Zespół Klinefeltera
| syndroma Klinefelter | |
![]() | |
| Klasyfikacje | |
| ICD-10 | |
|---|---|
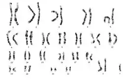
Zespół Klinefeltera (ang. Klinefelter syndrome) – grupa chorób spowodowanych aberracją chromosomalną polegającą na obecności przynajmniej jednego dodatkowego chromosomu X w części lub we wszystkich komórkach organizmu mężczyzny. Zespół Klinefeltera jest jedną z możliwych diagnoz interpłciowości. Klasyczny zespół Klinefeltera występuje u mężczyzn o kariotypie 47,XXY i jest najczęstszą aneuploidią u człowieka, której częstość ocenia się na 1:500 noworodków płci męskiej[1]. Zespół pierwszy raz w 1942 opisali Harry Fitch Klinefelter, Edward Conrad Reifenstein i Fuller Albright podając za główne cechy ginekomastię, azoospermię, zwiększone stężenie gonadotropin i postępujące szkliwienie kanalików krętych jądra.
Historia
Zespół nazwę zawdzięcza Harry'emu Fitchowi Klinefelterowi, który opisał 9 przypadków pacjentów z dysgenezją gonad, podwyższonymi poziomami gonadotropin w moczu, mikroorchidyzmem, eunuchoidyzmem, azoospermią i ginekomastią w 1942 roku, razem z Fullerem Albrightem i Edwardem Conradem Reifensteinem[2]. Początkowo zespół Klinefeltera uważano za schorzenie endokrynologiczne o niejasnej etiologii.
Po odkryciu ciałka Barra (chromatyny płciowej) zaczęto badać jej obecność w zespole Klinefeltera. Okazało się, że zdecydowana większość chorych posiada obecną (dodatnią) chromatynę płciową, zaś w dużo mniej licznych przypadkach tej chromatyny płciowej nie wykryto. Stąd powstał historyczny podział na: prawdziwy zespół Klinefeltera dla chorych z dodatnią (obecną) chromatyną płciową i rzekomy zespół Klinefeltera – z ujemną chromatyną płciową. Zauważono też, że w przypadku rzekomego zespołu Klinefeltera nie występują przypadki ociężałości umysłowej a budowa ciała nie odbiega od normy[3].
Postępy genetyki i wykrycie aberracji chromosomowych dało pogłębiony wgląd na patogenezę zespołu Klinefeltera – chromosomalne podłoże zespołu odkryli Patricia A. Jacobs i J.A. Strong z Western General Hospital w Edynburgu w 1959 roku u 24-letniego mężczyzny; było to pierwsze doniesienie o aneuploidii u człowieka[4][5]. Kariotyp 48,XXYY opisali pierwsi u 15-letniego chłopca Sylfest Muldal i Charles H. Ockey w 1960 roku[6].
Obecnie można przyjąć, że historycznie określony rzekomy zespół Klinefeltera wiązać się może z przypadkiem niezupełnej aberracji chromosomalnej (zob. mozaicyzm) lub nie odkrytymi jeszcze zaburzeniami genetycznymi.
W wyjątkowych przypadkach (przypadki kazuistyczne) stwierdza się niezaburzoną płodność w zespole Klinefeltera – można to tłumaczyć prawidłowym kariotypem w gonadach.
Etiologia

47,XXYZespół Klinefeltera w większości przypadków spowodowany jest obecnością dodatkowego chromosomu X, rzadziej aberracje chromosomalne wywołujące fenotyp zespołu mają postać innych aberracji liczbowych (dwa, trzy, cztery dodatkowe chromosomy płci) albo aberracjami strukturalnymi. Możliwe kariotypy są następujące:
47,XXY– większość (80%) przypadków48,XXXY48,XXYY49,XXXXY46,XY/47,XXY(mozaicyzm) – około 15%46,XYi aberracje strukturalne.
Przyczyną nieprawidłowej liczby chromosomów X w komórce jest nondysjunkcja, zachodząca albo w pierwszym bądź drugim podziale mejotycznym w gametogenezie, albo w podziale mitotycznym rozwijającej się zygoty. Zespół XXY jako jedyna aberracja chromosomowa w dużej części (około 50%) jest spowodowany nondysjunkcją w pierwszym podziale mejotycznym gamety męskiej. Prawdopodobieństwo zespołu Klinefeltera u dziecka wzrasta z wiekiem matki, podobnie jak w zespole Downa, Edwardsa i Pataua[7], przypadki spowodowane nondysjunkcją w komórce macierzystej gamety męskiej wiążą się z kolei z zaawansowanym wiekiem ojca[8].
Epidemiologia
Częstość zespołu Klinefeltera ocenia się na 1:500 męskiej populacji; inne aneuploidie chromosomu X są znacznie rzadsze. Warianty o kariotypie 48,XXYY i 48,XXXY stwierdza się u od 1:17.000 do 1:50.000 noworodków płci męskiej[1]. Zespół Klinefeltera na tle aneuploidii 49,XXXXY spotyka się u 1:85.000–1:100.000 noworodków. Mężczyźni o kariotypie 46,XX stanowią jeszcze mniejszą grupę pacjentów.
Objawy i przebieg
Objawy u pacjentów z kariotypem 47,XXY
Klasyczna postać zespołu Klinefeltera u mężczyzny z kariotypem 47,XXY jest związana z charakterystycznymi, ale zmiennymi i dyskretnymi objawami. Chłopcy 47,XXY z reguły nie różnią się od rówieśników z kariotypem 46,XY.

Charakterystyczne objawy zespołu to:
- wysoki wzrost: średni ostateczny wzrost chorych to 179,2 ± 6,2 cm[1]
- słabiej rozwinięte mięśnie
- bardziej kobieca (gynoidalna) sylwetka, wynikająca z charakterystycznej budowy klatki piersiowej i miednicy
- dłuższe niż przeciętnie kończyny górne i dolne
- cechy dysmorficzne: pacjenci z kariotypem
47,XXYnie mają w zasadzie charakterystycznych cech dysmorficznych, które ułatwiałyby rozpoznanie w okresie przedpokwitaniowym. U około 40% mężczyzn XXY stwierdza się taurodontyzm (powiększone zęby trzonowe)[9]; dosyć częsta jest klinodaktylia - objawy radiologiczne: zmniejszenie kąta podstawy czaszki, pogłębienie tylnego dołu czaszkowego, nadmiernie upowietrznione zatoki klinowe, małe lub średnich rozmiarów siodło tureckie z nadmiernie rozwiniętymi wyrostkami przednimi i tylnymi, zmniejszenie grubości żuchwy na wysokości jej kąta[10][11]
- nieprawidłowy przebieg dojrzewania płciowego: dojrzewanie pacjentów z zespołem Klinefeltera zaczyna się prawidłowo, ale poziom testosteronu stopniowo maleje i drugorzędowe cechy płciowe nie wykształcają się prawidłowo. Normalnie rozwija się prącie
- u mężczyzn
47,XXYczęsto (38-88%[12][13]) rozwija się obustronna, niebolesna ginekomastia i rzadko występuje mutacja głosu - obserwuje się zmniejszenie rozmiaru jąder, które dodatkowo mają nieprawidłowo twardą konsystencję; ich objętość po ukończeniu pokwitania zwykle nie przekracza 10 ml[12]; powrózki nasienne, nasieniowody, gruczoł krokowy i pęcherzyki nasienne nie wykazują odchyleń
- u około 27% pacjentów stwierdza się w dzieciństwie zaburzenia zstępowania jąder[14]
- w gonadach nie zachodzi spermatogeneza, czego konsekwencją jest azoospermia i niepłodność, dotycząca blisko 100% pacjentów z zespołem Klinefeltera; objętość ejakulatu jest prawidłowa
- u około 70% pacjentów po 25. roku życia libido jest obniżone[13], częste są problemy z erekcją
- rozmieszczenie owłosienia może być typowo męskie, zwykle jednak jest ono skąpe. Zarost na twarzy występuje u jedynie około 20% pacjentów[13].
Inteligencja pacjentów na ogół nie odbiega od normy; odnotowano zarówno dużo niższe, jak i dużo wyższe od przeciętnej wartości IQ. W teście inteligencji Wechslera stwierdza się niższy poziom inteligencji werbalnej.
W badaniach laboratoryjnych stwierdza się obniżony poziom testosteronu <3,5 nmol/l (100 ng/dl), podwyższone poziomy gonadotropin (FSH znacznie i LH > 15 j.m./l), SHBG, poziom estradiolu w osoczu jest powyżej normy dla mężczyzn.
- po podaniu hCG brak zwiększenia lub nieznaczne zwiększenie stężenia testosteronu
- po podaniu GnRH lub klomifenu nadmierne wydzielanie LH i FSH przez przysadkę
Zespół Klinefeltera często przebiega z nadwagą i tendencją do otyłości; wiąże się też ze zwiększonym ryzykiem upośledzonej tolerancji glukozy i cukrzycy[15]. Ryzyko raka sutka według jednych badań jest zwiększone i podobne do ryzyka u kobiet[16]. U około 25% pacjentów rozwinie się osteoporoza[1], według innych badań na większych grupach pacjentów ryzyko nie jest wyższe niż u normalnych kariotypowo mężczyzn[17].
Objawy u pacjentów 48,XXYY i 48,XXXY
Objawy i przebieg u pacjentów z większą liczbą chromosomów X są dużo cięższe niż w klasycznym zespole Klinefeltera. Tak jak w klasycznym wariancie 47,XXY występują u nich gynoidalna sylwetka, nieprawidłowo rozwinięte drugorzędowe cechy płciowe, hipogonadyzm hipergonadotropowy, ginekomastia.
U pacjentów z kariotypem 48,XXYY nasilone są zaburzenia psychiczne, chorzy są zwykle nieśmiali, ale mogą być kompulsywni i agresywni[18]. Dotknięci mężczyźni mają wyższe niż przeciętne wskaźniki zaburzeń zachowania, takich jak zespół nadpobudliwości psychoruchowej z deficytem uwagi (ADHD), zaburzenia nastroju, w tym lęk i zaburzenie dwubiegunowe, ograniczone funkcje poznawcze i wykonawcze, zaburzenia ze spektrum autyzmu, które wpływają na komunikację i interakcje społeczne[19]. Pacjenci z kariotypem 48,XXXY mają cechy dysmorficzne i wady wrodzone:
- hiperteloryzm oczny
- płaską nasadę nosa
- synostozę promieniowo-łokciową
- klinodaktylię V palca
Ich jądra i prącie są małe.
Objawy u pacjentów 49,XXXXY (zespół Fraccaro)

47,XXY/48,XXXY/49,XXXXY uwidaczniające niekomunikujące wodogłowie (A, B) i nieco hipoplastyczne ciało modzelowate (C)[20].W przeciwieństwie do chorych z kariotypem 48,XXYY i 48,XXXY, pacjenci 49,XXXXY są niscy; mają nasilone cechy dysmorficzne (hiperteloryzm, płaską nasadę nosa, mongoidalne ustawienie szpar powiekowych), mogą urodzić się z rozszczepem podniebienia i języczka, nierzadkie są wady wrodzone serca (najczęściej przetrwały przewód Botalla), synostoza promieniowo-łokciowa, stopa wydrążona (pes cavus), kolana koślawe (genu valgum), hipotonia i wiotkość w stawach. Również występują zaburzenia psychiczne. Fenotyp jest na tyle odrębny od fenotypu klasycznego zespołu Klinefeltera, że na określenie tej rzadkiej aneuploidii wprowadzono termin zespołu Fraccaro[20][21][22].
Wszyscy pacjenci z większą niż jeden dodatkową liczbą chromosomów X prezentują umiarkowane do ciężkiego upośledzenie umysłowe: obliczono, że każdy dodatkowy chromosom X wiąże się z obniżeniem IQ o przeciętnie 15–16 punktów[23].
Rozpoznanie i różnicowanie

XXY, XXXY i XXXXY (odpowiednio, A B i C)[20].Rozpoznanie zespołu Klinefeltera można postawić jedynie na podstawie kariotypu. Prawidłowy kariotyp zmusza do dalszej diagnostyki – istnieje możliwość mozaicyzmu komórek somatycznych (np. 46,XY/47,XXY) albo zespołu mężczyzny XX. Inne jednostki chorobowe jakie należy uwzględnić w różnicowaniu to związane z nadmiernym wzrostem zespół łamliwego chromosomu X i zespół Marfana oraz zespół Kallmanna.
Leczenie
Leczenie zespołu Klinefeltera polega na dożywotniej substytucji testosteronu, terapia powinna się rozpocząć w okresie pokwitania[24][25][26].
Powikłania
Pacjenci z zespołem Klinefeltera mają 50-krotnie zwiększone ryzyko wystąpienia nowotworu germinalnego[27]. Jest również znacznie zwiększone ryzyko raka sutka. Nowotwory u tych pacjentów zawierają najczęściej elementy nienasieniakowe, obecne we wcześniejszym wieku, rzadko występują w jądrach.
Klasyfikacja ICD10
| kod ICD10 | nazwa choroby |
|---|---|
| ICD-10: Q98 | Zespół Klinefeltera |
| ICD-10: Q98.0 | Zespół Klinefeltera, kariotyp 47,XXY |
| ICD-10: Q98.1 | Zespół Klinefeltera, mężczyźni z więcej niż dwoma chromosomami X |
| ICD-10: Q98.2 | Zespół Klinefeltera, mężczyźni z kariotypem 46,XX |
| ICD-10: Q98.4 | Zespół Klinefeltera, nieokreślony |
Zobacz też
Przypisy
- 1 2 3 4 Visootsak, J, Graham, JM. Klinefelter syndrome and other sex chromosomal aneuploidies. „Orphanet Journal of Rare Diseases”. 1 (42), 2006. PMID: 17062147.
- ↑ Klinefelter, HF Jr, Reifenstein, EC Jr, Albright, F. Syndrome characterized by gynaecomastia, aspermatogenesis without A-Leydigism and increased excretion of follicle-stimulating hormone. „Journal of Clinical Endocrinology (Baltimore)”. 2, s. 615-627, 1942.
- ↑ A. Krawczuk, Z. Janczewski w Endokrynologia Kliniczna pod red. W. Hartwiga PZWL 1984 r., Tom II; Z. Janczewski w: Seksuologia Kliniczna pod red. K. Imielińskiego PZWL 1974
- ↑ Jacobs PA, Strong JA. A case of human intersexuality having possible XXY sex-determining mechanizm. „Nature”. 2, s. 164-167, 1959. PMID: 13632697.
- ↑ Jacobs, PA. The William Allan Memorial Award address: human population cytogenetics: the first twenty-five years. „Am J Hum Genet”. 34. 5, s. 689-698, 1982. PMID: 6751075.
- ↑ Muldal S, Ockey CH. The "double male": a new chromosome constitution in Klinefelter's syndrome. „Lancet”. 276. 7147. s. 492-3.
- ↑ Morris JK, Alberman E, Scott C, Jacobs P. Is the prevalence of Klinefelter syndrome increasing?. „European Journal of Human Genetics”. 16 (2), s. 163–170, 2007-11-14. DOI: 10.1038/sj.ejhg.5201956. PMID: 18000523.
- ↑ Isabel Lorda-Sanchez, Franz Binkert, Marco Maechler, Wendy P. Robinson and Albert A. Schinzel. Reduced recombination and paternal age effect in Klinefelter syndrome. „Human Genetics”. 89. 5.
- ↑ R. Steffen. Zahnanomalien als Hinweis zur Diagnose einer genetischen Erkrankung – ein Fallbericht. „Medizinische Genetik”. s. 432-434. DOI: 10.1007/s11825-007-0047-x.
- ↑ Kosowicz J. Zmiany radiologiczne czaszki w niedoczynności gonady męskiej. „Endokr Pol”. 19, s. 276, 1968.
- ↑ Kosowicz J, Rzymski K. Radiological features of the skull in Klinefelter's syndrome and male hypogonadism. „Clin Radiol”. 26. 3, s. 371-8, 1975. PMID: 1201634.
- 1 2 Smyth, CM, Bremner, WJ. Klinefelter syndrome. „Archives of Internal Medicine”. 158, s. 1309-1314, 1998. PMID: 9645824.
- 1 2 3 Lanfranco F., Kamischke A., Zitzmann M., Nieschlag E. Klinefelter's syndrome. „Lancet”. 07;364. 9430, s. 273-83, 2004. DOI: 10.1016/S0140-6736(04)16678-6. PMID: 15262106.
- ↑ Disorders at the testicular level. W: Nieschlag E, Behre HM, Meschede D, Kamischke A: Andrology: male reproductive health and dysfunction. Nieschlag E, Behre HM, Nieschlag S, eds. Wyd. 2nd edn. Berlin, Heidelberg, New York: Springer, 2000, s. 143–76.
- ↑ Ota K, Suehiro T, Ikeda Y, Arii K, Kumon Y, Hashimoto K. Diabetes mellitus associated with Klinefelter’s syndrome: a case report and review in Japan. „Int Med”. 41, s. 842–47, 2002.
- ↑ Ian S Fentiman, Alain Fourquet, Gabriel N Hortobagyi. Male breast cancer. „Lancet”. 367. 9510, s. 595-604, 2006. DOI: 10.1016/S0140-6736(06)68226-3.
- ↑ Hasle H, Mellemgaard A, Nielsen J, Hansen J. Cancer incidence in men with Klinefelter syndrome. „Br J Cancer”. 71, s. 416–20, 1995.
- ↑ Visootsak, J, Rosner, B, Dykens, E, Tartaglia, N, Graham, JM. Adaptive and Maladaptive Behavior of Males with Sex Chromosome Aneuploidy. „J Investig Med”. 54, s. 280, 2006. PMID: 17497714.
- ↑ 48,XXYY syndrome: MedlinePlus Genetics [online], medlineplus.gov [dostęp 2021-11-25] (ang.).
- 1 2 3 Dueñas-Arias JE, Aguilar-Medina M, Arámbula-Meraz E, Valenzuela-Camacho JB, Vega-Solano A, Granados J, Ramos-Payán R. 47,XXY/48,XXXY/49,XXXXY mosaic with hydrocephaly: a case report and review of the literature. „J Med Case Reports”. 1. 94, 2007. DOI: 10.1186/1752-1947-1-94. PMID: 17880714. PMCID: PMC2040152.
- ↑ Hou JW. 49, XXXXY syndrome. „Chang Gung Med J”. 27, s. 551-4, 2004. PMID: 15508879.
- ↑ Peet J, Weaver DD, Vance GH: 49,XXXXY: a distinct phenotype. Three new cases and review. „J Med Genet”. 35, s. 420-4, 1998. PMID: 9610808.
- ↑ Linden, MG, Bender, BG, Robinson, A. Sex chromosome tetrasomy and pentasomy. „Pediatrics”. 96, s. 672-682, 1995. PMID: 7567329.
- ↑ Simon Chang, Anne Skakkebæk, Claus Højbjerg Gravholt, Klinefelter Syndrome and medical treatment: hypogonadism and beyond, „Hormones (Athens, Greece)”, 14 (4), 2015, s. 531–548, DOI: 10.14310/horm.2002.1622, ISSN 2520-8721, PMID: 26732150 [dostęp 2018-06-17].
- ↑ Ryan Flannigan, Premal Patel, Darius A. Paduch, Klinefelter Syndrome. The Effects of Early Androgen Therapy on Competence and Behavioral Phenotype, „Sexual Medicine Reviews”, 2018, DOI: 10.1016/j.sxmr.2018.02.008, ISSN 2050-0521, PMID: 29680294 [dostęp 2018-06-17].
- ↑ Kristian A. Groth i inni, Klinefelter Syndrome—A Clinical Update, „The Journal of Clinical Endocrinology & Metabolism”, 98 (1), 2013, s. 20–30, DOI: 10.1210/jc.2012-2382, ISSN 0021-972X [dostęp 2018-06-17] (ang.).
- ↑ Gregory G. Bebb, Frederic W. Grannis, Jr, Isaac B. Paz, Marilyn L. Slovak, Robert Chilcote. Mediastinal germ cell tumor in a child with precocious puberty and Klinefelter syndrome. „Annals of Thoracic Surgery”. 66, s. 547-548, 1998.
Bibliografia
- Visootsak J, Graham JM. Klinefelter syndrome and other sex chromosomal aneuploidies. „Orphanet Journal of Rare Diseases”. 1. 42, 2006. DOI: 10.1186/1750-1172-1-42. PMID: 17062147.
- Lanfranco F., Kamischke A., Zitzmann M., Nieschlag E. Klinefelter's syndrome. „Lancet”. 07;364. 9430, s. 273-83, 2004. DOI: 10.1016/S0140-6736(04)16678-6. PMID: 15262106.
- Krzysztof Boczkowski: Nieprawidłowości rozwoju płciowego. Warszawa: PZWL, 1971.
- Dobrzańska A, Ryżko J: Pediatria. Podręcznik do Państwowego Egzaminu Lekarskiego i egzaminu specjalizacyjnego. Wrocław: Urban&Partner, 2005. ISBN 83-89581-25-6.
- Dueñas-Arias JE, Aguilar-Medina M, Arámbula-Meraz E, Valenzuela-Camacho JB, Vega-Solano A, Granados J, Ramos-Payán R. 47,XXY/48,XXXY/49,XXXXY mosaic with hydrocephaly: a case report and review of the literature. „J Med Case Reports”. 1. 94, 2007. DOI: 10.1186/1752-1947-1-94. PMID: 17880714. PMCID: PMC2040152.
- Wattendorf DJ, Muenke M. Klinefelter syndrome. „Am Fam Physician”. 72, s. 2259-62, 2005. PMID: 16342850.
- Jenö Molnár, Ferenc Szarvas: Andrologia. Warszawa: PZWL, 1984.
Linki zewnętrzne
- Artykuł z eMedicine (ang.)
- Klinefelter's syndrome w bazie Who Named It (ang.)
- NIH Narodowa Biblioteka Medyczna (ang.)
Przeczytaj ostrzeżenie dotyczące informacji medycznych i pokrewnych zamieszczonych w Wikipedii.
