od wpustu wzdłuż krzywizny mniejszej (GOV1),
- żylaki przełyku i dna żołądka (GOV2),
- izolowane żylaki żołądka, żylaki własne żołądka (ang. isolated gastric varices, IGV),
- żylaki w dnie żołądka (IGV1),
- izolowane ektopowe żylaki w dowolnej lokalizacji w żołądku lub początkowym odcinku dwunastnicy (IGV2).
Żylaki żołądkowo-przełykowe typu GOV1 stanowią około 70% przypadków żylaków żołądka, jednak w 80% przypadków przyczyną krwawienia są żylaki zlokalizowane w dnie żołądka (GOV2 i IGV1). Żylaki typu IGV2 są rzadkie[4].
Powstawanie
Żylaki żołądka powstają wtórnie do uogólnionego nadciśnienia wrotnego i rozwoju żylaków przełyku jako żylaki żołądkowo-przełykowe lub wtórnie do nadciśnienia wrotnego w lewej połowie spływu żyły wrotnej w przebiegu zakrzepicy w żyle śledzionowej jako izolowane żylaki żołądka[2].
W uogólnionym nadciśnieniu wrotnym, związanym przede wszystkim z marskością wątroby, dochodzi do wytworzenia krążenia obocznego wrotno-systemowego. Krążenie oboczne wykorzystuje żyłę żołądkową lewą (żyła wieńcowa żołądka) uchodzącą do żyły wrotnej, która jednocześnie łączy się z dolnymi żyłami przełykowymi będącymi dopływami żyły nieparzystej oraz łączy się z żyłami przeponowymi będącymi dopływami żyły głównej dolnej[5]. Z krążeniem systemowym, poprzez połączenie ze splotem żylnym dna żołądka i układem żył wpustu, łączą żyły żołądkowe krótkie uchodzące do żyły śledzionowej będącej dopływem żyły wrotnej[2][6][7]. W rezultacie nadciśnienia wrotnego dochodzi do znacznego poszerzenia tych żył[5].
W przypadku zakrzepicy żyły śledzionowej krew z żyły śledzionowej przepływa w kierunku wstecznym poprzez żyły żołądkowe krótkie przez splot żylny dna żołądka, a następnie przez żyłę żołądkową lewą do żyły wrotnej[2][8]. Poprzez wzrost ciśnienia w splocie żylnym dna żołądka dochodzi do powstania izolowanych żylaków dna żołądka, a ponieważ ciśnienie w żyle wrotnej pozostaje prawidłowe nie dochodzi do powstania żylaków przełyku[8]. Zakrzepica żyły śledzionowej występuje głównie u chorych z rakiem trzustki, ostrym zapaleniem trzustki i w przebiegu zespołów mieloproliferacyjnych[8][9].
Epidemiologia
Częstość występowania żylaków żołądka jest trudna do oszacowania. Szacuje się, że u około 30% chorych z marskością wątroby rozwija się krwotok z żylaków, a około 10–20% z nich dotyczy żylaków żołądka[10]. Ryzyko krwawienia w przypadku bezobjawowych żylaków żołądka u chorych z marskością wątroby, wykrytych podczas kontrolnej gastroskopii, wynosi 16% po roku, 36% po trzech latach i 44% po pięciu latach[11][10]. Ryzyko krwawienia zależy od wielkości żylaków, ich powierzchni oraz wyrównania funkcji metabolicznej wątroby[10]. Krwawienie z żylaków żołądka występuje częściej u chorych z wywiadem krwawienia z żylaków przełyku[12].
Częstość występowania żylaków żołądka spowodowana obecnością nowotworów złośliwych jest nieznana. U 20% osób z przewlekłym zapaleniem trzustki stwierdza się zakrzepicę żyły śledzionowej, ale ryzyko krwawienia z żylaków żołądka jest znacznie niższe. Szacuje się, że zakrzepica żyły śledzionowej wiąże się z 10% ryzykiem krwotoku z żylaków żołądka w ciągu 7 lat[10].
Obraz kliniczny
Żylaki żołądka mogą pozostawać bezobjawowe i u części chorych żylaki żołądka oraz przełyku są stwierdzane w ramach kontrolnej gastroskopii u chorych z marskością wątroby[10].
Najważniejszą manifestacją obecności żylaków żołądka jest krwawienie z przewodu pokarmowego o różnym nasileniu. Może ono występować w postaci niewielkiej, okresowej utraty krwi, krwawień masywnych, jak również powodować krwotoki prowadzące do wstrząsu, bezpośrednio zagrażając życiu choremu[13]. Żylaki żołądka są źródłem krwawienia u 10-20% chorych z nadciśnieniem wrotnym[10][14]. Mniejsza częstość występowania krwawienia z żylaków żołądka w porównaniu z żylakami przełyku jest związana z grubszą warstwą błony śluzowej pokrywającej poszerzone żyły[13]. Krwawienie z żylaków żołądka zwykle jest bardziej obfite w porównaniu do żylaków przełyku, a dodatkowo wiąże się z wyższym ryzykiem nawrotu krwawienia oraz wyższą śmiertelnością[1][13][15]. Krwawienie wykazuje tendencje do pojawiania się również przy niższych wartościach nadciśnienia wrotnego niż krwawienie z żylaków przełyku[4].
U chorych z zakrzepicą żyły śledzionowej może występować ból brzucha i utrata masy ciała zależna od ostrego zapalenia trzustki lub współwystępującego raka trzustki. Często w badaniu fizykalnym stwierdza się powiększenie śledziony (splenomegalia)[13].
Rozpoznanie

Większość przypadków żylaków żołądka jest rozpoznawana za pomocą gastroskopii. Badanie pozwala na uwidocznienie żylaków, rozpoznanie ich typu według klasyfikacji Sarina oraz wykonanie zabiegu endoskopowego. W przypadkach wątpliwych, w celu różnicowania żylaków z pogrubiałym fałdem żołądkowym wykorzystuje się ultrasonografię endoskopową oraz ultrasonografię dopplerowską, która może potwierdzić typowy przepływ przez żylakowato poszerzone naczynia żylne[16][17].
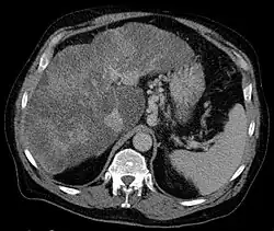
Pomocniczo stosuje się badanie radiologiczne dwukontrastowe, w którym stwierdza się obecność pogrubiałych, krętych, płatowatych fałdów żołądkowych lub okrągły ubytek wypełnienia. W tomografii komputerowej lub rezonansie magnetycznym widoczne są powiększone dobrze odgraniczone okrągłe lub rurowate struktury w dnie żołądka, które mogą dalej przedłużać się w żyły[13][18].
Angiografia bywa pomocna przy potwierdzeniu rozpoznania żylaków żołądka i rozpoznawaniu etiologii tych zmian. Przy nadciśnieniu wrotnym uwidacznia się przepływ przez krążenie oboczne przez żyłę żołądkową lewą i żyły żołądkowe krótkie bez uwidocznienia przepływu przez żyłę wrotną, a także obecność żylaków przełyku i żołądka. W przypadku zakrzepu żyły śledzionowej widoczny jest prawidłowy przepływ przez żyłę wrotną, wsteczny przepływ przez splot żylny dna żołądka z uwidocznieniem żylaków dna żołądka bez dowodów na obecność żylaków przełyku[19].
Leczenie
Profilaktyka krwawienia z żylaków żołądka
Głównym celem leczenia profilaktycznego krwawienia żylaków u chorych z marskością wątroby jest obniżenie ciśnienia wrotnego, a tym samym ciśnienia w żylakowato poszerzonych naczyniach i ryzyka groźnego krwotoku. Lekami z wyboru są nieselektywne beta blokery: propranolol i nadolol, które poprzez blokadę receptorów β1-adrenergicznych z następczą aktywacją receptorów α-adrenergicznych powodują zwężenie naczyń żylnych (wazokonstrukcja). Blokada receptorów β2-adrenergicznych zapobiega wazodylatacji. Ze względu na działanie na kilka typów receptorów adrenergicznych nieselektywne beta blokery są skuteczniejsze od selektywnych. Celem leczenia jest obniżenie częstości skurczowej serca poniżej 55 skurczów na minutę lub o 25% w stosunku do wartości wyjściowej. Leczenie u chorych z marskością często jest źle tolerowane. W leczeniu stosuje się azotany, szczególnie diazotan izosorbidu, który poprzez skurcz naczyń trzewnych i obniżenie oporu wątrobowego zmniejsza ciśnienie w żyle wrotnej, ale jednocześnie wykazuje wpływ wazodylatacyjny w stosunku do naczyń obwodowych. Połączenie nitratów i beta blokerów wykazuje większą skuteczność w obniżeniu ciśnienia wrotnego niż sam beta bloker[17].
W przypadku izolowanych żylaków dna żołądka, które występują zwykle przy niskich wartościach ciśnienia wrotnego, rola profilaktyki krwawienia jest niejasna. W przypadku izolowanych żylaków żołądka w przebiegu marskości wątroby leczenie beta blokerami może być skuteczne. Z kolei rola leczenia profilaktycznego za pomocą beta blokerów izolowanych żylaków żołądka spowodowanych lewostronnym nadciśnieniem wrotnym (zakrzepicą żyły wrotnej) jest nieustalona[17].
Leczenie krwawienia z żylaków żołądka
Ostre krwawienie z żylaków żołądka może stanowić zagrożenie życia i leczenie odbywa się w warunkach szpitalnych. Leczenie żylaków żołądka spowodowanych nadciśnieniem wrotnym jest podobne do leczenia żylaków przełyku[20].
W przypadku hipowolemii ostrożnie wyrównuje się objętość utraconej krwi za pomocą płynoterapii (krytaloidy i/lub koloidy), ewentualnie preparatami krwiopochodnymi[20]. Zbyt agresywne wyrównanie objętości krwi krążącej może jednak nasilić nadciśnienie wrotne i utrudniać leczenie[10]. Docelowe wartości ciśnienia tętniczego i hematokrytu są stosunkowo niskie[10], za docelowe stężenie hemoglobiny przyjmuje się 8 g/dl[21] i hematokryt około 21–25%[10]. Przydatna jest podaż tlenu celem poprawy saturacji[17]. Istotne jest zabezpieczenie drożności dróg oddechowych, u chorych z zaburzeniami świadomości może być konieczna intubacja[17]. Stosuje się siedmiodniową profilaktykę antybiotykową samoistnego zapalenia otrzewnej[22][23]. W celu obniżenia ciśnienia wrotnego dożylnie podaje się terlipresynę, somatostatynę lub oktreotyd[17]. Wazopresyna i jej analog terlipresyna zmniejszają przepływ przez trzewia i obniżają ciśnienie w żyle wrotnej, podobnie somatostatyna i jej analog oktreotyd zmniejszają przepływ przez trzewia i ciśnienie wrotne poprzez uwalnianie wazoaktywnych peptydów: substancja P i glukagon[17]. Leki poprawiają skuteczność leczenia endoskopowego i obniżają ryzyko nawrotu krwawienia, ale nie obniżają śmiertelności[24][17]. Izolowane żylaki dna żołądka (IGV1) są mniej podatne na obniżenie ciśnienia wrotnego niż żylaki żołądkowo-przełykowe (GOV1)[17].
Za pomocą sondy Sengstakena-Blakemore’a lub sondy Lintona-Nachlasa może być wykonana doraźna tamponada krwawiących żylaków przed zasadniczym leczeniem endoskopowym przeprowadzonym w ciągu 24 godzin od założenia zgłębnika[25][20][16]. Pozostawienie sondy powyżej 24 godzin z powodu wywieranego ucisku grozi powstaniem odleżyny ściany przełyku lub żołądka[25].
Leczenie przyczynowe może polegać na założeniu przezszyjnego wewnątrzwątrobowego zespolenia wrotno-układowego (TIPS) lub leczeniu endoskopowym za pomocą opaskowania, skleroterapii lub kleju cyjanoakrylowego[26].
Po ustabilizowaniu stanu chorego zazwyczaj wykonuje się badanie endoskopowe górnego odcinka przewodu pokarmowego celem diagnostyki i ewentualnie leczenia. Leczenie endoskopowe polega na założeniu zaciskającej gumowej opaski na krwawiący żylak (opaskowanie) lub podania środka powodującego zwężenie i zbliznowacenie żyły (skleroterapia)[27]. Preferuje się założenie opasek[21], ponieważ skleroterapia wiąże się z powstaniem owrzodzeń, które mogą być przyczyną nawrotu krwawienia[17].
Klej cyjanoakrylowy wykazuje skuteczność w leczeniu żylaków żołądka i małe badania wskazują na jego przewagę nad opaskowaniem lub skleroterapią[28][29][30][26]. Działanie kleju tkankowego polega na gwałtownej polimeryzacji po kontakcie z wodą, twardnieniu i zatrzymaniu krwawienia[31]. Metoda wymaga bardzo starannego doboru chorych i jest dostępna (zarejestrowana) tylko w niektórych krajach[21].
Część autorów u chorych z żylakami dna żołądka typu (GOV2, IGV2) preferuje stosowanie kleju cyjanoakrylowego, gdy jest on dostępny i jest możliwość wykonania gastroskopii, opaskowanie zaleca tylko w przypadku małych żylaków dna żołądka, a w przypadku żylaków żołądkowo-przełykowych zaleca się stosowanie opaskowania[21][17][31].
Przezszyjne wewnątrzwątrobowe zespolenie wrotno-układowe (TIPS) jest wykonywane w przypadku nawrotów krwawienia z żylaków dna żołądka[10][21]. TIPS w niewielkim badaniu wykazał przewagę nad klejem cyjanoakrylowym, ale kosztem wyższego odsetka encefalopatii wątrobowej przy braku przewagi metody w przeżyciu całkowitym chorych[32][21].
Klasyfikacja ICD10
| kod ICD10 | nazwa choroby |
|---|---|
| ICD-10: I86 | Żylaki o innej lokalizacji |
| ICD-10: I86.4 | Żylaki żołądka |
Przypisy
- 1 2 Lee i Moreau 2015 ↓, s. 140.
- 1 2 3 4 Townsend 2013 ↓, s. 160.
- ↑ BM. Ryan, RW. Stockbrugger, JM. Ryan. A pathophysiologic, gastroenterologic, and radiologic approach to the management of gastric varices. „Gastroenterology”. 126 (4), s. 1175-89, Apr 2004. PMID: 15057756.
- 1 2 John R. Saltzman: Upper Gastrointestinal Bleeding. Elsevier Health Sciences, 2015, s. 497. ISBN 978-0-323-39098-9.
- 1 2 Adam Bochenek, Michał Reicher: Anatomia człowieka. T. III. PZWL, 2010, s. 431. ISBN 978-83-200-4152-1.
- ↑ Erwin Kuntz, Hans-Dieter Kuntz: Hepatology: Textbook and Atlas. Springer Science & Business Media, 2009, s. 262. ISBN 978-3-540-76839-5.
- ↑ Plinio Rossi: Portal Hypertension: Diagnostic Imaging and Imaging-Guided Therapy. Springer Science & Business Media, 2012, s. 98. ISBN 978-3-642-57116-9.
- 1 2 3 Levy, Mortele i Yeh 2015 ↓, s. 94.
- ↑ Andrew Keaveny, Andrés Cárdenas: Complications of Cirrhosis: Evaluation and Management. Springer, 2015, s. 103. ISBN 978-3-319-13614-1.
- 1 2 3 4 5 6 7 8 9 10 AM. Al-Osaimi, SH. Caldwell. Medical and endoscopic management of gastric varices. „Semin Intervent Radiol”. 28 (3), s. 273-82, Sep 2011. DOI: 10.1055/s-0031-1284453. PMID: 22942544.
- ↑ T. Kim, H. Shijo, H. Kokawa, H. Tokumitsu i inni. Risk factors for hemorrhage from gastric fundal varices. „Hepatology”. 25 (2), s. 307-12, Feb 1997. DOI: 10.1053/jhep.1997.v25.pm0009021939. PMID: 9021939.
- ↑ Hauser 2014 ↓, s. 282.
- 1 2 3 4 5 Gore i Levine 2015 ↓, s. 604.
- ↑ Andrzej Szczeklik, Piotr Gajewski: Interna Szczeklika 2014. Kraków: Medycyna Praktyczna, 2014, s. 1109. ISBN 978-83-7430-405-4.
- ↑ John W. D. McDonald, Andrew K. Burroughs, Brian G. Feagan: Evidence-Based Gastroenterology and Hepatology. John Wiley & Sons, 2008, s. 467. ISBN 978-1-4051-4012-6.
- 1 2 John R. Saltzman: Upper Gastrointestinal Bleeding. Elsevier Health Sciences, 2015, s. 498. ISBN 978-0-323-39098-9.
- 1 2 3 4 5 6 7 8 9 10 11 D. Christodoulou, E. V. Tsianos, P. Kortan, N. Marcon. Gastric and ectopic varices – newer endoscopic options. „Annals of Gastroenterology”. 20 (2), 2007.
- ↑ Levy, Mortele i Yeh 2015 ↓, s. 95.
- ↑ Gore i Levine 2015 ↓, s. 604-605.
- 1 2 3 Townsend 2013 ↓, s. 161.
- 1 2 3 4 5 6 Louis M. Wong, Kee Song. Management of Gastric Varices. „Clinical Liver Disease”. 1(5), 2012. DOI: 10.1002/cld.94.
- ↑ Feldman, Friedman i Brandt 2015 ↓, s. 1547.
- ↑ Lee i Moreau 2015 ↓, s. 143.
- ↑ R. Bañares, A. Albillos, D. Rincón, S. Alonso i inni. Endoscopic treatment versus endoscopic plus pharmacologic treatment for acute variceal bleeding: a meta-analysis. „Hepatology”. 35 (3), s. 609-15, Mar 2002. DOI: 10.1053/jhep.2002.31354. PMID: 11870374.
- 1 2 Lee i Moreau 2015 ↓, s. 141.
- 1 2 YS. Lim. Practical approach to endoscopic management for bleeding gastric varices. „Korean J Radiol”. 13 Suppl 1. s. S40-4. DOI: 10.3348/kjr.2012.13.S1.S40. PMID: 22563286.
- ↑ Wojciech Noszczyk: Chirurgia. Warszawa: Wydawnictwo Lekarskie PZWL, 2007, s. 709. ISBN 978-83-200-3640-4.
- ↑ SK. Sarin, AK. Jain, M. Jain, R. Gupta. A randomized controlled trial of cyanoacrylate versus alcohol injection in patients with isolated fundic varices. „Am J Gastroenterol”. 97 (4), s. 1010-5, Apr 2002. DOI: 10.1111/j.1572-0241.2002.05622.x. PMID: 12003381.
- ↑ GH. Lo, KH. Lai, JS. Cheng, MH. Chen i inni. A prospective, randomized trial of butyl cyanoacrylate injection versus band ligation in the management of bleeding gastric varices. „Hepatology”. 33 (5), s. 1060-4, May 2001. DOI: 10.1053/jhep.2001.24116. PMID: 11343232.
- ↑ PC. Tan, MC. Hou, HC. Lin, TT. Liu i inni. A randomized trial of endoscopic treatment of acute gastric variceal hemorrhage: N-butyl-2-cyanoacrylate injection versus band ligation. „Hepatology”. 43 (4), s. 690-7, Apr 2006. DOI: 10.1002/hep.21145. PMID: 16557539.
- 1 2 Łukasz Durko, Ewa Małecka-Panas. Krwawienia z przewodu pokarmowego. „Pediatr Med Rodz”, 2011.
- ↑ GH. Lo, HL. Liang, WC. Chen, MH. Chen i inni. A prospective, randomized controlled trial of transjugular intrahepatic portosystemic shunt versus cyanoacrylate injection in the prevention of gastric variceal rebleeding. „Endoscopy”. 39 (8), s. 679-85, Aug 2007. DOI: 10.1055/s-2007-966591. PMID: 17661241.
Bibliografia
- Courtney M. Townsend: Sabiston Chirurgia. Elsevier Health Sciences, 2013. ISBN 978-83-7609-162-4.
- Samuel S. Lee, Richard Moreau: Cirrhosis: A Practical Guide to Management. John Wiley & Sons, 2015, s. 140. ISBN 978-1-118-41268-8.
- Stephen Hauser: Mayo Clinic Gastroenterology and Hepatology Board Review. Oxford University Press, 2014. ISBN 978-0-19-937335-2.
- Richard M. Gore, Marc S. Levine: Textbook of Gastrointestinal Radiology. Elsevier Health Sciences, 2015. ISBN 978-0-323-27811-9.
- Angela D. Levy, Koenraad J. Mortele, Benjamin M. Yeh: Gastrointestinal Imaging. Oxford University Press, 2015. ISBN 978-0-19-939214-8.
- Mark Feldman, Lawrence S. Friedman, Lawrence J. Brandt: Sleisenger and Fordtran's Gastrointestinal and Liver Disease: Pathophysiology, Diagnosis, Management. Elsevier Health Sciences, 2015. ISBN 978-1-4557-4989-8.
Przeczytaj ostrzeżenie dotyczące informacji medycznych i pokrewnych zamieszczonych w Wikipedii.
