Azbest
.jpg)

.jpg)
Azbest – określenie pewnych grup mineralnych mających postać włókien o stosunku długości do średnicy włókna co najmniej 100:1.
Nazwa azbest nie określa konkretnego minerału, lecz dotyczy ogółu minerałów krzemianowych tworzących włókna. Należą do nich:
- azbesty właściwe: azbesty serpentynowe (chryzotylowe) i amfibolowe (aktynolitowe, amiantowe, antofyllitowe, amozytowe, krokidolitowe – odmiana riebeckitu oraz magnesioriebeckitowe). Oprócz wymienionych należą tu jeszcze inne minerały krzemianowe – diopsyd, sillimanit, egiryn, lamprofyllit, astrofyllit i inne.
- Do minerałów azbestopodobnych należą: attapulgit, sepiolit, talk włóknisty, wollastonit, serpentynit włóknisty, antygoryt włóknisty oraz zeolity włókniste.
Przyjmuje się, że azbestami są włókniste odmiany minerałów występujące w przyrodzie w postaci wiązek włókien cechujących się dużą wytrzymałością na rozciąganie, elastycznością i odpornością na działanie czynników chemicznych i fizycznych. W przyrodzie występuje około 150 minerałów w postaci włóknistej, które w czasie procesu produkcyjnego mogą się rozdzielać na sprężyste włókna, czyli fibryle.
Techniczną klasyfikację azbestów oparto na długościach i średnicach wiązek włókien. W różnych klasyfikacjach średnice agregatów uznawanych za wiązki zmieniają się znacznie; zazwyczaj są one rzędu milimetrów. Długość wiązek wynosi od dziesiętnych części milimetra do 100 mm. Azbesty poddawane obróbce mogą rozpadać się na mniejsze cząstki (tzw. fibryle). Stwierdzono, że wymiary pojedynczych włókien po rozdrobnieniu mogą się zmieniać w bardzo szerokim zakresie: od nanometrów (nm) i mikrometrów (µm) do milimetrów.
Zastosowanie

- Włókna i wyroby odznaczają się znaczną odpornością na działanie czynników chemicznych, ścieranie i wysoką temperaturę.
- Ze względu na słabe przewodnictwo ciepła i prądu jest stosowany jako materiał izolacyjny.
- Dzięki ogniotrwałości i izolacyjności termicznej stosowany jest do wyrobu tkanin ogniotrwałych i farb ogniotrwałych.
- Dawniej produkowano z niego okładziny ciernych szczęk hamulcowych i niepalne materiały budowlane (pokrycia dachowe, rury itp).
- Dzięki niskiej cenie i dobrym właściwościom mechanicznym stosowany był jako wzmocnienie w eternicie.
Aktualnie ze względu na działanie rakotwórcze został wycofany, a np. pokrycia dachowe są wymieniane na inne. Ze względu na szkodliwość pyłu azbestowego (pylica), usuwanie wyrobów azbestowych z budynków wymaga zabezpieczeń pracowników, a odpady prawidłowego unieszkodliwienia. Jedną z metod neutralizacji azbestu, do 2010 roku jedyną dopuszczoną w Polsce, jest jego składowanie na składowiskach odpadów niebezpiecznych i zasypywanie ziemią. Ostatnio coraz większą popularność zyskuje technologia unieszkodliwiania termicznego azbestu np. MTT (Microwave Thermal Treatment)[1]. W Polsce mają być dokonane zmiany w prawie dopuszczające metody termicznego unieszkodliwiania.
Szkodliwość


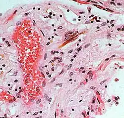
Azbest jest przyczyną pylicy azbestowej, chorób opłucnej (w tym międzybłoniaka), oraz nowotworów (raka oskrzela, jajnika, nerki i krtani)[2][3].
Szkodliwość włókien azbestowych zależy od średnicy i długości włókien. Większe włókna nie są tak szkodliwe, gdyż w większości zatrzymują się w górnych drogach oddechowych, skąd są usuwane przez rzęski, włókna bardzo drobne są usuwane przez system odpornościowy. Najbardziej niebezpieczne nie są włókna długie (>5 μm), lecz cienkie (do 0,01 μm), chociaż różni badacze wskazują na wielką szkodliwość włókien już o średnicy niższej od 3 μm, jak również zagrożenie nieco powyżej tej granicy[4]. Wartość 3 μm jako graniczną przyjmują też przepisy krajowe (podając dodatkowo stosunek długości do średnicy jako >3, dopuszczalne stężenie w powietrzu do 0,1 szt. na cm³)[5] oraz międzynarodowe, przy czym dyskutuje się znaczne (10-100 krotne) zaostrzenie norm ilościowych, a w niektórych już krajach są one 500 razy bardziej restrykcyjne (np. Holandia 0,002 włókna/cm³)[6]. Włókna takie, niczym strzały, pręty, przenikają do dolnych dróg oddechowych, wbijając się w płuca, gdzie pozostają i w wyniku wieloletniego drażnienia (nawet po 20-30 latach) komórek wywołują nowotwory, jak rak płuca i międzybłoniak, rak krtani, a także inne choroby, jak np. pylica azbestowa (azbestoza), łagodne zmiany opłucnowe, a także obturacyjne przewlekłe zapalenie oskrzeli[4]. Azbest wywołuje również wiele chorób nie związanych z układem oddechowym, jak nowotwory przewodu pokarmowego: rak żołądka i rak jelit, trzustki, jajnika oraz chłoniaki[4], co choć zostało potwierdzone[7][8], jest jednak dyskutowane[9].
Pierwsze wzmianki na temat szkodliwości azbestu pojawiły się w latach 1900–1920[2]. W roku 1910 francuskie badania potwierdziły szkodliwy wpływ azbestu na organizm człowieka. U osób stykających się z azbestem rak płuc został uznany za chorobę zawodową.
Ryzyko wchłaniania włókien azbestowych występuje podczas pracy z minerałami azbestowymi oraz podczas kruszenia i obróbki produktów azbestowo-cementowych. W roku 1997 zakazano wprowadzania na terytorium Rzeczypospolitej Polskiej azbestu i wyrobów zawierających azbest, produkcji wyrobów zawierających azbest oraz obrotu azbestem i wyrobami zawierającymi azbest[10].
Przypisy
- ↑ C. LeonelliCorresponding, P. Veronesi, D.N. Boccaccini, M.R. Rivasi, L. Barbieri, F. Andreola, I. Lancellotti, D. Rabitti and G.C. Pellacani. Microwave thermal inertisation of asbestos containing waste and its recycling in traditional ceramics. „Journal of Hazardous Materials”. 135 (1–3), s. 149-155, 31 July 2006. DOI: 10.1016/j.jhazmat.2005.11.035. [dostęp 2010-03-21].
- 1 2 Joel Anthony Nations, Angeline A. Lazarus, Asbestos and lung diseases: introduction and epidemiology, „Disease-a-month: DM”, 57 (1), 2011, s. 7–13, DOI: 10.1016/j.disamonth.2010.11.003, ISSN 1557-8194, PMID: 21281827 [dostęp 2018-03-27].
- ↑ Arthur L. Frank, T.K. Joshi, The global spread of asbestos, „Annals of Global Health”, 80 (4), 2014, s. 257–262, DOI: 10.1016/j.aogh.2014.09.016, ISSN 2214-9996, PMID: 25459326 [dostęp 2018-03-27].
- 1 2 3 Urszula Bożek, Azbest jako czynnik chorobotwórczy, „Medycyna Ogólna i Nauki o Zdrowiu”, 14 (XLIII) (3), 10 maja 2008, s. 267-279, ISSN 2083-4543 [dostęp 2024-07-25] (pol.).
- ↑ Rozporządzenie Ministra Rodziny, Pracy i Polityki Społecznej z dnia 12 czerwca 2018 r. w sprawie najwyższych dopuszczalnych stężeń i natężeń czynników szkodliwych dla zdrowia w środowisku pracy [online], isap.sejm.gov.pl, 3 lipca 2018 [dostęp 2024-07-25].
- ↑ Nowy limit UE dotyczący obecności azbestu nadal groźny dla pracowników [online], FZZ | Forum Związków Zawodowych, 2 października 2022 [dostęp 2024-07-25] (pol.).
- ↑ Anna Krychniak-Soszka, Stefan Wesołowski, Jan Kuś, Zmiany płucne i opłucnowe wywołane ekspozycją na azbest (Asbestos exposure – induced lesions in the lungs and pleura), „Nowa Medycyna”, 2000 (4), CzytelniaMedyczna.pl, 2000 [dostęp 2024-07-25] (pol.).
- ↑ Philippe H. DeJonckerel i inni, Etiologia zawodowa raka krtani: czy istnieje różnica w porównaniu z rakiem gardła (dolnego)?, „Polish Otorhinolaryngology Review”, 2016 (5) (4), otorhinolaryngologypl.com, 31 grudnia 2016, s. 1-5, ISSN 2084-5308 [dostęp 2024-07-25] (pol. • ang.).
- ↑ AZBEST - Podręcznik wydany przez Komitet Starszych Inspektorów Pracy (SLIC) [online], Komisja Europejska DG ds. Zatrudnienia, Spraw Społecznych i Równości Szans / pinbsw.pl [dostęp 2024-07-25] (pol.).
- ↑ Ustawa z dnia 19 czerwca 1997 r. o zakazie stosowania wyrobów zawierających azbest (Dz.U. z 2020 r. poz. 1680).
Bibliografia
- Bolewski A., Manecki A.: Mineralogia szczegółowa. Warszawa: Wyd. PAE, 1993.
- Ďuďa R., Rejl L.: Wielka encyklopedia minerałów. Warszawa: Elipsa 2, 1994.
- Kouřimský J.: Minerały i skały: ilustrowana encyklopedia. Delta W-Z, 1995.
- Schumann W.: Minerały świata. Wyd. „Alma-Press”, 2003.
Linki zewnętrzne
- Asbestos and Occupational Health in the World. hesa.etui-rehs.org. [zarchiwizowane z tego adresu (2012-02-02)]. (ang.)
- Komu przeszkadzał azbest? w serwisie YouTube