Międzybłoniak opłucnej
| mesothelioma pleurae | |
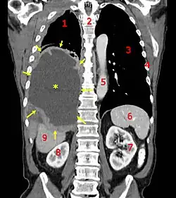
![]() Tomografia komputerowa - jeden ze skanów wykazuje (żółte strzałki) obecność międzybłoniaka opłucnej.1 - prawe płuco, 2 - kręgosłup, 3 - lewe płuco, 4 - żebra, 5 - aorta, 6 - śledziona, 7 - lewa nerka, 8 - prawa nerka, 9 - wątroba | |
| Klasyfikacje | |
| ICD-10 | |
|---|---|
| OMIM | |
| MeSH | |
Międzybłoniak opłucnej (ang. pleural mesothelioma) – złośliwy nowotwór wywodzący się z komórek błony wyściełającej jamę opłucnową.
Anatomia
Opłucna jest błoną surowiczą pokrywającą płuca. Każde płuco posiada własną opłucną stanowiącą niejako worek, w którym się ono znajduje. Opłucna składa się z dwóch blaszek:
- opłucnej trzewnej (łac. pleura visceralis) – pokrywającej płuco;
- opłucnej ściennej (łac. pleura parietalis) – stykającej się ze ścianą klatki piersiowej.
Opłucna trzewna wnika w szczeliny międzypłatowe płuc, sięgając aż do ich dna. Obie blaszki przechodzą w siebie nawzajem przy wnęce płucnej i w więzadle płucnym. Między obiema blaszkami znajduje się jama opłucnej (łac. cavitas pleuralis).
Określenie jama opłucnej zostało zastosowane niejako na wyrost, gdyż w warunkach fizjologicznych przestrzeń pomiędzy dwiema blaszkami ma charakter niewielkiej szczeliny. W warunkach patologicznych, natomiast, pomiędzy dwiema blaszkami może gromadzić się płyn i wtedy przestrzeń ta powiększa się.
Opłucna wydziela niewielką ilość płynu surowiczego, który ułatwia ślizganie się obu blaszek względem siebie, zmniejszając tarcie.
Epidemiologia
Międzybłoniak opłucnej jest nowotworem rzadkim, szacunkowa zachorowalność to 1 na 120000. Liczba zarejestrowanych w Polsce rozpoznań wynosi około 100.[1]
Większość przypadków (>70%) mesothelioma związana jest z ekspozycją na azbest.
Najczęściej chorują mężczyźni (stosunek M/K: 3-5:1) w wieku 35-45 lat, pracownicy zakładów wytwarzających, przetwarzających azbest, stoczniowcy, kolejarze, mechanicy pojazdów samochodowych, pracownicy przemysłu budowlanego i grzewczego.
Średni wiek rozpoznania wynosi około 60 lat.
Nie wykazano predylekcji rasowych.
Patomorfologia

Wyróżnia się dwa podstawowe typy międzybłoniaka opłucnej:
- Postać ograniczona, posiada zazwyczaj utkanie włóknikowate, rozwija się najczęściej tylko w obrębie jednego worka opłucnowego. Może rozwijać się w szczelinie między płatami płuca, może tworzyć uszypułowany lub też nie twór pokrywający na kształt fartucha płuco. Postać ta nie daje przerzutów, rośnie stosunkowo powoli. Zastosowane leczenie chirurgiczne gwarantuje wyleczenie.
- Postać rozległa jest formą wyjątkowo złośliwą. Rośnie szybko, prowadząc w niedługim czasie do wytapetowania, a nawet zarośnięcia całej jamy opłucnej. Najwięcej tkanki nowotworowej gromadzi się nad przeponą i w obrębie bruzd międzypłatowych. Rozrastający się nowotwór uciska płuco, ogranicza jego ruchomość, a czasami nawet jego masy doprowadzają do przemieszczenia śródpiersia, na przeciwległą stronę. Przerzuty pojawiają się szybko i szerzą się na drodze naczyń chłonnych i krwionośnych, które bardzo dobrze zaopatrują opłucną.
Histopatologicznie wyróżnia się trzy typy: postać nabłonkową, mięsakowatą oraz mieszaną.
Objawy i diagnostyka
Obie postacie międzybłoniaka charakteryzuje występowanie nawracającego i utrzymującego się mimo wielu punkcji krwistego wysięku, w obrębie którego zawsze można znaleźć komórki nowotworowe. Podstawą do zdiagnozowania mesothelioma jest wykonanie punkcji opłucnej i stwierdzenie w zawartym tam płynie komórek nowotworowych. Zakwalifikowanie do punkcji następuje na podstawie zdjęć RTG, tomografii komputerowej, USG, w których to stwierdza się obecność płynu w jamie opłucnej oraz cechy rozrostu nowotworowego. Diagnostyka cytologiczna mesothelioma jest wyjątkowo trudna ze względu na różnorodność morfologiczną komórek. Według niektórych autorów, komórki międzybłoniaka należą do najbardziej zmiennych morfologicznie komórek w ustroju. Mogą przybierać różnorodne kształty: wałeczkowaty, kostkowy, wrzecionowaty. Posiadają zwykle małe dobrze wybarwiające się jądro. Badanie immunohistochemiczne może być pomocne w identyfikacji międzybłoniaka. Nie znaleziono dotychczas charakterystycznej reakcji immunohistochemicznej umożliwiającej 100% potwierdzenie mesothelioma i wykluczenie zarazem innego typu nowotworu. Międzybłoniaki wykazują pozytywną reakcję z przeciwciałami przeciw cytokeratynie 5/6. Większość wykazuje negatywną reakcję z przeciwciałami przeciw glikoproteinom (CEA, BerEP4, leu-M1, B72.3), co umożliwia ich odróżnienie od przerzutów gruczolakoraka.
Poza typowymi objawami towarzyszącymi rozrostom nowotworowym (np. spadek masy ciała), rozrostowi nowotworowemu typu międzybłoniaka opłucnej może towarzyszyć ból w klatce piersiowej, związany z naciekaniem nerwów oraz struktur ściany klatki piersiowej. W związku z pojawianiem się wysięku do jamy opłucnowej oraz naciekaniem ścian klatki piersiowej może pojawić się duszność spowodowana uciskiem, słabszą ruchomością klatki piersiowej i gorszym rozprężaniem się płuca, a także spadek wydolności organizmu, związany z hipowentylacją. Mogą występować zaburzenia w połykaniu związane z naciekaniem, uciskiem przełyku. Może pojawić się również krwioplucie.
Stopnie
W celu zróżnicowania stopnia zaawansowania nowotworu stosuje się tzw. stageing. W przypadku mesothelioma najczęściej używa się systemu TNM oraz tzw. Brigham System - oparty jest on na kryteriach możliwości usunięcia operacyjnego nowotworu oraz zajęcia węzłów chłonnych. Czasami można spotkać również najstarszy tzw. Butchart System.
| stopień | opis |
|---|---|
| 1 | nowotwór zajmuje tylko jedną blaszkę opłucnej |
| 2 | nowotwór zajmuje obie blaszki opłucnej w obrębie jednego worka opłucnowego |
| 3 | nowotwór nacieka ścianę klatki piersiowej, przełyk, zajmuje węzły chłonne (po tej samej stronie klatki piersiowej) |
| 4 | występują odległe przerzuty (wątroba, mózg, kości, węzły chłonne po przeciwnej stronie klatki piersiowej) |
| stopień | opis |
|---|---|
| 1 | Mesothelioma może zostać usunięty w całości, węzły chłonne nie zostały zajęte. |
| 2 | Mesothelioma może zostać usunięty operacyjnie, węzły chłonne są zajęte. |
| 3 | Mesothelioma nie może zostać usunięty operacyjnie ponieważ nacieka ściany klatki piersiowej, serce, przeponę lub otrzewną. Mogą nie występować przerzuty w węzłach chłonnych. |
| 4 | Występują odległe przerzuty (kości, mózg, wątroba). |
Leczenie
W przypadkach, w których możliwe jest usunięcie chirurgiczne nowotworu i nie stwierdza się przeciwwskazań do przeprowadzenia zabiegu, leczenie operacyjne jest najskuteczniejszą metodą.
Pleurektomia – zazwyczaj stosowana jako zabieg paliatywny, mający zmniejszyć ból oraz duszność spowodowaną gromadzeniem się płynu. Polega na usunięciu części opłucnej czasami wraz z przylegającymi tkankami. Celem zabiegu nie jest całkowite usunięcie guza.
Pneumonektomia – bardziej radykalny zabieg, polegający na usunięciu tkanki nowotworowej razem z płucem. Czasami dla osiągnięcia lepszych efektów usuwa się częściowo przeponę po zajętej stronie wraz z przylegającą częścią worka osierdziowego.
Chemioterapia – kombinowana terapia wielolekowa (cisplatyna, doksorubicyna, bleomycyna, mitoxantron) lub (gemcytabina, cisplatyna). Stosunkowo dobre wyniki uzyskano przy zastosowaniu pemetrexatu (antyfolianu) w połączeniu z cisplatyną (badania kliniczne). Lekiem, z którym wiązane są duże nadzieje jest Onconaza (Ranpirnase), wykazująca większą skuteczność niż standardowo stosowana doksorubicyna. Jakkolwiek początkowe wyniki napawają optymizmem, należy stwierdzić, że lek ten jest dopiero stosowany w badaniach klinicznych.
Radioterapia – często stosowana przed zabiegiem operacyjnym, w celu zmniejszenia masy guza. Stosowana również paliatywnie.
Terapie eksperymentalne
Fototerapia dynamiczna (PTD). Ogólna zasada terapii polega na wprowadzeniu do organizmu fotouczulaczy, leków, które pod wpływem światła o określonej długości fali, wydzielają toksyczne związki niszczące komórki. Ograniczenie uszkodzeń zdrowych komórek można uzyskać przez wprowadzanie związków selektywnie kumulujących się w komórkach zmienionych nowotworowo oraz przez naświetlanie tylko zmienionego obszaru.
Brachyterapia – rodzaj radioterapii polegający na dostarczeniu źródła promieniowania jonizującego bezpośrednio do guza. Umożliwia zastosowanie większych dawek promieniowania z mniejszymi skutkami ubocznymi i z mniejszym uszkodzeniem okolicznych tkanek.
Immunoterapia – terapia mająca na celu pobudzenie układu odpornościowego organizmu do walki z nowotworem.
Przypisy
- ↑ Choroby wewnętrzne, Andrzej Szczeklik (red.), Jerzy Alkiewicz, t. I, Kraków: Medycyna Praktyczna, 2005, s. 612, ISBN 83-7430-031-0, OCLC 830805120.
Linki zewnętrzne
- Lung Mesothelioma Questions and Answers - NCI. cancer.gov. [zarchiwizowane z tego adresu (2010-09-06)]. (ang.)
Przeczytaj ostrzeżenie dotyczące informacji medycznych i pokrewnych zamieszczonych w Wikipedii.
