Włókniakomięsak guzowaty skóry
| Dermatofibrosarcoma protuberans | |
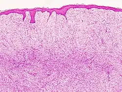
Włókniakomięsak guzowaty skóry, obraz mikroskopowy | |
| Klasyfikacje | |
| ICD-10 |
C49 |
|---|---|
| ICDO |
8833/3 |
Włókniakomięsak guzowaty skóry (ang. dermatofibrosarcoma protuberans, DFSP) – mięsak skóry zaliczany do grupy nowotworów tkanki włóknistej z fibroblastów i miofibroblastów o granicznej złośliwości rzadko przerzutujących[1]. Choroba cechuje się powolnym, wieloletnim wzrostem. Początkowo nowotwór przyjmuje formę twardej blaszki koloru czerwonego do niebieskiego, która w miarę postępu choroby ulega uniesieniu z wytworzeniem kilku guzków[2][3]. Kliniczne podejrzenie choroby jest stawiane na podstawie obrazu klinicznego, jednak niezbędne jest potwierdzenie rozpoznania na podstawie badania histopatologicznego materiału uzyskanego podczas biopsji[4]. Podstawową metodą leczenia jest chirurgiczne wycięcie guza w marginesie zdrowych tkanek. W przypadku nawrotu konieczna jest ponowna operacja. Chorobę nieoperacyjną i chorobę z przerzutami leczy się za pomocą imatynibu[5].
Epidemiologia
Włókniakomięsak guzowaty skóry jest najczęstszym mięsakiem skóry[6], stanowi poniżej 1% wszystkich mięsaków tkanek miękkich u ludzi[7]. Mięsak może pojawiać się w dowolnej grupie wiekowej, ale najczęściej rozpoznaje się go u osób młodych i w średnim wieku pomiędzy 20. a 50. rokiem życia[7][6]. Szacuje się, że 5–20% przypadków włókniakomięsaka guzowatego skóry dotyczy dzieci[7]. Ze względu na powolny rozwój choroby uważa się, że znaczna część przypadków rozpoznawanych w wieku dorosłym faktycznie ma początek w wieku dziecięcym[7][2].
Roczna zapadalność na włókniakomięsaka guzowatego skóry jest szacowana na 0,8–4,5 przypadków na milion[7][8][9][10]. Zapadalność jest podobna u obu płci, choć niektóre badania wskazują na częstsze występowanie u mężczyzn[8][7]. Niektóre badania sugerują częstsze występowanie choroby u osób rasy czarnej w porównaniu do rasy kaukaskiej[7][9].
Objawy kliniczne
Wygląd zmiany i prezentowane objawy zależą od etapu rozwoju nowotworu[7]. Włókniakomięsak guzowaty skóry cechuje się stałym, powolnym wzrostem[2], który może utrudniać rozpoznanie choroby[8]. Wczesna zmiana przyjmuje charakter twardej blaszki, często z otaczającym przebarwieniem koloru czerwonego do niebieskiego[2][3]. W tym okresie guz może przypominać raka podstawnokomórkowego lub twardzinę ograniczoną[2]. W zależności od tempa wzrostu po upływie kilkunastu miesięcy do kilku lat zmiana ulega uniesieniu, w obrębie blaszki rozwija się kilka guzków, a rzadziej pojedynczy guzek[3][7].
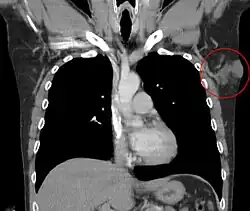
Guz jest przesuwalny względem głębszych tkanek, choć w późnym etapie jego rozwoju staje się nieprzesuwalny względem otoczenia[8]. Guz zwykle przyjmuje wielkość kilku centymetrów, jednak bywają rozpoznawane zmiany wielkości nawet 20–30 cm[7][6][11]. Zaawansowany guz może posiadać liczne zmiany satelitarne, naciekać głębokie tkanki i ulegać owrzodzeniu[3][12]. Mięsak może być zlokalizowany w dowolnym miejscu, ale najczęściej rośnie w zakresie tułowia, proksymalnych części kończyn[2]. Ocenia się, że blisko 50% guzów jest zlokalizowanych w obrębie tułowia, 20% w zakresie kończyny dolnej, 18% w kończynie górnej i 14% w obrębie głowy i szyi[13].
Historia naturalna
Nowotwór często charakteryzuje się wieloletnim powolnym wzrostem, początkowo przyjmuje charakter płaskiej zmiany, która w miarę postępu choroby ulega uniesieniu z powstaniem kilku guzków lub rzadziej pojedynczego guza[2][6]. Często po fazie powolnego rozwoju obserwuje się przyspieszenie wzrostu z ekspansją w kierunku głębszych tkanek, co klinicznie manifestuje się jako powiększenie guza z utratą przesuwalności zmiany względem głębszych tkanek[6]. Guz typowo rośnie w obrębie skóry właściwej, a następnie szerzy się do tkanki podskórnej[6]. Rzadko guz powstaje w obrębie tkanki podskórnej bez zajęcia skóry właściwej lub tylko naciekając ją tylko w minimalnym stopniu[6]. Naciek miejscowo szerzy się wzdłuż przegród łącznotkankowych, często jest obecny w stosunkowo dużej odległości od guza pierwotnego[12]. W późnych etapach choroby dochodzi do nacieku powięzi, mięśni, okostnej i kości[7]. Nowotwór może szerzyć się drogą krwionośną oraz limfatyczną[14][13][15]. Guz, ze względu na naciekający wzór wzrostu, charakteryzuje się wysokim odsetkiem nawrotów miejscowych po chirurgicznym usunięciu[14]. Przerzuty odległe dotyczą poniżej 5% chorych[14][6]. Zwykle rozwijają się po wieloletnim przebiegu choroby, często w wariancie fibrosarkomatycznym nowotworu[5]. Przerzuty najczęściej pojawiają się w płucach oraz regionalnych węzłach chłonnych[14][16][17]. Opisywano przerzuty włókniakomięsaka guzowatego skóry do kości i ośrodkowego układu nerwowego[2].
Histopatologia

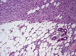
Makroskopowo włókniakomięsak guzowaty skóry przyjmuje formę blaszki z jednym lub kilkoma guzkami lub wieloguzkowej, polipowatej zmiany[6][3]. Przy znacznym zaawansowaniu obecne są zmiany satelitarne[2] i możliwe jest owrzodzenie guza[3]. Na przekroju guz jest twardy, koloru szarobiałego, możliwa jest obecność galaretowatych ognisk odpowiadających obszarom zwyrodnienia śluzowatego[3]. Mogą występować obszary krwotoczne i zwyrodnienia torbielowatego, obszary martwicy są rzadkie[6].
Mikroskopowo guz jest słabo odgraniczony, zajmuje skórę właściwą i nacieka do tkanki podskórnej. Zwykle nie obserwuje się nacieku naskórka, możliwe jest występowanie strefy Grenza (objaw strefy granicznej) polegającym na występowaniu pomiędzy naciekiem a naskórkiem niezmienionej powierzchniowej warstwy brodawkowatej skóry właściwej[3].
W centralnej części guz jest zbudowany z jednolitych, smukłych komórek wrzecionowatych ułożonych wirowato lub promieniście[18][3]. Komórki zawierają skąpą ilość cytoplazmy, jądro komórkowe jest wydłużone, a granice komórki są niewyraźne[6]. Około 85–90% włókniakomięsaków guzowatych skóry jest nowotworem o niskim stopniu złośliwości, ale około 5% z nich z komponentą fibrosarkomatyczną wykazuje wysoki stopień złośliwości[13]. Komórki wykazują łagodną atypię, niewielki pleomorfizm jądrowy i łagodną do umiarkowanej aktywność mitotyczną[3][18]. Zrąb jest stosunkowo ubogi, liczba naczyń jest niewielka[6]. Większość guzów jest bogatokomórkowa, ale mogą występować obszary ubogokomórkowe odpowiadające zwyrodnieniu śluzowatemu[18]. Warstwy powierzchowne guza, gdzie dochodzi do nacieku sąsiednich struktur, są mniej komórkowe i komórki wrzecionowate są pooddzielane pasmami kolagenu[3][7].
Ważną cechą jest naciekanie sąsiednich tkanek. Naciek tkanki podskórnej jest widoczny w formie zawierających pojedyncze atypowe komórki wypustek przez przegrody oraz zraziki tłuszczowe i przyjmuje formę plastra miodu lub wielowarstwowych pasm komórek wrzecionowatych położonych równolegle do skóry[7]. W zaawansowanych stadiach widoczny jest naciek głębiej położonych struktur[7].
- Wariant fibrosarkomatyczny (fibrosarcomatous variant)
W części włókniakomięsaków guzowatych skóry występują obszary o wyższej komórkowości i indeksie mitotycznym, które są nie do odróżnienia od włókniakomięsaka. Takie obszary budują pulchne komórki wrzecionowate ułożone bardziej w pęczki niż wirowato, wykazują wyższą komórkowość i indeks mitotyczny, mogą występować obszary martwicy[14][6]. Niektóre badania sugerują bardziej agresywny przebieg wariantu fibrosarkomatycznego z większym ryzykiem wznowy miejscowej i wytworzenia przerzutów odległych[19][20][21][22].
- Guz Bednara (Bednar tumor)
Jest to rzadki podtyp włókniakomięsaka guzowatego skóry z obecną melaniną, stanowiący poniżej 5% przypadków włókniakomięsaków guzowatych skóry. Klinicznie i histopatologicznie guzy Bednara są podobne do konwencjonalnych włókniakomięsaków guzowatych skóry. Czasem duża liczba komórek zawierających melaninę nadaje guzowi ciemny niebieskawy odcień, a czasem takie komórki wykrywa się jedynie pod mikroskopem[19].
- Giant cell fibroblastoma
Jest to wariant młodzieńczy włókniakomięsaka guzowatego skóry, guz wykazuje te same zaburzenia genetyczne co klasyczny włókniakomięsak guzowaty skóry. Guz pojawia się u dzieci poniżej 3 roku życia[23].
- Postać zanikowa (atrophic DFSP)
Postać zanikowa przybiera formę zagłębionej blaszki o miękkiej lub twardej konsystencji. Typowe jest znaczne zmniejszenie grubości skóry właściwej z jej zastąpieniem przez komórki wrzecionowate. Zmiany mogą przypominać twardzinę miejscową (morphea), zanik plamisty skóry (anetodermia), raka podstawnokomórkowego lub bliznę[7].
- Postać twardzinowa (sclerosing DFSP)
W postaci twardzinowej, obok występowania typowych obszarów włókniakomięsaka guzowatego skóry, charakterystyczna jest obecność obszarów bezkomórkowych zawierających grube, homogenne, włókna kolagenowe[7].
- Postać śluzakowata (myxoid DFSP)
Jest to postać z dominującą obecnością obszarów zwyrodnienia śluzowatego zawierających komórki gwiaździste lub wrzecionowate z obfitym gromadzeniem mucyny w przestrzeniach międzykomórkowych[7].
Etiologia
Etiologia choroby nie jest znana[24]. Kluczowym elementem patogenezy włókniakomięsaka guzowatego skóry jest translokacja t(17;22)(q22;q13) stwierdzana w 90–95% przypadków tego nowotworu[6][25]. W wyniku translokacji dochodzi do połączenia genu COL1A (collagen type 1 alpha 1) położonego na chromosomie 17q21-22 z genem PDGFB1 (platelet-derived growth factor beta) położonego na chromosomie 22q13 i powstania genu fuzyjnego COL1A1-PDGFB[6]. W wyniku powstania genu chimerycznego COL1A1-PDGFB gen PDGFB kodujący czynnik wzrostu o tej samej nazwie jest kontrolowany przez promotor COL1A1, co prowadzi do stałej, konstytutywnej ekspresji PDGFB[26][27][6]. Nadprodukcja PDGF-β skutkuje autokrynną stymulacją tym czynnikiem[27]. PDGF bierze udział w szlaku MAPK/ERK i PI3K/AKT/mTOR, jest silnym mitogenem komórek mezenchymalnych[6][28][29]. PDGF wpływa na wzrost, proliferację, różnicowanie i migrację komórek[6].
W około 8% przypadków nie wykrywa się COL1A1-PDGFB, co sugeruje obecność równoległych mechanizmów prowadzących do choroby[30]. W guzie bez COL1A1-PDGFB opisano translokację obejmującą gen CSPG2 położony na 5q14.3 i gen PTK2B zlokalizowany na 8p21.2[6][7]. Pod uwagę bierze się również mutację p53 i niestabilność mikrosatelitarną[6].
Rozpoznanie
Kliniczne podejrzenie mięsaka może być postawione na podstawie wywiadu i badania fizykalnego[13]. Do potwierdzenia rozpoznania konieczne jest wykonanie biopsji i ocena pobranego materiału tkankowego w badaniu histopatologicznym[4].
Badania obrazowe

Rezonans magnetyczny (MRI) może być przydatny w ocenie głębokości zmiany przed wykonaniem zabiegu chirurgicznego[7]. Jest to metoda dokładniejsza niż ultrasonografia, którą także można wykorzystać w ocenie głębokości naciekania sąsiadujących tkanek[8].
Ze względu na stosunkowo rzadką obecność przerzutów nie wymaga się rutynowego wykonywania szerokiej diagnostyki obrazowej w celu oceny zaawansowania choroby, chyba że wywiad, badanie fizykalne lub stwierdzone niekorzystne czynniki ryzyka przemawiają za koniecznością poszerzenia diagnostyki[4][25][8]. Niektórzy autorzy w przypadku bardzo rozległej i zaawansowanej miejscowo choroby zalecają wykonanie tomografii komputerowej klatki piersiowej w celu wykluczenia rozsiewu do płuc, choć zwykle wystarczające jest wykonanie zdjęcia rentgenowskiego klatki piersiowej[8][13].
Biopsja
W celu uzyskania materiału tkankowego do przeprowadzenia badania histopatologicznego konieczne jest wykonanie biopsji[8]. Zaleca się wykonanie głębokiej biopsji gruboigłowej lub biopsji nacinającej, które pozwalają na uzyskanie reprezentatywnego materiału do badania[4]. Unika się wykonywania biopsji cienkoigłowych, ponieważ mogą nie dostarczyć odpowiedniej ilości odpowiedniego materiału biologicznego do ostatecznego rozpoznania mięsaka[8][13].
Badanie histopatologiczne
Ostateczne rozpoznanie włókniakomięsaka guzowatego skóry może być postawione na podstawie badania histopatologicznego materiału uzyskanego podczas biopsji nacinającej, wycinającej lub gruboigłowej[25][31]. W większości przypadków badanie mikroskopowe jest wystarczające do postawienia rozpoznania[4]. Materiał po odpowiednim wybarwieniu ocenia się pod mikroskopem, w którym wykazuje się obecność rozlanego nacieku skóry i tkanki podskórnej złożonego z komórek wrzecionowatych ułożonych wirowato[25]. Jednak w celu potwierdzenia rozpoznania wykonuje się badanie immunohistochemiczne[4][25]. Rutynowo nie ma konieczności wykonywania badań genetycznych[31]. W diagnostyce różnicowej uwzględnia się guz histiocytarny włóknisty, niezróżnicowany mięsak pleomorficzny, mięśniakomięsak gładkokomórkowy, złośliwy nowotwór osłonek nerwów obwodowych i czerniaka[25].
- Immunohistochemia
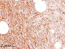
Włókniakomięsak guzowaty skóry wykazuje wyraźną ekspresję CD34[32]. Stwierdzenie ekspresji CD34 wspiera rozpoznanie tego mięsaka, ale marker jest obecny w wielu typach histologicznych mięsaków tkanek miękkich[6]. Ekspresja CD34 jest przydatną w różnicowaniu z guzem histiocytarnym włóknistym (benign fibrous histiocytoma)[32]. Ponadto stwierdza się silną ekspresję apolipoproteiny D, która również może być przydatna w różnicowaniu z guzem histiocytarnym włóknistym[6][33][34]. Ekspresja CD99 jest zmienna, czasem występuje ogniskowa ekspresja SMA, a reakcja dla S100, czynnika XIIIa, stromelizyny III jest ujemna[6][7].
- Badania genetyczne
Włókniakomięsak guzowaty skóry charakteryzuje się translokacją t(17;22)(q22;q13)[6]. U dorosłych w wyniku translokacji t(17;22)(q22;q13) zwykle powstaje chromosom pierścieniowaty, ale u dzieci chromosom z translokacją pozostaje w formie linijnej[27]. W wyniku translokacji dochodzi do połączenia genu COL1A (collagen type 1 alpha 1) położonego na chromosomie 17q21-22 z genem PDGFB1 (platelet-derived growth factor beta) położonego na chromosomie 22q13 i powstania genu fuzyjnego COL1A1-PDGFB[6]. Translokację stwierdza się w ponad 90–95% przypadków włókniakomięsaka guzowatego skóry[6][25][35][36]. Tylko w około 8% przypadków włókniakomięsaka guzowatego skóry nie stwierdza się tej translokacji, co przemawia za obecnością innych zaburzeń genetycznych[30].
Translokację t(17;22)(q22;q13) wykrywa się za pomocą fluorescencyjnej hybrydyzacji in situ (FISH) lub RT-PCR[7]. Nie ma konieczności rutynowego oznaczania rearanżacji COL1A1-PDGFB, ale metodę wykorzystuje się w przypadku trudności z różnicowaniem z innymi guzami o podobnym obrazie mikroskopowym, szczególnie w przypadkach gdy guz nie wykazuje ekspresji CD34[7].
Ocena zaawansowania
Nie opracowano standardu oceny zaawansowania włókniakomięsaka guzowatego skóry. Często przyjmuje się, że obecność samego guza pierwotnego odpowiada I stopniowi zaawansowania, przerzutów do lokalnych węzłów chłonnych stopniowi II, a obecność przerzutów odległych stopniowi III[25]. Czasem stosuje się system American Musculoskeletal Tumor Society (MSTS), gdzie stadium IA odpowiada zmianom o niskiej złośliwości położonym wewnątrz jednego przedziału mięśniowego, stadium IB odpowiada zmianom o niskiej złośliwości położonym poza jednym przedziałem mięśniowym. Zmiany w stadium II odpowiadają guzom o wysokiej złośliwości (stadium nie dotyczy włókniakomięsaka guzowatego skóry)[13].
Leczenie
Podstawową metodą leczenia włókniakomięsaka guzowatego skóry jest chirurgiczne wycięcie zmiany z szerokim marginesem zdrowych tkanek lub metodami chirurgii mikrograficznej. Nawroty również leczy się operacyjnie. Choroba nieoperacyjna, nieoperacyjne nawroty i choroba z przerzutami wymagają leczenia ogólnoustrojowego opartego na imatynibie[5].
Leczenie chirurgiczne
Resekcja zmiany w zakresie marginesu zdrowych tkanek bez nacieku nowotworowego jest podstawową metodą leczenia włókniakomięsaka guzowatego skóry[37]. Ze względu na asymetrię guza, częste rozległe poziome (horyzontalne) i pionowe naciekanie, które nie jest widoczne makroskopowo, osiągnięcie ujemnych marginesów może być trudne[8]. Przed operacją istotne jest dokładne zaplanowanie zakresu zabiegu, tak by uzyskać pożądaną radykalność przy uwzględnieniu akceptowalnego efektu kosmetycznego. Zabiegi rekonstrukcyjne są wykonywane po pełnej ocenie histopatologicznej i potwierdzeniu resekcji guza w zakresie zdrowych tkanek[25]. Operacja może być wykonana metodą szerokiego miejscowego wycięcia lub chirurgii mikrograficznej Mohsa[37], choć niektórzy autorzy wskazują na metodę mikrograficzną Mohsa jako technikę z wyboru[7].
Technika szerokiego miejscowego wycięcia polega na resekcji zmiany z zachowaniem marginesu szerokości 2–4 cm[37][8]. Nie osiągnięcie wolnych marginesów chirurgicznych od nacieku nowotworowego wymaga wykonania ponownej operacji w celu poszerzenia marginesów resekcji i uzyskania ujemnych marginesów[37][25][31]. Część ośrodków wykonuje szersze marginesy resekcji w celu mniejszego prawdopodobieństwa konieczności wykonania ponownej operacji lub nawrotu, a część wykonuje węższe marginesy 1–2 cm, co jednak często wymaga ponownych operacji i znacznie upodabnia metodę do techniki Mohsa[8]. Obecnie przy stosowaniu techniki szerokiego wycięcia ryzyko nawrotu jest stosunkowo niskie, w różnych pracach waha się ono od 1% do około 10%[38][39][40][41][42][43]. W dużym retrospektywnym badaniu przy zastosowaniu szerokiego wycięcia ryzyko nawrotu wynosiło 1%[38].
Technika chirurgii mikrograficznej metodą Mohsa polega na mapowaniu zmiany, jej etapowym wycięciu, śródoperacyjnej mikroskopowej kontroli marginesów i ewentualnym poszerzaniu marginesów wycięcia aż do osiągnięcia marginesów bez nacieku nowotworowego[44]. Technika jest szczególnie przydatna w lokalizacjach wymagających możliwie oszczędnej resekcji (głowa, szyja)[31]. Odsetek nawrotów oceniany jest na około 1%[8][7] i prawdopodobnie jest on niższy w porównaniu z szerokim miejscowym wycięciem[45][37]. Metoda jest jednak trudna technicznie, czasem przy rozległych zmianach wymaga kilku reoperacji rozłożonych na kilka dni[8].
Leczenie ogólnoustrojowe

U podstaw patogenezy choroby leży translokacja t(17;22)(q22;q13) powodująca stałą aktywność PDGFB1. Imatynib jest inhibitorem kinazy tyrozynowej obejmując w swoim spektrum PDGFB1. W wyniku działania leku dochodzi do apoptozy i inhibicji proliferacji komórek nowotworowych[46][8][31]. Imatynib znajduje zastosowanie w leczeniu choroby z przerzutami oraz choroby nieoperacyjnej lub nieoperacyjnego nawrotu czyli choroby niemożliwej do wyleczenia pomimo kilku kolejnych operacji albo operacji niemożliwej do wykonania z powodu nadmiernego, nieakceptowalnego deficytu funkcjonalnego i pogorszenia jakości życia leczonego[37].
Skuteczność leku w leczeniu zaawansowanego włókniakomięsaka guzowatego skóry wykazano w kilku badaniach[31][47][48][49]. W analizie połączonych wyników badań drugiej fazy EORTC 62027 i SWOG0345 imatynib umożliwiał częściową remisję (PR) u 46% chorych, a u 70% leczonych obserwowano korzyść z leczenia tym lekiem[49][8][50][31]. Nie ustalono optymalnej dawki leku. W dużej serii Rutkowskiego i współpracowników nie wykazano różnicy pomiędzy dawką 400 mg imatynibu a 800 mg tego leku[49][8]. Jednak niższe dawki są lepiej tolerowane[25].
Chorzy bez genu fuzyjnego COL1A1-PDGFB nie odpowiadają na leczenie imatynibem[31]. Zwykle przed wdrożeniem leczenia oznacza się mutację COL1A1-PDGFB w celu ograniczenia liczby chorych nie odnoszących korzyści z leczenia[8][37].
Dane dotyczące stosowania innych inhibitorów kinazy tyrozynowej po progresji podczas leczenia imatynibem są mocno ograniczone[31]. W małych badaniach na pojedynczych chorych opisywano stosowanie sorafenibu[39][51] oraz sunitynibu[52].
Rola tradycyjnej chemioterapii jest bardzo ograniczona i wykorzystuje się ją gdy inne metody lecznicze zawiodły[8]. W chemioterapii włókniakomięsaka guzowatego skóry mogą być wykorzystywane schematy stosowane w leczeniu innych mięsaków tkanek miękkich[53].
Leczenie przedoperacyjne i pooperacyjne
U części chorych radykalny onkologicznie zabieg nie jest możliwy lub wiązałby się z nadmiernymi deficytami funkcjonalnymi czy nieakceptowalnym efektem kosmetycznym. Leczenie neoadiuwantowe (przedoperacyjne) za pomocą imatynibu może zmniejszyć masę guza i ułatwić lub umożliwić wykonanie zabiegu operacyjnego[50][31]. W badaniu Kerob i współpracowników w wyniku przedoperacyjnego leczenia imatynibem w dawce dobowej 600 mg zaobserwowano częściową odpowiedź u 36% leczonych[54], w badaniu Ugurel i współpracowników 50% leczonych imatynibem w dawce 600 mg osiągnęło częściową odpowiedź (PR), a 7% całkowitą odpowiedź (CR)[52]. Leczenie neoadiuwantowe za pomocą imatynibu może być wykorzystywane u niektórych wybranych chorych z nieoperacyjnym guzem, choć konieczne są dalsze badania pozwalające potwierdzić rolę leku w leczeniu neoadiuwantowym[31][25][7]. Nie jest znany optymalny czas trwania leczenia neoadiuwantowego. Niezależnie od trwałości odpowiedzi zawsze zalecane jest wykonanie zabiegu operacyjnego[25].
Włókniakomięsak guzowaty skóry jest nowotworem radiowrażliwym[55][56][8][7]. Radioterapia zwykle jest wykorzystywana w leczeniu adiuwantowym (uzupełniającym) w przypadku nieosiągnięcia ujemnych marginesów chirurgicznych (resekcje R1 i R2) i braku możliwości wykonania ponownej operacji. Radioterapii nie stosuje się w leczeniu uzupełniającym po zabiegu, w którym osiągnięto margines chirurgiczny wolny od nacieku nowotworowego (resekcja R0)[53].
Rokowanie
Rokowanie we włókniakomięsaku guzowatym skóry jest bardzo dobre[57][6]. Przerzuty odległe są raczej rzadkie i występują u około 5% chorych[6]. W analizie SEER odsetek dziesięcioletnich przeżyć swoistych dla choroby wynosił 99,1%[58]. Na rokowanie wpływa wiek chorego, płeć i wielkość guza[59].
Historia
Chorobę odkryli i wyodrębnili w 1924 roku Ferdinand-Jean Darier i M. Fernand, choć jej pierwsze opisy Sherwell i Taylor pochodzą z 1890 roku[7]. Szczegółowy opis włókniakomięsaka guzowatego skóry podali w 1967 roku Taylor i Helwig[60][7].
Klasyfikacja ICD10
| kod ICD10 | nazwa choroby |
|---|---|
| ICD-10: C49 | Nowotwór złośliwy tkanki łącznej i innych tkanek miękkich |
| ICD-10: C49.0 | Tkanka łączna i inne tkanki miękkie głowy, twarzy i szyi |
| ICD-10: C49.1 | Tkanka łączna i inne tkanki miękkie kończyny górnej, łącznie z barkiem |
| ICD-10: C49.2 | Tkanka łączna i inne tkanki miękkie kończyny dolnej, łącznie z biodrem |
| ICD-10: C49.3 | Tkanka łączna i inne tkanki miękkie klatki piersiowej |
| ICD-10: C49.4 | Tkanka łączna i inne tkanki miękkie brzucha |
| ICD-10: C49.5 | Tkanka łączna i inne tkanki miękkie miednicy |
| ICD-10: C49.6 | Tkanka łączna i inne tkanki miękkie tułowia, umiejscowienie nieokreślone |
| ICD-10: C49.8 | Zmiana przekraczająca granice jednego umiejscowienia w obrębie tkanki łącznej i tkanek miękkich |
| ICD-10: C49.9 | Tkanka łączna i inne tkanki miękkie, umiejscowienie nieokreślone |
Przypisy
- ↑ Krzakowski i in. 2015 ↓, s. 882.
- 1 2 3 4 5 6 7 8 9 Goldblum, Weiss i Folpe 2013 ↓, s. 389.
- 1 2 3 4 5 6 7 8 9 10 11 LeBoit i in. 2006 ↓, s. 260.
- 1 2 3 4 5 6 Bichakjian i in. 2017 ↓, s. 10.
- 1 2 3 Brennan, Antonescu i Maki 2012 ↓, s. 185.
- 1 2 3 4 5 6 7 8 9 10 11 12 13 14 15 16 17 18 19 20 21 22 23 24 25 26 27 28 K. Thway, J. Noujaim, R. L. Jones, C. Fisher. Dermatofibrosarcoma protuberans: pathology, genetics, and potential therapeutic strategies. „Ann Diagn Pathol”. 25, s. 64-71, 2016. DOI: 10.1016/j.anndiagpath.2016.09.013. PMID: 27806849.
- 1 2 3 4 5 6 7 8 9 10 11 12 13 14 15 16 17 18 19 20 21 22 23 24 25 26 27 28 B. Llombart, C. Serra-Guillén, C. Monteagudo, JA. López Guerrero i inni. Dermatofibrosarcoma protuberans: a comprehensive review and update on diagnosis and management. „Semin Diagn Pathol”. 30 (1), s. 13-28, 2013. DOI: 10.1053/j.semdp.2012.01.002. PMID: 23327727.
- 1 2 3 4 5 6 7 8 9 10 11 12 13 14 15 16 17 18 19 20 B. Bogucki, I. Neuhaus, E. A. Hurst. Dermatofibrosarcoma protuberans: a review of the literature. „Dermatol Surg”. 38 (4), s. 537-551, 2012. DOI: 10.1111/j.1524-4725.2011.02292.x. PMID: 22288484.
- 1 2 V. D. Criscione, M. A. Weinstock. Descriptive epidemiology of dermatofibrosarcoma protuberans in the United States, 1973 to 2002. „J Am Acad Dermatol”. 56 (6), s. 968-973, 2007. DOI: 10.1016/j.jaad.2006.09.006. PMID: 17141362.
- ↑ TY. Chuang, W. P. Su, S. A. Muller. Incidence of cutaneous T cell lymphoma and other rare skin cancers in a defined population. „J Am Acad Dermatol”. 23, s. 254-256, 1990. PMID: 2170468.
- ↑ W. B. Bowne, C. R. Antonescu, D. H. Leung, S. C. Katz i inni. Dermatofibrosarcoma protuberans: A clinicopathologic analysis of patients treated and followed at a single institution. „Cancer”. 88 (12), s. 2711-2720, 2000. PMID: 10870053.
- 1 2 DeVita, Lawrence i Rosenberg 2008 ↓, s. 1750.
- 1 2 3 4 5 6 7 W. M. Mendenhall, R. A. Zlotecki, M. T. Scarborough. Dermatofibrosarcoma protuberans. „Cancer”. 101 (11), s. 2503-2508, 2004. DOI: 10.1002/cncr.20678. PMID: 15503305.
- 1 2 3 4 5 Goldblum, Weiss i Folpe 2013 ↓, s. 398.
- ↑ Nikolaos Angouridakis i inni, Dermatofibrosarcoma protuberans with fibrosarcomatous transformation of the head and neck, „Head Neck Oncol”, 3, 2011, s. 5, DOI: 10.1186/1758-3284-3-5, PMID: 21294902, PMCID: PMC3038985.
- ↑ R. M. Minter, J. D. Reith, S. N. Hochwald. Metastatic potential of dermatofibrosarcoma protuberans with fibrosarcomatous change. „J Surg Oncol”. 82 (3), s. 201-208, 2003. DOI: 10.1002/jso.10211. PMID: 12619065.
- ↑ Rutkowski 2015 ↓, s. 173.
- 1 2 3 Goldblum, Weiss i Folpe 2013 ↓, s. 390.
- 1 2 Goldblum, Weiss i Folpe 2013 ↓, s. 399.
- ↑ J. Ding, H. Hashimoto, M. Enjoji. Dermatofibrosarcoma protuberans with fibrosarcomatous areas. A clinicopathologic study of nine cases and a comparison with allied tumors.. „Cancer”. 64 (3), s. 721-729, 1989. PMID: 2545326.
- ↑ T. Mentzel, A. Beham, D. Katenkamp, A. P. Dei Tos i inni. Fibrosarcomatous ("high-grade") dermatofibrosarcoma protuberans: clinicopathologic and immunohistochemical study of a series of 41 cases with emphasis on prognostic significance. „Am J Surg Pathol”. 22 (5), s. 576-587, 1998. PMID: 9591728.
- ↑ J. J. Abbott, A. M. Oliveira, AG. Nascimento. The prognostic significance of fibrosarcomatous transformation in dermatofibrosarcoma protuberans. „Am J Surg Pathol”. 30 (4), s. 436-443, 2006. PMID: 16625088.
- ↑ Goldblum, Weiss i Folpe 2013 ↓, s. 400-401.
- ↑ J. L. Kampshoff, T. H. Cogbill. Unusual skin tumors: Merkel cell carcinoma, eccrine carcinoma, glomus tumors, and dermatofibrosarcoma protuberans. „Surg Clin North Am”. 89 (3), s. 727-738, 2009. DOI: 10.1016/j.suc.2009.02.005. PMID: 19465208.
- 1 2 3 4 5 6 7 8 9 10 11 12 13 P. Saiag, J. J. Grob, C. Lebbe, J. Malvehy i inni. Diagnosis and treatment of dermatofibrosarcoma protuberans. European consensus-based interdisciplinary guideline. „Eur J Cancer”. 51 (17), s. 2604-2608, 2015. DOI: 10.1016/j.ejca.2015.06.108. PMID: 26189684.
- ↑ T. Takahira, Y. Oda, S. Tamiya, K. Higaki i inni. Detection of COL1A1-PDGFB fusion transcripts and PDGFB/PDGFRB mRNA expression in dermatofibrosarcoma protuberans. „Mod Pathol”. 20 (6), s. 668-675, 2007. DOI: 10.1038/modpathol.3800783. PMID: 17431412.
- 1 2 3 Goldblum, Weiss i Folpe 2013 ↓, s. 396.
- ↑ C. H. Heldin, B. Westermark. Mechanism of action and in vivo role of platelet-derived growth factor. „Physiol Rev”. 79 (4), s. 1283-1316, 1999. PMID: 10508235.
- ↑ J. Andrae, R. Gallini, C. Betsholtz. Role of platelet-derived growth factors in physiology and medicine. „Genes Dev”. 22 (10), s. 1276-1312, 2008. DOI: 10.1101/gad.1653708. PMID: 18483217.
- 1 2 Goldblum, Weiss i Folpe 2013 ↓, s. 397.
- 1 2 3 4 5 6 7 8 9 10 11 P. Rutkowski, M. Debiec-Rychter. Current treatment options for dermatofibrosarcoma protuberans. „Expert Rev Anticancer Ther”. 15 (8), s. 901-909, 2015. DOI: 10.1586/14737140.2015.1052799. PMID: 26027711.
- 1 2 Goldblum, Weiss i Folpe 2013 ↓, s. 394.
- ↑ M. Lisovsky, M. P. Hoang, K. A. Dresser, P. Kapur i inni. Apolipoprotein D in CD34-positive and CD34-negative cutaneous neoplasms: a useful marker in differentiating superficial acral fibromyxoma from dermatofibrosarcoma protuberans. „Mod Pathol”. 21 (1), s. 31-38, 2008. DOI: 10.1038/modpathol.3800971. PMID: 17885669.
- ↑ R. B. West, J. Harvell, S. C. Linn, C. L. Liu i inni. Apo D in soft tissue tumors: a novel marker for dermatofibrosarcoma protuberans. „Am J Surg Pathol”. 28 (8), s. 1063-1069, Aug 2004. PMID: 15252314.
- ↑ K. U. Patel, S. S. Szabo, V. S. Hernandez, V. G. Prieto i inni. Dermatofibrosarcoma protuberans COL1A1-PDGFB fusion is identified in virtually all dermatofibrosarcoma protuberans cases when investigated by newly developed multiplex reverse transcription polymerase chain reaction and fluorescence in situ hybridization assays. „Hum Pathol”. 39 (2), s. 184-193, 2008. DOI: 10.1016/j.humpath.2007.06.009. PMID: 17950782.
- ↑ R. Salgado, B. Llombart, R. M Pujol, A. Fernández-Serra i inni. Molecular diagnosis of dermatofibrosarcoma protuberans: a comparison between reverse transcriptase-polymerase chain reaction and fluorescence in situ hybridization methodologies. „Genes Chromosomes Cancer”. 50 (7), s. 510-517, 2011. DOI: 10.1002/gcc.20874. PMID: 21484928.
- 1 2 3 4 5 6 7 Bichakjian i in. 2017 ↓, s. 11.
- 1 2 J. M. Farma, J. B. Ammori, J. S. Zager, SS. Marzban i inni. Dermatofibrosarcoma protuberans: how wide should we resect?. „Ann Surg Oncol”. 17 (8), s. 2112-2118, 2010. DOI: 10.1245/s10434-010-1046-8. PMID: 20354798.
- 1 2 Ryan C. Fields i inni, Dermatofibrosarcoma protuberans (DFSP): predictors of recurrence and the use of systemic therapy, „Annals of Surgical Oncology”, 18 (2), 2011, s. 328-336, DOI: 10.1245/s10434-010-1316-5, PMID: 20844969, PMCID: PMC4310211.
- ↑ A. N. Meguerditchian, J. Wang, B. Lema, WG. Kraybill i inni. Wide excision or Mohs micrographic surgery for the treatment of primary dermatofibrosarcoma protuberans. „Am J Clin Oncol”. 33 (3), s. 300-303, 2010. DOI: 10.1097/COC.0b013e3181aaca87. PMID: 19858696.
- ↑ S. T. Heuvel, A. Suurmeijer, E. Pras, R. J. Van Ginkel i inni. Dermatofibrosarcoma protuberans: recurrence is related to the adequacy of surgical margins. „Eur J Surg Oncol”. 36 (1), s. 89-94, 2010. DOI: 10.1016/j.ejso.2009.07.006. PMID: 19646839.
- ↑ C. K. Chang, I. A. Jacobs, G. I. Salti. Outcomes of surgery for dermatofibrosarcoma protuberans. „Eur J Surg Oncol”. 30 (3), s. 341-345, 2004. DOI: 10.1016/j.ejso.2003.12.005. PMID: 15028319.
- ↑ M. Fiore, R. Miceli, C. Mussi, S. Lo Vullo i inni. Dermatofibrosarcoma protuberans treated at a single institution: a surgical disease with a high cure rate. „J Clin Oncol”. 23 (30), s. 7669-7675, 2005. DOI: 10.1200/JCO.2005.02.5122. PMID: 16234529.
- ↑ Monika Dudra-Jastrzębska. „Nowa Medycyna”, 2007.
- ↑ M. Foroozan, J. F. Sei, M. Amini, A. Beauchet i inni. Efficacy of Mohs micrographic surgery for the treatment of dermatofibrosarcoma protuberans: systematic review. „Arch Dermatol”. 148 (9), s. 1055-1063, 2012. DOI: 10.1001/archdermatol.2012.1440. PMID: 22986859.
- ↑ T. Sjöblom, A. Shimizu, K. P. O'Brien, K. Pietras i inni. Growth inhibition of dermatofibrosarcoma protuberans tumors by the platelet-derived growth factor receptor antagonist STI571 through induction of apoptosis. „Cancer Res”. 61 (15), s. 5778-5783, 2001. PMID: 11479215.
- ↑ G. A. McArthur, G. D. Demetri, A. van Oosterom, M. C. Heinrich i inni. Molecular and clinical analysis of locally advanced dermatofibrosarcoma protuberans treated with imatinib: Imatinib Target Exploration Consortium Study B2225. „J Clin Oncol”. 23 (4), s. 866-873, 2005. DOI: 10.1200/JCO.2005.07.088. PMID: 15681532.
- ↑ P. Rutkowski, M. Dębiec-Rychter, Z. Nowecki, W. Michej i inni. Treatment of advanced dermatofibrosarcoma protuberans with imatinib mesylate with or without surgical resection. „J Eur Acad Dermatol Venereol”. 25 (3), s. 264-270, 2011. DOI: 10.1111/j.1468-3083.2010.03774.x. PMID: 20569296.
- 1 2 3 Piotr Rutkowski i inni, Imatinib mesylate in advanced dermatofibrosarcoma protuberans: pooled analysis of two phase II clinical trials, „Journal of Clinical Oncology”, 28 (10), 2010, s. 1772-1779, DOI: 10.1200/JCO.2009.25.7899, PMID: 20194851, PMCID: PMC3040044.
- 1 2 Rutkowski 2015 ↓, s. 176.
- ↑ Francois G Kamar, Victor F Kairouz, Alain N Sabri, Dermatofibrosarcoma protuberans (DFSP) successfully treated with sorafenib: case report, „Clinical Sarcoma Research”, 3 (1), 2013, s. 5, DOI: 10.1186/2045-3329-3-5, PMID: 23557478, PMCID: PMC3637545.
- 1 2 S. Ugurel, T. Mentzel, J. Utikal, P. Helmbold i inni. Neoadjuvant imatinib in advanced primary or locally recurrent dermatofibrosarcoma protuberans: a multicenter phase II DeCOG trial with long-term follow-up. „Clin Cancer Res”. 20 (2), s. 499-510, 2014. DOI: 10.1158/1078-0432.CCR-13-1411. PMID: 24173542.
- 1 2 Bichakjian i in. 2017 ↓, s. 12.
- ↑ D. Kérob, R. Porcher, O. Vérola, S. Dalle i inni. Imatinib mesylate as a preoperative therapy in dermatofibrosarcoma: results of a multicenter phase II study on 25 patients. „Clin Cancer Res”. 16 (12), s. 3288-3295, 2010. DOI: 10.1158/1078-0432.CCR-09-3401. PMID: 20439456.
- ↑ K. O. Castle, B. A. Guadagnolo, C. J. Tsai, B. W. Feig i inni. Dermatofibrosarcoma protuberans: long-term outcomes of 53 patients treated with conservative surgery and radiation therapy. „Int J Radiat Oncol Biol Phys”. 86 (3), s. 585-590, 2013. DOI: 10.1016/j.ijrobp.2013.02.024. PMID: 23628134.
- ↑ N. Williams, C. G. Morris, J. M. Kirwan, R. Dagan i inni. Radiotherapy for dermatofibrosarcoma protuberans. „Am J Clin Oncol”. 37 (5), s. 430-432, 2014. DOI: 10.1097/COC.0b013e31827dee86. PMID: 23388563.
- ↑ Robert M Corey, Katrina Swett, William G Ward, Epidemiology and survivorship of soft tissue sarcomas in adults: a national cancer database report, „Cancer Med”, 3 (5), 2014, s. 1404-1415, DOI: 10.1002/cam4.288, PMID: 25044961, PMCID: PMC4302691.
- ↑ K. L. Kreicher, D. E. Kurlander, H. R. Gittleman, J. S. Barnholtz-Sloan i inni. Incidence and Survival of Primary Dermatofibrosarcoma Protuberans in the United States. „Dermatol Surg”. 42 Suppl 1, 2016. DOI: 10.1097/DSS.0000000000000300. PMID: 26730971.
- ↑ M. C. Criscito, K. J. Martires, J. A. Stein. Prognostic Factors, Treatment, and Survival in Dermatofibrosarcoma Protuberans. „JAMA Dermatol”. 152 (12), s. 1365-1371, 2016. DOI: 10.1001/jamadermatol.2016.1886. PMID: 27262160.
- ↑ H. B. Taylor, E. B. Helwig. Dermatofibrosarcoma protuberans. A study of 115 cases. „Cancer”. 15. s. 717-725. PMID: 13919964.
Bibliografia
- John R. Goldblum, Sharon W. Weiss, Andrew L. Folpe: Enzinger and Weiss's Soft Tissue Tumors. Wyd. 6. Elsevier Health Sciences, 2013. ISBN 978-0-323-08834-3.
- CK. Bichakjian, T. Olencki, M. Alam, JS. Andersen i inni. Dermatofibrosarcoma Protuberans 1.2017. „J Natl Compr Canc Netw”, 2017.
- P.E. LeBoit, G. Burg, D. Weedon, A. Sarasin: Pathology and Genetics of Skin Tumours. IARC, 2006. ISBN 978-9283224143.
- Maciej Krzakowski, Piotr Potemski, Krzysztof Warzocha, Pior Wysocki: Onkologia kliniczna. T. II. Via Medica, 2015. ISBN 978-83-7599-796-5.
- Murray F. Brennan, Cristina R. Antonescu, Robert G. Maki: Management of Soft Tissue Sarcoma. Springer Science & Business Media, 2012.
- Jerzy Stachura, Domagała Wenancjusz: Patologia znaczy słowo o chorobie. T. II. Polska Akademia Umiejętności, 2009. ISBN 978-83-60184-02-8.
- Piotr Rutkowski: Biblioteka chirurga onkologa. Mięsaki tkanek miękkich. Via Medica, 2015. ISBN 978-83-7599-864-1.
- Vincent T. DeVita, Theodore S. Lawrence, Steven A. Rosenberg: Devita, Hellman & Rosenberg's Cancer: Principles & Practice of Oncology. Wyd. 8. Lippincott Williams & Wilkins, 2008. ISBN 978-0-7817-7207-5.
- Piotr Rutkowski, Zbigniew Nowecki: Mięsaki tkanek miękkich u dorosłych. Medical Tribune, 2009. ISBN 978-83-60135-69-3.
Przeczytaj ostrzeżenie dotyczące informacji medycznych i pokrewnych zamieszczonych w Wikipedii.