Żółtakogwiaździak pleomorficzny

Żółtakogwiaździak pleomorficzny (gwiaździak żółtakowy ksantomatyczny, ang. pleomorphic xanthoastrocytoma, PXA) – nowotwór złośliwy ośrodkowego układu nerwowego wywodzący się z tkanki glejowej (glejak), występujący głównie w młodym wieku i lokalizujący się przede wszystkim w półkulach mózgu, rzadziej w móżdżku. Według definicji WHO jest guzem o umiarkowanej złośliwości (II° według WHO) zbudowanym z różnokształtnych (pleomorficznych) komórek, wśród których spotyka się też komórki atypowe, w pewnym odsetku posiadające obfitą, ksantomatyczną cytoplazmę. Opisany przez Johna J. Kepesa i wsp. w 1973 jako "ksantomatyczny włókniak opon"[1], traktowany był niegdyś jako nowotwór mezenchymalny (mięsak), ale wprowadzenie immunohistochemii do diagnostyki guzów nowotworowych i wykazanie immunoreaktywności GFAP w komórkach guza w 1979[1] wskazało na glejowe pochodzenie tego typu guza.
Epidemiologia
PXA jest rzadkim nowotworem. Stanowi mniej niż 1% nowotworów glejowych u dzieci[2]. Jest nowotworem przede wszystkim wieku dziecięcego, chociaż PXA rozpoznawano u pacjentów w każdym wieku, nawet w 9. dekadzie życia[3].
Etiologia
Opisano przypadki PXA u pacjentów z rozpoznaną nerwiakowłókniakowatością typu 1; być może mutacje NF1 predysponują do rozwoju tego typu guza[4][5][6].
Objawy i przebieg

PXA objawia się przede wszystkim długotrwałymi, nie poddającymi się leczeniu farmakologicznemu napadami padaczkowymi albo neurologicznymi objawami ogniskowymi[2][7]. Opisywano wznowy i progresję w kierunku gwiaździaka anaplastycznego (III° złośliwości histologicznej według WHO) oraz glejaka wielopostaciowego (IV°)[8][9] oraz rozsiew podpajęczynówkowy[10].
Charakterystyka guza
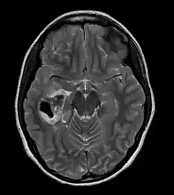
PXA klasycznie lokalizuje się nadnamiotowo i powierzchownie, może naciekać opony miękkie i szerzyć się do przestrzeni podpajęczynówkowej, ale nie nacieka opony twardej. Najczęstsza lokalizacja to płat skroniowy[7].
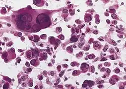
Obraz histologiczny
W obrazie histologicznym charakterystyczny jest znaczny pleomorfizm komórkowy (który może nawet prowadzić do rozpoznania nowotworu anaplastycznego) i obecność dużych, jasnych komórek piankowatych (ksantomatycznych), a także błon podstawnych dookoła komórek nowotworowych. Typowo nie występują figury mitotyczne, brak też ognisk martwicy.
Trudne diagnostycznie przypadki PXA, w których stwierdza się ogniskową martwicę i figury podziałów mitotycznych (>5/10 pól widzenia pod dużym powiększeniem) określa się jako "żółtakogwiaździak pleomorficzny z cechami anaplazji" (nie: anaplastyczny PXA)[11].
Profil immunohistochemiczny
W badaniu immunohistochemicznym można stwierdzić immunoreaktywność komórek guza wobec GFAP i białka S-100. O ile występuje komponenta zwojowa, komórki te są NFB-ujemne i synaptofizyno-dodatnie[12].
Badania neuroobrazowe
W tomografii komputerowej PXA ma postać powierzchownie leżącego guza, dobrze odgraniczonego, zajmującego opony miękkie, rzadko naciekającego oponę twardą i kości. W badaniu angiograficznym widać małe unaczynienie guza, jednak efekt wzmocnienia występuje. W MRI T1-zależnym guz jest izointensywny, w obrazach T2-zależnych lekko hiperintensywny, w całości ulega wzmocnieniu kontrastowemu.
Leczenie
Istnieją rozbieżne opinie co do strategii leczenia PXA. W większości przypadków możliwa jest totalna lub subtotalna resekcja guza; radioterapia dawką 30-60 Gy znajduje zastosowanie przy niepełnej resekcji. Opisywano leczenie guza chemioterapią przy użyciu nimustyny (ACNU) z dwuletnią katamnezą.
Rokowanie
Rokowanie jest dobre. Przeżycie wynosi zazwyczaj 10-20 lat, 5-letnie przeżycie wynosi 81% a 10-letnie 70%. Sugerowano, że PXA u starszych pacjentów ma bardziej złośliwy przebieg i jest obarczony gorszym rokowaniem[13].
Przypisy
- 1 2 Kepes JJ, Rubinstein LJ, Eng LF. Pleomorphic xanthoastrocytoma: a distinctive meningocerebral glioma of young subjects with relatively favorable prognosis. A study of 12 cases. „Cancer”. 44. 5, s. 1839-52, 1980. PMID: 498051.
- 1 2 Giannini C, Scheithauer BW, Burger PC, Brat DJ, Wollan PC, Lach B, O'Neill BP. Pleomorphic xanthoastrocytoma: what do we really know about it?. „Cancer”. 85. 9, s. 2033-45, 1999. PMID: 10223246.
- ↑ Perry A, Giannini C, Scheithauer BW, Rojiani AM, Yachnis AT, Seo IS, Johnson PC, Kho J, Shapiro S. Composite pleomorphic xanthoastrocytoma and ganglioglioma: report of four cases and review of the literature. „Am J Surg Pathol”. 21. 7, s. 763-71, 1997. PMID: 9236832.
- ↑ Saikali S, Le Strat A, Heckly A, Stock N, Scarabin JM, Hamlat A. Multicentric pleomorphic xanthoastrocytoma in a patient with neurofibromatosis type 1. Case report and review of the literature. „J Neurosurg”. 102. 2, s. 376-81, 2005. PMID: 15739569.
- ↑ Naidich MJ, Walker MT, Gottardi-Littell NR, Han G, Chandler JP. Cerebellar pleomorphic xanthoastrocytoma in a patient with neurofibromatosis type 1. „Neuroradiology”. 46. 10, s. 825-9, 2005. DOI: 10.1007/s00234-004-1216-0. PMID: 15289955.
- ↑ Kubo O, Sasahara A, Tajika Y, Kawamura H, Kawabatake H, Takakura K. Pleomorphic xanthoastrocytoma with neurofibromatosis type 1: case report. „Noshuyo Byori”. 13. 1, s. 79-83, 1997. PMID: 8916131.
- 1 2 Żółtakogwiaździak pleomorficzny (pleomorphic xanthoastrocytoma - PXA). W: Radzisław Kordek, Paweł P. Liberski: Nowotwory mózgu u dzieci. Suplement do Pol J Pathol 53, 4. Paweł P. Liberski (red.). 2001, s. 29-38. ISSN 1233-9687.
- ↑ Marton E, Feletti A, Orvieto E, Longatti P. Malignant progression in pleomorphic xanthoastrocytoma: personal experience and review of the literature. „J Neurol Sci”. 252. 2, s. 144-53, 2007. DOI: 10.1016/j.jns.2006.11.008. PMID: 17189643.
- ↑ Charbel FT. Pleomorphic xanthoastrocytoma with malignant progression.. „Surg Neurol”. 4 (50), s. 385-6, październik 1998. PMID: 9817466.
- ↑ Li NY, Zhou J, Zhou HB, Ma HH. [Clinicopathologic study of pleomorphic xanthoastrocytoma of brain]. „Zhonghua Bing Li Xue Za Zhi”. 8 (35), s. 453-7, sierpień 2006. PMID: 17069696.
- ↑ Kleihues P, Cavenee WK (eds) (2000) World Health Organization ClassiWcation of Tumours. Pathology and genetics of tumours of the nervous system. IARC Press, Lyon
- ↑ Kordek R, Biernat W, Sapieja W, Alwasiak J, Liberski PP. Pleomorphic xanthoastrocytoma with a gangliomatous component: an immunohistochemical and ultrastructural study. „Acta Neuropathol”. 89. 2, s. 194-7, 1995. PMID: 7732793.
- ↑ Ng WH, Lim T, Yeo TT. Pleomorphic xanthoastrocytoma in elderly patients may portend a poor prognosis. „J Clin Neurosci”. 15. 4, s. 476-8, 2008. DOI: 10.1016/j.jocn.2006.09.012. PMID: 18255294.
Przeczytaj ostrzeżenie dotyczące informacji medycznych i pokrewnych zamieszczonych w Wikipedii.