Mięsak maziówkowy
| sarcoma synoviale | |
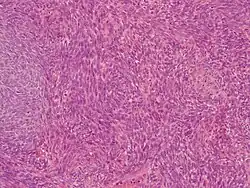
![]() Mięsak maziówkowy, obraz mikroskopowy | |
| Klasyfikacje | |
| ICD-10 |
C49 |
|---|---|
Mięsak maziówkowy, maziówczak złośliwy (łac. sarcoma synoviale, synovioma malignum) – rzadki nowotwór złośliwy należący do grupy mięsaków tkanek miękkich o nieznanym kierunku różnicowania i wysokiej złośliwości histologicznej. Jest to jeden z najczęściej występujących mięsaków tkanek miękkich u ludzi stanowiąc 5–10% wszystkich mięsaków tkanek miękkich. Występuje głównie u osób młodych, przede wszystkim przed 30. rokiem życia, nierzadko dotykając również młodzież[1]. Nowotwór lokalizuje się głównie w obrębie kończyn, przede wszystkim kończyn dolnych, czasem również górnych, a rzadziej pojawia się w dowolnej lokalizacji anatomicznej. Głównym objawem choroby jest obecność wyczuwalnego guza[1]. Wyróżnia się dwa warianty histopatologiczne mięsaka maziówkowego – częstszy jednofazowy, złożony z komórek wrzecionowatych lub bardzo rzadko z komórek nabłonkopodobnych, oraz rzadszy dwufazowy zawierający oba te elementy komórkowe w różnych proporcjach[2].
Badania obrazowe pozwalają na postawienie podejrzenia obecności mięsaka tkanek miękkich. W diagnostyce podstawowe znaczenie ma starannie zaplanowana biopsja gruboigłowa pozwalająca pobrać materiał do badania histopatologicznego ustalającego ostateczne rozpoznanie choroby[3]. Podstawową metodą leczenia choroby bez przerzutów jest szerokie wycięcie w granicach zdrowych tkanek z adiuwantową radioterapią. W chorobie z przerzutami lub chorobie nieoperacyjnej w pierwszej linii leczenia stosuje się doksorubicynę w monoterapii lub w połączeniu z ifosfamidem[4], w kolejnych liniach leczenia wykorzystuje się trabektedynę i pazopanib[5]. Odsetek przeżyć pięcioletnich jest oceniany na 64–76%[6].
Epidemiologia
Ocenia się, że mięsak maziówkowy stanowi około 5–10% wszystkich mięsaków tkanek miękkich u ludzi[1][7][8][9][10][11][12]. W pracy przeglądowej na 6000 chorych na mięsaka tkanek miękkich mięsak maziówkowy występował u 6% chorych[10][13]. Mięsak maziówkowy stanowi 12–15% przypadków mięsaków tkanek miękkich kończyn u dorosłych[12].
Nowotwór może występować w każdym wieku, jednak najczęściej pojawia się u młodzieży i młodych dorosłych w przedziale wiekowym pomiędzy 15. a 40. rokiem życia[1][14]. Mediana wieku zachorowania wynosi 35 lat[15]. W 45% przypadków pojawia się przed 30. rokiem życia[16][1], a 30% przypadków tego mięsaka dotyka osób przed 20. rokiem życia[17]. Nowotwór może występować u dzieci przed 10. rokiem życia, w tym także noworodków[1][18][19][20]. Mięsak maziówkowy częściej występuje u mężczyzn (1,2:1), nie stwierdza się różnic etnicznych i rasowych w występowaniu tego mięsaka[1].
Obraz kliniczny
Klinicznie mięsak maziówkowy manifestuje się jako wyczuwalny w badaniu palpacyjnym guz lub obrzęk w obrębie głębokich tkanek. Może występować ból lub bolesność palpacyjna. Guz może być przyczyną upośledzenia ruchomości kończyny[1].
Guz rośnie powoli i podstępnie, zwykle stwierdza się 2–4 letni wywiad występowania zmiany[1]. Nowotwór często rozwija się w okolicy stawów, przy czym samo zajęcie stawu jest rzadkie[21][1]. Guz jest związany ze ścięgnami, pochewkami ścięgien, kaletkami maziowymi, rzadziej pojawia się w obrębie więzadeł, rozcięgien, powięzi i błon międzykostnych[1]. Faktyczne zajęcie stawu jest obserwowane w 5% przypadków mięsaka maziówkowego[1][22].
Mięsak maziówkowy może występować w dowolnej lokalizacji[17], jednak 85–95% guzów występuje w obrębie kończyn, znacznie częściej w obrębie kończyny dolnej – w około 60% przypadków, kończyna górna jest umiejscowieniem guza w 25% przypadków[1]. W zakresie kończyny dolnej guz pojawia się zwykle w okolicy kolana, rzadziej stopy, stawu skokowego i biodrowego. W obrębie kończyny górnej mięsak bywa obecny w przedramieniu, łopatce, stawie łokciowym i w zakresie ręki. W 5–10% przypadków mięsak maziówkowy jest obecny w zakresie głowy i szyi oraz tułowia. Większość z tych guzów stwierdza się w tkance łącznej okołokręgosłupowej jako guz przestrzeni zagardłowej lub przygardłowej[1].
Historia naturalna
Nowotwór cechuje się znacznym zróżnicowaniem naturalnego przebiegu, który może przebierać formę od niemal indolentnej do wysoce agresywnej[23]. Początkowo nowotwór rośnie powoli, często stwierdza się kilkuletni wywiad obecności powoli rosnącej zmiany[1][14]. Większość mięsaków tkanek miękkich szerzy się drogą krwionośną, jednak mięsak maziówkowy cechuje się możliwością dawania przerzutów również drogą naczyń limfatycznych[24][25][26]. Typowo mięsaki tkanek miękkich wykazują tendencję do wczesnego dawania przerzutów[23], w mięsaku maziówkowym przerzuty w momencie rozpoznania dotyczą tylko 6% chorych[13], przy czym ostatecznie rozpoznaje się je później u około 50% chorych[27]. Przerzuty najczęściej pojawiają się w płucach, które stanowią lokalizację około 85% zmian wtórnych[17]. Kolejnymi lokalizacjami anatomicznymi pod względem częstości obserwowanych zmian przerzutowych są węzły chłonne i kości[6][28]. Przerzuty w węzłach chłonnych dotyczą 3–23% chorych, a przerzuty do kości pojawiają się u 10–20% chorych[27]. Lokalne węzły chłonne rzadko są zajęte[17] i przerzuty do lokalnych węzłów chłonnych stwierdza się do 3% chorych[29]. Mięsak maziówkowy cechuje się wysokim odsetkiem nawrotów[6][27], które manifestują się głównie poprzez pojawienie się przerzutów odległych, a w mniejszym stopniu jako wznowa miejscowa[13][30].
Histopatologia
Mięsak maziówkowy jest definiowany jako guz zbudowany z wrzecionowatych komórek wykazujących różnego stopnia zróżnicowanie w kierunku tkanki nabłonkowej wykazując typową translokację t(X;18)(p11;q11)[7]. Nowotwór wbrew swojej nazwie nie jest związany z błoną maziową[1]. Mimo że mikroskopowo przypomina błonę maziową, to nie ma dowodów na wywodzenie się z błony maziowej czy różnicowanie się w jej kierunku[1].
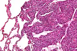
Mięsak maziówkowy składa się z dwóch komponentów odmiennych morfologicznie komórek – komórek wrzecionowatych przypominających włókniakomięsak oraz komórek nabłonkopodobnych podobnych do raka[2][31]. Na podstawie udziału obu komponentów oraz stopnia zróżnicowania wyróżnia się dwa warianty histopatologiczne mięsaka maziówkowego – dwufazowy (biphasic) oraz jednofazowy (monophasic). Dwufazowy mięsak maziówkowy zawiera komponent z komórek wrzecionowatych (jednofazowy włóknisty) oraz komponent zbudowany z komórek nabłonkopodobnych wymieszanych w różnych proporcjach. W jednofazowym mięsaku maziówkowym wyróżnia się warianty z komórek wrzecionowatych i z komórek nabłonkopodobnych[1][2][21][32]. Wariant niskozróżnicowany właściwie nie jest uważany za osobny podtyp mięsaka maziówkowego, a raczej za następstwo progresji wariantu dwufazowego lub jednofazowego[1].
Warianty histopatologiczne mięsaka maziówkowego[2][33][21]:
- dwufazowy (ang. biphasic)
- jednofazowy (ang. monophasic)
- wariant z komórek wrzecionowatych, typ wrzecionowatokomórkowy (ang. monophasic fibrous type)
- wariant z komórek nabłonkopodobnych, typ nabłonkowatokomórkowy (ang. monophasic epithelial type)
- wariant niskozróżnicowany (ang. poorly differentiated [round cell])


Makroskopowo wygląd mięsaka maziówkowego różni się w zależności od lokalizacji guza i tempa jego wzrostu. Guzy są związane ze ścięgnami lub pochewkami ścięgien, czasem makroskopowo są związane z torebką stawową. Nowotwór o wolnym tempie wzrostu bywa ostro odgraniczony, okrągły, zrazikowy, rosnąc w sposób ekspansywny uciska sąsiednie struktury i może zostać częściowo lub rzadziej całkowicie otoczony pseudotorebką. Na przekroju jest żółty do szarobiałego, zwykle osiąga średnicę 3–5 cm, ale bywają większe zmiany o wielkości 15 cm. Możliwa jest obecność torbielowatych przestrzeni, jednak rzadko mięsak jest makroskopowo wielotorbielowaty. Zwapnienia zwykle nie są widoczne makroskopowo, mimo że często są obecne w obrazie mikroskopowym[1][33]. Guzy szybko rosnące oraz wysokiej złośliwości histologicznej są znacznie słabiej odgraniczone, przyjmują bardziej pstry wygląd, mogą być kruche z widocznymi ogniskami martwicy, krwotoków i obecnością torbieli[34].
Mikroskopowo mięsak maziówkowy dwufazowy zawiera współistniejące dwie morfologicznie odmienne komponenty z komórek wrzecionowatych i nabłonkopodobnych o różnych wzajemnych proporcjach w tworzeniu utkania mięsaka[2].
Komponenta z komórek nabłonkopodobnych jest zbudowana z komórek od sześciennego do walcowatego kształtu, o dużym owalnym lub okrągłym jądrze z bogatą bladą cytoplazmą. Komórki tworzą gniazda, sznury lub struktury gruczołowe[7][2]. Czasem komórki o płaskim lub sześciennym kształcie pokrywają struktury brodawkowate lub kosmkowate z rdzeniem z komórek wrzecionowatych[2]. Możliwa jest metaplazja płaskonabłonkowa[7].
Komponentę z komórek wrzecionowatych budują jednolite komórki o wrzecionowatym kształcie z ubogą cytoplazmą, z małym, okrągłym jądrem komórkowym, granice komórek są niewyraźne, komórki są ułożone w gęste, równoległe arkusze, które przypominają utkanie włókniakomięsaka, zrąb zwykle jest skąpy[35][7]. Mogą występować obszary ubogokomórkowe wykazujące obszary hialinizacji, zwyrodnienia śluzowego oraz ogniskowe zwapnienia[35]. Guzy wykazują różny stopień unaczynienia, u części chorych mogą występować poszerzenia przestrzeni naczyniowych przypominające obłoniaka (hemangiopericytoma)[36]. Może występować naciek z mastocytów, który jest bardziej nasilony w komponencie z komórek wrzecionowatych[36]. Zarówno w komponencie z komórek nabłonkopodobnych, jak i wrzecionowatych występują figury mitotyczne, przy czym liczne figury mitotyczne towarzyszą wariantowi niskozróżnicowanemu[35]. Zwapnienia z lub bez tworzenia osteoidu mogą występować w 20–33% przypadków[37][35], zwapnienia mogą być niewielkie jako liczne, drobne, sferyczne konkrecje, ale również mogą zajmować znaczną objętość guza[35]. W części przypadków osteoid może naśladować kostniakomięsaka[37].
Wariant z komórek wrzecionowatych monofazowego mięsaka maziówkowego jest częstszy od dwufazowego. Ze względu na ścisły związek podtypu jednofazowego z dwufazowym wariant z komórek wrzecionowatych monofazowego mięsaka maziówkowego reprezentuje typowe cechy morfologiczne komponenty z komórek wrzecionowatych podtypu dwufazowego, w tym również cechy morfologiczne komórek, utkania, obecności ogniskowych zwapnień, zwyrodnienia szklistego, śluzowego, naczyń przypominających obłoniaka oraz nacieku mastocytów. W dużych próbkach tkankowych może być stwierdzone ognisko ewidentnej komponenty z komórek nabłonkopodobnych, wówczas nowotwór określa się mianem podtypu dwufazowego[36].
Wariant z komórek nabłonkopodobnych monofazowego mięsaka maziówkowego jest bardzo rzadki, jego odróżnienie od gruczolakoraka bez badań cytogenetycznych jest trudne[1]. Składa się on z komórek analogicznych do komórek nabłonkopodobnych podtypu dwufazowego mięsaka maziówkowego, komórki układają się w gniazda i struktury przypominające gruczoły[21].
Wariant niskozróżnicowany jest następstwem progresji innych podtypów mięsaka maziówkowego. Klinicznie nowotwór cechuje się bardziej agresywnym przebiegiem i większą tendencją do tworzenia przerzutów[38]. W utkaniu guza występują obszary o wysokiej komórkowości, są obecne liczne figury mitotyczne, a martwica jest wyraźnie widoczna[39]. Ocenia się, że w około 60% przypadków mięsaka maziówkowego występują ogniska niskiego zróżnicowania, a u 20% wzór niskiego zróżnicowania dominuje w utkaniu guza[38].
Etiologia
Etiologia choroby jest nieznana. Kluczowa dla powstawania mięsaka maziówkowego jest translokacja t(X;18)(p11;q11), jednak nie jest jasne, w jaki sposób translokacja prowadzi do transformacji nowotworowej[40].
- Translokacja t(X;18)(p11;q11)
Mięsak maziówkowy jest silnie związany ze zrównoważoną translokacją t(X;18)(p11;q11)[41][42]. Mutacja występuje w ponad 95% przypadków mięsaka maziówkowego[43] i jednocześnie nie występuje w innych typach histopatologicznych nowotworów u ludzi[44][41][42]. Prawdopodobnie w przypadku mięsaków maziówkowych o typowym obrazie histologicznym z niestwierdzalnymi transkryptami genów fuzyjnych SS18-SSX występują one w nietypowych wariantach niewykrywanych podczas rutynowej diagnostyki[42]. W wyniku translokacji dochodzi do fuzji genu SS18 położonego na chromosomie 18 z genem SSX1 albo SSX2 położonymi na chromosomie X[42]. Geny SSX kodują białka wiążące histony, gen SS18 koduje białko będące elementem kompleksu SWI/SNF remodulującego chromatynę biorącego udział w rozwoju embrionalnym poprzez wpływ na migrację komórek i organizację cytoszkieletu[42].
Powstały gen fuzyjny ulega konstytutywnej ekspresji, a powstała onkoproteina posiada domeny zarówno aktywujące, jak i hamujące ekspresję, ostatecznie zaburzając regulację wielu genów[41][42]. Lokalizacja translokacji koreluje z podtypem histopatologicznym mięsaka maziówkowego, gen fuzyjny SYT-SSX1 wiąże się z podtypem dwufazowym, a SYT-SSX2 z jednofazowym[43]. W badaniach in vitro SYT-SSX1 promował wzrost nowotworu podobnego do mięsaka maziówkowego[45].
- Pochodzenie i kierunek różnicowania mięsaka maziówkowego
Mięsak maziówkowy jest zaliczany do mięsaków o nieznanym kierunku różnicowania[7]. Obecność w utkaniu podtypu dwufazowego komórek wrzecionowatych i nabłonkopodobnych sugeruje potencjał do pluripotencjalnego różnicowania[41]. Ekspresja genu SS18-SSX w większości typów komórek ostatecznie prowadzi do ich śmierci, jednak mezenchymalne komórki macierzyste tolerują białko fuzyjne, które prowadzi do modyfikacji ekspresji wielu genów[41]. Ekspresja białek należących do szlaku wnt, Notch, hedgehog, FGF i BMP biorących udział w embriogenezie również przemawia za pochodzeniem mięsaka maziówkowego od wczesnych komórek prekursorowych lub komórek macierzystych[41].
Niektóre badania sugerują, że mięsak maziówkowy może być efektem transformacji nowotworowej niezróżnicowanych komórek prekursorowych mięśni szkieletowych. We wczesnych prekursorach komórek mięśniowych mioblastach linii Myf5 ekspresja genu fuzyjnego SS18-SSX2 powoduje powstanie nowotworu podobnego do mięsaka maziówkowego[46][41][47]. Za takim pochodzeniem tego mięsaka może również przemawiać fakt jego występowania w pobliżu lub w obrębie mięśni szkieletowych[46]. Ekspresja genu fuzyjnego SS18-SSX2 w późniejszych stadiach różnicowania mioblastów (Myf 6) nie indukowała powstawania nowotworu. Z drugiej strony w mięsaku maziówkowym nie obserwuje się markerów różnicowania w kierunku komórek mięśniowych[41].
- Wtórne zmiany genetyczne
Mięsak maziówkowy w porównaniu do innych nowotworów złośliwych cechuje się stosunkowo niewielką różnorodnością cytogenetyczną. W niemal połowie tych nowotworów nie stwierdza się żadnych aberracji chromosomalnych poza translokacją t(X;18)[41]. Zmiany genu supresorowego p53 nie są częste w mięsaku maziówkowym, choć jego funkcja może być zaburzona przez dysregulację innych genów biorących udział w kontroli p53[41]. Obserwuje się mutacje onkogenów PTEN, APC i CTNNB1 (β-katenina) prowadzące do zaburzenia szlaków PI3K/AKT/mTOR oraz szlaku Wnt/β-katenina[41].
Rozpoznanie
Podejrzenie mięsaka tkanek miękkich jest stawiane na podstawie obrazu klinicznego oraz wyników badań obrazowych. Kluczowe dla postawienia rozpoznania jest badanie histopatologiczne materiału uzyskanego drogą biopsji gruboigłowej[48].
Badania obrazowe
Badania obrazowe pozwalają na postawienie klinicznego podejrzenia mięsaka tkanek miękkich i staranne zaplanowanie biopsji, która z kolei umożliwia wykonanie badania histopatologicznego umożliwiającego ostateczne rozpoznanie[48]. Rezonans magnetyczny (MRI) preferuje się w diagnostyce guzów w lokalizacji kończynowej, w obrębie powłok tułowia oraz miednicy[3]. Mięsak maziówkowy nie posiada radiologicznych cech jednoznacznie wyróżniających go od innych mięsaków tkanek miękkich[49].
W zdjęciu rentgenowskim (RTG) może być widoczny okrągły lub owalny guz z obecnymi płacikami, czasem bywają widoczne zwapnienia w masie guza[34]. W 15–20% przypadków pojawiają się cechy inwazji kości z obecnością odczynu okostnowego, erozji lub nacieczenia kości[33][34]. Intensywna inwazja kości jest rzadka, zwykle dotyczy podtypu niskozróżnicowanego albo długiej obecności guzów o dużej masie. Na radiogramach bywa obserwowalne samoistne kontrastowanie się guza związane z obecnością drobnych zwapnień, co może sprawiać pewne trudności z różnicowaniem z pozaszkieletowym kostniakomięsakiem[34].
W ocenie punktu wyjścia oraz zaawansowania wykorzystuje się rezonans magnetyczny (MRI) i tomografię komputerową (TK)[34]. Rezonans magnetyczny pozwala na ocenę inwazji mięśni, kości i kluczowych struktur naczyniowo-nerwowych[42]. W MRI mięsak maziówkowy jest heterogennym guzem, w obrazach T2-zależnych widoczne są torbiele, obszary krwotoczne i obszary lite o sygnale wyższym niż mięśnie, a niższym niż tkanka tłuszczowa[50]. Tomografia komputerowa (TK) jest metodą o podobnej skuteczności co rezonans magnetyczny w ocenie zmian w przestrzeni pozaotrzewnowej i śródotrzewnowej[51][3].
Biopsja
_in_North_Sulawesi_120602-O-ZZ999-015.jpg)
Po postawieniu radiologicznego podejrzenia mięsaka tkanek miękkich konieczne jest uzyskanie materiału tkankowego do badania histopatologicznego. W tym celu wykonuje się biopsję gruboigłową[3]. Zaleca się wykonywanie biopsji w ośrodku posiadającym doświadczenie w leczeniu mięsaków tkanek miękkich, który będzie dalej prowadził leczenie chorego. Zabieg jest planowany w taki sposób, aby nie utrudniać wykonania radykalnej onkologicznie operacji, a blizna po zabiegu mogła być usunięta wraz z guzem[3][52].
Badanie histopatologiczne
Rozpoznanie mięsaków tkanek miękkich jest stawiane na podstawie obrazu histopatologicznego materiału uzyskanego drogą biopsji w którym ocenia się morfologię guza oraz cechy immunohistochemiczne. Badanie histopatologiczne pozwala dostarczyć istotnych rokowniczo informacji, w tym ostateczne ustalenie zaawansowania choroby, podtyp histologiczny, stopień złośliwości histologicznej i ocenę marginesów chirurgicznych[3].
- Badanie immunohistochemiczne
W około 90% przypadków mięsaka maziówkowego komórki komponentu nabłonkopodobnego wykazują ekspresję cytokeratyn, ale są rzadkie w komponencie z komórek wrzecionowatych. Klinicznie istotna jest ekspresja cytokeratyn 7 i 19, które nie są obecne w złośliwym nowotworze osłonek nerwów obwodowych oraz mięsaku Ewinga[53][54]. Ekspresja cytokeratyn może być wyłącznie ogniskowa i nie występować w każdym ocenianym bloczku[53]. Ekspresja EMA jest częściej i szerzej obecna w porównaniu do cytokeratyn, szczególnie w postaci niskozróżnicowanej[53]. W postaci niskozróżnicowanej stwierdzono ekspresję EMA w 95% przypadków tego guza, a cytokeratyn w około 40%[55]. Ekspresja białka S100 może być obecna w 30% guzów. CD99 stwierdza się w 60% przypadków, co może naśladować mięsaka Ewinga/PNET. Tylko w 1% przypadków mięsaków maziówkowych nie stwierdzono ekspresji ani cytokeratyn, ani EMA[56]. Często stwierdza się rozlaną ekspresję białka blc-2, zwykle przy jednoczesnej nieobecności CD34[57][53]. Możliwa jest ekspresja CD56 i CD57[54].
- Badanie cytogenetyczne
Zrównoważoną translokację t(X;18)(p11;q11) stwierdza się w niemal wszystkich przypadkach tego nowotworu[58] i jest ona charakterystyczna dla mięsaka maziówkowego[59][60]. Zmiana cytogenetyczna występuje zarówno w podtypie histologicznym dwufazowym, jak i jednofazowym[59]. Translokacja występuje w ponad 90% przypadków w t(X;18)(p11.2;q11.2), inne translokacje t(X;18) są znacznie rzadsze[59]. W praktyce klinicznej do wykrywania mutacji stosuje się metody FISH lub RT-PCR[54]. Opisywano uzyskanie dodatkowej kopii lub utraty innych chromosomów, w tym zyskanie chromosomu 7, 8 i 12 oraz utratę chromosomu 3[60].
Leczenie
Leczenie mięsaka maziówkowego jest prowadzone na podobnych zasadach jak w przypadku innych mięsaków tkanek miękkich[31]. Leczenie w chorobie ograniczonej miejscowo bez przerzutów polega na chirurgicznym wycięciu guza w marginesie zdrowych tkanek z adiuwantową radioterapią z lub bez adiuwantowej chemioterapii. W chorobie zaawansowanej miejscowo lub z przerzutami stosuje się chemioterapię[31][23]. U niektórych chorych bywa stosowana chemioterapia lub radioterapia neoadiuwantowa[23]. Mięsak maziówkowy cechuje się większą wrażliwością na chemioterapię niż inne mięsaki tkanek miękkich[23][42]. W leczeniu choroby rozsianej lub nieoperacyjnej wykorzystuje się doksorubicynę z lub bez ifosfamidu. W kolejnych liniach leczenia znajdują zastosowanie trabektedyna i pazopanib[23].
Leczenie choroby bez przerzutów
Podstawową metodą leczenia mięsaka maziówkowego bez przerzutów jest szerokie wycięcie w granicach zdrowych tkanek z adiuwantową lub neoadiuwantową radioterapią. Rola chemioterapii adiuwantowej jest niejasna, raczej jest zalecana u chorych w grupie wysokiego ryzyka lub u chorych z obecnymi przerzutami już w momencie rozpoznania[61].
- Leczenie chirurgiczne
Podstawową metodą leczenia mięsaka maziówkowego jest szerokie wycięcie guza w granicach zdrowych tkanek z zachowaniem odpowiedniego marginesu chirurgicznego tkanek wolnych od nacieku nowotworowego (resekcja R0)[42][62][14]. Uzyskanie wolnych od nacieku nowotworowego marginesów chirurgicznych jest kluczowe dla miejscowej kontroli choroby[14]. Zaleca się uzyskanie przynajmniej 1 cm marginesu zdrowych tkanek[14]. W celu zaoszczędzenia kończyny w pobliżu krytycznych struktur naczyniowo-nerwowych mogą być konieczne węższe marginesy resekcji[62]. Leczenie skojarzone często pozwala na zaoszczędzenie kończyny, gdy guz występuje w jej obrębie[63]. Warunkiem zachowania kończyny jest możliwość wykonania radykalnego zabiegu przy zachowaniu funkcjonalnej kończyny[64][14]. Jeśli guz jest w bliskim sąsiedztwie lub przemieszcza ważne naczynia lub nerwy, to jeśli nie są bezpośrednio nacieczone, mogą być zaoszczędzone przy wycięciu przydanki naczynia lub onerwia nerwu[62]. Czasem konieczne jest wykonanie ponownego zabiegu mającego na celu uzyskanie ujemnych marginesów chirurgicznych i lokalnej kontroli choroby[14].
- Leczenie adiuwantowe i neoadiuwantowe

W leczeniu choroby ograniczonej miejscowo leczenie chirurgiczne może być uzupełnione lub poprzedzone radioterapią, chemioterapią lub jednoczesną radioterapią i chemioterapią w ramach odpowiednio leczenia adiuwantowego lub neoadiuwantowego[23]. W stopniu I i II zaawansowania klinicznego według TNM zwykle stosuje się samodzielne leczenie chirurgiczne lub zabieg chirurgiczny uzupełnia się radioterapią. W stopniu III operację łączy się z radioterapią i chemioterapią[23][65].
U chorych z guzem powyżej 5 cm leczenie chirurgiczne jest uzupełniane adiuwantową radioterapią[66]. W celu poprawy lokalnej kontroli choroby radioterapię stosuje się również w przypadku guza poniżej 5 cm w niektórych lokalizacjach anatomicznych, szczególnie w obrębie głowy i szyi, trudnych do kontroli miejscowej za pomocą samodzielnej operacji[66]. Uzupełniająca radioterapia znajduje również zastosowanie w przypadku uzyskania niewielkiego marginesu zdrowych tkanek oraz nieuzyskania marginesu chirurgicznych wolnych od nacieku nowotworowego[62].
Skuteczność uzupełniającej radioterapii oceniono w kilku badaniach klinicznych. W badaniu na 103 chorych po przeprowadzonej radykalnej resekcji mięsaka maziówkowego oceniono skuteczność adiuwantowej radioterapii w porównaniu do samodzielnego zabiegu chirurgicznego. Zaobserwowano poprawę mediany przeżycia wolnego od progresji choroby (PFS) i przeżycia wolnego od wznowy miejscowej (LRFS). Nie zaobserwowano różnicy skuteczności niskiej dawki radioterapii wynoszącej poniżej 63 Gy i wysokiej dawki powyżej 63 Gy[67]. W analizie bazy SEER obejmującej łącznie 1189 chorych na mięsaka maziówkowego radioterapia okołooperacyjna poprawiała przeżycie całkowite (OS) i przeżycie specyficzne dla choroby (DSS)[68]. Również w badaniu na 213 dzieciach chorych na mięsaka maziówkowego radioterapia poprawiała przeżycie całkowite[69]. Z kolei w badaniu na 150 chorych leczonych, po uwzględnieniu wielkości guza, nie wykazano poprawy lokalnej kontroli choroby i ryzyka rozwoju przerzutów odległych[70].
Mimo że mięsak maziówkowy jest chemiowrażliwym mięsakiem, to rola chemioterapii adiuwantowej jest niejasna[23][61]. Chemioterapia neoadiuwantowa może być przydatna w leczeniu chorych z miejscowo zaawansowanym guzem wymagających okaleczającej operacji[23][71].
W nierandomizowanym badaniu Ferrari i współpracowników na chorych poniżej 21. roku życia z nieprzerzutowym mięsakiem maziówkowym oceniono skuteczność chemioterapii adiuwantowej i neoadiuwantowej. Chemioterapię neoadiuwantową otrzymali chorzy o wysokim ryzyku, chemioterapię neoadiuwantową chorzy o ryzyku pośrednim lub wysokim, a chorzy o niskim ryzyku byli leczeni wyłącznie samodzielnym zabiegiem chirurgicznym. Ze względu na nielosowy charakter badania głównym wnioskiem badania było zaobserwowanie wyższych odsetków przeżyć całkowitych przy zastosowaniu tej strategii leczenia[72][23]. Z kolei badanie Brennan i współpracowników sugeruje, że u chorych z niewielkim guzem pierwotnym usuniętym radykalnie wystarczającym postępowaniem jest sam zabieg operacyjny bez chemioterapii[73]. W badaniu obejmującym dzieci i dorosłych na 271 chorych na mięsaka maziówkowego wyciętym makroskopowo zaobserwowano wyższy odsetek przeżyć pięcioletnich u chorych otrzymujących adiuwantową chemioterapię od chorych, który nie byli leczeni w ten sposób. Większą korzyść z chemioterapii uzyskały dzieci i młodzież oraz chorzy z dużym guzem[74]. Z kolei w badaniu francuskim na 237 chorych nie zaobserwowano korzyści ani z chemioterapii neoadiuwantowej, ani adiuwantowej w osiąganym odsetku przeżycia całkowitego oraz przeżycia wolnego od wznowy miejscowej ani przeżycia wolnego od przerzutów odległych, a zaobserwowano poprawę przeżycia całkowitego i przeżycia wolne od nawrotu bez poprawy przeżycia wolnego od przerzutów odległych[75][61][23]. W innym badaniu na 101 chorych z mięsakiem maziówkowym w obrębie kończyn oceniono skuteczność chemioterapii adiuwantowej u leczonych chirurgicznie lub chemioterapii neoadiuwantowej przed zabiegiem operacyjnym i zaobserwowano poprawę przeżycia specyficznego dla choroby (DSS) u leczonych chemioterapią[76][66][23].
Leczenie choroby z przerzutami odległymi lub zaawansowanej miejscowo

W chorobie z przerzutami w pierwszej linii leczenia stosuje się doksorubicynę w monoterapii lub w połączeniu z ifosfamidem[4][23]. Badania retrospektywne sugerują wyższy odsetek odpowiedzi dla ifosfamidu oraz połączeń innych leków z ifosfamidem[77][78]. Ocenia się, że doksorubicyna i ifosfamid wywołują częściową odpowiedź (PR) lub całkowitą odpowiedź (CR) u 50% leczonych[27][79][42]. Inne schematy chemioterapii nie wpływają znacząco na poprawę przeżycia całkowitego[23]. W przeciwieństwie do niezróżnicowanego mięsaka pleomorficznego i mięśniakomięsaka gładkokomórkowego połączenie gemcytabiny i docetakselu nie ma istotnej aktywności[80]. W retrospektywnym przeglądzie 15 badań klinicznych obejmujących łącznie 313 chorych nie zaobserwowano przewagi jakiegokolwiek z ocenianych schematów (monoterapia antracyklinami, monoterapia ifosfamidem, doksorubicyna z ifosfamidem, CYVADIC – cyklofosfamid, winkrystyna, doksorubicyna, dakarbazyna), a ifosfamid wykazał nieznacznie większą, nieistotną statystycznie, aktywność w porównaniu do antracyklin[81].
W drugiej linii leczenia stosuje się trabektedynę[5]. W badaniu na 45 chorych z mięsakiem maziówkowym 47% osiągnęło stabilizację choroby (SD), a 7% częściową remisję (PR)[82][23].
W trzeciej linii leczenia wykorzystywany jest pazopanib[5]. Jest to celowany lek przeciwnowotworowy hamujący wiele kinaz tyrozynowych[83]. W badaniu II fazy oceniającym skuteczność leku u chorych z mięsakami tkanek miękkich w grupie chorych na mięsaka maziówkowego pazopanibem uzyskano najwyższy odsetek przeżyć wolnych od progresji po 12 tygodniach, który wynosił 49%, a częściową odpowiedź uzyskało 13,5% leczonych[84][83]. W badaniu III fazy PALETTE na 369 chorych z zaawansowanym mięsakiem tkanek miękkich porównano leczenie pazopanibem w dawce 800 mg z placebo. W grupie chorych leczonych pazopanibem zaobserwowano znacząco dłuższą medianę przeżycia wolnego od progresji (PFS)[85], ale liczba chorych z mięsakiem maziówkowym była zbyt mała, by w tym badaniu można było ocenić korzyści ze stosowania pazopanibu w stosunku do innych typów ocenianych mięsaków[23].
W przypadku guza pierwotnie nieoperacyjnego położonego w obrębie kończyn opcją leczniczą może być izolowana perfuzja kończyny w hipertermii z zastosowaniem melfalanu z lub bez TNF-α[86][23].
U części chorych z ograniczoną ilością przerzutów do pojedynczego narządu możliwe jest chirurgiczne wycięcie przerzutów, o ile jest możliwa kontrola guza pierwotnego poprzez leczenie operacyjne[87]. Na decyzję o wykonaniu metastazektomii wpływa operacyjność guza pierwotnego, operacyjność i ilość przerzutów oraz stan sprawności chorego[87]. W przypadku pojedynczych przerzutów w płucach leczenie rozpoczyna się od chemioterapii, po uzyskaniu odpowiedzi na chemioterapię może być wykonywana resekcja pierwotnej zmiany i resekcja przerzutów oszczędzająca miąższ płucny[64]. Rola metastazektomii w leczeniu rozsianych mięsaków tkanek miękkich pozostaje niejasna[87]. Część badań wskazuje na korzyści w przeżyciu całkowitym chorych poddanych metastazektomii[88][89][90], z kolei inne nie wykazują takiej korzyści[27].
Leczenie nawrotu choroby

W przypadku nawrotu mięsaka maziówkowego jako uogólnienie choroby konieczne jest leczenie ogólnoustrojowe na podobnych zasadach jak w przypadku choroby pierwotnie rozsianej. W przypadku wznowy miejscowej leczenie może wymagać ponownego zabiegu operacyjnego, który jest trudniejszy technicznie i często wymaga amputacji kończyny[4]. Decyzja odnośnie do radioterapii w leczeniu lokalnego nawrotu podejmowana jest indywidualnie[91]. Powtórne napromieniowanie często jest niemożliwe ze względu na wielkość wcześniej otrzymanej dawki[4]. W radioterapii nawrotowych mięsaków tkanek miękkich może być wykorzystywana brachyterapia z lub bez radioterapii z modulacją intensywności wiązki (IMRT)[91].
Zaawansowanie kliniczne
Zaawansowanie mięsaka maziówkowego jest oceniane w klasyfikacji TNM dla mięsaków tkanek miękkich.
| Guz pierwotny – cecha T | |
| Tx | nie można ocenić guza pierwotnego |
| T0 | nie stwierdza się guza pierwotnego |
| T1 | guz mniejszy lub równy 5 cm |
| T1a | powierzchniowy guz |
| T1b | głęboki guz |
| T2 | guz powyżej 5 cm |
| T2a | powierzchniowy guz |
| T2b | głęboki guz |
| Zajęcie okolicznych węzłów chłonnych – cecha N | |
| Nx | nie można ocenić okolicznych węzłów chłonnych |
| N0 | nie stwierdza się przerzutów w okolicznych węzłach chłonnych |
| N1 | przerzuty obecne w węzłach chłonnych |
| Przerzuty odległe – cecha M | |
| M0 | nie stwierdza się przerzutów odległych |
| M1 | obecne przerzuty odległe |
| Stopień złośliwości histologicznej | ||||
| Stopień | G1 | G2 | G3 | |
| Punkty | 2–3 | 4–5 | 6–8 | |
| Kryteria | ||||
| Punkty | 0 | 1 | 2 | 3 |
| Zróżnicowanie guza | – | wysokie | pośrednie | niskie |
| Martwica | brak | <50% | >50% | – |
| Indeks mitotyczny | – | <10 | 10–19 | >20 |
| Stopień zaawansowania | Cecha T | Cecha N | Cecha M | Cecha G |
| IA | T1a | N0 | M0 | Gx |
| T1b | N0 | M0 | Gx | |
| T1a | N0 | M0 | G1 | |
| T1b | N0 | M0 | G1 | |
| IB | T2a | N0 | M0 | Gx |
| T2a | N0 | M0 | Gx | |
| T2a | N0 | M0 | G1 | |
| T2b | N0 | M0 | G1 | |
| IIA | T1a | N0 | M0 | G2 |
| T1b | N0 | M0 | G3 | |
| T1b | N0 | M0 | G2 | |
| T1b | N0 | M0 | G3 | |
| IIB | T2a | N0 | M0 | G2 |
| T2b | N0 | M0 | G2 | |
| III | T2a | N0 | M0 | G3 |
| T2b | N0 | M0 | G3 | |
| każde T | N1 | M0 | każde G | |
| IV | każde T | każde N | M1 | każde G |
Czynniki rokownicze
Rokowanie chorego jest powiązane z zaawansowaniem choroby, cechami histopatologicznymi nowotworu oraz stanem chorego. Kluczowym czynnikiem rokowniczym jest osiągnięcie wolnych od nacieku nowotworowego marginesów chirurgicznych podczas zabiegu[94]. Na rokowanie niekorzystnie wpływa kliniczne wysokie zaawansowanie kliniczne choroby, obecność przerzutów odległych[95] i wielkość guza pierwotnego powyżej 5 cm[96]. Nie wykazano, by podtyp histologiczny był istotnym czynnikiem rokowniczym, choć część autorów sugeruje, że podtyp dwufazowy przebiega w sposób bardziej indolentny w stosunku do podtypu jednofazowego[6]. Do innych histologicznych niekorzystnych czynników rokowniczych należy obecność martwicy[95][97], wysoki indeks mitotyczny[97][94][95] i wysoki stopień złośliwości guza[97][96]. Również zajęcie kości oraz struktur naczyniowo-nerwowych są niekorzystnymi czynnikami rokowniczymi[30]. Do korzystnych czynników rokowniczych należy młody wiek zachorowania (<15. roku życia), wielkość guza poniżej 5 cm, niskie zaawansowanie kliniczne i lokalizacja w obrębie kończyn dolnych[6].
Rokowanie
Mięsak maziówkowy charakteryzuje się wysokim odsetkiem miejscowych nawrotów oraz często daje przerzuty odległe[6]. Obecność przerzutów już w momencie rozpoznania dotyczy około 6% chorych[13]. Nowotwór cechuje się wysokim ryzykiem nawrotu, po pięciu latach od leczenia u 12% chorych stwierdza się wznowę miejscową, a przerzuty odległe u 39% chorych[13][30]. U większości chorych nawroty miejscowe lub pod postacią przerzutów odległych pojawiają się w ciągu dwóch lat od początkowego leczenia, ale możliwe jest występowanie późnych przerzutów pojawiających się po długim okresie od leczenia[6]. W przypadku nieradykalnego usunięcia guza bez leczenia adiuwantowego do klinicznego nawrotu dochodzi u 80% chorych. W przypadku radykalnego usunięcia mięsaka maziówkowego z zastosowaniem leczenia uzupełniającego nawrót obserwuje się u poniżej 40% leczonych[6].
Odsetek przeżyć pięcioletnich jest oceniany na 64–76%[6][98][73][99]. W analizie danych z National Cancer Data Base z lat 1998–2010 mięsak maziówkowy (Synovial Sarcoma, NOS) cechował się odsetkiem 71% przeżyć dwuletnich oraz odsetkiem 65% przeżyć pięcioletnich. Lepsze przeżycie osiągali chorzy z postacią dwufazową, w którym obserwuje się 65% odsetek przeżyć pięcioletnich. W postaci jednofazowej z komórek wrzecionowatych zaobserwowano 56% odsetek przeżyć pięcioletnich[100]. W badaniu Krieg i współpracowników 74,2% chorych osiągnęło przeżycie pięcioletnie, a 61,2% chorych osiągnęło przeżycie dziesięcioletnie, a 46,5% przeżycie piętnastoletnie[98]. W porównaniu do innych typów mięsaków tkanek miękkich mięsak maziówkowy cechuje się lepszym odsetkiem odpowiedzi obiektywnych na chemioterapię, dłuższym przeżyciem wolnym od progresji choroby oraz wyższą medianą przeżycia całkowitego[81]. Mięsak maziówkowy u dzieci i młodzieży cechuje się lepszym rokowaniem, w badaniu Sultan i współpracowników zaobserwowano 83% odsetek przeżyć pięcioletnich[11].
| Grupa wiekowa | 0–9 | 10–19 | 20–29 | 30–39 | 40–49 | 50–59 | 60–69 | >70 |
| Odsetek przeżycia pięcioletniego | 92 | 77 | 68 | 63 | 58 | 55 | 52 | 38 |
Weterynaria
U zwierząt domowych jest to rzadki nowotwór[101]. Mięsak maziówkowy wywodzi się z prymitywnych prekursorowych komórek mezynchymalnych błony maziowej[102][103]. W utkaniu nowotworu obecne są komórki wrzecionowate oraz nabłonkopodobne[103]. Ze względu na brak typowej translokacji oraz brak typowych antygenów nabłonkowych część z tych guzów bywa klasyfikowana jako inne nowotwory (niezróżnicowany mięsak pleomorficzny), rezerwując termin mięsaka maziówkowego dla guzów wykazujących ekspresję i ultrastrukturę typową dla komórek nabłonkowych[103]. Guz zwykle rośnie powoli w okolicy dużych stawów. Głównym objawem jest pojawienie się guza w okolicy stawu oraz upośledzenie ruchomości zajętego stawu[102][103]. W zdjęciu rentgenowskim widoczny jest guz w różnym stopniu zajmujący staw oraz sąsiednie kości. Rozpoznanie jest stawiane na podstawie badania histopatologicznego[102][103]. Leczenie polega na resekcji guza w zakresie zdrowych tkanek, co zwykle wymaga amputacji kończyny[103][104]. Czasem w leczeniu wykorzystuje się chemioterapię i radioterapię[104].
Historia
Nowotwór po raz pierwszy opisał G. Simon w 1865 roku, nazwę mięsak maziówkowy wprowadził Sabrazes w 1934 roku[28].
Klasyfikacja ICD10
| kod ICD10 | nazwa choroby |
|---|---|
| ICD-10: C49 | Nowotwór złośliwy tkanki łącznej i innych tkanek miękkich |
| ICD-10: C49.0 | Tkanka łączna i inne tkanki miękkie głowy, twarzy i szyi |
| ICD-10: C49.1 | Tkanka łączna i inne tkanki miękkie kończyny górnej, łącznie z barkiem |
| ICD-10: C49.2 | Tkanka łączna i inne tkanki miękkie kończyny dolnej, łącznie z biodrem |
| ICD-10: C49.3 | Tkanka łączna i inne tkanki miękkie klatki piersiowej |
| ICD-10: C49.4 | Tkanka łączna i inne tkanki miękkie brzucha |
| ICD-10: C49.5 | Tkanka łączna i inne tkanki miękkie miednicy |
| ICD-10: C49.6 | Tkanka łączna i inne tkanki miękkie tułowia, umiejscowienie nieokreślone |
| ICD-10: C49.8 | Zmiana przekraczająca granice jednego umiejscowienia w obrębie tkanki łącznej i tkanek
miękkich |
| ICD-10: C49.9 | Tkanka łączna i inne tkanki miękkie, umiejscowienie nieokreślone |
Przypisy
- 1 2 3 4 5 6 7 8 9 10 11 12 13 14 15 16 17 18 19 20 21 Goldblum, Weiss i Folpe 2013 ↓, s. 1052.
- 1 2 3 4 5 6 7 Goldblum, Weiss i Folpe 2013 ↓, s. 1055.
- 1 2 3 4 5 6 Casali i in. 2014 ↓, s. 1.
- 1 2 3 4 Brennan, Antonescu i Maki 2012 ↓, s. 143.
- 1 2 3 Brennan, Antonescu i Maki 2012 ↓, s. 144.
- 1 2 3 4 5 6 7 8 9 Goldblum, Weiss i Folpe 2013 ↓, s. 1069.
- 1 2 3 4 5 6 Fletcher, Unni i Mertens 2002 ↓, s. 200.
- ↑ M.J. Kransdorf. Malignant soft-tissue tumors in a large referral population: distribution of diagnoses by age, sex, and location. „AJR Am J Roentgenol”. 164 (1), s. 129–134, 1995. DOI: 10.2214/ajr.164.1.7998525. PMID: 7998525.
- ↑ W. Shi, D.J. Indelicato, C.G. Morris, M.T. Scarborough i inni. Long-term treatment outcomes for patients with synovial sarcoma: a 40-year experience at the University of Florida. „Am J Clin Oncol”. 36 (1), s. 83–88, 2013. DOI: 10.1097/COC.0b013e31823fe450. PMID: 22270107.
- 1 2 C.E. Herzog. Overview of sarcomas in the adolescent and young adult population. „J Pediatr Hematol Oncol”. 27 (4), s. 215–218, 2005. PMID: 15838394.
- 1 2 I. Sultan, C. Rodriguez-Galindo, R. Saab, S. Yasir i inni. Comparing children and adults with synovial sarcoma in the Surveillance, Epidemiology, and End Results program, 1983 to 2005: an analysis of 1268 patients. „Cancer”. 115 (15), s. 3537–3547, 2009. DOI: 10.1002/cncr.24424. PMID: 19514087.
- 1 2 F.C. Eilber, S.M. Dry. Diagnosis and management of synovial sarcoma. „J Surg Oncol”. 97 (4), s. 314–320, 2008. DOI: 10.1002/jso.20974. PMID: 18286474.
- 1 2 3 4 5 E.K. Amankwah, A.P. Conley, D.R. Reed. Epidemiology and therapies for metastatic sarcoma. „Clin Epidemiol”. 5, s. 147–162, 2013. DOI: 10.2147/CLEP.S28390. PMID: 23700373.
- 1 2 3 4 5 6 7 R.L. Randall, K.L. Schabel, Y. Hitchcock, D.E. Joyner i inni. Diagnosis and management of synovial sarcoma. „Curr Treat Options Oncol”. 6 (6), s. 449–459, 2005. PMID: 16242050.
- 1 2 A. Ferrari, I. Sultan, T.T. Huang, C. Rodriguez-Galindo i inni. Soft tissue sarcoma across the age spectrum: a population-based study from the Surveillance Epidemiology and End Results database. „Pediatr Blood Cancer”. 57 (6), s. 943–949, 2011. DOI: 10.1002/pbc.23252. PMID: 21793180.
- ↑ M. Ladanyi, C.R. Antonescu, D.H. Leung, J.M. Woodruff i inni. Impact of SYT-SSX fusion type on the clinical behavior of synovial sarcoma: a multi-institutional retrospective study of 243 patients. „Cancer Res”. 62 (1), s. 135–140, 2002. PMID: 11782370.
- 1 2 3 4 A. Kerouanton, I. Jimenez, C. Cellier, V. Laurence i inni. Synovial sarcoma in children and adolescents. „J Pediatr Hematol Oncol”. 36 (4), s. 257–262, May 2014. DOI: 10.1097/MPH.0000000000000154. PMID: 24633301.
- ↑ S. Duband, A.L. Morrison, D. Pasquier, J.M. Coindre i inni. First case report of a fetal synovial sarcoma confirmed by molecular detection of SYT-SSX fusion gene transcripts. „Am J Perinatol”. 25 (8), s. 517–520, 2008. DOI: 10.1055/s-0028-1085074. PMID: 18720326.
- ↑ D. Köse, A. Annagür, C. Erol, S. Uğraş i inni. Synovial sarcoma in a premature newborn. „Pediatr Int”. 56 (3), s. 17–20, 2014. DOI: 10.1111/ped.12338. PMID: 24894940.
- ↑ V. Radhakrishnan, A. Joel, S. Sundersingh, A. Raja. Synovial Sarcoma in a Neonate. „Indian Pediatr”. 53 (4), s. 345–346, 2016. PMID: 27156552.
- 1 2 3 4 Stachura i Domagała 2009 ↓, s. 1238.
- ↑ R. Sistla, A. Tameem, J.V. Vidyasagar. Intra articular synovial sarcoma. „Indian J Pathol Microbiol”. 53 (1). s. 115–116. DOI: 10.4103/0377-4929.59198. PMID: 20090237.
- 1 2 3 4 5 6 7 8 9 10 11 12 13 14 15 16 17 18 M. Vlenterie, R.L. Jones, W.T. van der Graaf. Synovial sarcoma diagnosis and management in the era of targeted therapies. „Curr Opin Oncol”. 27 (4), s. 316–322, 2015. DOI: 10.1097/CCO.0000000000000198. PMID: 26049271.
- ↑ Tunn Per-Ulf: Treatment of Bone and Soft Tissue Sarcomas. Springer Science & Business Media, 2008, s. 25. ISBN 978-3-540-77960-5.
- ↑ K. Tallroth. Lymphatic dissemination of bone and soft tissue sarcomas: a lymphographic investigation. „Acta Radiol Suppl”. 349, s. 1–84, 1976. PMID: 206099.
- ↑ Roshan Lall Gupta: Textbook of Surgery. Jaypee Brothers Publishers, 2003. ISBN 978-81-7179-965-7.
- 1 2 3 4 5 E.L. Spurrell, C. Fisher, J.M. Thomas, I.R. Judson. Prognostic factors in advanced synovial sarcoma: an analysis of 104 patients treated at the Royal Marsden Hospital. „Ann Oncol”. 16 (3), s. 437–444, 2005. DOI: 10.1093/annonc/mdi082. PMID: 15653701.
- 1 2 J.R. Ryan, L.H. Baker, R.S. Benjamin. The natural history of metastatic synovial sarcoma: experience of the Southwest Oncology group. „Clin Orthop Relat Res”, s. 257–260, 1982. PMID: 6279348.
- ↑ J.T. Brodsky, M.E. Burt, S.I. Hajdu, E.S. Casper i inni. Tendosynovial sarcoma. Clinicopathologic features, treatment, and prognosis. „Cancer”. 70 (2), s. 484–489, 1992. PMID: 1319818.
- 1 2 3 J.J. Lewis, C.R. Antonescu, D.H. Leung, D. Blumberg i inni. Synovial sarcoma: a multivariate analysis of prognostic factors in 112 patients with primary localized tumors of the extremity. „J Clin Oncol”. 18 (10), s. 2087–2094, 2000. PMID: 10811674.
- 1 2 3 DeVita, Lawrence i Rosenberg 2008 ↓, s. 1754.
- ↑ Rutkowski 2015 ↓, s. 163.
- 1 2 3 Hornick 2013 ↓, s. 69.
- 1 2 3 4 5 Goldblum, Weiss i Folpe 2013 ↓, s. 1053.
- 1 2 3 4 5 Goldblum, Weiss i Folpe 2013 ↓, s. 1057.
- 1 2 3 Goldblum, Weiss i Folpe 2013 ↓, s. 1060.
- 1 2 Fletcher, Unni i Mertens 2002 ↓, s. 201.
- 1 2 Goldblum, Weiss i Folpe 2013 ↓, s. 1064.
- ↑ Fletcher, Unni i Mertens 2002 ↓, s. 201–202.
- ↑ Ruggiero D. A: Synowial sarcoma. 2004.
- 1 2 3 4 5 6 7 8 9 10 11 T.O. Nielsen, N.M. Poulin, M. Ladanyi. Synovial sarcoma: recent discoveries as a roadmap to new avenues for therapy. „Cancer Discov”. 5 (2), s. 124–134, 2015. DOI: 10.1158/2159-8290.CD-14-1246. PMID: 25614489.
- 1 2 3 4 5 6 7 8 9 10 K. Thway, C. Fisher. Synovial sarcoma: defining features and diagnostic evolution. „Ann Diagn Pathol”. 18 (6), s. 369–380, 2014. DOI: 10.1016/j.anndiagpath.2014.09.002. PMID: 25438927.
- 1 2 T. Saito. The SYT-SSX fusion protein and histological epithelial differentiation in synovial sarcoma: relationship with extracellular matrix remodeling. „Int J Clin Exp Pathol”. 6 (11), s. 2272–2279, 2013. PMID: 24228088.
- ↑ M. van de Rijn, F.G. Barr, M.H. Collins, Q.B. Xiong i inni. Absence of SYT-SSX fusion products in soft tissue tumors other than synovial sarcoma. „Am J Clin Pathol”. 112 (1), s. 43–49, Jul 1999. PMID: 10396284.
- ↑ M. Nagai, S. Tanaka, M. Tsuda, S. Endo i inni. Analysis of transforming activity of human synovial sarcoma-associated chimeric protein SYT-SSX1 bound to chromatin remodeling factor hBRM/hSNF2 alpha. „Proc Natl Acad Sci U S A”. 98 (7), s. 3843–3848, 2001. DOI: 10.1073/pnas.061036798. PMID: 11274403.
- 1 2 M. Haldar, J.D. Hancock, C.M. Coffin, S.L. Lessnick i inni. A conditional mouse model of synovial sarcoma: insights into a myogenic origin. „Cancer Cell”. 11 (4), s. 375–388, 2007. DOI: 10.1016/j.ccr.2007.01.016. PMID: 17418413.
- ↑ M. Haldar, R.L. Randall, M.R. Capecchi. Synovial sarcoma: from genetics to genetic-based animal modeling. „Clin Orthop Relat Res”. 466 (9), s. 2156–2167, 2008. DOI: 10.1007/s11999-008-0340-2. PMID: 18563504.
- 1 2 Krzakowski i in. 2015 ↓, s. 878–880.
- ↑ Brennan, Antonescu i Maki 2012 ↓, s. 137.
- ↑ A.K. Doepfer, A. Meurer. Synovial tumors and tumor-like lesions. „Orthopade”. 44 (10), s. 823–834, 2015. DOI: 10.1007/s00132-015-3162-4. PMID: 26370407.
- ↑ Krzakowski i in. 2015 ↓, s. 879.
- ↑ Krzakowski i in. 2015 ↓, s. 880.
- 1 2 3 4 Fletcher, Unni i Mertens 2002 ↓, s. 202.
- 1 2 3 Hornick 2013 ↓, s. 71.
- ↑ M. van de Rijn, F.G. Barr, Q.B. Xiong, M. Hedges i inni. Poorly differentiated synovial sarcoma: an analysis of clinical, pathologic, and molecular genetic features. „Am J Surg Pathol”. 23 (1), s. 106–112, 1999. PMID: 9888710.
- ↑ Goldblum, Weiss i Folpe 2013 ↓, s. 1065.
- ↑ Goldblum, Weiss i Folpe 2013 ↓, s. 1066.
- ↑ Goldblum, Weiss i Folpe 2013 ↓, s. 1067.
- 1 2 3 A.A. Sandberg, J.A. Bridge. Updates on the cytogenetics and molecular genetics of bone and soft tissue tumors. Synovial sarcoma. „Cancer Genet Cytogenet”. 133 (1), s. 1–23, 2002. PMID: 11890984.
- 1 2 Fletcher, Unni i Mertens 2002 ↓, s. 203.
- 1 2 3 Mohit Bhandari: Evidence-based Orthopedics. John Wiley & Sons, 2011, s. 1095. ISBN 978-1-4443-4508-7.
- 1 2 3 4 von Mehren i in. 2016 ↓, s. 57.
- ↑ Krzakowski i in. 2015 ↓, s. 886.
- 1 2 Krzakowski i in. 2015 ↓, s. 888.
- ↑ K.L. Sherman, J.D. Wayne, J. Chung, M. Agulnik i inni. Assessment of multimodality therapy use for extremity sarcoma in the United States. „J Surg Oncol”. 109 (5), s. 395–404, Apr 2014. DOI: 10.1002/jso.23520. PMID: 24375444.
- 1 2 3 Brennan, Antonescu i Maki 2012 ↓, s. 141.
- ↑ S. Song, J. Park, H.J. Kim, I.H. Kim i inni. Effects of Adjuvant Radiotherapy in Patients With Synovial Sarcoma. „Am J Clin Oncol”, 2014. DOI: 10.1097/COC.0000000000000148. PMID: 25350464.
- ↑ K.W. Naing, A.M. Monjazeb, C.S. Li, L.Y. Lee i inni. Perioperative radiotherapy is associated with improved survival among patients with synovial sarcoma: A SEER analysis. „J Surg Oncol”. 111 (2), s. 158–164, 2015. DOI: 10.1002/jso.23780. PMID: 25176165.
- ↑ M.F. Okcu, M. Munsell, J. Treuner, A. Mattke i inni. Synovial sarcoma of childhood and adolescence: a multicenter, multivariate analysis of outcome. „J Clin Oncol”. 21 (8), s. 1602–1611, 2003. DOI: 10.1200/JCO.2003.07.008. PMID: 12697886.
- ↑ B.A. Guadagnolo, G.K. Zagars, M.T. Ballo, S.R. Patel i inni. Long-term outcomes for synovial sarcoma treated with conservation surgery and radiotherapy. „Int J Radiat Oncol Biol Phys”. 69 (4), s. 1173–1180, 2007. DOI: 10.1016/j.ijrobp.2007.04.056. PMID: 17689031.
- ↑ Arnold G. Coran, N. Scott Adzick, Anthony Caldamone, Thomas M. Krummel, Jean-Martin Laberge: Pediatric Surgery. Elsevier Health Sciences, 2012. ISBN 978-0-323-07255-7.
- ↑ A. Ferrari, G.L. De Salvo, B. Brennan, M.M. van Noesel i inni. Synovial sarcoma in children and adolescents: the European Pediatric Soft Tissue Sarcoma Study Group prospective trial (EpSSG NRSTS 2005). „Ann Oncol”. 26 (3), s. 567–572, 2015. DOI: 10.1093/annonc/mdu562. PMID: 25488687.
- 1 2 B. Brennan, M. Stevens, A. Kelsey, C.A. Stiller. Synovial sarcoma in childhood and adolescence: a retrospective series of 77 patients registered by the Children’s Cancer and Leukaemia Group between 1991 and 2006. „Pediatr Blood Cancer”. 55 (1), s. 85–90, 2010. DOI: 10.1002/pbc.22453. PMID: 20213848.
- ↑ A. Ferrari, A. Gronchi, M. Casanova, C. Meazza i inni. Synovial sarcoma: a retrospective analysis of 271 patients of all ages treated at a single institution. „Cancer”. 101 (3), s. 627–634, 2004. DOI: 10.1002/cncr.20386. PMID: 15274077.
- ↑ A. Italiano, N. Penel, Y.M. Robin, B. Bui i inni. Neo/adjuvant chemotherapy does not improve outcome in resected primary synovial sarcoma: a study of the French Sarcoma Group. „Ann Oncol”. 20 (3), s. 425–430, 2009. DOI: 10.1093/annonc/mdn678. PMID: 19088169.
- ↑ F.C. Eilber, M.F. Brennan, F.R. Eilber, J.J. Eckardt i inni. Chemotherapy is associated with improved survival in adult patients with primary extremity synovial sarcoma. „Ann Surg”. 246 (1), s. 105–113, 2007. DOI: 10.1097/01.sla.0000262787.88639.2b. PMID: 17592298.
- ↑ I. Judson, J. Verweij, H. Gelderblom, J.T. Hartmann i inni. Doxorubicin alone versus intensified doxorubicin plus ifosfamide for first-line treatment of advanced or metastatic soft-tissue sarcoma: a randomised controlled phase 3 trial. „Lancet Oncol”. 15 (4), s. 415–423, 2014. DOI: 10.1016/S1470-2045(14)70063-4. PMID: 24618336.
- ↑ S. Salah, S. Yaser, A. Salem, A. Al Mousa i inni. Factors influencing survival in metastatic synovial sarcoma: importance of patterns of metastases and the first-line chemotherapy regimen. „Med Oncol”. 30 (3), s. 639, 2013. DOI: 10.1007/s12032-013-0639-z. PMID: 23780657.
- ↑ K.H. Albritton, R.L. Randall. Prospects for targeted therapy of synovial sarcoma. „J Pediatr Hematol Oncol”. 27 (4), s. 219–222, 2005. PMID: 15838395.
- ↑ Brennan, Antonescu i Maki 2012 ↓, s. 142.
- 1 2 M. Vlenterie, S. Litière, E. Rizzo, S. Marréaud i inni. Outcome of chemotherapy in advanced synovial sarcoma patients: Review of 15 clinical trials from the European Organisation for Research and Treatment of Cancer Soft Tissue and Bone Sarcoma Group; setting a new landmark for studies in this entity. „Eur J Cancer”. 58, s. 62–72, 2016. DOI: 10.1016/j.ejca.2016.02.002. PMID: 26968015.
- ↑ A. Le Cesne, S. Cresta, R.G. Maki, J.Y. Blay i inni. A retrospective analysis of antitumour activity with trabectedin in translocation-related sarcomas. „Eur J Cancer”. 48 (16), s. 3036–3044, 2012. DOI: 10.1016/j.ejca.2012.05.012. PMID: 22749255.
- 1 2 E. Palmerini, A. Paioli, S. Ferrari. Emerging therapeutic targets for synovial sarcoma. „Expert Rev Anticancer Ther”. 14 (7), s. 791–806, 2014. DOI: 10.1586/14737140.2014.901155. PMID: 24661286.
- ↑ S. Sleijfer, I. Ray-Coquard, Z. Papai, A. Le Cesne i inni. Pazopanib, a multikinase angiogenesis inhibitor, in patients with relapsed or refractory advanced soft tissue sarcoma: a phase II study from the European organisation for research and treatment of cancer-soft tissue and bone sarcoma group (EORTC study 62043). „Journal of Clinical Oncology”. 27 (19), s. 3126–3132, lipiec 2009. DOI: 10.1200/JCO.2008.21.3223. PMID: 19451427.
- ↑ W.T. van der Graaf, J.Y. Blay, S.P. Chawla, D.W. Kim i inni. Pazopanib for metastatic soft-tissue sarcoma (PALETTE): a randomised, double-blind, placebo-controlled phase 3 trial. „Lancet”. 379 (9829), s. 1879–1886, maj 2012. DOI: 10.1016/S0140-6736(12)60651-5. PMID: 22595799.
- ↑ B. Schwindenhammer, L.E. Podleska, A. Kutritz, S. Bauer i inni. The pathologic response of resected synovial sarcomas to hyperthermic isolated limb perfusion with melphalan and TNF-α: a comparison with the whole group of resected soft tissue sarcomas. „World J Surg Oncol”. 11 (1), s. 185, 2013. DOI: 10.1186/1477-7819-11-185. PMID: 23938063.
- 1 2 3 von Mehren i in. 2016 ↓, s. 70.
- ↑ E.J. Stanelle, E.R. Christison-Lagay, S.L. Wolden, P.A. Meyers i inni. Pulmonary metastasectomy in pediatric/adolescent patients with synovial sarcoma: an institutional review. „J Pediatr Surg”. 48 (4), s. 757–763, 2013. DOI: 10.1016/j.jpedsurg.2012.09.042. PMID: 23583130.
- ↑ A. Ferrari, G.L. De Salvo, P. Dall’Igna, C. Meazza i inni. Salvage rates and prognostic factors after relapse in children and adolescents with initially localised synovial sarcoma. „Eur J Cancer”. 48 (18), s. 3448–3455, 2012. DOI: 10.1016/j.ejca.2012.06.017. PMID: 22835783.
- ↑ T. Yetisyigit, E. Arpaci, E.S. Seber, M. Kucukoner i inni. Salvage treatment experience in advanced synovial sarcoma: a multicenter retrospective analysis of the Anatolian society of medical oncology. „Asian Pac J Cancer Prev”. 14 (9), s. 5185–5188, 2013. PMID: 24175798.
- 1 2 von Mehren i in. 2016 ↓, s. 72.
- 1 2 Casali i in. 2014 ↓, s. 3.
- ↑ Casali i in. 2014 ↓, s. 2.
- 1 2 S. Singer, E.H. Baldini, G.D. Demetri, J.A. Fletcher i inni. Synovial sarcoma: prognostic significance of tumor size, margin of resection, and mitotic activity for survival. „J Clin Oncol”. 14 (4), s. 1201–1208, 1996. PMID: 8648375.
- 1 2 3 L. Guillou, J. Benhattar, F. Bonichon, G. Gallagher i inni. Histologic grade, but not SYT-SSX fusion type, is an important prognostic factor in patients with synovial sarcoma: a multicenter, retrospective analysis. „J Clin Oncol”. 22 (20), s. 4040–4050, 2004. DOI: 10.1200/JCO.2004.11.093. PMID: 15364967.
- 1 2 R. Deshmukh, H.J. Mankin, S. Singer. Synovial sarcoma: the importance of size and location for survival. „Clin Orthop Relat Res”, s. 155–161, 2004. PMID: 15021147.
- 1 2 3 Goldblum, Weiss i Folpe 2013 ↓, s. 1070.
- 1 2 A.H. Krieg, F. Hefti, B.M. Speth, G. Jundt i inni. Synovial sarcomas usually metastasize after >5 years: a multicenter retrospective analysis with minimum follow-up of 10 years for survivors. „Ann Oncol”. 22 (2), s. 458–467, 2011. DOI: 10.1093/annonc/mdq394. PMID: 20716627.
- ↑ E. Palmerini, E.L. Staals, M. Alberghini, L. Zanella i inni. Synovial sarcoma: retrospective analysis of 250 patients treated at a single institution. „Cancer”. 115 (13), s. 2988–2998, 2009. DOI: 10.1002/cncr.24370. PMID: 19452538.
- ↑ R.M. Corey, K. Swett, W.G. Ward. Epidemiology and survivorship of soft tissue sarcomas in adults: a national cancer database report. „Cancer Med”. 3 (5), s. 1404–1415, 2014. DOI: 10.1002/cam4.288. PMID: 25044961.
- ↑ Donald J. Meuten: Tumors in Domestic Animals. John Wiley & Sons, 2016, s. 340. ISBN 978-1-119-18119-4.
- 1 2 3 Donald E. Thrall: Textbook of Veterinary Diagnostic Radiology. Elsevier Health Sciences, 2013, s. 345–346. ISBN 978-0-323-26638-3.
- 1 2 3 4 5 6 Wallace B. Morrison: Cancer in Dogs and Cats: Medical and Surgical Management. Teton NewMedia, 2002, s. 627–629. ISBN 978-1-893441-47-7.
- 1 2 Robert Klopfleisch: Veterinary Oncology: A Short Textbook. Springer, 2016, s. 212–213. ISBN 978-3-319-41124-8.
Bibliografia
- John R. Goldblum, Sharon W. Weiss, Andrew L. Folpe: Enzinger and Weiss’s Soft Tissue Tumors. Wyd. 6. Elsevier Health Sciences, 2013. ISBN 978-0-323-08834-3.
- Christopher D.M. Fletcher, K. Krishnan Unni, Fredrik Mertens: Pathology and Genetics of Tumours of Soft Tissue and Bone. Lyon: IARC Press, 2002.
- Murray F. Brennan, Cristina R. Antonescu, Robert G. Maki: Management of Soft Tissue Sarcoma. Springer Science & Business Media, 2012.
- P.G. Casali, J.Y. Blay, A. Bertuzzi, S. Bielack i inni. Soft tissue and visceral sarcomas: ESMO Clinical Practice Guidelines for diagnosis, treatment and follow-up. „Ann Oncol”. 25 Suppl 3, s. iii102-12, Sep 2014. DOI: 10.1093/annonc/mdu254. PMID: 25210080.
- Margaret von Mehren, R. Lor Randall, Robert S. Benjamin, Sarah Boles i inni. Soft Tissue Sarcoma Version 1.2016. „J Natl Compr Canc Netw”, 2016.
- Jerzy Stachura, Wenancjusz Domagała: Patologia znaczy słowo o chorobie. T. II. Polska Akademia Umiejętności, 2009. ISBN 978-83-60184-02-8.
- Piotr Rutkowski: Biblioteka chirurga onkologa. Mięsaki tkanek miękkich. Via Medica, 2015. ISBN 978-83-7599-864-1.
- Vincent T. DeVita, Theodore S. Lawrence, Steven A. Rosenberg: Devita, Hellman & Rosenberg’s Cancer: Principles & Practice of Oncology. Wyd. 8. Lippincott Williams & Wilkins, 2008. ISBN 978-0-7817-7207-5.
- Maciej Krzakowski, Piotr Potemski, Krzysztof Warzocha, Pior Wysocki: Onkologia kliniczna. T. II. Via Medica, 2015. ISBN 978-83-7599-796-5.
- Jason L. Hornick: Practical Soft Tissue Pathology: A Diagnostic Approach: A Volume in the Pattern Recognition Series. Elsevier Health Sciences, 2013. ISBN 978-1-4557-3814-4.
Przeczytaj ostrzeżenie dotyczące informacji medycznych i pokrewnych zamieszczonych w Wikipedii.
