Schistosomatoza
| schistosomosis | |
| Klasyfikacje | |
| ICD-10 | |
|---|---|

Schistosomatoza, bilharcjoza (łac. schistosomatosis, bilharziosis, ang. schistosomiasis) – nazwa grupy chorób pasożytniczych wywoływanych przez rozdzielnopłciowe przywry z rodzaju Schistosoma (Schistosoma haematobium, S. mansoni, S. intercalatum, S. japonicum i S. mekongi), występujące na kontynencie afrykańskim, na wschodnich wybrzeżach Ameryki Południowej, w Azji Południowo-Wschodniej i na Bliskim Wschodzie. Schistosomatoza jest obok malarii najpoważniejszym w skali światowej parazytologicznym problemem zdrowotnym. Do Polski choroba ta jest zawlekana rzadko.
Etiologia



Chorobę wywołuje pięć gatunków przywr z rodzaju Schistosoma:
- Schistosoma mansoni Sambon, 1907
- Schistosoma intercalatum Fisher, 1934
- Schistosoma haematobium (Bilharz, 1852)
- Schistosoma japonicum (Katsuneda, 1904)
- Schistosoma mekongi Voge, Bruckner & Bruce, 1978
Theodor Bilharz, niemiecki lekarz i przyrodnik, jako pierwszy opisał jedną z przywr Schistosoma haematobium odpowiedzialną za tę chorobę.
Jaja przywry są wydalane z moczem lub kałem zarażonych ludzi lub zwierząt. Dalszy ich rozwój możliwy jest w słodkiej wodzie. Z jaja uwalnia się miracidium, które pływa poszukując ślimaka swoistego dla danego gatunku. Larwy przywry czynnie zarażają ślimaki (ślimaki płucodyszne nasadooczne z rodzajów Bulinus, Blomphalaria i Oncomelania), które są następnie żywicielami dla pokolenia partenogenetycznego. W żywicielu pośrednim miracidium przekształca się w sporocystę macierzystą. Sporocysta macierzysta wędruje do wątroby i trzustki, gdzie przechodzi kolejną przemianę w sporocystę potomną i cerkarię. Cerkarie aktywnie przechodzą do wody, gdzie szukają żywiciela ostatecznego – człowieka. Przywra przenika do organizmu człowieka przez skórę, do powierzchownych naczyń krwionośnych. Przekształca się w migrujące stadium rozwojowe – schistosomulę, która dostaje się wraz z krwią do płuc, lewej części serca, dużego krwiobiegu i w końcu do wątroby. Wątroba jest miejscem osiągnięcia dojrzałości płciowej. Schistosomula żeńska łączy się z męską w parę i dalej dążą do układu żylnego pęcherza moczowego. Pasożyty rozmnażają się w świetle naczyń żylnych, a część jaj dostaje się do światła pęcherza moczowego lub jelita i z moczem lub kałem wydostaje się z organizmu człowieka.
Kontakt człowieka z wodą jest niezbędny do zarażenia się przywrami. Liczne zwierzęta, takie jak psy, koty, gryzonie, świnie, konie i kozy stanowią rezerwuar S. japonicum; rezerwuarem S. mekongi są tylko psy.
Epidemiologia

Według ostrożnych szacunków na świecie na schistosomatozę choruje 230 milionów ludzi[1] (85% zamieszkuje Afrykę) w 76 krajach[2]; z tego 120 milionów ludzi ma objawy choroby, a u 20 milionów z nich schistosomatoza przebiega ciężko[3]. Zachorowania stwierdza się w Afryce i Azji Zachodniej, a także w Ameryce Południowej i Środkowej. Poszczególne gatunki mają różne zasięgi występowania:
- Schistosoma haematobium – Afryka, Półwysep Arabski;
- S. mansoni – Afryka środkowa i północno-wschodnia, Madagaskar, Półwysep Arabski, zachodnie Indie, niektóre kraje Ameryki Południowej i Środkowej (Brazylia, Portoryko, Wenezuela);
- S. japonicum – Daleki Wschód: Chiny, Indonezja, Filipiny;
- S. mekongi – Półwysep Indochiński: Kambodża, Laos (dorzecze Mekongu);
- S. intercalatum – Afryka zachodnia (subsaharyjska).
Mimo postępu w kontroli choroby, spadku zapadalności na schistosomatozę i śmiertelności, rozszerza ona swój zasięg[4]. Migracje uchodźców spowodowały wprowadzenie S. mansoni do Somalii i Dżibuti; zbudowanie zapory Diama na Senegalu doprowadziło do rozszerzenia terytorium występowania pasożytów na Mauretanię i Senegal; budowa Wysokiej Tamy Asuańskiej w latach 60. przyczyniła się do całkowitej eliminacji S. haematobium w delcie Nilu, ale zwiększyła liczbę zachorowań spowodowanych S. mansoni w Górnym Egipcie. W ostatnich latach budowa Zapory Trzech Przełomów na rzece Jangcy stworzyła podobne zagrożenie epidemiologiczne, jako że zapora rozdziela dwa obszary endemicznego występowania przywr. Chińskie Ministerstwo Zdrowia oceniało potencjalny efekt budowy tamy na transmisję pasożytów w tym regionie[5].
Patogeneza
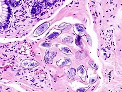
| Zmiany narządowe w przebiegu schistosomatozy | |||
|---|---|---|---|
| Obraz histopatologiczny ściany pęcherza zawierającej jaja S. haematobium otoczone tkanką zapalną i naciekiem eozynofilów. | ![]() |
Obraz histopatologiczny przypadkowo wykrytych w autopsji zmian w podśluzówce okrężnicy zawierającej zwapniałe jaja S. japonicum. | |
| Zwapniałe depozyty jaj S. japonicum w przestrzeni wrotnej wątroby, przypadkowo wykryte w autopsji. | Jaja S. mansoni w ścianie jelita. | ![]() | |
Dorosłe osobniki Schistosoma haematobium żyją w naczyniach żylnych miednicy mniejszej, zwłaszcza pęcherza moczowego, a pozostałe gatunki w żyłach krezkowych. Dlatego patogeneza różni się w postaciach choroby wywoływanych przez S. haematobium i pozostałe gatunki. S. haematobium wywołuje zmiany krwotoczne i zapalne, a potem przerostowe i brodawczakowe ściany pęcherza moczowego i innych narządów miednicy mniejszej; pozostałe gatunki powodują zmiany krwotoczne i wrzodziejące, a następnie polipowate lub bliznowate błony śluzowej jelita cienkiego i grubego. Większość objawów klinicznych ma związek z umiejscowieniem jaj pasożytów w wątrobie, rzadko w płucach.
Objawy i przebieg

Wiele infestacji przebiega bezobjawowo. Ostra schistosomatoza (gorączka Katayama) może wystąpić wiele tygodni po zarażeniu, zwłaszcza w przypadku zarażeń S. mansoni i S. japonicum. Objawia się niecharakterystycznie: gorączką, kaszlem, bólem brzucha, biegunką, hepatosplenomegalią i eozynofilią. Niekiedy występuje zajęcie ośrodkowego układu nerwowego; choroba ziarniniakowa mózgu (S. japonicum), choroba ziarniniakowa rdzenia kręgowego (powodowana jest najczęściej przez S. mansoni i S. haematobium), może doprowadzić do poprzecznego zapalenia rdzenia z porażeniem wiotkim. Przedłużająca się infekcja może wywołać reakcję ziarniniakową i włóknienie w zajętych narządach, co prowadzi do polipowatości jelit z krwistą biegunką (przede wszystkim S. mansoni), nadciśnienia wrotnego z krwawymi wymiotami i splenomegalią (S. mansoni, S. japonicum), przewlekłe zapalenia pęcherza i cewki moczowej (S. haematobium) z dyzurią i krwiomoczem (niekiedy prowadzącego do raka pęcherza moczowego), nadciśnienia płucnego (S. mansoni, S. japonicum, rzadziej S. haematobium), kłębuszkowego zapalenia nerek, zmian w ośrodkowym układzie nerwowym. Rzadkim powikłaniem jest przypadkowe dostanie się jaj pasożyta do przysadki mózgowej i w efekcie rozwinięcie karłowatości przysadkowej.
W Egipcie rak kolczystokomórkowy pęcherza moczowego stanowi 18–28% wszystkich nowotworów złośliwych, co daje częstość 10,8:100.000 w populacji[6][7]. Schistosoma haematobium wywołuje chorobę narządów płciowych u około 1/3 zarażonych kobiet, powodując zmiany przerostowe, wrzodziejące, przetoki lub brodawki przypominające nawet kłykciny płaskie[8]. Późnym powikłaniem może być niepłodność jajowodowa. Schistosomatoza pochwy może sprzyjać zakażeniom HIV[8][9].
U Chińczyków hospitalizowanych z powodu schistosomatozy choroba ośrodkowego układu nerwowego występowała u 4,3% z nich. Najczęstszym objawem zajęcia ośrodkowego układu nerwowego w inwazjach S. mansoni i S. haematobium jest poprzeczne zapalenie rdzenia[10].
Najgroźniejszy przebieg ma infestacja S. japonicum, często prowadząca do zgonu w ciągu kilku lat.
Rozpoznanie
Diagnostyka choroby opiera się na badaniu moczu, kału lub zeskrobin błony śluzowej odbytnicy w kierunku obecności jaj[11]. Są one zazwyczaj nieliczne i ich rozpoznanie polega na przeglądaniu krążków na których odfiltrowano mocz (Nucleopore®) albo w mikroskopowym badaniu grubego rozmazu kału prześwietlonego (poddanego procesowi zwiększania przejrzystości) glicerolem (metody: Kato i Miury, Kato i Katza, technika Ritchiego). Mocz do badania parazytologicznego pobiera się między 12:00 a 15:00, a ilość kału pobieranego do badania koproskopowego wynosi 2–10 mg. Niekiedy znajduje zastosowanie test wylęgania miracidium (ang. miracidium-hatching test)[12] i metody serologiczne, dodatnie po 2–3 tygodniach od wystąpienia objawów.
- Badanie koproskopowe
| Obraz mikroskopowy jaj Schistosoma[13] | ||||
|---|---|---|---|---|
| Gatunek | Wielkość | Kształt, kolor | Znajdywane | Obraz mikroskopowy |
| Schistosoma haematobium | 143 × 60 µm (112–170 × 40–70 µm). | Wydłużone, z zaokrąglonym przednim końcem i kolcem na tylnym biegunie. Żółte lub żółtobrązowe, w środku zawierają dojrzałe miracidium. | Mocz | ![]() |
| Schistosoma mansoni | 140 × 66 µm (114–180 × 45–73 µm). | Wydłużone z wydatnym kolcem blisko tylnego bieguna. Przedni biegun tępy i delikatnie zakrzywiony. Żółte lub żółtobrązowe, w środku zawierają dojrzałe miracidium. | Kał, rzadko mocz | ![]() |
| Schistosoma japonicum | 90 × 70 µm (68–100 × 45–80 µm). | Owalne; mały kolec na tylnym biegunie może być haczykowaty lub mieć kształt guzka. Żółte lub żółtobrązowe, w środku zawierają dojrzałe miracidium. | Kał | ![]() |
| Schistosoma mekongi | 69 × 56 µm (51–73 × 39–66 µm). | Okrągłe, mały kolec na tylnym biegunie może być słabo widoczny. Żółte lub żółtobrązowe, w środku zawierają dojrzałe miracidium. | Kał | ![]() |
| Schistosoma intercalatum | 175 × 60 µm (140–240 × 50–85 µm). | Wydłużone, z tępym przednim końcem i zaostrzonym tylnym, zaopatrzonym w kolec. Niekiedy wrzecionowate. Żółte lub żółtobrązowe, w środku zawierają dojrzałe miracidium. | Kał | ![]() |

- Metody serologiczne
Wykrywanie przeciwciał może być przydatne w diagnostyce schistosomatozy u pacjentów którzy podróżowali wcześniej w obszary endemicznego występowania choroby, i u których nie udaje się wykazać zarażenia w klasycznym badaniu parazytologicznym moczu lub kału. Czułość i specyficzność testu różni się znacznie w zależności od rodzaju antygenu wobec którego szuka się przeciwciał i procedury badania. Możliwe do wykorzystania antygeny to: surowy i oczyszczony; dorosłego robaka, jaja albo cerkarii. W CDC stosuje się kombinacje testów wykrywających przeciwciała wobec oczyszczonych antygenów dorosłych postaci robaków. Wszystkie próbki osocza testowane są metodą FAST-ELISA wykorzystującą antygen mikrosomalny Schistosoma mansoni (ang. Schistosoma mansoni adult microsomal antigen, MAMA). Wynik dodatni (<9 U/µl osocza) wskazuje na infestację przywrą Schistosoma. Czułość testu oceniana jest na 99% w przypadku infestacji S. mansoni, 95% dla S. haematobiumi <50% dla S. japonicum[14]. Swoistość badania wynosi 99%[14]. Ponieważ czułość FAST-ELISA jest obniżona dla innych niż S. mansoni gatunków, test immunoblot dla gatunku odpowiedniego do obszaru geograficznego w jaki podróżował pacjent pozwala zwiększyć czułość diagnozy. Immunoblot wykrywający antygeny mikrosomalne dorosłych robaków jest gatunkowo specyficzny dla określonego gatunku przywry, dlatego wynik dodatni wskazuje na infestacje tym określonym gatunkiem pasożyta. Obecność przeciwciał we krwi wskazuje jedynie na obecność zarażenia, nie daje natomiast informacji o stanie klinicznym, ilości robaków, produkcji jaj ani rokowaniu[11][14].
- Dodatkowe nieprawidłowości w badaniach laboratoryjnych
Dodatkowe nieprawidłowości w badaniach laboratoryjnych sugerujące rozpoznanie schistosomatozy obejmują eozynofilię we krwi obwodowej, niedokrwistość (z niedoboru żelaza, niedokrwistość chorób przewlekłych lub makrocytarną), hipoalbuminemię, podwyższony osoczowy poziom mocznika i kreatyniny, hipergammaglobulinemię.
Profilaktyka
Aby uniknąć zarażenia przywrą należy myć się jedynie przegotowaną lub przefiltrowaną wodą i unikać kąpieli w otwartych zbiornikach wodnych na obszarach endemicznego występowania choroby.
- Szczepionka przeciwko schistosomatozie
Kontrola choroby wymaga, obok zmian w środowisku i modyfikacji stylu życia człowieka, poddaniu chemioterapii dużych grup ludności. Wdrożenie takiego programu kontroli schistosomatozy jest trudne i kosztowne[15], stąd zapotrzebowanie na szczepionkę pozwalającą na długoterminowe zapobieganie infestacjom. Najlepszym celem rekombinowanej szczepionki wydają się być antygeny schistosomuli. Wysoki poziom ochrony przed zachorowaniem spowodowanym S. mansoni u myszy i S. japonicum u myszy, bawołów i świń uzyskano immunizując zwierzęta unieszkodliwionymi cerkariami. W uzyskanej odpowiedzi układu odpornościowego mają przypuszczalnie udział zarówno limfocyty Th1, jak i Th2.
Poczyniono istotne wysiłki w kierunku zidentyfikowania odpowiednich antygenów przywry, które mogą być zaangażowane w indukcję ochronnej odpowiedzi układu odpornościowego. W niedawnych badaniach klinicznych 1. i 2. fazy przeprowadzonych na ochotnikach, cząsteczka oparta na strukturze S-transferazy glutationowej S. haematobium (Sh28GST, Bilhvax) była bezpieczna i wywoływała wysoką immunogenność[16]. Ponadto, inne badania przeprowadzone na zwierzętach (bawołach) z wykorzystaniem antygenów S. japonicum: paramiozyny (Sj-97) i GST-26 (Sj-GST26) dały obiecujące rezultaty, a stworzenie na ich podstawie szczepionki hamującej transmisję pasożyta u zwierząt będących rezerwuarem choroby wydaje się być wykonalne[17].
Leczenie
W leczeniu infestacji S. mansoni lekiem z wyboru jest prazykwantel (Biltricide) w dawce 20 mg/kg masy ciała doustnie 2 razy dziennie przez 1 dzień. W leczeniu schistosomatozy wywołanej przez S. mansoni można też stosować oksamnichinę (Mansil, Yansil) w jednorazowej dawce 15 mg/kg masy ciała doustnie, a w zarażeniu S. haematobium skuteczny może być metrifonat (Bilarcil, Trichlofon; 7,5–10 mg/kg masy ciała w 3 dawkach co 14 dni; lek nie jest obecnie produkowany[10]). Lekiem z wyboru w infestacji Schistosoma japonicum i S. mekongi również jest prazykwantel (20 mg/kg masy ciała p.o. 3 razy dziennie przez 1 dzień)[18]. W leczeniu infestacji S. japonicum zastosowanie znajduje oltipraz.
Zaleca się wykonanie badania kału lub moczu miesiąc po zakończeniu leczenia dla oceny jego skuteczności[10].
Skuteczność prazykwantelu jest zmniejszona u pacjentów ze współistniejącą infekcją wirusem HIV-1[19]. Donoszono też o przypadkach występowania oporności przywr na prazykwantel[10]. Prazykwantel nie zabija schistosomuli od 3 do 21 dnia inwazji. Eksperymentalnie wykazano skuteczność artemeteru wobec schistosomuli przez pierwsze trzy tygodnie inwazji[20]. Artemeter jest skutecznym lekiem przeciwmalarycznym. Istnieją obawy, że stosowanie leku w obszarach endemicznych dla zimnicy może doprowadzić do selekcji szczepów Plasmodium falciparum opornych na artemeter. Proponowano stosowanie kombinacji artemeteru z prazykwantelem, leki w preparacie złożonym wykazują synergizm wobec pasożytów[21].
Rokowanie
Rokowanie, o ile choroba została prawidłowo i szybko rozpoznana, jest dosyć dobre. W przypadkach nietypowych i powikłanych rokowanie może być niepewne lub złe.
Historia
Choroba znana była już w starożytnym Egipcie, co najmniej 3000 lat temu. W czasach nowożytnych opisy choroby pojawiły się w XVIII wieku; jeden z pierwszych był autorstwa chirurga wojskowego Napoleona Bonaparte, A.J. Renoulta. W 1851 roku Theodor Bilharz przebywający w Kairze przedstawił w kilku listach do swojego nauczyciela Carla von Siebolda opisy pasożytów nękających ludność Egiptu, wśród nich wywołującego schistosomatozę. Opis pasożyta przedstawił w 1853 roku[22], a rok później, wspólnie z Wilhelmem Griesingerem, stwierdził związek pasożyta z drogami moczowymi człowieka. David Friedrich Weinland w 1858 roku nadał mu nazwę Schistosoma, wywodząc nazwę z greckich słów σχιστός znaczącego „podzielony” i σῶμα – „ciało”[23]. W 1847 roku Yoshinao Fujii opisał gorączkę Katayama. W 1904 roku Fujirō Katsurada nazwał wywołującą ją przywrę Schistosoma japonicum[24].
Klasyfikacja ICD10
| kod ICD10 | nazwa choroby |
|---|---|
| ICD-10: B65 | Schistosomoza (bilharcjoza) |
| ICD-10: B65.0 | Schistosomoza wywołana przez Schistosoma hematobium (przywra krwi) [schistosomoza moczowa] |
| ICD-10: B65.1 | Schistosomoza wywołana przez Schistosoma mansoni [schistosomiaza jelitowa] |
| ICD-10: B65.2 | Schistosomoza wywołana przez Schistosoma japonicum |
| ICD-10: B65.3 | Zapalenie skóry cerkariowe |
| ICD-10: B65.8 | Inne schistosomozy |
| ICD-10: B65.9 | Schistosomoza, nie określona |
Zobacz też
Przypisy
- ↑ Daniel G. Colley, Amaya L. Bustinduy, W. Evan Secor, Charles H. King. Human schistosomiasis. „Lancet”, Early Online Publication, 1 April 2014. DOI: 10.1016/S0140-6736(13)61949-2.
- ↑ M. Brown. Schistosomiasis. „Clin Med”. 11 (5), s. 479–482, Oct 2011. PMID: 22034712.
- ↑ Chitsulo L., Engels D., Montresor A., Savioli L. The global status of schistosomiasis and its control. „Acta Trop”. 77, s. 41–51, 2000. PMID: 10996119.
- ↑ Patz J., Graczyk T., Geller N., Vittor A. Effects of environmental change on emerging parasitic diseases. „Int J Parasitol”. 30, s. 1395–1405, 2000. PMID: 11113264.
- ↑ Ross A.G.P., Li Y, Williams G., Jiang Z., McManus D.P. Dam worms. „Biologist (London)”. 48, s. 121–124, 2001.
- ↑ Elsebai I. Parasites in the etiology of cancer – bilharziasis and bladder cancer. „CA Cancer J Clin”. 27. 2, s. 100–106, 1977.
- ↑ Bedwani R., Renganathan E., El Kwhsky F., et al. Schistosomiasis and the risk of bladder cancer in Alexandria, Egypt. „Br J Cancer”. 77, s. 1186–1189, 1998. PMID: 9569060.
- 1 2 Poggensee G., Feldmeier H. Female genital schistosomiasis: facts and hypotheses. „Acta Trop”. 79, s. 193–210, 2001. PMID: 11412803.
- ↑ Feldmeier H., Krantz I., Poggensee G. Female genital schistosomiasis: a neglected risk factor for the transmission of HIV?. „Trans R Soc Trop Med Hyg”. 89, s. 237–237, 1995. PMID: 7778161.
- 1 2 3 4 Ross A.G., Bartley P.B., Sleigh A.C., Olds G.R., Li Y, Williams G.M., McManus D.P. Schistosomiasis. „New England Journal of Medicine”. 346. 16, s. 1212–1220, 2002. PMID: 11961151.
- 1 2 Schistosmiasis. CDC Division of Parasitic Diseases. [dostęp 2007-10-18].
- ↑ Cheever A.W. Schistosomiasis and neoplasia. „J Natl Cancer Inst”. 61, s. 13–18, 1978. PMID: 209198.
- ↑ CDC: Differential Morphology of the Diagnostic Stages of Helminths Found in Humans: Eggs (Trematodes). [dostęp 2007-10-19].
- 1 2 3 Tsang VC, Wilkins PP. Immunodiagnosis of schistosomiasis. „Immunol Invest”. 26, s. 175–188, 1997. PMID: 9037622.
- ↑ Morel C. Reaching maturity -- 25 years of the TDR. „Parasitol Today”. 16, s. 522–528, 2000. PMID: 11121849.
- ↑ Capron A., Capron M., Dombrowicz D., Riveau G. Vaccine strategies against schistosomiasis: from concepts to clinical trials. „Int Arch Allergy Immunol”. 124, s. 9–15, 2001. PMID: 11306914.
- ↑ Ross A.G.P., Sleigh A.C., Li Y, et al. Schistosomiasis in the People’s Republic of China: prospects and challenges for the 21st century. „Clin Microbiol Rev”. 14, s. 270–295, 2001.
- ↑ Rosenblatt J.E. Antiparasitic agents. „Mayo Clin Proc”. 74. 11, s. 1161–1175, 1999. PMID: 10560606.
- ↑ Karanja D.M., Boyer A.E., Strand M., et al. Studies on schistosomiasis in western Kenya. II. Efficacy of praziquantel for treatment of schistosomiasis in persons coinfected with human immunodeficiency virus-1. „Am J Trop Med Hyg”. 59, s. 307–311, 1998.
- ↑ Xiao S., Shi Z., Zhou S., et al. Field studies on the preventive effect of oral artemether against schistosomal infection. „Chin Med J (Engl)”. 109, s. 272–275, 1996.
- ↑ Shuhua X., Jiqing Y., Jinying M., Huifang G., Peiying J., Tanner M. Effect of praziquantel together with artemether on Schistosoma japonicum parasites of different ages in rabbits. „Parasitol Int”. 49, s. 25–30, 2000.
- ↑ Bilharz T. Fernere mittheilungen über Distomum haematobium. „Z Wiss Zool”. 4, s. 454–456, 1853.
- ↑ Weinland DF: Human cestoides. An essay on the tapeworms of man giving a full account of their nature, organization, and embryonic development; the pathological symptoms they produce, and the remedies which have proved successful in modern practice. To which is added an appendix, containing a catalogue of all species of helminthes hitherto found in man. Cambridge, Massachusetts: Metcalfe and Co, 1858, s. 93.
- ↑ Katsurada F. The etiology of a parasitic disease. „Iji Shinbun”. 669, s. 1325–1332, 1904.
Bibliografia
- Inwazje i choroby pasożytnicze. W: Zbigniew Pawłowski: Choroby zakaźne i pasożytnicze. Zdzisław Dziubek (red.). Wyd. wydanie III uaktualnione. Warszawa: Wydawnictwo Lekarskie PZWL, 2003, s. 494–495. ISBN 83-200-2748-9.
- Choroby wewnętrzne, t. II. Andrzej Szczeklik (red.). Kraków: Medycyna Praktyczna, 2005, s. 2084. ISBN 83-7430-069-8.
- Ross A.G., Bartley P.B., Sleigh A.C., Olds G.R., Li Y, Williams G.M., McManus D.P. Schistosomiasis. „New England Journal of Medicine”. 346. 16, s. 1212–1220, 2002. PMID: 11961151.
- Cox FE. History of Human Parasitology. „Clinical Microbiology Reviews”. 15. 4, s. 595–612, 2002. PMID: 12364371.
Linki zewnętrzne
- Schistosomiasis. CDC Division of Parasitic Diseases. [dostęp 2007-10-13]. (ang.).
- WHO: Schistosomiasis. [dostęp 2018-11-06]. (ang.).
- Cambridge University Schistosomiasis Research Group: Early studies of Schistosomiasis. [dostęp 2010-05-12]. (ang.).
Przeczytaj ostrzeżenie dotyczące informacji medycznych i pokrewnych zamieszczonych w Wikipedii.






