Zawał mięśnia sercowego
| Infarctus myocardii | |
![]() |
Zawał mięśnia sercowego, zawał serca, potocznie atak serca (łac. infarctus myocardii) – martwica mięśnia sercowego spowodowana jego niedokrwieniem wskutek zamknięcia tętnicy wieńcowej doprowadzającej krew do serca.
Zawał mięśnia sercowego jest postacią choroby niedokrwiennej serca (obok nagłej śmierci sercowej, dławicy sercowej, przewlekłej choroby niedokrwiennej serca i tak zwanej kardiomiopatii niedokrwiennej). W krajach europejskich choroby układu krążenia (w szczególności serca, tętnic i żył) są najczęstszą przyczyną zgonów. Z powodu schorzeń sercowo-naczyniowych, w tym zawału mięśnia sercowego, umiera dwa razy więcej osób niż z powodu chorób nowotworowych[1].
Definicja
Zgodnie ze stanowiskiem European Society of Cardiology, American College of Cardiology, American Heart Association i World Health Federation za uniwersalną definicję zawału przyjmuje się obecnie[2][3]:
- W przypadku świeżego zawału mięśnia serca:
- stwierdzenie podwyższenia stężenia [powyżej 99. centyla zakresu referencyjnego (tzw. wartość odcięcia albo wartość decyzyjna) – wartość zmienna w zależności do producenta testu; przykładowo dla troponiny waha się w granicach 0,01 μg/l do 0,08 μg/l] markerów martwicy mięśnia sercowego, zwłaszcza troponiny (patrz niżej), oraz obecność przynajmniej jednego z objawów:
- typowe objawy niedokrwienia
- świeże zmiany w EKG sugerujące świeży zawał (zmiany w obrębie odcinka ST, świeży blok lewej odnogi pęczka Hisa – LBBB)
- obecność nowych, patologicznych załamków Q w EKG
- stwierdzane w badaniach obrazowych (np. ECHO) nowe odcinkowe zaburzenia kurczliwości ściany serca lub inne wykładniki świeżej martwicy miokardium.
- nagły zgon sercowy z zatrzymaniem akcji serca, do którego doszło przed pobraniem próbki do badania stężenia markerów martwicy mięśnia serca. Objawami sugerującymi przyczynę zawałową są typowe objawy podmiotowe występujące przed zejściem śmiertelnym, zmiany w EKG jak wyżej, stwierdzenie w badaniu sekcyjnym lub koronarograficznym świeżego zakrzepu.
- w przypadku przezskórnej interwencji wieńcowej (PCI) i pierwotnie prawidłowym stężeniu markerów mięśnia serca – stwierdzenie po zabiegu obecności podwyższonego stężenia markerów powyżej 3-krotności 99. centyla zakresu referencyjnego
- w przypadku pomostowania aortalno-wieńcowego (CABG) i pierwotnie prawidłowym stężeniu markerów mięśnia serca – stwierdzenie po zabiegu obecności podwyższonego stężenia markerów powyżej 5-krotności 99. centyla zakresu referencyjnego oraz powstanie świeżych zmian w EKG (LBBB, patologiczne załamki Q), lub zamknięcie przez skrzeplinę nowo wytworzonego pomostu/własnej tętnicy wieńcowej (badania angiograficzne), lub nowe upośledzenie kurczliwości ściany serca w badaniach obrazowych
- stwierdzenie w badaniu sekcyjnym świeżego zawału mięśnia sercowego.
- stwierdzenie podwyższenia stężenia [powyżej 99. centyla zakresu referencyjnego (tzw. wartość odcięcia albo wartość decyzyjna) – wartość zmienna w zależności do producenta testu; przykładowo dla troponiny waha się w granicach 0,01 μg/l do 0,08 μg/l] markerów martwicy mięśnia sercowego, zwłaszcza troponiny (patrz niżej), oraz obecność przynajmniej jednego z objawów:
- W przypadku przebytego zawału mięśnia serca:
- stwierdzenie nowych, patologicznych załamków Q z obecnością lub bez obecności typowych objawów podmiotowych
- stwierdzenie w badaniach obrazowych utraty kurczliwości ściany serca z chwilą gdy najbardziej prawdopodobną przyczyną takich zmian jest niedokrwienie
- stwierdzenie w badaniu sekcyjnym cech przebytego zawału.
Przyczyny
Do zawału mięśnia sercowego najczęściej dochodzi na tle miażdżycy tętnic wieńcowych w przebiegu choroby wieńcowej (często utożsamianej z chorobą niedokrwienną serca). Może ona doprowadzić do zwężenia tętnicy, pęknięcia blaszki miażdżycowej, zakrzepicy, a ostatecznie do niedrożności tętnicy. Ognisko miażdżycy w ścianie tętnicy wieńcowej nazywane jest właśnie blaszką miażdżycową powstałą na skutek odkładania się cholesterolu LDL (tzw. „zły cholesterol”) i innych tłuszczów w wewnętrznej ścianie tętnicy. Powoduje ona zmniejszenie światła tego naczynia i ograniczenie przepływu krwi – często w tych przypadkach pacjent odczuwa objawy dławicy piersiowej, nazywanej też dusznicą bolesną, przy wysiłku czy zdenerwowaniu.
Mechanizmem, który bezpośrednio prowadzi do zawału, jest pęknięcie lub krwotok do blaszki miażdżycowej albo narastanie zakrzepu na jej powierzchni. W 90% przypadków bezpośrednią przyczyną zawału mięśnia sercowego jest zakrzep, który powstaje w miejscu zwężonym przez blaszki miażdżycowe. Chorobowe złogi nie tylko zwężają naczynie, ale powodują również spustoszenia w jego ścianie. Gdy w końcu warstwa wewnętrzna pęka, krew wpływa do szczeliny, gromadzą się płytki krwi i uruchomiony zostaje proces krzepnięcia. Tak tworzy się niebezpieczny zakrzep. Jeśli wskutek tych zmian średnica naczynia zostanie zwężona powyżej 2/3 – 3/4 jego średnicy (krytyczne zwężenie tętnicy wieńcowej) wówczas zwykle dokonuje się zawał mięśnia sercowego w obszarze zaopatrywanym przez dane naczynie (mięsień sercowy ulega niedokrwieniu i w ciągu kilku-kilkunastu minut rozpoczyna się jego nieodwracalne uszkodzenie, które w wypadku nieprzywrócenia dopływu krwi prowadzi do powstania ogniska martwicy tego fragmentu mięśnia sercowego).
Krytyczne zwężenie światła (powyżej 2/3 średnicy) prawej tętnicy wieńcowej powoduje:
- zawał ściany dolnej
- zawał tylnej lewej komory serca
- zawał tylnej 1/3 przegrody międzykomorowej.
Krytyczne zwężenie światła gałęzi okalającej lewej tętnicy wieńcowej powoduje:
- zawał ściany przedniej
- zawał ściany bocznej lewej komory.
Zwężenie gałęzi międzykomorowej przedniej powoduje:
- zawał w przedniej 2/3 części przegrody międzykomorowej
- zawał ściany przedniej lewej komory serca
- koniuszek lewej komory.
W rzadkich przypadkach przyczyną zawału może być zator tętnicy wieńcowej. Jest to skrzeplina krwi, która powstaje w organizmie, a następnie odrywa się i wędruje z prądem krwi. W miejscu jej zatrzymania się może dojść do całkowitego zamknięcia światła naczynia krwionośnego. Z powodów tętniczych ma to jednak miejsce stosunkowo rzadko. Inne rzadkie przyczyny zawału to zmiany zapalne tętnic wieńcowych (np. w kile, chorobie Kawasakiego), uraz (np. w wyniku wypadku komunikacyjnego) lub neuropochodne zaburzenia w regulacji przepływu krwi przez układ naczyń wieńcowych.
Ogniskowa martwica mięśnia sercowego może pojawić się także w przebiegu wstrząsu i przy dużym przeroście mięśnia sercowego. Równie sporadyczną przyczyną zawału jest zamknięcie tętnicy wieńcowej przez nagły skurcz naczynia. Jeśli skurcz ustąpi dostatecznie szybko, chory odczuwa jedynie napad dusznicy. Jest to tak zwana angina Prinzmetala. Gdy jednak naczynie pozostanie zamknięte zbyt długo, zaopatrzenie mięśnia sercowego w tlen zostaje upośledzone i rozwija się zawał serca.
Czynniki ryzyka
Zawał mięśnia sercowego występuje na ogół po 40. roku życia, częściej u mężczyzn niż u kobiet, zwłaszcza u osób otyłych i z nadciśnieniem tętniczym. Do czynników ryzyka należą:
- starszy wiek (wiek krytyczny: u mężczyzn 32–50 lat, u kobiet 45-70)
- płeć męska
- palenie tytoniu
- nadciśnienie tętnicze
- inne przyczyny przerostu lewej komory serca (kardiomiopatia, przerost po stosowaniu leków sterydowych)
- wysoki poziom cholesterolu
- zaburzona proporcja pomiędzy cholesterolem LDL i HDL
- obecność patologicznej apolipoproteiny
- wysoki poziom trójglicerydów
- wysoki poziom białka ostrej fazy (białko C-reaktywne, CRP)
- wysoki poziom homocysteiny
- niedobory witamin grupy B, zwłaszcza kwasu foliowego
- wysoki poziom kwasu moczowego
- brak aktywności fizycznej
- osobowość typu A
- marskość wątroby (i wynikające z niej zaburzenia metaboliczne)
- cukrzyca
- predyspozycje rodzinne i genetyczne (zawał w rodzinie w wywiadzie)
- otyłość (zwłaszcza brzuszna).
- choroba Fabry’ego
- przebyty uprzednio zawał mięśnia sercowego.
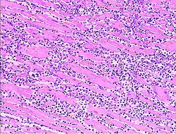
Morfologia zawału mięśnia sercowego
Dokonany zawał mięśnia sercowego pod względem morfologicznym jest zawałem bladym, w którym pojawia się martwica skrzepowa (denaturacyjna). Na obrzeżach ogniska zawałowego mogą powstać ogniska uszkodzenia reperfuzyjnego, w wyniku którego pojedyncze kardiomiocyty ulegają martwicy rozpływnej. Zawały powstają prawie wyłącznie w mięśniu komory lewej i w przegrodzie międzykomorowej serca (zawały komory prawej lub przedsionków są bardzo rzadkie).
Zawał mięśnia sercowego:
- zawał pełnościenny (łac. infarctus myocardii totimuralis) może obejmować całą grubość ściany komory, charakterystyczny przy zwężeniu jednej z gałęzi tętnic wieńcowych
- zawał podwsierdziowy (łac. infarctus myocardii subendocardialis) może lokalizować się podwsierdziowo oraz dotyczyć mięśni brodawkowatych, charakterystyczny dla zwężenia wszystkich trzech gałęzi tętnic wieńcowych.
Przeprowadzony odpowiednio wcześnie zabieg udrożnienia zatkanej tętnicy wieńcowej powoduje, że nie dochodzi do martwicy i kolejnych etapów związanych z obumarciem fragmentu mięśnia sercowego – dlatego tak istotne znaczenie ma leczenie reperfuzyjne.
Makroskopowo zawał jest obszarem bledszej oraz mniej spoistej tkanki niż otaczający mięsień, otoczony wąskimi pasami (rąbkami) barwy czerwonej i żółtej.
Jeśli zawał pełnościenny jest niepowikłany, typowo przebiega on w czterech okresach:

- zawał wczesny (łac. infarctus myocardii recens) w pierwszych kilkunastu godzinach od dokonania martwicy. W tym czasie obszar zawału ujawnia się morfologicznie: pojawia się tzw. rąbek czerwony (pas przekrwienia na obrzeżu ogniska) oraz rąbek żółty (pas granulocytów obojętnochłonnych ulegających stłuszczeniu na obrzeżu ogniska), włókna mięśniowe ulegają fragmentacji i zanika ich poprzeczne prążkowanie
- zawał w stanie rozmiękania (łac. infarctus myocardii in statu emollitionis) trwa od drugiej do dziesiątej – czternastej doby. W tym okresie granulocyty obojętnochłonne i makrofagi uprzątają martwą tkankę, a następnie dochodzi do proliferacji naczyń włosowatych
- zawał w okresie organizacji (łac. infarctus myocardii in statu organisationis) następuje w trzecim i czwartym tygodniu po dokonaniu zawału. Organizacja zawału polega na rozplemie tkanki ziarninowej w miejscu uprzątniętej martwicy
- kształtowanie się blizny pozawałowej (łac. cicatrix post infarctum myocardii) trwa od drugiego do szóstego miesiąca po zawale. Formowanie blizny polega na przekształceniach tkanki ziarninowej, w której przybywa włókien kolagenowych.
Wbrew rozpowszechnionemu poglądowi, nie można w sposób pewny stwierdzić na stole sekcyjnym świeżo dokonanego zawału mięśnia sercowego. Aby potwierdzić zawał serca u zmarłej osoby, osoba taka musi żyć od chwili dokonania zawału co najmniej kilka godzin, aby w jej sercu można było stwierdzić dyskretne cechy martwicy widoczne morfologicznie. Problem wykrywania wczesnych zawałów serca jest ważnym zagadnieniem w medycynie sądowej. Dla stwierdzenia bardzo wczesnych zawałów stosuje się metody immunochemiczne i histochemiczne (np. zwiększenie fuksynofilii uszkodzonych włókien mięśniowych) pozwalające wykazać zmianę aktywności enzymów mięśniowych w ogniskach zawału, ale są to metody mało pewne, zwłaszcza gdy zwłoki zmarłego nie zostały poddane sekcji krótko po zgonie.
Objawy


Podmiotowe (subiektywne)
- bardzo silny ból w klatce piersiowej (może być znacznie osłabiony lub nawet nieobecny u osób chorych na cukrzycę), odczuwany na dużym obszarze klatki piersiowej, trwający ponad 20 minut (dłużej niż w dławicy piersiowej), stale narastający, nieustępujący po odpoczynku i po nitratach (nitrogliceryna), piekący, dławiący, rozpierający, promieniujący do szyi, żuchwy, lewej kończyny górnej, a także na brzuch i plecy.
- panika, lęk przed śmiercią (łac. angor animi)
- duszność zwłaszcza u osób starszych i z rozległym zawałem (duży obszar martwicy)
Przedmiotowe (obiektywne)
- bladość
- lepki pot (zimne i wilgotne powłoki skórne)
- spadek ciśnienia tętniczego
- tachykardia – wzrost częstości akcji serca, lub inne zaburzenia tętna
- pobudzenie ruchowe
- osłabienie
- mdłości i wymioty
- zawroty głowy lub omdlenie
- sine zabarwienie rąk, stóp, warg
- kołatanie serca (chory czuje, że jego serce mocno bije)
- zmiany osłuchowe w płucach
- temperatura do 38,5 °C
- drętwienie lewej ręki[4]
Czasem zawał prowadzi do nagłej i dramatycznie szybkiej śmierci sercowej, a zgon bywa pierwszym i ostatnim objawem choroby. Do zgonu mogą prowadzić groźne zaburzenia rytmu serca przebiegające ze znacznym przyspieszeniem jego czynności (tachyarytmie komorowe). Około 50% zejść śmiertelnych następuje w ciągu 1–2 godziny od wystąpienia objawów zawału mięśnia sercowego.
W badaniach dodatkowych
- obecność markerów zawału we krwi (badanie decyzyjne przy rozpoznawaniu zawału)
- zmiany elektrokardiograficzne
- podwyższony poziom glukozy we krwi
- przyspieszone opadanie krwinek (OB)
- wzrost liczby leukocytów we krwi obwodowej (zwiększona leukocytoza)
Postacie kliniczne zawału
- bólowa
- obrzękowa (występują objawy obrzęku płuca)
- wstrząsowa (objawy wstrząsu kardiogennego)
- arytmiczna (zaburzenia rytmu lub przewodnictwa)
- brzuszna (gastryczna, gdy dotyczy ściany tylnej)
- neurologiczna (objawy niedowładu, dezorientacja i zaburzenia świadomości)
- bezbólowa
- bezobjawowa
Podział kliniczny zawału (ostre zespoły wieńcowe)
Z punktu widzenia praktycznego, obecnie ostre niedokrwienie mięśnia sercowego nazywa się ostrym zespołem wieńcowym (OZW) (ang. ACS – Acute Coronary Syndromes) i dzieli się na następujące jednostki kliniczne, gdyż implikuje to sposób postępowania leczniczego:
- niestabilna choroba wieńcowa (ang. UA – Unstable Angina)
- zawał mięśnia sercowego
- bez uniesienia odcinka ST elektrokardiogramu (ang. NSTEMI – Non ST-elevation Myocardial Infarction)
- z uniesieniem odcinka ST elektrokardiogramu – (ang. STEMI – ST-Elevation Myocardial Infarction)
- nagły zgon sercowy.
Niestabilną chorobą wieńcową (UA) oraz zawał serca bez uniesienia ST (NSTEMI) zalicza się jednej grupy, gdyż oba te stany chorobowe powstają z podobnej przyczyny – pęknięcia blaszki miażdżycowej z następowym narastaniem zakrzepu płytkowego, co doprowadza do zwężenia, ale nie do całkowitego zamknięcia światła naczynia.
W przypadku całkowitego zamknięcia naczynia dochodzi do zawału mięśnia sercowego z uniesieniem odcinka ST (STEMI) lub bardziej morfologicznie rzecz ujmując – zawału pełnościennego lub w szczególnie dramatycznych wypadkach – nagłego zgonu sercowego.
Kody Międzynarodowej Statystycznej Klasyfikacji Chorób i Problemów Zdrowotnych ICD-10 dotyczące zawału serca:
- (I21) Ostry zawał serca
- (I22) Ponowny zawał serca („dorzut”)
- (I23) Powikłania występujące w czasie ostrego zawału serca (krwiak osierdzia, ubytek przegrody międzyprzedsionkowej lub międzykomorowej, pęknięcie ściany serca, strun ścięgnistych, mięśnia brodawkowatego, skrzeplina przedsionka, uszka przedsionka i komory).
Rozpoznanie
Według aktualnych zaleceń WHO, zawał można rozpoznać tylko i wyłącznie na podstawie przekroczenia norm stężeń biochemicznych markerów uszkodzenia mięśnia sercowego we krwi.
Enzymy wskaźnikowe w zawale serca

Diagnostyka biochemiczna zawału mięśnia sercowego opiera się na oznaczaniu w surowicy krwi enzymów i innych białek uwalnianych do krwi w wyniku martwicy kardiomiocytów. W zależności od metod oznaczania tych białek, wartości referencyjne i wartości odcięcia mogą się znacznie różnić pomiędzy poszczególnymi ośrodkami.
Wskaźniki wczesne
- Fosforylaza glikogenu GPBB pojawia się już po 1–2 godzinach po wystąpieniu bólu w klatce piersiowej, szczyt osiąga po 6 godzinach
- Sercowe białko wiążące kwasy tłuszczowe, czyli h-FABP (heart-fatty acids binding protein) – pojawia się w osoczu już po 30-210 min od wystąpienia objawów, szczyt stężenia osiąga po ok. 6 godzinach i po 24 godzinach powraca do wartości wyjściowych
- Mioglobina pojawia się 2–3 godziny od początku objawów, osiąga szczyt po 12 godzinach i powraca do wartości wyjściowych po 18–24 godzinach
- cTnT i cTnI (izoformy troponin swoiste dla mięśnia sercowego) – stężenie podnosi się od 6. godziny po zawale, osiągając szczyt po ok. 12 godz. normalizuje się pomiędzy 6. a 10. dniem
- CPK lub CK (kinaza kreatynowa) – poziom wzrasta 2–5 godzin po zawale, szczyt osiąga 24 godziny po zawale, a normalizuje się w 2.-3. dobie
- CK-MB – frakcja CPK z dimerami M i B, specyficzna dla mięśnia sercowego
- AspAt (aminotransferaza asparaginianowa) – podnosi się w pierwszej dobie, szczyt osiąga 24–72 godzin, normalizuje się po 5–7 dniach
- AlAt (aminotransferaza alaninowa) – podnosi się w 2.-3. dobie, normalizuje się w 3.-7. dobie
Wskaźniki późne
- LDH (dehydrogenaza mleczanowa) – osiąga szczyt ok. czwartego dnia, a normalizuje się od 8 do 14 dni
- GGTP (gammaglutamylotranspeptydaza) – wzrasta w czwartej dobie, szczyt osiąga w 2.-3. tygodniu, a normalizuje się po ok. 5-6 tygodniach
W polskiej praktyce klinicznej określa się zazwyczaj obecnie
- jedną z frakcji troponin swoistych dla mięśnia sercowego
- CKMB
- morfologię + podstawowe parametry układu krzepnięcia
- AspAT
- OB
Wraz z dwukrotnym zapisem EKG (w krótkim odstępie czasu) dla doświadczonego zespołu pozwala to prawie natychmiast, jednoznacznie i bez ryzyka pomyłki potwierdzić lub wykluczyć rozpoznanie.
Warto pamiętać, że część markerów nie jest specyficzna dla zawału – podniesienie poziomu ALAT, ASPAT, GGTP czy LDH towarzyszy także wielu innym schorzeniom, np. wątroby. Ich podwyższony poziom nie musi świadczyć o zawale.
Zapis EKG


(patologiczny załamek Q)

(uniesiony odcinek ST)

(ujemny załamek T)
Najwcześniej do normy dochodzi fala Pardeego. Załamek T normalizuje się w ciągu kilku miesięcy, a dziura elektryczna może pozostać na stałe w zapisie EKG jako ślad po przebytym zawale.
W zapisie EKG różnicować można kolejne warstwy ogniska zawałowego w ścianie mięśnia sercowego (od „wewnątrz”):
- strefa martwicy – patologiczny załamek Q (dłuższy niż 0,04 s oraz wyższy niż 25% załamka R)
- strefa uszkodzenia – fala Pardeego, uniesiony odcinek ST
- strefa niedotlenienia – ujemny załamek T.
Powyższe 3 strefy i ich obraz w EKG są charakterystycznymi cechami zawału serca w elektrokardiografii. W zależności od lokalizacji zawału poszukujemy ich w różnych odprowadzeniach, a na tej podstawie wysuwamy wnioski na temat lokalizacji zawału:
- zawał rozległy przedni (łac. infarctus myocardii parietis anterioris externus) – odprowadzenia V1-V6, I, aVL
- zawał przednio-przegrodowy (łac. infarctus myocardii anteroseptalis) – odprowadzenia V1, V2, V3, V4
- zawał przedniej ściany serca (łac. infarctus myocardii parietis anterioris) – odprowadzenia V3, V4
- zawał przednio-boczny (łac. infarctus myocardii anterolateralis) – odprowadzenia V3-V6, I, aVL
- zawał dolnej ściany serca (łac. infarctus myocardii parietis inferioris) – odprowadzenia II, III, aVF
- zawał tylnej ściany serca (łac. infarctus myocardii parietis posterioris) – odprowadzenia V1, V2 (UWAGA! „Efekt lustra”, tzn. załamek T dodatni, zamiast ujemnego czy wysoki załamek R zamiast patologicznego załamka Q).
Różnicowanie bólu wieńcowego z bólem zawałowym
| Cecha | Ból wieńcowy | Ból zawałowy |
|---|---|---|
| Charakter: | gniotący/piekący ból zamostkowy, penetrujący do lewej ręki, przestrzeni międzyłopatkowej, żuchwy | |
| Czas trwania: | 5-17 min | >30 min |
| Wpływ nitratów: | Ustaje po nitratach | Nie ustaje po nitratach |
| Wpływ wysiłku: | występuje dopiero po wysiłku | występuje nawet podczas spoczynku |
Leczenie
Pierwsza pomoc przy zawale
Pierwsza pomoc sprowadza się do ułożenia chorego w pozycji półsiedzącej (o ile jest przytomny) lub bocznej ustalonej (jeśli jest nieprzytomny), wezwaniu fachowej pomocy medycznej i kontroli tętna i oddechu (jeśli ustanie praca serca i oddech należy rozpocząć resuscytację krążeniowo-oddechową). W warunkach domowych należy podać ok. 300 mg aspiryny doustnie[5][6] i natychmiast wezwać karetkę. Nie podawać nitrogliceryny przy objawach wstrząsu: pacjent blady, zlany zimnym potem. Nie wolno podawać preparatów zawierających diklofenak, odradza się podawanie glikozydów nasercowych czy jakichkolwiek innych leków (w tym nasercowych lub nadciśnieniowych). Czas od wystąpienia pierwszych objawów do momentu dostarczenia chorego do szpitala decyduje o możliwości wykonania mechanicznej reperfuzji naczynia lub podania leków trombolitycznych, co ma decydujące znaczenie dla przeżywalności i stopnia uszkodzenia mięśnia sercowego.
Ostry zawał serca jest bowiem stanem naglącym, wymagającym szybkiej interwencji medycznej. Jednak około 60% chorych umierających z powodu zawału, ginie w pierwszej godzinie choroby – najczęściej jeszcze przed uzyskaniem kwalifikowanej pomocy lekarskiej. Jeśli ból w klatce piersiowej utrzymuje się około 15 minut, nie należy zwlekać z wezwaniem pomocy. Pierwsza godzina ataku serca jest rozstrzygająca, jednak w praktyce sprowadza się to do pierwszych 4 godzin. Opóźnienie leczenia wynika najczęściej z winy niezdecydowanego pacjenta (ociąganie się z wezwaniem pomocy lekarskiej dotyczy 62% pacjentów). Opóźnienie z winy transportu dotyczy 9% przypadków, a 29% opóźnień wynika z wewnątrzszpitalnych procedur.
W niektórych krajach (ostatnio także w Polsce) propaguje się dostęp przeszkolonych osób do defibrylatorów, w celu leczenia nagłego zatrzymania krążenia u osób z zawałem mięśnia sercowego.
Lekarz, jeżeli istnieje podejrzenie zawału, dokonuje pomiarów tętna, ciśnienia krwi oraz podłącza chorego do stałego monitoringu. Wykonuje EKG oraz zapewnia stały dostęp do żyły poprzez założenie kaniuli lub w cięższych przypadkach wkłucia centralnego. W przypadku gdy jest to wymagane, podaje tlen, który powinien być nawilżony. Powinien pobrać krew do badań oraz walczyć z bólem.
W etapie przedszpitalnym/medyczno ratunkowym stosuje się tzw. schemat OH BATON (Opioid – Morfina, Heparyna niefrakcjonowana, Beta-adrenolityk, Aspiryna, Tikagrelor, O-tlen, Nitrogliceryna). Pacjentowi podaje się mieszaninę tlenu z powietrzem maską twarzową, nitroglicerynę 0,4–0,8 mg podjęzykowo; aspiryna 300–500 mg doustnie; dożylna analgezja (Morfina); metoprolol p.o./i.v.; infuzja dożylna nitrogliceryny (jeśli ciśnienie pozwala) z infuzją 0,9% NaCl. Także jest ważne stworzyć kardiomonitoring – w ciągu transportu pacjent musi być monitorowany, aby w odpowiedniej chwili diagnozować zaburzenia rytmu serca.
Podczas zawału serca nie można dopuścić do stworzenia się zakrzepów, dlatego podaje się na samym początku kwas acetylosalicylowy (aspiryna) w dawce co najmniej 300 mg (aktualnie podanie aspiryny traktowane jest jako rutynowe postępowanie przedszpitalne), obecnie zaleca się również rutynowe podawanie klopidogrelu w dawce 300 mg lub 600 mg u tych pacjentów, u których planujemy PCI oraz heparynę w dawce 40-70 j.m./kg. Płytki krwi. W każdym przypadku podejrzenia zawału (potwierdzonego lub nie) pacjenta należy pilnie i jak najszybciej dostarczyć do specjalistycznego ośrodka z dyżurną pracownią hemodynamiczną lub oddziałem kardiochirurgii interwencyjnej.
Zawał prawej komory
Zawał obejmujący swoim zasięgiem mięsień prawej komory serca, mimo że nie częsty, jest przypadkiem szczególnym, w którym postępowanie różni się od procedur przyjętych w zawale lewokomorowym. Zawał prawej komory najczęściej przebiega z bradykardią i blokiem przedsionkowo-komorowym, ze względu na towarzyszące uszkodzenie węzła przedsionkowo-komorowego, zaopatrywanego w krew przez prawą tętnicę wieńcową. W ostrej fazie zawału nie wolno stosować azotanów (nitrogliceryna) oraz diuretyków. Należy zwalczać hipotonię wlewem płynów infuzyjnych oraz podawaniem leków o działaniu inotropowym dodatnim. W przypadku znacznie nasilonej bradykardii, gdy jest to możliwe, należy zastosować czasową stymulację celem uzyskania poprawy hemodynamicznej. Zwiększenie powrotu żylnego do prawej komory można uzyskać układając chorego w pozycji Trendelenburga.
Postępowanie medyczne przy ostrym zawale serca
Udrożnienie zamkniętego naczynia wieńcowego
Obecnie stosuje się trzy metody udrożnienia naczyń wieńcowych w zawale:
Zabieg angioplastyki wieńcowej
Najnowsze badania wskazują, że najbardziej skuteczną metodą leczenia zawału jest angioplastyka wieńcowa. Kluczowym dla powodzenia zabiegu jest czas, jaki mija od pierwszych objawów do chwili, gdy pacjent trafia do szpitala na zabieg. W języku angielskim czas ten określa się jako door-to-balloon – od drzwi (chorego) do balonika[7].
Zabieg angioplastyki wieńcowej wykonuje się w pracowniach hemodynamiki oddziałów kardiologii lub kardiologii inwazyjnej. Polega on na uwidocznieniu i udrożnieniu tętnicy dozwałowej.
Poprzez nakłucie w tętnicy udowej lub promieniowej wprowadza się do układu tętniczego specjalne cewniki, które po umieszczeniu w opuszce aorty pozwalają zobrazować tętnice wieńcowe serca. Wyróżniamy cewniki lewe i prawe, gdzie za pomocą lewego cewnika można podejrzeć lewą tętnice wieńcową składającą się z dwóch głównych gałęzi tj. gałęzi przedniej zstępującej (międzykomorowej przedniej) oraz gałęzi okalającej, a za pomocą prawego cewnika prawą tętnice wieńcową. Cały proces wprowadzania cewnika monitorowany jest na monitorze RTG. Następnie do tętnic poprzez cewniki wprowadza się płyn kontrastujący (koronarografia), który umożliwia zaobserwowanie ich przebiegu i zmian chorobowych. W miejsce zwężenia lub zakrzepicy zawałowej wprowadza się cieniutki drucik zwany prowadnikiem wieńcowym, który przechodzi przez zmianę (zwężenie) w tętnicy. Po prowadniku wieńcowym wprowadza się w miejsce zwężenia cewnik zaopatrzony w balonik do którego pompuje się płyn (jest to najczęściej mieszanka kontrastu z solą fizjologiczną) pod ciśnieniem od kilku do kilkunastu atmosfer. Balonik rozszerza światło zwężonego (zamkniętego) naczynia wieńcowego normalizując w nim przepływ krwi. Poszerzenia światła naczynia za pomocą balona (bez użycia stentu) nazywa się dylatacją, natomiast gdy na cewniku z balonem znajduje się stent (jest to metalowa siateczka, która podtrzymuje rozszerzone naczynie) nazywamy dylatacja z wszczepieniem stentu. To najskuteczniejsza metoda leczenia świeżego zawału serca z uniesieniem odcinka ST. Czasami może się zdarzyć, że zabieg angioplastyki jest niemożliwy do wykonania i wtedy konieczna jest operacja pomostowania aortalno-wieńcowego (bypass), która wiąże się z koniecznością wykonania torakotomii.
Optymalną metodą leczenia świeżego zawału serca (do 12 godz. od początku bólu) jest angioplastyka wieńcowa[8], pod warunkiem że jest wykonywana w ośrodku pełniącym 24-godzinny dyżur zawałowy przez doświadczonych operatorów w ciągu 90 minut od pierwszego kontaktu z lekarzem (pierwotna angioplastyka wieńcowa). W każdym przypadku, gdy nie są znane istotne przeciwwskazania, należy rozważyć i zaproponować choremu właśnie taką metodę postępowania.
Lekarze na oddziałach ratunkowych powinni być zaopatrzeni w specjalne formularze, które opisują algorytm postępowania, kończący się (przy potwierdzeniu zawału) skierowaniem pacjenta na leczenie trombolityczne lub do zabiegu angioplastyki. Inne postępowanie jest błędem w sztuce lekarskiej.
Tak prowadzony pacjent, jeśli trafił do lekarza w odpowiednim czasie, ma szanse na pełne wyleczenie – to znaczy uniknięcie martwicy fragmentu mięśnia sercowego i jakichkolwiek powikłań z tym związanych w przyszłości. Możliwy jest w takiej sytuacji pełny powrót do zdrowia i aktywności zawodowej.
Podanie leków fibrolitycznych
W sytuacji, gdy istnieje możliwość wykonania pierwotnej angioplastyki wieńcowej podawanie leków fibrynolitycznych (tenekteplaza, reteplaza) powinno być stosowane tylko w wyjątkowych, uzasadnionych sytuacjach.
Leczenie zachowawcze i obserwacja chorego, czyli odstąpienie od udrożnienia zablokowanego naczynia wieńcowego przy świeżym zawale (za pomocą angioplastyki lub leków trombolitycznych) wobec obecnej wiedzy medycznej należy uznać za poważny błąd w sztuce lekarskiej, istotnie zagrażający życiu pacjenta i powodujący w przyszłości dużą szansę na to, iż chory zostanie inwalidą.
Jeśli ośrodek nie ma możliwości wykonania angioplastyki lub podania leków trombolitycznych to pacjent ze świeżym zawałem nie powinien do takiego ośrodka trafić. Małe, lokalne szpitale, bez pracowni kardiologii inwazyjnej i pracowni hemodynamiki, nie powinny przyjmować pacjentów ze świeżym zawałem serca, lecz kierować ich do ośrodków specjalistycznych.
Na chwilę obecną nie istnieje miejsce w Polsce oddalone od właściwie wyposażonego ośrodka o więcej niż 80 km, co gwarantuje dowóz pacjenta w czasie mniejszym niż 1 godzina. Zespoły Ratownictwa Medycznego wyposażone są w sprzęt teleradiologiczny pozwalający wykonać niezbędne badania (w tym oznaczenie markerów zawału i wykonanie EKG) podczas transportu i przesłanie wyników za pomocą radia do ośrodka jeszcze przed przybyciem chorego, który (jeśli zawał zostanie potwierdzony) może od razu trafić na zabieg.
Postępowanie w późnym zawale, gdy pacjent trafił na oddział po więcej niż 12 godzinach od początku bólu nie jest jednoznaczne. Zakłada się jednak, że wykonanie angioplastyki w takim przypadku należy odłożyć do powstania blizny, lecz docelowo zabieg udrożnienia wykonać. Na razie istnieje zbyt mało dowodów naukowych, które mogłyby jednoznacznie określić postępowanie w takich przypadkach.
Pomostowanie aortalno-wieńcowe
W wybranych przypadkach, gdy niemożliwe jest zastosowanie leków trombolitycznych lub wykonania pierwotnej angioplastyki wieńcowej (głównie w przypadkach zaawansowanych zmian miażdżycowych w wielu odcinkach tętnic równocześnie) stosuje się zabieg operacyjny mający na celu wykonanie pomostów aortalno-wieńcowych (nazwa potoczna: by-passów), poprawiających ukrwienie serca. Operacja wiąże się uzyskaniem dostępu do narządów klatki piersiowej poprzez torakotomię (otwarcie klatki piersiowej).
Leczenie przeciwbólowe
Stosuje się mieszanki przeciwbólowe:
- lityczna, która składa się z:
- 100 mg petydyny
- 50 mg prometazyny
- 50 mg chloropromazyny
- uzupełnia się 0,9% roztworem NaCl do 20 ml.
- NLA, która składa się z:
- 0,1 mg fentanylu
- 5 mg dihydrobenzperidolu
- uzupełnia się 0,9% roztworem NaCl do 10 ml.
- MCP, która składa się z:
Pierwszym lekiem przeciwbólowym podawanym pacjentowi jest morfina, podawana dożylnie. Początkowo 5 mg w ciągu 2 min, a następnie 2 mg co 5 min. Maksymalna dawka wynosi 30 mg.
KIG
To tzw. mieszanka polaryzująca, która poprawia metabolizm niedokrwionych komórek mięśnia sercowego. Składa się z:
- K – potasu ok. 40 mEq
- I – insuliny ok. 6 j.m. insuliny krótko działającej, np. Actrapid
- G – glukozy 250 ml 10% na KIG mały lub 500 ml 5% na KIG duży.
Podczas podawania leku należy zwrócić uwagę na szybkość podawania, ponieważ zbyt szybkie może spowodować asystolię. W kontrolowanych badaniach klinicznych nie stwierdzono jednoznacznie korzystnego wpływu podawanie KIG w zawale mięśnia sercowego, wobec powyższego nie musi być ono stosowane i ma często znaczenie historyczne.
Leczenie pozawałowe
Objęcie pacjentów ze świeżym zawałem serca intensywną opieką kardiologiczną istotnie zmniejsza śmiertelność szpitalną i pozaszpitlaną chorych, stwarzając większą szansę przeżycia. Wśród najczęściej stosowanych leków wymienia się: leki beta-adrenolityczne (beta-blokery), które zmniejszają zapotrzebowanie mięśnia sercowego na tlen przez wpływ na częstotliwość rytmu i kurczliwości serca, antagonisty kanału wapniowego, które powodują rozkurcz naczyń wieńcowych, zmniejszenie kurczliwości serca, a w następstwie zmniejszenie zapotrzebowania na tlen oraz inhibitory konwertazy angiotensyny (ACEI, zofenopryl), które utrzymują ciśnienie krwi na odpowiednim poziomie, umożliwiając swobodny przepływ w organizmie bogatej w substancje odżywcze, natlenowanej krwi, nie obciążając jednocześnie układu sercowo-naczyniowego. Ich działanie polega na zapobieganiu przekształcenia angiotensyny I na angiotensynę II, powodującą zwężanie naczyń krwionośnych. Gdy naczynia krwionośne nie są nadmiernie zwężone, krew płynie swobodniej, nie obciążając dodatkowo serca. Wnioski z przeprowadzonych badań klinicznych wskazują, że zastosowanie ACEI w ciągu pierwszych 24 godzin po zawale mięśnia sercowego zwiększa szanse na przeżycie[9]. Korzyści w zastosowaniu takiej terapii zależą jednak od wyboru leku. Zofenopryl jest silniej powiązany z sercową ACE i mniej zależny od bradykininy, co zwiększa siłę pierwotnej kardioprotekcji przez redukcję ryzyka ciężkiego nadciśnienia tętniczego. W związku z tym wczesne podanie ACEI u chorych po zawale mięśnia sercowego jest skuteczne, ale powinno opierać się na wyborze najbardziej odpowiedniego leku, którym jako lek pierwszego rzutu wskazywany jest zofenopryl[10].
Leczenie powikłań
Następstwa ataku serca są zróżnicowane w zależności od rozległości uszkodzenia mięśnia sercowego. Ognisko zawałowe wielkości około 10% masy mięśnia komory nie powoduje trwałego inwalidztwa (możliwy jest powrót chorego do normalnego funkcjonowania). Bardziej rozległy obszar martwicy (25%) upośledza funkcje serca jako pompy, prowadząc do jego niewydolności. Martwica obejmująca 40% mięśnia sercowego i więcej może wywołać wstrząs kardiogenny, co również może stanowić przyczynę nagłego zgonu. Przebieg kliniczny choroby zależy też od lokalizacji zawału – zawał przedniej ściany serca przebiega na ogół ciężej niż zawał dolnej jego ściany. Celem leczenia jest przywrócenie przepływu przez zamkniętą tętnicę wieńcową aby zminimalizować uszkodzenie mięśnia sercowego. Już w karetce choremu podawany jest tlen, nitrogliceryna, leki przeciwpłytkowe i działająca przeciwbólowo morfina. Podawane są również beta-blokery, przeciwkrzepliwa heparyna, zmniejszające ciśnienie inhibitory ACE iw razie konieczności leki uspokajające. Po pierwszym postępowaniu rozpoczyna się leczenie reperfuzyjne. W zależności od potrzeby polega ono na leczeniu fibrynolitycznym za pomocą leków lub leczenia inwazyjnego. Metody inwazyjne są preferowane ponieważ dają lepsze wyniki. Wykonuje się je za pomocą następujących zabiegów: przezskórne interwencje wieńcowe (PCI) – zaliczamy do nich angioplastykę wieńcową, aterektomię, brachyterapię, pomostowanie aortalno-wieńcowe (CABG), rewaskularyzacja laserowa (TMLR).
Powikłania
Ocenia się, że 7–12% pacjentów z zawałem serca umiera w trakcie hospitalizacji (w związku z rozwojem metod leczenia liczby te zmniejszają się). Spośród tych pacjentów, którzy opuszczają szpital, w ciągu pierwszego roku umiera 5–15% pacjentów. Te same dane statystyczne dotyczą też osób, u których dochodzi do ponownego zawału w roku następnym.
Wczesne
- zgon, najczęściej w wyniku nagłego zatrzymania krążenia w mechanizmie migotania komór
- wstrząs kardiogenny
- poszerzenie się ogniska zawałowego (najczęściej w wyniku poszerzenia się obszaru uszkodzenia reperfuzyjnego lub wstecznego narastania zakrzepicy w zajętej tętnicy wieńcowej)
- zaburzenia rytmu serca i przewodnictwa
- ostra niewydolność serca z obrzękiem płuc
- ostra dyskineza mięśnia sercowego (ostry tętniak serca)
- pęknięcie ściany serca (tamponada serca) lub przegrody międzykomorowej
- pęknięcie mięśnia brodawkowatego i ostra niewydolność zastawki mitralnej.
Ocena ostrej niewydolności serca
Do oceny ostrej niewydolności serca związanej ze świeżym zawałem mięśnia sercowego, stosowana jest czterostopniowa klasyfikacja Killipa-Kimballa.
| Stopień | Charakterystyka | Fizykalnie |
| I | brak cech niewydolności serca | bez cech zastoju w krążeniu płucnym, brak III tonu serca |
| II | niewydolność serca | zastój w krążeniu płucnym, osłuchowo wilgotne rzężenia nad polami płucnymi poniżej dolnych kątów łopatek, obecny III ton serca |
| III | obrzęk płuc | zastój w krążeniu płucnym, osłuchowo wilgotne rzężenia nad polami płucnymi sięgające powyżej połowy wysokości płuc |
| IV | wstrząs kardiogenny | hipotonia, hipoperfuzja obwodowa, często łącznie z obrzękiem płuc, spadek skurczowego ciśnienia krwi poniżej 90 mm Hg |
Późne
- zakrzepica przyścienna w komorze nad obszarem zawału i inne powikłania zatorowo-zakrzepowe
- pozawałowe zapalenie nasierdzia (łac. pericarditis epistenocardiaca)
- przewlekły tętniak serca
- przewlekła niewydolność krążenia
- zespół ramię-ręka
- zespół pozawałowy Dresslera
Rehabilitacja
Rehabilitację rozpoczyna się po ustąpieniu bólu zawałowego, zmniejszeniu aktywności enzymów i obniżeniu temperatury.
Faza I
- Model A – stosuje się dla chorych z pełnościennym, niepowikłanym zawałem.
- 1° – ćwiczenia bierne i sadzanie po 2-3 dobach
- 2° – ćwiczenia czynne i pionizacja po 4-5 dobach
- 3° – wolne spacery oraz chodzenie po schodach po ok. 6–10 dniach
- Model B – dla chorych z powikłanym zawałem i trwa powyżej 21 dni.
W pierwszej fazie obciążenie nie powinno przekraczać 1,5-3 METów.
Faza I zazwyczaj kończy się wypisaniem chorego ze szpitala.
W pierwszym okresie zawału bardzo istotne jest zapewnienie lekkostrawnej diety, tak aby chory nie miał trudności z wypróżnianiem się. Defekacja jest dość dużym wysiłkiem, wymagającym napięcia tłoczni brzusznej, powodując odruchową tachykardię w celu zwiększenia rzutu sercowego. Skutkiem tego wysiłku może być „śmierć na sedesie” – dość typowa u chorych w pierwszych dwóch tygodniach choroby, czasami nawet z pęknięciem ściany serca.
Faza II
Odbywa się w pomieszczeniach odpowiednio przystosowanych, tzn. zapewniających ciągły monitoring chorego, posiadających ruchome bieżnie lub cykloergometry. Wszystkie te zabiegi odbywają się pod nadzorem lekarza i rehabilitantów. Proste ćwiczenia chory powinien wykonywać w domu.
Faza III
Trwa co najmniej 6 miesięcy. Jest realizowana w ośrodkach przyszpitalnych i w domu. Obejmuje ćwiczenia kondycyjne, rekreacyjne i edukację przeciwzawałową. Celem jest osiągnięcie przez chorego wydolności co najmniej 8 MET-ów.
Faza IV
Rozpoczyna się ok. 1 rok po zawale. Polega na ćwiczeniach grupowych i indywidualnych w celu utrzymania chorego w jak najlepszej kondycji fizycznej i psychicznej oraz zapobiegania nawrotom choroby.
Telemetria w rehabilitacji
Bardzo dobre efekty daje rehabilitacja z wykorzystaniem nowoczesnych narzędzi telemetrycznych – tzn. chory wykonuje ćwiczenia w domu podłączony do aparatu (holter + urządzenie telekomunikacyjne: modem, radio, komórka) pod kontrolą zdalną ośrodka. Pozwala to dokładniej monitorować pacjenta i znacząco obniża koszty rehabilitacji. Niestety w chwili obecnej NFZ nie refunduje jeszcze takich procedur medycznych.
Historia odkrycia zawału mięśnia sercowego
Pojęcie zawału w odniesieniu do mięśnia sercowego wprowadził w 1896 roku francuski lekarz René Marie, a według innych niemiecki patolog Carl Weigert w 1880.
W 1910 rosyjscy lekarze Wasilij Parmenowicz Obrazcow i Nikołaj Dymitriewicz Strażesko jako pierwsi opisali pod względem klinicznym trzy przypadki zawału serca, a jednoznaczny związek przyczynowy pomiędzy zakrzepicą tętnic wieńcowych a zawałem serca ustalił amerykański lekarz James Bryan Herrick w 1912 roku.
Przedtem zmiany narządowe o tym charakterze nazywano rozmaitymi nazwami łacińskimi, najczęściej apoplexia (udar), infiltratio (nacieczenie), hepatisatio (zwątrobienie) i myomalatio (rozmiękanie). Uznawano bowiem, że przyczyną zawału są nieokreślone zmiany zwyrodnieniowe lub zmiany zapalne.
Klasyfikacja ICD10
| kod ICD10 | nazwa choroby |
|---|---|
| ICD-10: I21 | Ostry zawał mięśnia sercowego |
| ICD-10: I21.0 | Ostry zawał serca pełnościenny ściany przedniej |
| ICD-10: I21.1 | Ostry zawał serca pełnościenny ściany dolnej |
| ICD-10: I21.2 | Ostry zawał serca pełnościenny o innej lokalizacji |
| ICD-10: I21.3 | Ostry zawał serca pełnościenny o nieokreślonym umiejscowieniu |
| ICD-10: I21.4 | Ostry zawał serca podwsierdziowy |
| ICD-10: I21.9 | Ostry zawał serca, nieokreślony |
| ICD-10: I22 | Ponowny zawał serca |
| ICD-10: I22.0 | Ponowny zawał serca ściany przedniej |
| ICD-10: I22.1 | Ponowny ostry zawał serca ściany dolnej |
| ICD-10: I22.8 | Ponowny ostry zawał serca o innej lokalizacji |
| ICD-10: I22.9 | Ponowny ostry zawał serca o nieokreślonym umiejscowieniu |
| ICD-10: I23 | Niektóre powikłania występujące w czasie ostrego zawału mięśnia sercowego |
| ICD-10: I23.0 | Krwiak osierdzia jako powikłanie występujące w czasie ostrego zawału serca |
| ICD-10: I23.1 | Ubytek przegrody międzyprzedsionkowej jako powikłanie występujące w czasie ostrego zawału serca |
| ICD-10: I23.2 | Ubytek przegrody międzykomorowej jako powikłanie występujące w czasie ostrego zawału serca |
| ICD-10: I23.3 | Pęknięcie ściany serca bez krwiaka osierdzia jako powikłanie występujące w czasie ostrego zawału serca |
| ICD-10: I23.4 | Pęknięcie strun ścięgnistych jako powikłanie występujące w czasie ostrego zawału serca |
| ICD-10: I23.5 | Pęknięcie mięśnia brodawkowatego jako powikłanie występujące w czasie ostrego zawału serca |
| ICD-10: I23.6 | Skrzeplina w przedsionku, uszku przedsionka i komorze jako powikłanie występujące w czasie ostrego zawału serca |
| ICD-10: I23.8 | Inne powikłania występujące w czasie ostrego zawału mięśnia sercowego |
Zobacz też
Przypisy
- ↑ Causes of death in the EU – Statistics in focus 10/2006
- ↑ Kristian Thygesen, Joseph S. Alpert, Harvey D. White. Universal Definition of Myocardial Infarction. „Circulation”. 116, s. 2634–2653, 2007. DOI: 10.1161/CIRCULATIONAHA.107.187397. [dostęp 2018-06-12]. (ang.).
- ↑ Kristian Thygesen, Joseph S. Alpert, Allan S. Jaffe, Maarten L. Simoons, Bernard R. Chaitman, Harvey D. White. Third Universal Definition of Myocardial Infarction. „Circulation”. 126 (16), s. 2020–2035, 2012. DOI: 10.1161/CIR.0b013e31826e1058. [dostęp 2018-06-12]. (ang.).
- ↑ Jak boli ręka przy zawale? Sprawdź, która ręka drętwieje? [online] [dostęp 2022-01-02] (pol.).
- ↑ Heart attack [online], nhs.uk, 24 października 2017 [dostęp 2023-05-29] (ang.).
- ↑ Aspirin for heart attack: Chew or swallow? [online], Harvard Health, 1 maja 2005 [dostęp 2023-05-29] (ang.).
- ↑ J. Mark Peterman i inni, Door-to-Balloon Time, „Journal of the American College of Cardiology”, 56 (2), s. 158–159, DOI: 10.1016/j.jacc.2010.01.058 [dostęp 2018-01-24].
- ↑ Oldroyd KG. Complete Immediate Revascularization of the Patient With ST-Segment-Elevation Myocardial Infarction Is the New Standard of Care. „Circulation”. 135 (17), s. 1571–1573, 2017 Apr 25. DOI: 10.1161/CIRCULATIONAHA.117.025265. [dostęp 2017-04-26]. (ang.).
- ↑ Zalecenia ESH/ESC dotyczące leczenia nadciśnienia tętniczego – 2007 rok, Polskie Towarzystwo Kardiologiczne, Nadciśnienie tętnicze – nowe standardy ESC.
- ↑ A.Prejbisz, A.Januszewicz, Miejsce inhibitorów konwertazy angiotensyny w leczeniu nadciśnienia tętniczego i chorób współistniejących, Choroby Serca i Naczyń 2012, tom 9, nr 4, 208–213.
Bibliografia
- Piotr Gajewski. Uniwersalna definicja zawału serca. „Medycyna Praktyczna”. 1 (203) styczeń, s. 47–64, 2008. ISSN 0867-499X.
- Ostre zespoły wieńcowe, praca zbiorowa pod red. Grzegorza Opolskiego, Krzysztofa Filipiaka i Lecha Polońskiego. Elsevier Urban & Partner, Wrocław, 2002, ISBN 83-87944-43-2.
- Peter Mathes, Poradnik zawałowca, Włodzimierz J Musiał (tłum.), Warszawa: Wyd. Lekarskie PZWL, 1996, ISBN 83-200-1971-0, OCLC 835223190.
- Zawał serca: diagnostyka, leczenie, rehabilitacja, Zbigniew Nowak; Skrypt AWF, Katowice, 2003, ISBN 83-87478-64-4.
- Nowa strategia leczenia zawału serca (zasady organizacji małopolskiego programu interwencyjnego leczenia zawału serca) Dariusz Dudek, Krzysztof Żmudka; Krakowskie Wydawnictwo Medyczne, Kraków 2002, ISBN 83-88614-08-8.
- Serce i Ty, prof. Andrzej Kaliciński, Wyd. Medyk, Warszawa 1999, ISBN 83-87340-31-6.
- Co radzi lekarz. Choroby serca, red. Bernard Gersh, Wyd. Świat Książki, Warszawa 2006, ISBN 978-83-7391-862-7.
- Choroby serca i naczyń 2012, tom 9, nr 4, 208-213, Aleksander Prejbisz, Andrzej Januszewicz: Miejsce inhibitorów konwertazy angiotensyny w leczeniu nadciśnienia tętniczego i chorób współistniejących.
Linki zewnętrzne
- Zawał serca – podstawowe informacje (pol.)
- Wytyczne ESC dotyczące postępowania w ostrym zawale serca. ptkardio.pl. [zarchiwizowane z tego adresu (2013-08-01)]. (pol.).
- Film instruktażowy – pierwsza pomoc przy zawale serca (pol.)
- Co (dalej) po zawale? – Program edukacyjny Polskiego Towarzystwa Kardiologicznego (pol.)
Przeczytaj ostrzeżenie dotyczące informacji medycznych i pokrewnych zamieszczonych w Wikipedii.
