Guz desmoidalny
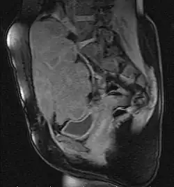
![]() Guz desmoidalny w jamie brzusznej, rezonans magnetyczny | |
| Klasyfikacje | |
| ICD-10 |
D48 |
|---|---|
| DiseasesDB | |
| MeSH | |
Guz desmoidalny, włókniakowatość typu głębokiego (ang. desmoid tumor) – miejscowo agresywny nowotwór o pośredniej złośliwości zaliczany do nowotworów tkanki włóknistej z fibroblastów i miofibroblastów[1]. Nowotwór nie posiada zdolności do wytworzenia przerzutów odległych, choć wykazuje tendencję do agresywnego naciekania sąsiednich tkanek[2]. Ze względu na lokalizację, przebieg i epidemiologię wyróżnia się postać pozabrzuszną, brzuszną i wewnątrzbrzuszną[3].
Głównym objawem choroby jest pojawienie się wyczuwalnego palpacyjnie guza w tkankach miękkich oraz dolegliwości bólowe[3]. Podejrzenie choroby jest stawiane na podstawie badań obrazowych, jednak do postawienia ostatecznego rozpoznania konieczne jest pobranie materiału tkankowego podczas biopsji guza i ocena histopatologiczna[4]. W leczeniu guza desmoidalnego u części chorych wystarczającym postępowaniem jest czujna obserwacja. U chorych wymagających leczenia stosuje się leczenie operacyjne, radioterapię lub leczenie ogólnoustrojowe obejmujące hormonoterapię, niesteroidowe leki przeciwzapalne albo chemioterapię[5].
Definicja i klasyfikacja
Guz desmoidalny (włókniakowatość typu głębokiego) jest definiowany jako klonalny rozrost fibroblastów w głębokich tkankach miękkich, charakteryzujący się agresywnym naciekiem i tendencją do lokalnych nawrotów przy niezdolności do wytwarzania przerzutów odległych[3]. Guz jest zaliczany do nowotworów tkanki włóknistej z fibroblastów i miofibroblastów o pośredniej złośliwości, lokalnie agresywnych (złośliwych klinicznie)[6]. Synonimami pojęcia guz desmoidalny (desmoid tumor) są włókniakowatość typu głębokiego (deep fibromatosis), fibromatoza typu głębokiego (deep fibromatosis) i agresywna fibromatoza (agressive fibromatosis)[7][8].
Epidemiologia
Guz desmoidalny jest rzadkim nowotworem, stanowi około 0,03% nowotworów u ludzi[9] i około 3% nowotworów tkanek miękkich[5]. Zapadalność na włókniakowatość typu głębokiego jest oceniana na 2–4 przypadków rocznie na 1 000 000[3][10][11][5][12]. Nowotwór występuje pomiędzy 15. a 60. rokiem życia, ze szczytem zapadalności przypadającym na 30–35. rok życia[9]. W grupie chorych pomiędzy 20. a 40. rokiem życia przeważają kobiety i najczęściej występuje postać brzuszna. W starszej grupie wiekowej w przybliżeniu równie często występuje postać brzuszna, jak i pozabrzuszna[13]. W większości przypadków guz występuje sporadycznie, ale w 5–10% guz desmoidalny pojawia się w ramach dziedziczonej autosomalnie dominująco rodzinnej polipowatości gruczolakowatej (FAP)[9].
Postacie kliniczne i obraz kliniczny

Guz desmoidalny może pojawić się w dowolnej lokalizacji[14]. Ze względu na lokalizację, przebieg i epidemiologię klinicznie wyróżnia się postać pozabrzuszną, brzuszną i wewnątrzbrzuszną[15][14][16], choć wymienione postacie są nierozróżnialne makroskopowo i w obrazie mikroskopowym[17]. W różnych badaniach oszacowano relatywną częstość występowania poszczególnych postaci klinicznych guza desmoidalnego[17]. W pracy Reitamo postać brzuszna występowała u 49% chorych na guza desmoidalnego, postać pozabrzuszna u 43% chorych, a postać wewnątrzbrzuszna u 8% chorych na guza desmoidalnego[17][18].
Postać brzuszna
Postać brzuszna pojawia się u młodych kobiet w trakcie ciąży lub po urodzeniu dziecka[17]. Zmiany pojawiają się w obrębie mięśni i powięzi ścian jamy brzusznej, głównie w mięśniu prostym brzucha i mięśniu skośnym wewnętrznym, a także ich powięziach[17]. Guz rośnie powoli, początkowo nie daje żadnych objawów poza obecnością wyczuwalnej palpacyjnie masy w jamie brzusznej, czasem występuje łagodny ból brzucha[3].
Postać pozabrzuszna
Postać zwykle występuje u nastolatków i młodych dorosłych ze szczytem zapadalności przypadającym na 25–35 rok życia, częściej występując u kobiet. Możliwe jest występowanie tych guzów u dzieci[19]. Zmiany w postaci pozabrzusznej wywodzą się z tkanki łącznej mięśni, powięzi oraz rozcięgien, pojawiają się głównie w okolicy stawu ramiennego, uda, ścianie klatki piersiowej oraz w obrębie głowy i szyi[19][3].
W okolicy stawu barkowego guz desmoidalny pojawia się w obrębie mięśnia naramiennego, okolicy łopatkowej, dołu nadobojczykowego i trójkąta bocznego szyi. Zmiany mogą zajmować dół pachowy i górną część ramienia. Ze względu na częste zajmowania splotu ramiennego lub ważnych naczyń wycięcie zmian w tych lokalizacjach jest trudne. W zakresie kończyny dolnej nowotwór pojawia się w mięśniach pośladkowych, mięśniu czworobocznym oraz dole podkolanowym. W obrębie głowy i szyi guzy bywają zlokalizowane w twarzy, jamie ustnej, zatokach przynosowych i oczodołach. Zmiany w tej lokalizacji cechuje bardziej agresywny przebieg z naciekaniem mięśni i destrukcją części kostnych. Guz desmoidalny może pojawiać się w gruczole piersiowym[2].
Głównym objawem choroby jest stwierdzenie słabo odgraniczonego guza w głębokich tkankach miękkich cechującego się powolnym, podstępnym wzrostem. Zmiana może powodować niewielkie dolegliwości bólowe lub być bezbolesna. Guz może spowodować upośledzenie ruchomości zajętego stawu. W przypadku ucisku nerwów mogą się pojawić dolegliwości bólowe o znacznym nasileniu, drętwienie i upośledzenie ruchomości[19]. Rzadko zmiany mogą być wieloogniskowe[3].
Postać wewnątrzbrzuszna
Postać wewnątrzbrzuszna dotyczy krezki i miednicy małej. Zmiany w miednicy małej częściej występują u młodych kobiet, ale nie wykazują one związku z ciążą czy porodem. Z kolei zmiany w krezce częściej pojawiają się u mężczyzn[20]. W wariancie miedniczym zmiany pojawiają się w dole biodrowym i dolnej części miednicy. Zmiany manifestują się jako wyczuwalny guz w jamie brzusznej, który czasem może powodować ból brzucha. Duże zmiany mogą uciskać narządy miednicy małej i powodować wodonercze. W 8% przypadków guza desmoidalnego pojawia się on w krezce, głównie jelita cienkiego, ale może również być obecny w krezce poprzecznicy, więzadle żołądkowo-okrężniczym, otrzewnej i przestrzeni zaotrzewnowej. Guz objawia się jako wyczuwalna masa w jamie brzusznej, może powodować ucisk na sąsiednie struktury, ból brzucha, krwawienie z przewodu pokarmowego i być przyczyną ostrego brzucha z powodu perforacji[20]. Postać wewnątrzbrzuszna często jest powiązana z zespołem polipowatości rodzinnej (FAP)[20].
Historia naturalna
Guz desmoidalny histologicznie nie posiada zdolności do wytworzenia przerzutów odległych, klinicznie cechuje się agresywnym naciekającym wzrostem oraz znaczną tendencją do nawrotów po chirurgicznym wycięciu zmiany[21][22]. Przebieg choroby jest bardzo trudny do przewidzenia. Część z tych guzów przyjmuje powolny, miejscowo inwazyjny typ wzrostu, inne szybko się rozwijają, powodując nasilone objawy, a część z nich, przestając rosnąć, daje długie okresy stabilizacji choroby[5][21][23][24]. Możliwe są spontaniczne remisje guzów desmoidalnych[5][21][25][26][27][28], szczególnie u kobiet po pierwszej miesiączce lub po menopauzie[22].
Histopatologia



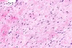
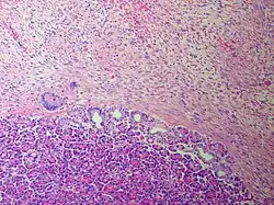
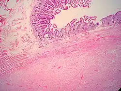
Niezależnie od postaci klinicznej guzy desmoidalne cechują się tym samym obrazem makroskopowym i mikroskopowym, choć guzy położone poza jamą brzuszną są mniejsze[17]. Makroskopowo guzy są przytwierdzone do mięśnia lub powięzi. W momencie rozpoznania większość zmian osiąga wielkość 5–10 cm, choć możliwe są nawet mierzące 20 cm guzy[17][2][3][29]. Guz jest lity i twardy, na przekroju koloru szarobiałego o lśniącej powierzchni z obecnym grubym beleczkowaniem, może przypominać bliznowca[3][30][2]. Guz desmoidalny makroskopowo nacieka sąsiednie tkanki[2], ale w obrębie jamy brzusznej guzy mogą wydawać się dobrze odgraniczone[3].
Mikroskopowo guz jest zbudowany z wydłużonych, smukłych komórek wrzecionowatych o jednolitej morfologii nie wykazujących cech atypii. Komórki wrzecionowate budujące utkanie guza desmoidalnego posiadają małe, blade i ostro odgraniczone jądro komórkowe z jednym lub kilkoma jąderkami. Komórki są otoczone zrębem kolagenowym z dobrze widocznymi naczyniami[2]. Komórki i włókna kolagenu są ułożone w wiązki, które jednak nie są tak wyraźnie zaznaczone jak we włókniakomięsaku[2][3]. Utkanie guza wykazuje pewne zróżnicowanie pod względem komórkowości[2], indeks mitotyczny waha się w dość szerokich granicach[3]. Czasem podścielisko składa się z wiązek kolagenu przypominające bliznowiec[2]. Guz jest słabo odgraniczony i penetruje do sąsiednich tkanek[2].
Etiologia i czynniki predysponujące
Patogeneza guza desmoidalnego jest wieloczynnikowa, istotną rolę pełnią uwarunkowania genetyczne i hormonalne[3].
Rola szlaku wnt/β-katenina i mutacja APC
Deregulacja szlaku Wnt/β-katenina jest kluczowym elementem patogenezy guza desmoidalnego, zarówno w przypadkach sporadycznych, jak i w tych związanych z zespołem rodzinnej polipowatości gruczolakowatej[31]. Zaburzenia szlaku wnt/β-katenina prowadzą do zaburzenia regulacji proliferacji, apoptozy i wpływają na inwazyjność fibroblastów[32][33][34][35].
W warunkach prawidłowych stężenie β-kateniny w cytoplazmie jest utrzymywane na niskim poziomie poprzez eliminowanie β-kateniny przez kompleks składający się z APC, CK1α i GSK3β. Rozkład β-kateniny w cytoplazmie uniemożliwia jej translokację do jądra komórkowego, gdzie wpływa na ekspresję różnych genów. Z kolei w przypadku obecności wnt kompleks kierujący β-kateninę do zniszczenia jest rozkładany i stężenie cytoplazmatyczne β-kateniny rośnie, co umożliwia jej translokację do jądra, a następnie aktywację transkrypcji odpowiednich genów. Stężenie wnt jest z kolei regulowane poprzez układ jego agonistów i antagonistów[33]. W 85% sporadycznych guzów desmoidalnych stwierdza się mutację genu CTNNB1 kodującego β-kateninę[36][37][31][38][39], mutacja prowadzi do stabilizacji β-kateniny i jej gromadzenia w cytoplazmie, a następnie przechodzenia do jądra komórkowego[36][31].
Kolejną drogą prowadzącą do zwiększenia stężenia β-kateniny jest somatyczna lub germinalna mutacja genu APC[38]. W wyniku mutacji APC również dochodzi do nagromadzenia β-kateniny w cytoplaźmie i jej przechodzenia do jądra komórkowego[40]. W około 20–30% guzów desmoidalnych wykrywa się somatyczną mutację genu APC prowadzącą do utraty białka APC lub jego nieprawidłowej budowy i utraty funkcji[41]. Germinalna mutacja genu APC jest przyczyną dziedziczonej autosomalnie dominująco rodzinnej polipowatości gruczolakowatej. Choroba znacząco zwiększa ryzyko rozwoju wielu nowotworów, przede wszystkim raka jelita grubego. Rodzinna polipowatość gruczolakowata 800–1000-krotnie zwiększa ryzyko rozwoju guza desmoidalnego[39][42] i u 10–15% chorych na rodzinną polipowatość gruczolakowatą rozwija się guz desmoidalny[39][43]. Do rozwoju guza desmoidalnego jest konieczna somatyczna mutacja drugiego allelu genu APC[41].
Estrogeny
Liczne pośrednie dowody wskazują na wpływ estrogenów na historię naturalną guza desmoidalnego[32]. Guz desmoidalny występuje z większą częstością u kobiet w trakcie ciąży lub okresie okołoporodowym[17][18]. Ponadto u kobiet w wieku rozrodczym zaobserwowano wyższe tempo wzrostu guza desmoidalnego[18][44][32]. Z drugiej strony obserwuje się samoistne regresje guza u kobiet po pierwszej miesiączce lub po menopauzie[22][32].
Estrogeny wywierają mitogenny wpływ na wiele typów komórek, w tym na fibroblasty[45]. W badaniach na zwierzętach laboratoryjnych po podaniu estrogenów zaobserwowano pojawienie się nowotworów przypominających guz desmoidalny[32]. Większość guzów desmoidalnych wykazuje ekspresję receptora estrogenowego β (ERβ), przy czym nie obserwuje się ekspresji receptora α (ERα)[46]. Wczesne badania sugerowały podobną rolę receptora estrogenowego w inicjacji szlaku sygnalizacyjnego prowadzącego do pobudzenia proliferacji jak w raku piersi, jednak późniejsze badania wykazały brak korelacji pomiędzy ekspresją receptora estrogenowego, a korzyściami w leczenia antyestrogenem tamoksyfenem[47].
Urazy i zabiegi operacyjne
Prawdopodobnie przebycie urazu, szczególnie zabiegu operacyjnego, jest czynnikiem predysponującym do rozwoju guza desmoidalnego w okolicy urazu. Wywiad urazu jest stwierdzany w około 25% przypadków guza desmoidalnego[32]. 70–85% przypadków postaci brzusznej poprzedza zabieg chirurgiczny wykonany w ciągu ostatnich pięciu lat[32][48]. U 70% chorych na rodzinną polipowatość gruczolakowatą, u których rozwinął się guz desmoidalny, w ciągu ostatnich pięciu lat poprzedzających rozwój choroby przeprowadzano operację w obrębie jamy brzusznej[49][39]. Powstawanie guzów desmoidalnych w obrębie urazu może być związane z dysregulacją β-kateniny, a także z promowaniem wzrostu guza przez cytokiny wydzielane przez różne komórki w gojącej się ranie[31].
Rozpoznanie
Podejrzenie guza desmoidalnego jest stawiane na podstawie badań obrazowych, z których największe znaczenie kliniczne ma rezonans magnetyczny. Ostateczne rozpoznanie wymaga pobrania biopsji guza i oceny histopatologicznej[4].
Diagnostyka obrazowa


Badania obrazowe pełnią istotną rolę w diagnostyce guza desmoidalnego. Pozwalają na rozpoznanie guza położonego w obrębie tkanek miękkich oraz ustalenia jego dokładnej lokalizacji, marginesów oraz stosunku do ważnych struktur anatomicznych. Pozwala to na zaplanowanie dalszej diagnostyki oraz określenie możliwości wykonania zabiegu operacyjnego[50]. Ponadto metody diagnostyki obrazowej znajdują zastosowanie w monitorowaniu progresji choroby podczas obserwacji oraz odpowiedzi na leczenie ogólnoustrojowe[5].
- Ultrasonografia
Ultrasonografia (USG) ze względu na wysoką dostępność często jest pierwszym badaniem obrazowym stosowanym we wstępnej diagnostyce. Metoda pozwala na określenie położenia, wielkości, obrysu i homogeniczności guza[5]. Obraz ultrasonograficzny guza desmoidalnego jest nieswoisty. Zmiany mogą przyjmować obraz od dobrze odgraniczonych, hipoechogenicznych litych guzów do słabo odgraniczonych, niejednorodnych echogenicznie zmian o nierównych brzegach[50]. Przydatne jest wykorzystanie USG Dopler, w którym w blisko 70% przypadków nie uwidacznia się unaczynienie[51][52]. Ponadto ultrasonografia jest przydatna podczas naprowadzania igły podczas biopsji gruboigłowej.
- Zdjęcie rentgenowskie
Zwykle zdjęcie rentgenowskie (RTG) nie wykazuje zauważalnych zmian, jednak może wykazać obecność masy w tkankach miękkich lub zajęcie kości[50].
- Tomografia komputerowa
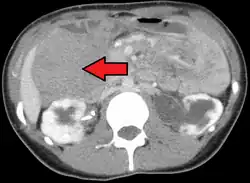
Tomografia komputerowa (TK) jest przydatnym narzędziem w diagnostyce guza desmoidalnego. Pozwala rozpoznać obecność litego guza w obrębie tkanek miękkich, określić jego lokalizację i rozmiar[5]. Jest pomocną metodą w diagnostyce powikłań guza związanych z jego lokalizacją[50]. W tomografii komputerowej guz desmoidalny jest słabo widoczny, ponieważ guz jest izodensyjny lub lekko hipodensyjny względem mięśni. Zmiana ze względu na bogate unaczynienie naczyń włosowatych ulega wzmocnieniu kontrastowemu[50][51]. Ze względu na inwazyjny wzór wzrostu marginesy zmiany mogą być słabo odgraniczone[50].
- Rezonans magnetyczny
Rezonans magnetyczny (MRI) jest podstawową metodą obrazowania wykorzystywaną w diagnostyce, planowaniu leczenia oraz ocenie odpowiedzi na leczenie guza desmoidalnego[50]. W porównaniu do tomografii komputerowej metoda oferuje dokładniejsze odwzorowanie tkanek miękkich, co pozwala na lepsze określenie stosunku guza do sąsiednich ważnych struktur, w tym naczyń, nerwów, mięśni oraz narządów wewnętrznych[50].
Wzór sygnału guza desmoidalnego w pewnym stopniu koreluje z obrazem histopatologicznym i różni się w zależności od stosunku fibroblastów do zrębu kolagenowego[51]. Obszary o niskim natężeniu odpowiadają kolagenowym pasmom i nie ulegają wzmocnieniu po podaniu gadoliny, z kolei dobrze unaczynione pęczki komórek wrzecionowatych ulegają wzmocnieniu kontrastowemu. Zatem podanie kontrastu pomaga wyeksponować pasma kolagenu i obszary komórkowe[51]. W każdym kolejnym etapie wzrostu guza desmoidalnego obserwuje się niższą intensywność sygnału w sekwencjach T1 i T2-zależnych[51]. W pierwszym etapie wzrostu guza desmoidalnego jest on bardziej komórkowy[51], wówczas obserwuje się niską intensywność sygnału na sekwencjach T1-zależnych oraz wysoki sygnał w obrazach o długim czasie repetycji (TR)[50]. W kolejnym etapie ze względu na większą koncentrację kolagenu w guzie obserwuje się wzrost niejednorodności sygnału w sekwencjach T2-zależnych, występują pasmowate obszary o niskiej intensywności sygnału oraz obszary o wyższej intensywności sygnału, które po podaniu kontrastu ulegają wzmocnieniu. W trzecim etapie rozwoju choroby zwiększa się ilość zrębu kolagenowego i spada komórkowość zmian, wówczas guz desmoidalny wykazuje niską intensywność sygnału w sekwencjach T1 i T2-zależnych[50].
Typowo obraz guza jest heterogenny (niejednorodny), w sekwencjach T2-zależnych są obecne obszary o intensywności tkanki tłuszczowej, a w sekwencjach T1-zależnych obszary o intensywności tkanki mięśniowej[50]. Po podaniu kontrastu gadolinowego guz wykazuje wzmocnienie kontrastowe umiarkowane do intensywnego[50]. Marginesy guza mogą wykazywać różny wygląd. Zmiany mogą być dobrze odgraniczone, jednak ze względu na naciekanie sąsiednich tkanek margines może być nieregularny[51].
Podstawowe znaczenie ma odróżnienie guza desmoidalnego od mięsaków, które nie wykazują tendencji do rozprężającego wzrostu, raczej z zastępowaniem tkanek niż ich naciekiem, zwykle pozostają w obrębie jednego przedziału mięśniowego bez naciekania powięzi, wykazują tendencję do wytwarzania pseudotorebki, ponadto często obecne są obszary krwotoczne i martwicy[50].
- Pozytonowa tomografia emisyjna
Pozytonowa tomografia emisyjna (PET) może być przydatna w diagnostyce różnicowej guza desmoidalnego od nowotworów złośliwych[5].
Biopsja
Diagnostyka różnicowa guza desmoidalnego z mięsakami, niezależnie od obrazu radiologicznego, wymaga uzyskania materiału tkankowego do oceny histopatologicznej, który pozyskuje się drogą biopsji gruboigłowej. Biopsję guza desmoidalnego, podobnie jak innych guzów tkanek miękkich, przeprowadza się według zasad obowiązujących przy podejrzeniu mięsaka tkanek miękkich. Zatem zabieg jest przeprowadzany w taki sposób, by nie utrudnić ewentualnego leczenia chirurgicznego. Uwzględnia to dokładne zaplanowanie ścieżki przebiegu igły i unikanie niepotrzebnego naruszania przedziałów mięśniowych. Pomocne podczas przeprowadzania zabiegu są techniki obrazowe, szczególnie ultrasonografia, a czasem tomografia komputerowa[5].
Badanie histopatologiczne

Podstawą rozpoznania guza desmoidalnego jest badanie histopatologiczne materiału uzyskanego drogą biopsji. W badaniu mikroskopowym rozpoznaje się ubogokomórkowy rozrost fibroblastów naciekających sąsiednie tkanki[40].
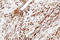
W badaniu immunohistochemicznym wykrywa się ekspresję wimentyny, SMA (smooth muscle actin), MSA (muscle specific actin) oraz β-kateniny[22][13]. W badaniach genetycznych stwierdza się trisomię chromosomu 8 i 20, a także delecję regionu 5q21-q32[53][13].
Guz różnicuje się przede wszystkim z włókniakomięsakiem, którego od guza desmoidalnego odróżnia atypia komórek wrzecionowatych, większa komórkowość oraz indeks mitotyczny, atypowe komórki i włókna kolagenowe ułożone w wyraźne pęczki, a zrąb jest wyraźnie uboższy[54].
Leczenie
W leczeniu guza desmoidalnego u części chorych wystarczającym postępowaniem jest czujna obserwacja. U chorych wymagających leczenia stosuje się leczenie operacyjne, radioterapię lub leczenie ogólnoustrojowe obejmujące hormonoterapię, niesteroidowe leki przeciwzapalne oraz chemioterapię[5].
Choroba operacyjna
W przypadku choroby potencjalnie operacyjnej leczenie może polegać na zabiegu chirurgicznym lub wyłącznie samej czujnej obserwacji[55]. Znaczna część guzów desmoidalnych nigdy nie ulega progresji (postępowi choroby), a w części z nich zachodzi samoistna regresja (zmniejszenie zmiany). Zatem nie wszyscy chorzy będą wymagać leczenia, które jednak jest konieczne w przypadku guzów wywołujących istotne dolegliwości lub położonych w niekorzystnych lokalizacjach. Strategia wyłącznej czujnej obserwacji polega na okresowej ocenie radiologicznej guza i ewentualnemu rozpoczęciu leczenia, gdy choroba postępuje[5][56]. Leczenie chirurgiczne polega na usunięciu guza w granicach zdrowych tkanek. Kluczowe jest unikanie nadmiernych deficytów funkcjonalnych związanych z leczeniem operacyjnym[9].
Obserwacja
Guz desmoidalny cechuje się trudną do przewidzenia historią naturalną[29]. Znaczna część guzów desmoidalnych się nie rozwija, a niektóre z nich nawet stopniowo ustępują. Badania oceniające ryzyko progresji guza desmoidalnego sugerują, że dochodzi do niej w 10–20% przypadków tej choroby[57]. W badaniu Briand i współpracowników u blisko połowy chorych po roku obserwacji nie stwierdzono progresji pozabrzusznego guza desmoidalnego[58]. W pracy Colombo i współpracowników podczas blisko 40 miesięcznej obserwacji u 56% chorych stwierdzono stabilizację choroby, a u 20% stwierdzono samoistną regresję[59]. Podobnie w badaniu Bonvalot u 25% chorych z postacią brzuszną obserwowano stabilizację, a 20% regresję choroby[28].
Progresja podczas obserwacji zwykle pojawiała się podczas pierwszego roku obserwacji, guzy pozostające stabilne przez pierwsze 3 lata obserwacji zwykle pozostają stabilne przez 10 lat obserwacji[29][58]. Strategia obserwacji pomaga odróżnić guzy o indolentnym przebiegu wymagające jedynie okresowej kontroli od tych, które będą postępować i wymagać leczenia. Pozwala to uniknąć niepotrzebnego leczenia guzów niewykazujących tendencji do progresji[29].
W przypadku guzów bezobjawowych, z wyjątkiem lokalizacji, które w przypadku powiększenia guza mogą spowodować znaczne zaburzenia czynnościowe (głównie głowa i szyja), wystarczającym postępowaniem jest czujna obserwacja (watchful waiting)[60][5]. W ramach strategii obserwacji chorych okresowo poddaje się kontroli za pomocą badań obrazowych, przede wszystkim za pomocą rezonansu magnetycznego[57]. Strategia obserwacji nie pogarsza wyników leczenia chirurgicznego i lokalnej kontroli choroby[29]. Jeśli podczas obserwacji wystąpi progresja zmiany nowotworowej, chorego poddaje się leczeniu chirurgicznemu z lub bez radioterapii z lub bez leczenia ogólnoustrojowego[60].
Leczenie chirurgiczne

Leczenie chirurgiczne jest podstawową metodą leczenia potencjalnie resekcyjnego (operacyjnego) guza desmoidalnego[61][62][29]. Ze względu na agresywnie naciekający wzór wzrostu guz desmoidalny charakteryzuje się bardzo wysokim odsetkiem nawrotów po leczeniu operacyjnym[63][64][22][5][29]. Ze względu na agresywnie naciekający wzór wzrostu guza desmoidalnego marginesy wolne od mikroskopowego nacieku osiąga się u 16–22% leczonych chirurgicznie, a u 20–50% jedynie udaje się osiągnąć margines z mikroskopowym naciekiem nowotworu (bez nacieku makroskopowego)[40]. Podstawowym celem operacji jest zachowanie jakości życia i kontrola dolegliwości, zatem dąży się do wykonywania zabiegów oszczędzających i zachowujących funkcję. Próby osiągnięcia marginesów chirurgicznych wolnych od nacieku nowotworowego mogą prowadzić do nadmiernych deficytów funkcjonalnych, a ponadto mogą nie zapobiec nawrotowi choroby[37]. Zatem korzyści z szerokiego i całkowitego wycięcia muszą być zbalansowane do ryzyka znacznego kalectwa i zaburzeń funkcjonalnych[65][62][29]. W leczeniu operacyjnym dąży się do resekcji guza z osiągnięciem marginesów chirurgicznych wolnych od nacieku nowotworowego, jednak zabieg powinien wiązać się z jak najmniejszymi zaburzeniami czynnościowymi[62][57][9].
U większości chorych przyjmuje się strategię czujnej obserwacji (watchful waiting). Operację wykonuje się, gdy guz desmoidalny wywołuje objawy lub znajduje się w obszarze, w którym progresja choroby wiązałaby się z nasilonymi dolegliwościami lub zagrażała życiu chorego, szczególnie w obrębie głowy i szyi[5][60].
Rola marginesów chirurgicznych wolnych od nacieków nowotworu w miejscowej kontroli choroby jest niejasna[61][66]. Część badań wskazuje, że dodatnie marginesy chirurgiczne (z naciekiem nowotworowym) są niezależnym czynnikiem ryzyka nawrotu choroby[67][68][69][70], a część z nich nie wykazała związku dodatnich marginesów z ryzykiem nawrotu choroby[63][71]. Nie wykazano różnicy w medianie przeżycia wolnego od nawrotu (RFS) pomiędzy chorymi, u których osiągnięto operację z wolnymi od nacieku marginesami chirurgicznymi, a chorymi, u których uzyskano marginesy z mikroskopowym naciekiem nowotworowym[60][72][73][74]. Zatem osiągnięcie jedynie marginesów z mikroskopowym naciekiem nowotworowym (resekcja R1) wolnych makroskopowo od nacieku nowotworowego jest akceptowalne, gdy osiągnięcie marginesu resekcji wolnego mikroskopowo od nacieku nowotworu (resekcja R0) wiązałaby się z nadmiernym kalectwem[60]. U chorych z marginesem z mikroskopowym naciekiem nowotworowym (R1) alternatywą do obserwacji jest reoperacja[60]. Chorzy, u których nie udało się osiągnąć marginesów makroskopowo wolnych od nacieku nowotworowego (resekcja R2), są leczeni na zasadach leczenia choroby nieoperacyjnej[60].
Radioterapia
Radioterapia znajduje zastosowanie jako leczenie adiuwantowe po resekcji guza desmoidalnego, a także jako samodzielna metoda w leczeniu choroby nieoperacyjnej lub guza, który uległ progresji podczas obserwacji[5][60]. Radioterapię pooperacyjną stosuje się u niektórych chorych z wysokim ryzykiem nawrotu choroby po resekcji guza[60]. Ze względu na odległe działania niepożądane radioterapii, co jest szczególnie istotne u osób młodych, przed kwalifikacją do leczenia bierze się pod uwagę korzyści z zastosowania tej metody i ewentualne niekorzystne jej następstwa[29]. W kilku badaniach zaobserwowano poprawę kontroli miejscowej choroby po zastosowaniu radioterapii w ramach leczenia uzupełniającego po zabiegu chirurgicznym[75][76][77][70]; w kilku innych badaniach nie zaobserwowano takiej korzyści[73][78][63][79].
Leczenie choroby nieoperacyjnej i nawrotowej
W leczeniu choroby nieoperacyjnej (niemożliwej do wyleczenia metodami chirurgicznymi) oraz nawrotu choroby opcjami terapeutycznymi są leczenie ogólnoustrojowe oraz radioterapia[80][55].
Leczenie ogólnoustrojowe
Leczenie ogólnoustrojowe jest konieczne, gdy podczas obserwacji guza desmoidalnego stwierdza się jego progresję, a leczenie operacyjne wiązałoby się z dużymi zaburzeniami funkcjonalnymi. Leczenie ogólnoustrojowe wykorzystuje się również w terapii choroby nawrotowej. Brak dużych randomizowanych badań oceniających skuteczność i toksyczność stosowanych metod leczenia ogólnoustrojowego nie pozwala jednoznacznie wskazać optymalnej strategii leczenia. Postępowanie jest indywidualizowane i podczas wyboru optymalnej metody terapii pod uwagę bierze się dynamikę wzrostu guza, jego lokalizację i wywoływane objawy, spodziewaną długość leczenia i profil toksyczności[9]. W leczeniu ogólnoustrojowym stosuje się chemioterapię z programami z niskimi dawkami cytostatyków opartą na połączeniu metotreksatu z winblastyną albo winorelbiną, inhibitory kinazy tyrozynowej (imatynib, sorafenib) lub chemioterapię opartą na antracyklinach, przede wszystkim na doksorubicynie i jej formie liposomalnej[9].
Antyestrogeny i niesteroidowe leki przeciwzapalne
W leczeniu guzów desmoidalnych stosuje się antyestrogeny takie jak tamoksyfen (hormonoterapia), które mogą być stosowane samodzielnie lub w połączeniu z niesteroidowymi lekami przeciwzapalnymi[29]. Z uwagi na małą toksyczność połączenie antyestrogenu z niesteroidowym lekiem przeciwzapalnym często jest stosowane w pierwszej linii leczenia ogólnoustrojowego[37].
Zastosowanie w leczeniu antyestrogenów opierało się na obserwacji związku guza desmoidalnego z ciążą oraz regresją nowotworu po menopauzie[37]. Zdecydowana większość guzów desmoidalnych wykazuje ekspresję receptora estrogenowego[37], jednak odsetek odpowiedzi na antyestrogeny jest niski[37][81]. Najwięcej danych oceniających zastosowanie antyestrogenów dotyczy tamoksyfenu, jednak nie ma dostępnych wyników badań klinicznych na dużych seriach chorych oceniających leczenia antyestrogenami[37]. W przeglądzie Janinis i współpracowników publikacji dotyczących zastosowania tamoksyfenu na podstawie dostępnych danych nie udało się ustalić optymalnej dawki[82]. Jedno nierandomizowane badanie sugeruje, że wyższe dawki tamoksyfenu (120–200 mg dziennie) mogą być skuteczniejsze niż niższe (10–40 mg dziennie)[83].
W guzie desmoidalnym obserwuje się zaburzenia szlaku Wnt/β-katenina, który za pośrednictwem COX-2 wpływa na konstytutywną aktywność PDGFRA i PDGFRB, zatem uzasadnia to zastosowanie w leczeniu niesteroidowych leków przeciwzapalnych będących inhibitorami COX-2[5][84]. Wdrożenie do leczenia guza desmoidalnego niesteroidowych leków przeciwzapalnych jest oparte na obserwacji regresji nowotworu po włączeniu do leczenia popromiennego zapalenia wsierdzia indometacyny[37][85]. W leczeniu guza desmoidalnego stosuje się sulindak, indometacynę i meloksykam[86]. W małych nierandomizowanych badaniach oceniano skuteczność sulindaku i indometacyny, obserwując częściowe i całkowite odpowiedzi na te leki[37]. Nie istnieją randomizowane badania oceniające skuteczność połączenia antyestrogenów i niesteroidowych leków przeciwzapalnych, ale skojarzenie obu leków prawdopodobnie wykazuje większą skuteczność w leczeniu tej choroby[5]. W prospektywnym badaniu połączenie antyestrogenu tamoksyfenu i niesteroidowego leku przeciwzapalnego sulindaku wywoływało stabilizację choroby[83][87][5].
Chemioterapia
Chemioterapia jest jedną z metod leczenia ogólnoustrojowego stosowaną w terapii guzów nieoperacyjnych, ulegających progresji podczas leczenia antyestrogenami, zmian wykazujących agresywny wzrost dających nasilone objawy lub zlokalizowanych w pobliżu krytycznych struktur i zagrażających życiu chorego[9]. Ze względu na działania niepożądane zwykle jest wykorzystywana jako leczenie kolejnego rzutu po progresji podczas obserwacji i nieskuteczności leczenia hormonalnego z lub bez niesteroidowych leków przeciwzapalnych[5][40]. Jednak w przypadku zmian wykazujących szybką progresję, nasilone objawy lub zlokalizowanych w pobliżu krytycznych struktur i zagrażających życiu chorego chemioterapię stosuje się już w pierwszej linii leczenia[40][9]. W chemioterapii guza desmoidalnego wykorzystuje się programy oparte na połączeniu metotreksatu z winblastyną lub doksorubicyny z dakarbazyną[29][87]. W przeglądzie Janinis i współpracowników kilkunastu badań oceniających wykorzystywane w leczeniu programy chemioterapii, w tym połączenia metotreksatu z winblastyną lub winorelbiną, doksorubicyny z dakarbazyną, doksorubicyny z cyklofosfamidem i winkrystyną, mediana odpowiedzi na leczenie wynosiła około 50%[82][5].
Połączenie metotreksatu i winorelbiny w niskich dawkach podawane zwykle przez okres około 1 roku pozwala na kontrolę choroby z akceptowalną toksycznością[88][9]. W populacji pediatrycznej połączenie metotreksatu i winorelbiny w niskich dawkach pozwoliło na kontrolę choroby u 18 chorych z 27 badanych[89]. U osób dorosłych podczas długoterminowego leczenia schemat jest dość toksyczny i unika się jego podawania powyżej jednego roku[90][37]. W badaniu Azzarelli i współpracowników połączenie metotreksatu z winblastyną wywołało 40% odsetek odpowiedzi obiektywnych[91]. W badaniu Weiss i współpracowników 80% leczonych metotreksatem z winorelbiną zgłosiło poprawę nasilenia dolegliwości bólowych, a u 60% zaobserwowano obiektywną odpowiedź[92].
Pełnodawkowa chemioterapia wykorzystuje programy stosowane w leczeniu mięsaków oparte na doksorubicynie (antracyklina) lub ifosfamid[88]. Doksorubicyna daje stosunkową szybką kliniczną odpowiedź w postaci redukcji dolegliwości bólowych, a stabilizacja radiologiczna zmiany pojawia się później i utrzymuje się długo po zakończeniu leczenia cytostatykiem[93][9]. Z powodu kardiotoksyczności zwykle podaje się 6–8 kursów antracyklin[9]. W badaniu na 11 chorych wykazano aktywność połączenia doksorubicyny z dakarbazyną w leczeniu guza desmoidalnego[94]. We francuskim badaniu na 62 chorych oceniano skuteczność chemioterapii w leczeniu guza desmoidalnego i porównano odsetek odpowiedzi schematów opartych na antracyklinach z programami bez antracyklin, głównie metotreksatu z winorelbiną. Zaobserwowano wyższy odsetek odpowiedzi u chorych leczonych programami zawierającymi doksorubicynę w porównaniu do programów nie zawierających tego leku, odsetek odpowiedzi wynosił odpowiednio 54% dla schematów z doksorubicyną i 12% dla schematów bez doksorubicyny[95]. Pegylowana liposomalna doksorubicyna charakteryzująca się mniejszą kardiotoksycznością w porównaniu do doksorubicyny wykazuje aktywność w leczeniu guza desmoidalnego[96][97][29]. W małym badaniu potwierdzono aktywność ifosfamidu w połączeniu z etopozydem z lub bez mitomycyny[98].
Guz desmoidalny posiada receptory PDGFR oraz KIT, co uzasadnia stosowanie inhibitorów kinazy tyrozynowej takich jak imatynib czy sorafenib[5][29]. W nierandomizowanych badaniach II fazy imatynib wykazywał wysoki odsetek stabilizacji choroby, ale niski odsetek odpowiedzi[9][99][100][101]. Odpowiedź na imatynib nie koreluje ze statusem mutacji KIT[102][29]. Sugeruje to, że lek działa poprzez blokadę innych elementów szlaku sygnalizacyjnego takich jak PDGFR[29]. Sorafenib również jest inhibitorem kinazy tyrozynowej. W badaniu na 26 chorych sorafenib wykazał aktywność w leczeniu guza desmoidalnego, w badaniu u 25% zaobserwowano obiektywną odpowiedź[103][5].
Radioterapia
Radioterapia znajduje zastosowanie w leczeniu objawowej choroby nieoperacyjnej lub nawrotu choroby w obrębie kończyn, głowy i szyi oraz tułowia[5][80]. Radioterapia nie jest zalecana w przypadku lokalizacji guza w przestrzeni zaotrzewnowej oraz wewnątrzbrzusznie[80]. Również podczas kwalifikacji do radioterapii pod uwagę bierze się późne niekorzystne następstwa leczenia, szczególnie, że leczeniu często poddaje się osoby młode[5]. W badaniu na 44 chorych zaobserwowano trzyletnią kontrolę miejscową u 81% leczonych[104]. W innym badaniu na 13 chorych wykazano 92% odsetek kontroli miejscowej po 3 latach[71].
Izolowana perfuzja kończyny
Izolowana perfuzja kończyny w hipertermii z podaniem melfalanu i TNF-α znajduje zastosowanie w leczeniu guzów desmoidalnych zlokalizowanych w obrębie kończyn, gdy leczenie chirurgiczne mogłoby się wiązać z nieakceptowalnym upośledzeniem funkcji kończyny lub amputacją[29]. W retrospektywnym badaniu po ponad 80 miesiącach obserwacji metoda prowadziła do stabilizacji lub regresji guza u 60% leczonych[105].
Rokowanie
Nowotwór charakteryzuje się bardzo wysokim odsetkiem nawrotów po leczeniu chirurgicznym, jednak śmiertelność spowodowana lokalnym wzrostem guza nie przekracza 10%[106].
Historia
Guz desmoidalny został opisany przez Müllera w 1838 roku. Termin „desmoid” pochodzi z greckiego δεσμοσ co oznacza „ścięgnisty” i został wprowadzony przez Müllera w 1838 roku[29][107].
Weterynaria
Guz desmoidalny jest stosunkowo rzadkim nowotworem u innych zwierząt, choć opisano jego występowanie u kilku gatunków, przede wszystkim u koni i psów[108]. Przebieg kliniczny i obraz mikroskopowy nie odbiega od tego opisanego u ludzi[109]. Podstawową metodą leczenia jest chirurgiczna resekcja guza[109].
Klasyfikacja ICD10
| kod ICD10 | nazwa choroby |
|---|---|
| ICD-10: D48 | Nowotwory o niepewnym lub nieznanym charakterze o innym i nieokreślonym umiejscowieniu |
| ICD-10: D48.1 | Tkanka łączna i inne tkanki miękkie |
Przypisy
- ↑ Krzakowski i in. 2015 ↓, s. 882.
- 1 2 3 4 5 6 7 8 9 10 Goldblum, Weiss i Folpe 2013 ↓, s. 289.
- 1 2 3 4 5 6 7 8 9 10 11 12 13 Fletcher, Unni i Mertens 2002 ↓, s. 83.
- 1 2 Krzakowski i in. 2015 ↓, s. 878–879.
- 1 2 3 4 5 6 7 8 9 10 11 12 13 14 15 16 17 18 19 20 21 22 23 24 25 N. Eastley, T. McCulloch, C. Esler, I. Hennig i inni. Extra-abdominal desmoid fibromatosis: A review of management, current guidance and unanswered questions. „Eur J Surg Oncol”. 42 (7), s. 1071–1083, 2016. DOI: 10.1016/j.ejso.2016.02.012. PMID: 26965303.
- ↑ Anna Nasierowska-Guttmejer, Barbara Górnicka: Zalecenia do diagnostyki histopatologicznej nowotworów. Warszawa: Centrum Onkologii, Oddział Gliwice; Polskie Towarzystwo Patologów, 2013, s. 350. ISBN 978-83-909137-1-1.
- ↑ Rutkowski 2015 ↓, s. 259.
- ↑ Anna Nasierowska-Guttmejer, Barbara Górnicka: Zalecenia do diagnostyki histopatologicznej nowotworów. Warszawa: Centrum Onkologii, Oddział Gliwice; Polskie Towarzystwo Patologów, 2013. ISBN 978-83-909137-1-1.
- 1 2 3 4 5 6 7 8 9 10 11 12 13 B. Kasper. Systemic treatment approaches for sporadic desmoid-type fibromatosis: scarce evidence and recommendations. „Oncol Res Treat”. 38 (5), s. 244–248, 2015. DOI: 10.1159/000381909. PMID: 25896775.
- ↑ M. Ghert, X. Yao, T. Corbett, A.A. Gupta i inni. Treatment and follow-up strategies in desmoid tumours: a practice guideline. „Curr Oncol”. 21 (4), 2014. DOI: 10.3747/co.21.2112. PMID: 25089635.
- ↑ J.J. Reitamo, P. Häyry, E. Nykyri, E. Saxén. The desmoid tumor. I. Incidence, sex-, age- and anatomical distribution in the Finnish population. „Am J Clin Pathol”. 77 (6), s. 665–673, 1982. PMID: 7091046.
- ↑ D.L. van Broekhoven, D.J. Grünhagen, M.A. den Bakker, T. van Dalen i inni. Time trends in the incidence and treatment of extra-abdominal and abdominal aggressive fibromatosis: a population-based study. „Ann Surg Oncol”. 22 (9), s. 2817–2823, 2015. DOI: 10.1245/s10434-015-4632-y. PMID: 26045393.
- 1 2 3 Rutkowski i Nowecki 2009 ↓, s. 199.
- 1 2 Brennan, Antonescu i Maki 2012 ↓, s. 161.
- ↑ Rutkowski 2015 ↓, s. 257.
- ↑ Szymon Kawecki, Łukasz Nyk, Przemysław Szostek, Jakub Dobruch. Zwężenie moczowodu w następstwie guza włókniakowatego przestrzeni zaotrzewnowe. „Postępy Nauk Medycznych”, 2016.
- 1 2 3 4 5 6 7 8 Goldblum, Weiss i Folpe 2013 ↓, s. 294.
- 1 2 3 J.J. Reitamo, T.M. Scheinin, P. Häyry. The desmoid syndrome. New aspects in the cause, pathogenesis and treatment of the desmoid tumor. „Am J Surg”. 151 (2), s. 230–237, 1986. PMID: 3946757.
- 1 2 3 Goldblum, Weiss i Folpe 2013 ↓, s. 288.
- 1 2 3 Goldblum, Weiss i Folpe 2013 ↓, s. 295.
- 1 2 3 J.J. Lewis, P.J. Boland, D.H. Leung, J.M. Woodruff i inni. The enigma of desmoid tumors. „Ann Surg”. 229 (6), s. 866–873, 1999. PMID: 10363901.
- 1 2 3 4 5 Goldblum, Weiss i Folpe 2013 ↓, s. 299.
- ↑ Litchman 2011 ↓, s. 78.
- ↑ Brennan, Antonescu i Maki 2012 ↓, s. 165–166.
- ↑ F.M. Enzinger, M. Shiraki. Musculo-aponeurotic fibromatosis of the shoulder girdle (extra-abdominal desmoid). Analysis of thirty cases followed up for ten or more years. „Cancer”. 20 (7), s. 1131–1140, 1967. PMID: 6027003.
- ↑ A. McDougall, G. McGarrity. Extra-abdominal desmoid tumours. „J Bone Joint Surg Br”. 61-B (3), s. 373–377, 1979. PMID: 479262.
- ↑ N.H. Jenkins, L.S. Freedman, B. McKibbin. Spontaneous regression of a desmoid tumour. „J Bone Joint Surg Br”. 68 (5), s. 780–781, 1986. PMID: 3782245.
- 1 2 S. Bonvalot, N. Ternès, M. Fiore, G. Bitsakou i inni. Spontaneous regression of primary abdominal wall desmoid tumors: more common than previously thought. „Ann Surg Oncol”. 20 (13), s. 4096–4102, 2013. DOI: 10.1245/s10434-013-3197-x. PMID: 24052312.
- 1 2 3 4 5 6 7 8 9 10 11 12 13 14 15 16 17 M. Al-Jazrawe, M. Au, B. Alman. Optimal therapy for desmoid tumors: current options and challenges for the future. „Expert Rev Anticancer Ther”. 15 (12), s. 1443–1458, 2015. DOI: 10.1586/14737140.2015.1096203. PMID: 26472625.
- ↑ Stachura i Domagała 2009 ↓, s. 1227.
- 1 2 3 4 S. Devata, R. Chugh. Desmoid tumors: a comprehensive review of the evolving biology, unpredictable behavior, and myriad of management options. „Hematol Oncol Clin North Am”. 27 (5), s. 989–1005, 2013. DOI: 10.1016/j.hoc.2013.07.008. PMID: 24093172.
- 1 2 3 4 5 6 7 Litchman 2011 ↓, s. 8–13.
- 1 2 M.V. Enzo, M. Rastrelli, C.R. Rossi, U. Hladnik i inni. The Wnt/β-catenin pathway in human fibrotic-like diseases and its eligibility as a therapeutic target. „Mol Cell Ther”. 3, s. 1, 2015. DOI: 10.1186/s40591-015-0038-2. PMID: 26056602.
- ↑ S. Cheon, R. Poon, C. Yu, M. Khoury i inni. Prolonged beta-catenin stabilization and tcf-dependent transcriptional activation in hyperplastic cutaneous wounds. „Lab Invest”. 85 (3), s. 416–425, 2005. DOI: 10.1038/labinvest.3700237. PMID: 15654359.
- ↑ N.A. Mignemi, D.M. Itani, J.H. Fasig, V.L. Keedy i inni. Signal transduction pathway analysis in desmoid-type fibromatosis: transforming growth factor-β, COX2 and sex steroid receptors. „Cancer Sci”. 103 (12), s. 2173–2180, 2012. DOI: 10.1111/cas.12037. PMID: 23035734.
- 1 2 A.J. Lazar, D. Tuvin, S. Hajibashi, S. Habeeb i inni. Specific mutations in the beta-catenin gene (CTNNB1) correlate with local recurrence in sporadic desmoid tumors. „Am J Pathol”. 173 (5), s. 1518–1527, 2008. DOI: 10.2353/ajpath.2008.080475. PMID: 18832571.
- 1 2 3 4 5 6 7 8 9 10 B. Kasper, P. Ströbel, P. Hohenberger. Desmoid tumors: clinical features and treatment options for advanced disease. „Oncologist”. 16 (5), s. 682–693, 2011. DOI: 10.1634/theoncologist.2010-0281. PMID: 21478276.
- 1 2 M. Lacroix-Triki, F.C. Geyer, M.B. Lambros, K. Savage i inni. β-catenin/Wnt signalling pathway in fibromatosis, metaplastic carcinomas and phyllodes tumours of the breast. „Mod Pathol”. 23 (11), s. 1438–1448, 2010. DOI: 10.1038/modpathol.2010.141. PMID: 20693983.
- 1 2 3 4 Goldblum, Weiss i Folpe 2013 ↓, s. 297.
- 1 2 3 4 5 V.P. Grignol, R. Pollock, J.H. Howard. Management of Desmoids. „Surg Clin North Am”. 96 (5), s. 1015–1030, 2016. DOI: 10.1016/j.suc.2016.05.008. PMID: 27542640.
- 1 2 Markku Miettinen: Modern Soft Tissue Pathology: Tumors and Non-Neoplastic Conditions. Cambridge University Press, 2010, s. 251–252. ISBN 978-0-521-87409-0.
- ↑ E.J. Groen, A. Roos, F.L. Muntinghe, R.H. Enting i inni. Extra-intestinal manifestations of familial adenomatous polyposis. „Ann Surg Oncol”. 15 (9), s. 2439–2450, 2008. DOI: 10.1245/s10434-008-9981-3. PMID: 18612695.
- ↑ E. Half, D. Bercovich, P. Rozen. Familial adenomatous polyposis. „Orphanet J Rare Dis”. 4, s. 22, 2009. DOI: 10.1186/1750-1172-4-22. PMID: 19822006.
- ↑ P. Häyry, J.J. Reitamo, S. Tötterman, D. Hopfner-Hallikainen i inni. The desmoid tumor. II. Analysis of factors possibly contributing to the etiology and growth behavior. „Am J Clin Pathol”. 77 (6), s. 674–680, 1982. PMID: 7091047.
- ↑ K. Dhingra. Antiestrogens-tamoxifen, SERMs and beyond. „Invest New Drugs”. 17 (3), s. 285–311, 1999. PMID: 10665480.
- ↑ G.A. Santos, I.W. Cunha, R.M. Rocha, C.A. Mello i inni. Evaluation of estrogen receptor alpha, estrogen receptor beta, progesterone receptor, and cKIT expression in desmoids tumors and their role in determining treatment options. „Biosci Trends”. 4 (1), s. 25–30, 2010. PMID: 20305341.
- ↑ Razelle Kurzrock, Maurie Markman: Targeted Cancer Therapy. Springer Science & Business Media, 2008, s. 327–328. ISBN 978-1-60327-424-1.
- ↑ N.J. Sturt, S.K. Clark. Current ideas in desmoid tumours. „Fam Cancer”. 5 (3), s. 275–288, 2006. DOI: 10.1007/s10689-005-5675-1. PMID: 16998673.
- ↑ A.K. Gurbuz, F.M. Giardiello, G.M. Petersen, A.J. Krush i inni. Desmoid tumours in familial adenomatous polyposis. „Gut”. 35 (3), s. 377–381, Mar 1994. PMID: 8150351.
- 1 2 3 4 5 6 7 8 9 10 11 12 13 G. Guglielmi, A. Cifaratti, G. Scalzo, N. Magarelli. Imaging of superficial and deep fibromatosis. „Radiol Med”. 114 (8), s. 1292–1307, 2009. DOI: 10.1007/s11547-009-0458-7. PMID: 19789958.
- 1 2 3 4 5 6 7 E.A. Walker, J.M. Petscavage, P.L. Brian, C.I. Logie i inni. Imaging features of superficial and deep fibromatoses in the adult population. „Sarcoma”. 2012, 2012. DOI: 10.1155/2012/215810. PMID: 22966216.
- ↑ Y. Wang, J. Tang, Y. Luo. Sonographic diagnosis of fibromatosis. „J Clin Ultrasound”. 36 (6). s. 330–334. DOI: 10.1002/jcu.20483. PMID: 18446862.
- ↑ Fletcher, Unni i Mertens 2002 ↓, s. 84.
- ↑ Goldblum, Weiss i Folpe 2013 ↓, s. 290.
- 1 2 von Mehren i in. 2016 ↓, s. 30.
- ↑ von Mehren i in. 2016 ↓, s. 91–92.
- 1 2 3 Rutkowski i Nowecki 2009 ↓, s. 260.
- 1 2 S. Briand, O. Barbier, D. Biau, A. Bertrand-Vasseur i inni. Wait-and-see policy as a first-line management for extra-abdominal desmoid tumors. „J Bone Joint Surg Am”. 96 (8), s. 631–638, 2014. DOI: 10.2106/JBJS.M.00988. PMID: 24740659.
- ↑ C. Colombo, R. Miceli, C. Le Péchoux, E. Palassini i inni. Sporadic extra abdominal wall desmoid-type fibromatosis: surgical resection can be safely limited to a minority of patients. „Eur J Cancer”. 51 (2), s. 186–192, 2015. DOI: 10.1016/j.ejca.2014.11.019. PMID: 25500145.
- 1 2 3 4 5 6 7 8 9 von Mehren i in. 2016 ↓, s. 92.
- 1 2 von Mehren i in. 2016 ↓, s. 91.
- 1 2 3 Brennan, Antonescu i Maki 2012 ↓, s. 166.
- 1 2 3 A. Gronchi, P.G. Casali, L. Mariani, S. Lo Vullo i inni. Quality of surgery and outcome in extra-abdominal aggressive fibromatosis: a series of patients surgically treated at a single institution. „J Clin Oncol”. 21 (7), s. 1390–1397, 2003. DOI: 10.1200/JCO.2003.05.150. PMID: 12663732.
- ↑ M.G. Rock, D.J. Pritchard, H.M. Reiman, E.H. Soule i inni. Extra-abdominal desmoid tumors. „J Bone Joint Surg Am”. 66 (9), s. 1369–1374, 1984. PMID: 6501332.
- ↑ Litchman 2011 ↓, s. 79.
- ↑ M. Melis, J.S. Zager, V.K. Sondak. Multimodality management of desmoid tumors: how important is a negative surgical margin?. „J Surg Oncol”. 98 (8), s. 594–602, 2008. DOI: 10.1002/jso.21033. PMID: 19072851.
- ↑ P.D. Peng, O. Hyder, M.N. Mavros, R. Turley i inni. Management and recurrence patterns of desmoids tumors: a multi-institutional analysis of 211 patients. „Ann Surg Oncol”. 19 (13), s. 4036–4042, 2012. DOI: 10.1245/s10434-012-2634-6. PMID: 22972507.
- ↑ K. Huang, H. Fu, Y.Q. Shi, Y. Zhou i inni. Prognostic factors for extra-abdominal and abdominal wall desmoids: a 20-year experience at a single institution. „J Surg Oncol”. 100 (7), s. 563–569, 2009. DOI: 10.1002/jso.21384. PMID: 19722232.
- ↑ E. Stoeckle, J.M. Coindre, M. Longy, M.B. Binh i inni. A critical analysis of treatment strategies in desmoid tumours: a review of a series of 106 cases. „Eur J Surg Oncol”. 35 (2), s. 129–134, 2009. DOI: 10.1016/j.ejso.2008.06.1495. PMID: 18760561.
- 1 2 J.T. Mullen, T.F. Delaney, W.K. Kobayashi, J. Szymonifka i inni. Desmoid tumor: analysis of prognostic factors and outcomes in a surgical series. „Ann Surg Oncol”. 19 (13), s. 4028–4035, 2012. DOI: 10.1245/s10434-012-2638-2. PMID: 22965569.
- 1 2 I. Gluck, K.A. Griffith, J.S. Biermann, F.Y. Feng i inni. Role of radiotherapy in the management of desmoid tumors. „Int J Radiat Oncol Biol Phys”. 80 (3), s. 787–792, 2011. DOI: 10.1016/j.ijrobp.2010.02.053. PMID: 20615622.
- ↑ S. Salas, A. Dufresne, B. Bui, J.Y. Blay i inni. Prognostic factors influencing progression-free survival determined from a series of sporadic desmoid tumors: a wait-and-see policy according to tumor presentation. „J Clin Oncol”. 29 (26), s. 3553–3558, 2011. DOI: 10.1200/JCO.2010.33.5489. PMID: 21844500.
- 1 2 A.M. Crago, B. Denton, S. Salas, A. Dufresne i inni. A prognostic nomogram for prediction of recurrence in desmoid fibromatosis. „Ann Surg”. 258 (2), s. 347–353, 2013. DOI: 10.1097/SLA.0b013e31828c8a30. PMID: 23532110.
- ↑ J.M. Cates, T.P. Stricker. Surgical resection margins in desmoid-type fibromatosis: a critical reassessment. „Am J Surg Pathol”. 38 (12), s. 1707–1714, 2014. DOI: 10.1097/PAS.0000000000000276. PMID: 25392923.
- ↑ J.J. Nuyttens, P.F. Rust, C.R. Thomas, A.T. Turrisi. Surgery versus radiation therapy for patients with aggressive fibromatosis or desmoid tumors: A comparative review of 22 articles. „Cancer”. 88 (7), s. 1517–1523, 2000. PMID: 10738207.
- ↑ M.A. Spear, L.C. Jennings, H.J. Mankin, I.J. Spiro i inni. Individualizing management of aggressive fibromatoses. „Int J Radiat Oncol Biol Phys”. 40 (3), s. 637–645, 1998. PMID: 9486614.
- ↑ M.T. Ballo, G.K. Zagars, A. Pollack. Radiation therapy in the management of desmoid tumors. „Int J Radiat Oncol Biol Phys”. 42 (5), s. 1007–1014, 1998. PMID: 9869223.
- ↑ K. Huang, C.M. Wang, J.G. Chen, C.Y. Du i inni. Prognostic factors influencing event-free survival and treatments in desmoid-type fibromatosis: analysis from a large institution. „Am J Surg”. 207 (6), s. 847–854, 2014. DOI: 10.1016/j.amjsurg.2013.08.007. PMID: 24119719.
- ↑ W.G. Zeng, Z.X. Zhou, J.W. Liang, H.R. Hou i inni. Prognostic factors for desmoid tumor: a surgical series of 233 patients at a single institution. „Tumour Biol”. 35 (8), s. 7513–7521, 2014. DOI: 10.1007/s13277-014-2002-1. PMID: 24789435.
- 1 2 3 von Mehren i in. 2016 ↓, s. 92–93.
- ↑ A.T. Deyrup, M. Tretiakova, A.G. Montag. Estrogen receptor-beta expression in extraabdominal fibromatoses: an analysis of 40 cases. „Cancer”. 106 (1), s. 208–213, 2006. DOI: 10.1002/cncr.21553. PMID: 16333857.
- 1 2 J. Janinis, M. Patriki, L. Vini, G. Aravantinos i inni. The pharmacological treatment of aggressive fibromatosis: a systematic review. „Ann Oncol”. 14 (2), s. 181–190, Feb 2003. PMID: 12562642.
- 1 2 A. Hansmann, C. Adolph, T. Vogel, A. Unger i inni. High-dose tamoxifen and sulindac as first-line treatment for desmoid tumors. „Cancer”. 100 (3), s. 612–620, 2004. DOI: 10.1002/cncr.11937. PMID: 14745880.
- ↑ S. Signoroni, M. Frattini, T. Negri, E. Pastore i inni. Cyclooxygenase-2 and platelet-derived growth factor receptors as potential targets in treating aggressive fibromatosis. „Clin Cancer Res”. 13 (17), s. 5034–5040, 2007. DOI: 10.1158/1078-0432.CCR-07-0336. PMID: 17785554.
- ↑ W.R. Waddell, R.E. Gerner. Indomethacin and ascorbate inhibit desmoid tumors. „J Surg Oncol”. 15 (1), s. 85–90, 1980. PMID: 7421272.
- ↑ Rutkowski i Nowecki 2009 ↓, s. 262.
- 1 2 von Mehren i in. 2016 ↓, s. 93.
- 1 2 S.B. Joglekar, P.S. Rose, F. Sim, S. Okuno i inni. Current perspectives on desmoid tumors: the mayo clinic approach. „Cancers (Basel)”. 3 (3), s. 3143–3155, 2011. DOI: 10.3390/cancers3033143. PMID: 24212949.
- ↑ S.X. Skapek, W.S. Ferguson, L. Granowetter, M. Devidas i inni. Vinblastine and methotrexate for desmoid fibromatosis in children: results of a Pediatric Oncology Group Phase II Trial. „J Clin Oncol”. 25 (5), s. 501–506, 2007. DOI: 10.1200/JCO.2006.08.2966. PMID: 17290057.
- ↑ R.L. van der Hul, C. Seynaeve, B.N. van Geel, J. Verweij. Low Dose Methotrexate and Vinblastine, Given Weekly to Patients With Desmoid Tumours, is Associated With Major Toxicity. „Sarcoma”. 7 (3-4), s. 153–157, 2003. DOI: 10.1080/13577140310001644779. PMID: 18521380.
- ↑ A. Azzarelli, A. Gronchi, R. Bertulli, J.D. Tesoro i inni. Low-dose chemotherapy with methotrexate and vinblastine for patients with advanced aggressive fibromatosis. „Cancer”. 92 (5), s. 1259–1264, 2001. PMID: 11571741.
- ↑ A.J. Weiss, S. Horowitz, R.D. Lackman, R.D. Lackmen. Therapy of desmoid tumors and fibromatosis using vinorelbine. „Am J Clin Oncol”. 22 (2), s. 193–195, 1999. PMID: 10199460.
- ↑ A. Constantinidou, R.L. Jones, M. Scurr, O. Al-Muderis i inni. Advanced aggressive fibromatosis: Effective palliation with chemotherapy. „Acta Oncol”. 50 (3), s. 455–461, 2011. DOI: 10.3109/0284186X.2010.509105. PMID: 20799916.
- ↑ S.R. Patel, H.L. Evans, R.S. Benjamin. Combination chemotherapy in adult desmoid tumors. „Cancer”. 72 (11), s. 3244–3247, 1993. PMID: 8242548.
- ↑ D. Garbay, A. Le Cesne, N. Penel, C. Chevreau i inni. Chemotherapy in patients with desmoid tumors: a study from the French Sarcoma Group (FSG). „Ann Oncol”. 23 (1), s. 182–186, 2012. DOI: 10.1093/annonc/mdr051. PMID: 21444357.
- ↑ A. Constantinidou, R.L. Jones, M. Scurr, O. Al-Muderis i inni. Pegylated liposomal doxorubicin, an effective, well-tolerated treatment for refractory aggressive fibromatosis. „Eur J Cancer”. 45 (17), s. 2930–2934, 2009. DOI: 10.1016/j.ejca.2009.08.016. PMID: 19767198.
- ↑ G. Wehl, J. Rossler, J.E. Otten, N. Boehm i inni. Response of progressive fibromatosis to therapy with liposomal doxorubicin. „Onkologie”. 27 (6), s. 552–556, 2004. DOI: 10.1159/000081337. PMID: 15591714.
- ↑ S.H. Okuno, J.H. Edmonson. Combination chemotherapy for desmoid tumors. „Cancer”. 97 (4), s. 1134–1135, 2003. DOI: 10.1002/cncr.11189. PMID: 12569616.
- ↑ N. Penel, A. Le Cesne, B.N. Bui, D. Perol i inni. Imatinib for progressive and recurrent aggressive fibromatosis (desmoid tumors): an FNCLCC/French Sarcoma Group phase II trial with a long-term follow-up. „Ann Oncol”. 22 (2), s. 452–457, 2011. DOI: 10.1093/annonc/mdq341. PMID: 20622000.
- ↑ R. Chugh, J.K. Wathen, S.R. Patel, R.G. Maki i inni. Efficacy of imatinib in aggressive fibromatosis: Results of a phase II multicenter Sarcoma Alliance for Research through Collaboration (SARC) trial. „Clin Cancer Res”. 16 (19), s. 4884–4891, 2010. DOI: 10.1158/1078-0432.CCR-10-1177. PMID: 20724445.
- ↑ M.C. Heinrich, G.A. McArthur, G.D. Demetri, H. Joensuu i inni. Clinical and molecular studies of the effect of imatinib on advanced aggressive fibromatosis (desmoid tumor). „J Clin Oncol”. 24 (7), s. 1195–1203, 2006. DOI: 10.1200/JCO.2005.04.0717. PMID: 16505440.
- ↑ A. Dufresne, L. Alberti, M. Brahmi, S. Kabani i inni. Impact of KIT exon 10 M541L allelic variant on the response to imatinib in aggressive fibromatosis: analysis of the desminib series by competitive allele specific Taqman PCR technology. „BMC Cancer”. 14, s. 632, 2014. DOI: 10.1186/1471-2407-14-632. PMID: 25174682.
- ↑ M.M. Gounder, R.A. Lefkowitz, M.L. Keohan, D.R. D’Adamo i inni. Activity of Sorafenib against desmoid tumor/deep fibromatosis. „Clin Cancer Res”. 17 (12), s. 4082–4090, 2011. DOI: 10.1158/1078-0432.CCR-10-3322. PMID: 21447727.
- ↑ R.B. Keus, R.A. Nout, J.Y. Blay, J.M. de Jong i inni. Results of a phase II pilot study of moderate dose radiotherapy for inoperable desmoid-type fibromatosis--an EORTC STBSG and ROG study (EORTC 62991-22998). „Ann Oncol”. 24 (10), s. 2672–2676, 2013. DOI: 10.1093/annonc/mdt254. PMID: 23868907.
- ↑ D.L. van Broekhoven, J.P. Deroose, S. Bonvalot, A. Gronchi i inni. Isolated limb perfusion using tumour necrosis factor α and melphalan in patients with advanced aggressive fibromatosis. „Br J Surg”. 101 (13), s. 1674–1680, 2014. DOI: 10.1002/bjs.9659. PMID: 25296896.
- ↑ Jason L. Hornick: Practical Soft Tissue Pathology: A Diagnostic Approach: A Volume in the Pattern Recognition Series. Elsevier Health Sciences, 2013. ISBN 978-1-4557-3814-4.
- ↑ Müller J: Veber den Feinern Bau und die Formen der Krankhaftlichen Geschwulste. Berlin: G Reimer; 1838:80.
- ↑ Donald J. Meuten: Tumors in domestic animals. John Wiley & Sons, 2008, s. 240. ISBN 978-0-470-37670-6.
- 1 2 B.A. Valentine, F. Del Piero, R.B. Edwards. Intramuscular desmoid tumor (musculoaponeurotic fibromatosis) in two horses. „Vet Pathol”. 36 (5), s. 468–470, Sep 1999. DOI: 10.1354/vp.36-5-468. PMID: 10490218.
Bibliografia
- John R. Goldblum, Sharon W. Weiss, Andrew L. Folpe: Enzinger and Weiss’s Soft Tissue Tumors. Wyd. 6. Elsevier Health Sciences, 2013. ISBN 978-0-323-08834-3.
- Margaret von Mehren, R. Lor Randall, Robert S. Benjamin, Sarah Boles i inni. Soft Tissue Sarcoma Version 1.2016. „J Natl Compr Canc Netw”, 2016.
- Maciej Krzakowski, Piotr Potemski, Krzysztof Warzocha, Pior Wysocki: Onkologia kliniczna. T. II. Via Medica, 2015. ISBN 978-83-7599-796-5.
- Murray F. Brennan, Cristina R. Antonescu, Robert G. Maki: Management of Soft Tissue Sarcoma. Springer Science & Business Media, 2012.
- Jerzy Stachura, Wenancjusz Domagała: Patologia znaczy słowo o chorobie. T. II. Polska Akademia Umiejętności, 2009. ISBN 978-83-60184-02-8.
- Piotr Rutkowski: Biblioteka chirurga onkologa. Mięsaki tkanek miękkich. Via Medica, 2015. ISBN 978-83-7599-864-1.
- Vincent T. DeVita, Theodore S. Lawrence, Steven A. Rosenberg: Devita, Hellman & Rosenberg’s Cancer: Principles & Practice of Oncology. Wyd. 8. Lippincott Williams & Wilkins, 2008. ISBN 978-0-7817-7207-5.
- Piotr Rutkowski, Zbigniew Nowecki: Mięsaki tkanek miękkich u dorosłych. Medical Tribune, 2009. ISBN 978-83-60135-69-3.
- P.G. Casali, J.Y. Blay, A. Bertuzzi, S. Bielack i inni. Soft tissue and visceral sarcomas: ESMO Clinical Practice Guidelines for diagnosis, treatment and follow-up. „Ann Oncol”. 25 Suppl 3, s. iii102-12, Sep 2014. DOI: 10.1093/annonc/mdu254. PMID: 25210080.
- Christopher D.M. Fletcher, K. Krishnan Unni, Fredrik Mertens: Pathology and Genetics of Tumours of Soft Tissue and Bone. Lyon: IARC Press, 2002.
- Charisse Litchman: Desmoid Tumors. Springer Science & Business Media, 2011. ISBN 978-94-007-1685-8.
Przeczytaj ostrzeżenie dotyczące informacji medycznych i pokrewnych zamieszczonych w Wikipedii.
