Nowotwór dysembrioplastyczny neuroepitelialny

Dysembrioplastyczny nowotwór neuroepitelialny (ang. dysembryoplastic neuroepithelial tumor, DNET, DNT) – nadnamiotowy mieszany, glejowo-neuronalny łagodny nowotworowy guz mózgu, charakteryzujący się rozrostem ograniczonym do kory mózgowej i spotykany przede wszystkim przed 20. rokiem życia. Jest guzem o niskiej złośliwości (I° według WHO).
Historia
Ten typ guza opisała Catherine Daumas-Duport i wsp. w 1988 roku[1]. Prawdopodobnie pierwszym który opisał DNT był jednak Cavanagh w 1958 roku, który mylnie rozpoznał go jako zmianę hamartomatyczną[2].
Epidemiologia
DNT jest dość rzadkim guzem. Szacuje się, że stanowi mniej niż 1% nowotworów neuroepitelialnych. Rozpoznawany jest przede wszystkim u dzieci, zwłaszcza w ośrodkach neurochirurgicznych zajmujących się leczeniem padaczki. Opisano przypadki DNT w przebiegu nerwiakowłókniakowatości typu 1[3][4].
Etiologia
Według Daumasa-Dauporta guz nie jest jedną jednostką patologiczno-kliniczną, ale obejmuje spektrum zaburzeń[5]. Metody cytogenetyczne nie wykazały związku określonych nieprawidłowości molekularnych z tym typem rozrostu. Niekiedy powraca się do pierwotnej koncepcji Cavanagha hamartomatycznego charakteru DNT[6]- przemawiają za tym przede wszystkim często obecne w sąsiadującej korze zmiany dysplastyczne[7], a także wyjątkowo łagodny i przewlekły charakter choroby (opisywano DNT u 75-letniego chorego z ponadsześćdziesięcioletnim wywiadem w kierunku padaczki)[8].
Istnieją teorie, według których punktem wyjścia guza miałaby być wtórna warstwa rozrodcza (secondary germinal layer) obejmująca zakręt zębaty, podoponową i podwyściółkową warstwę rozrodczą oraz zewnętrzną warstwę ziarnistą móżdżku. Inni uważają, że DNT tworzy spektrum neuronalnych nowotworów drobnokomórkowych z nerwiakiem komórkowym ośrodkowym (neurocytoma) i nerwiakiem zarodkowym (neuroblastoma).
Objawy i przebieg
Dominującym objawem są zazwyczaj lekooporne napady padaczkowe[9]. Niemal zawsze wynik badania EEG jest nieprawidłowy[10][11].
Badania neuroobrazowe
Tomografia komputerowa uwidacznia ognisko hipodensyjne, w 20-36% przypadków ze zwapnieniami. W tomografii komputerowej guz nie zawsze jest widoczny, a najpewniejszą metodą obrazowania guza jest MRI. W MRI guz jest hipointensywny w obrazach T1-zależnych, znacznie hiperintensywny w obrazach T2-zależnych, a i izo- lub hipointensywny w sekwencji FLAIR. Rzadko obserwuje się wzmocnienie kontrastowe.
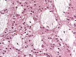
Obraz histologiczny

Histologicznie stwierdza się obecność mnogich guzków ograniczonych do kory mózgowej, zbudowanych z komórek przypominających oligodendrocyty (ang. oligodendrocyte-like cells, OGC).
Profil immunohistochemiczny
OLC dają dodatnią reakcję na białko S-100 i ujemną na GFAP. Komórki neuronalne są synaptofizynododatnie, a komórki glejowe GFAP-dodatnie. Ekspresja antygenu Ki-67 dotyczy mniej niż 1% komórek[12].
Ultrastruktura
Ultrastrukturalnie komórki guza przypominają oligodendrocyty i mają cechy zróżnicowania neuronalnego. Widoczne są okrągłe jądra, pofałdowane (niekiedy), z wyraźnym jąderkiem, wypustki przypominające neuryty, obszary specjalizacji synaptycznej, liczne polimorficzne pęcherzyki z gęstym elektronowo rdzeniem, jasne pęcherzyki synaptyczne, równolegle ułożone mikrotubule, typowe zakończenia aksonalne, filamenty pośrednie (bardzo rzadko, mogą świadczyć o różnicowaniu w kierunku astrocytarnym), koncentryczne skupiska lamelli (wskazują na zróżnicowanie oligodendroglejowe). Opisywano warstwowe pasmowate struktury przypominające mielinę, otaczające pojedyncze komórki guza; obraz przypomina nieprawidłową mielinizację komórek o zróżnicowaniu neuronalnym w PNET.
Rozpoznanie
Kryteria rozpoznania DNET według Daumasa-Duporta to[5]:
- Objawy kliniczne:
- Długotrwałe, częściowe napady skroniowe w młodym wieku
- Wykluczenie innych przyczyn neurologicznych lub stabilny stan w przypadku zaburzeń wrodzonych
- Prawidłowa inteligencja
- Wykluczenie fakomatoz
- Morfologia guza:
- Korowe umiejscowienie zmiany
- Wieloguzkowa budowa, ogniska przypominające gwiaździaka, skąpodrzewiaka lub guzy mieszane
- Obecne elementy glioneuronalne.
Różnicowanie
W diagnostyce różnicowej DNET należy uwzględnić[13]:
- skąpodrzewiaka
- glejakozwojaka
- zwojaka.
Leczenie i rokowanie
Leczenie polega na chirurgicznej resekcji guza (lezjonektomia). Rokowanie oceniane jest jako bardzo dobre, nawet w przypadku niedoszczętności zabiegu[9][12][13].
Przypisy
- ↑ Daumas-Duport C, Scheithauer BW, Chodkiewicz JP, Laws ER Jr, Vedrenne C. Dysembryoplastic neuroepithelial tumor: a surgically curable tumor of young patients with intractable partial seizures. Report of thirty-nine cases. „Neurosurgery”. 23. 5, s. 545–56, 1988. PMID: 3143922.
- ↑ Cavanagh JB. On certain small tumors encountered in the temporal lobe. Brain 81, 389-405, 1958.
- ↑ Lellouch-Tubiana A, Bourgeois M, Vekemans M, Robain O. Dysembryoplastic neuroepithelial tumors in two children with neurofibromatosis type 1. „Acta Neuropathol”. 90. 3, s. 319-22, 1996. PMID: 8525807.
- ↑ Kannuki S, Bando K, Soga T, Matsumoto K, Hirose T. [A case report of dysembryoplastic neuroepithelial tumor associated with neurofibromatosis type 1]. „No Shinkei Geka”. 24. 2, s. 183–8, 1997. PMID: 8849480.
- 1 2 Daumas-Duport C. Dysembryoplastic neuroepithelial tumours.. „Brain Pathol”. 3. 3, s. 283-95, 1994. PMID: 8293188.
- ↑ Prayson RA, Morris HH, Estes ML, Comair YG. Dysembryoplastic neuroepithelial tumor: a clinicopathologic and immunohistochemical study of 11 tumors including MIB1 immunoreactivity. „Clin Neuropathol”. 15. 1, s. 47-53, 1997. PMID: 8998857.
- ↑ Prayson RA, Estes ML, Morris HH. Coexistence of neoplasia and cortical dysplasia in patients presenting with seizures. „Epilepsia”. 34. 4, s. 609–15, 1993. PMID: 8330569.
- ↑ Gottschalk J, Korves M, Skotzek-Konrad B, Goebel S, Cervós-Navarro J. Dysembryoplastic neuroepithelial micro-tumor in a 75-year-old patient with long-standing epilepsy. „Clin Neuropathol”. 12. 3, s. 175–8, 1993. PMID: 8324967.
- 1 2 Raymond AA, Halpin SF, Alsanjari N, Cook MJ, Kitchen ND, Fish DR, Stevens JM, Harding BN, Scaravilli F, Kendall B. Dysembryoplastic neuroepithelial tumor. Features in 16 patients. „Brain”. 117 (Pt 3), s. 461–75, 1994. PMID: 8032857.
- ↑ Iwanaga K, Takahashi H, Kameyama S, Tanaka R, Ikuta F. Dysembryoplastic neuroepithelial tumor: report of a case without typical glioneuronal elements. „Acta Neuropathol”. 89. 3, s. 284-9, 1995. PMID: 7754749.
- ↑ Burneo JG, Tellez-Zenteno J, Steven DA, Niaz N, Hader W, Pillay N, Wiebe S. Adult-onset epilepsy associated with dysembryoplastic neuroepithelial tumors. „Seizure”. 1, 2008. DOI: 10.1016/j.seizure.2008.01.006. PMID: 18316209.
- 1 2 Daumas-Duport C, Varlet P, Bacha S, Beuvon F, Cervera-Pierot P, Chodkiewicz JP. Dysembryoplastic neuroepithelial tumors: nonspecific histological forms -- a study of 40 cases. „J Neurooncol”. 41. 3, s. 267-80, 1999. PMID: 10359147.
- 1 2 Dysembrioplastyczny nowotwór neuroepitelialny. W: Radzisław Kordek, Paweł P. Liberski: Nowotwory mózgu u dzieci. Suplement do Pol J Pathol 53, 4. Paweł P. Liberski (red.). 2001, s. 99-109. ISSN 1233-9687.
Bibliografia
- Dysembrioplastyczny nowotwór neuroepitelialny. W: Radzisław Kordek, Paweł P. Liberski: Nowotwory mózgu u dzieci. Suplement do Pol J Pathol 53, 4. Paweł P. Liberski (red.). 2001, s. 99–109. ISSN 1233-9687.
- Chapter 16. Dysembryoplastic Neuroepithelial Tumor. W: Practical Differential Diagnosis in Surgical Neuropathology. Richard A. Prayson, Mark L. Cohen (red.). Totowa, New Jersey: Humana Press, 2000, s. 75–78. ISBN 0-89603-817-3.
- Nowotwory ośrodkowego układu nerwowego. W: Dariusz J. Jaskólski, Wielisław Papierz, Wojciech Biernat, Paweł P. Liberski: Choroby układu nerwowego. Wojciech Kozubski, Paweł P. Liberski (red.). Warszawa: Wydawnictwo Lekarskie PZWL, 2004, s. 164. ISBN 83-200-2636-9.
- Mirosław Jan Mossakowski, Paweł P. Liberski: Guzy układu nerwowego. Wrocław: Zakład Narodowy im. Ossolińskich, 1997, s. 141–145. ISBN 83-04-04366-1.
Linki zewnętrzne
- Dysembryoplastic Neuroepithelial Tumour. radpod.org. [zarchiwizowane z tego adresu (2008-04-12)].. radpod.org
Przeczytaj ostrzeżenie dotyczące informacji medycznych i pokrewnych zamieszczonych w Wikipedii.